
患者,女性,53岁,主诉:阵发性心慌、出汗、血压升高10年,加重半年。患者10年来曾多次因情绪激动或劳累后出现心慌、出汗、血压升高就医,考虑为高血压病、植物神经功能紊乱、围绝经期综合征。近半年出现活动后心慌、大汗伴头晕,最长可持续半个小时。入院前3 d心慌、出汗频繁发作,进食、穿衣或者弯腰均可诱发,伴有恶心,偶有呕吐,面色苍白。
血压94/61 mmHg一般状态可,发育正常,营养中等,神清语明,双肺呼吸音清,心前区无隆起,心律齐,心音清,各瓣膜听诊区未闻及病理性杂音。腹软,无压痛,未闻及血管杂音,双下肢无水肿,颈动脉及四肢脉搏搏动正常,未闻及血管杂音。
血儿茶酚胺测定;肾上腺CT增强扫描; CgA+染色; Syn+染色。
全麻下经腹腔镜左侧肾上腺瘤摘除术。
术后血压正常,半年随访无心悸、大汗、血压升高发作,术后1年血压、血糖、血脂均正常。
心血管内科;泌尿外科;内分泌科
版权归中华医学会所有。本文为遵循CC-BY-NC-ND协议的开放获取文章。
嗜铬细胞瘤和副神经节瘤(pheochromocytoma andparaganglioma, PPGL)是分别起源于肾上腺髓质或肾上腺外交感神经链的肿瘤,肿瘤位于肾上腺称为嗜铬细胞瘤(PCC),位于肾上腺外则称为副神经节瘤(PGL).PPGL主要合成和分泌大量儿茶酚胺(CA),如去甲肾上腺素(NE)、肾上腺素(E)及多巴胺(DA),引起患者血压升高等一系列临床症候群,并造成心、脑、肾等严重并发症。PCC在高血压人群中患病率为0.1%~0.5%[1];我们报道的该例中年女性曾多次就诊,诊断为围绝经期综合征、植物神经功能紊乱、神经官能症,故该病例的报道旨在提高临床一线医生对嗜铬细胞瘤的认识,减少误诊和漏诊。
患者,女性,53岁,因"阵发性心慌、出汗、血压升高10年,加重半年"就诊。患者10年前因情绪激动后头晕、头胀、心慌、出汗,测血压160/90 mmHg,开始间断服用降压药物(具体诉不清),平素测血压正常,近5年患者在劳累后及心情不佳时,有心慌、出汗发作,血压最高达242/74 mmHg,每年发作3~4次,开始规律口服硝苯地平片10 mg qd,平素血压在110/60 mmHg左右;曾多次就诊均考虑植物神经功能紊乱、神经官能症、焦虑状态或围绝经期;患者近半年出现活动后心慌、大汗伴轻微头晕,最长可持续半个小时,自诉坐位休息片刻可缓解。就诊于当地医院行动态心电:总心搏数为104 732次/24 h,平均心率74次/min,最小心率49次/min,最大心率115次/min。全天窦性心律;间歇一度房室传导阻滞;间歇二度房室传导阻滞(一次);偶发房早,考虑心律失常,服用稳心颗粒。3 d前患者心慌、出汗症状较前出现频繁,开始于饭后、穿衣后即出现心慌、大汗,伴有恶心,呕吐,呕吐物为胃内容物。既往高血脂10年,瑞舒伐他汀10 mg qn,血脂控制可;糖尿病3年,皮下注射诺和灵(早14 IU,晚13 IU),血糖控制尚可;否认遗传性疾病家族史;1977年行阑尾炎切除术;2009年行子宫切除术;2014年曾行乳腺肿物切除术,术后病理良性。
入院体格检查:脉搏84次/分,呼吸20次/分,血压94/61 mmHg(右上肢),104/67mmHg(左上肢),BMI 25.8kg/m2,神清语明,颈软无抵抗,甲状腺不大,颈动脉及锁骨上窝听诊区无杂音,双肺呼吸音清,心前区无隆起,心律齐,心音清,各瓣膜听诊区未闻及病理性杂音。腹软,无压痛,无反跳痛,肝脾肋下未触及,腹部未闻及血管杂音。双下肢无水肿,四肢动脉搏动有力。
辅助检查:1.常规检查:血、尿、便常规未见异常;肝功、凝血四项、肌钙蛋白I、N端脑利钠肽、肌酸激酶同工酶、肌钙蛋白、C反应蛋白正常。尿酸368↑µmol/L。血脂:TC 6.50↑mmol/L,TG 3.39↑mmol/L,LDL-C 165.1↑mg/dl;空腹血糖6.77↑mmol/L,糖化血红蛋白6.8%。肾功:肌酐79 µmol/L;血钾4.2mmol/L.
2.激素方面:甲功五项:TSH 4.660↑mIU/L,余正常。血浆肾素活性(卧、立位)、血管紧张素Ⅰ(卧、立位)、血管紧张素Ⅱ(卧、立位)、醛固酮(卧、立位)、皮质醇节律、血促肾上腺皮质激素(ACTH)正常。性腺六项:雌二醇18.4↓pmol/L,泌乳素582↑mIU/L,余正常。血儿茶酚胺测定见表1。

血儿茶酚胺浓度
血儿茶酚胺浓度
| ng/L | 多巴胺(DA)0~100 | 肾上腺素(E)0~100 | 去甲肾上腺素(NE)0~600 |
|---|---|---|---|
| 第一次 | 76.3 | 43.3 | 594.0 |
| 第二次 | 33.7 | 41.2 | 662↑ |
3.心脏超声:左房轻大(38 mm),左室(49 mm),室间隔(10 mm),左室壁稍厚(12 mm),EF 62%,主动脉弹性减低,左室顺应性减低。左心功能正常。






以"阵发性血压升高、心慌、出汗"为临床表现,肾上腺增强CT提示左肾上腺占位病变,术后病理提示嗜铬细胞瘤,支持诊断PHEO。
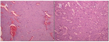
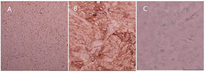
该患入院时血压正常低值、心率正常,查体无阳性体征,交谈中发现患者言语及情绪焦虑,睡眠障碍,辅助检查提示高血脂,给予阿托伐他汀20 mg qn,艾司唑仑1 mg qn助眠;住院期间起身如厕时心慌、出汗发作,测血压180/112 mmHg,疑诊嗜铬细胞瘤,给与完善血儿茶酚胺测定,第一次测定结果阴性,随后再次采血进行测定,提示去甲肾上腺素轻度升高,完善肾上腺增强CT,见左肾上腺5.2 cm×4.6 cm占位,瘤体内密度不均(图1A),经泌尿外科会诊,肾上腺占位符合外科手术摘除指征,转泌尿外科,结合患者症状、化验室检查及肾上腺增强CT影像特点,提示嗜铬细胞瘤可能性极大,按嗜铬细胞瘤行术前准备,充分静脉补液扩容,盐酸酚卞明片10 mg qd逐渐加量20 mg qd直至加量30 mg qd,2周后患者四肢温暖,无阵发性血压升高、心慌、出汗表现,全麻下经腹腔镜左侧肾上腺瘤摘除术,瘤体大、血运丰富(图1B),术后病理诊断:嗜铬细胞瘤(图1C、D,图2,图3);术中接触瘤体时血压波动很大,应用多种药物保证手术顺利完成(图4)。患者血压正常,生命体征平稳,无心悸、出汗发作,顺利出院。


该患预后良好,术后血压正常,半年随访无阵发性血压升高、心慌、出汗发作,焦虑情绪消失,1年随访血脂、血糖恢复正常,无需应用降糖、降脂药物。
该患表现为阵发性心慌、多汗、血压升高10年,虽曾多次就诊多家医院未能明确诊断。分析其主要原因:一是该患心慌、出汗、血压高,最初诱因主要为生气、情绪激动,因症状与情绪相关,易误诊为植物神经功能紊乱。二是女性在绝经前后会出现卵巢功能衰退,激素分泌紊乱,出现心慌、出汗、焦虑等围绝经期综合征表现,围绝经期女性是围绝经期综合征的主要人群[2]。该患43岁围绝经期开始发病,易被误诊为围绝经期综合征;三是患者症状为阵发性出现,就诊时体征及辅助检查无阳性发现,广大基层医生对嗜铬细胞瘤及副神经节瘤的认识不足,故容易漏诊;
通常,嗜铬细胞瘤的诊断包括定性诊断、解剖定位诊断、功能影像学定位、基因检测。该患行血儿茶酚胺测定提示去甲肾上腺素轻度升高,定性诊断明确。肾上腺增强CT提示肾上腺占位(5.2 cm×4.6 cm),解剖定位明确。术后免疫组化病理CgA+,Syn+确诊为嗜铬细胞瘤;诊疗过程顺利,影像、病理资料完整,但限于我院条件未能完成功能影像学检查,如间碘苄胍(MIBG)显像、生长抑素受体(奥曲肽)显像、PETC-T显像。上述检查对于判断是否有异位或者转移的嗜铬细胞瘤组织十分重要;分析该病例CT影像特点未发现占位侵犯周围组织,胞膜完整,考虑良性可能性大,需密切随访是否复发转移。
该患者表现为阵发性心慌、出汗、血压升高,为PPGL典型临床症状,肾上腺占位较大,而血儿茶酚胺中只有去甲肾上腺素仅轻度升高,分析原因如下:嗜铬细胞瘤分泌释放去甲肾上腺素(NE)和肾上腺素(E)为阵发性,且可被多种酶水解,持续时间短,检测阳性率较低,而其代谢产物甲氧基肾上腺素(MN)、甲氧基去甲肾上腺素(NMN)(合称MNs)以高浓度水平持续存在。MNs是嗜铬细胞瘤和副神经节(pheochromocytoma andparaganglioma, PPGL)的特异性标记物[1]。所以,对于疑诊为嗜铬细胞瘤的患者,NE和E检测阳性率低,可能出现漏诊,MNs检测能明显提高PPGL的诊断敏感性及降低假阴性率。建议临床推广MNs检测。
目前研究尚表明,PPGL的发生与致病基因的胚系突变有关。PPGL中,约50%存在基因突变,35%~40%为胚系突变引起的遗传性或是遗传性综合征[3];10%的嗜铬细胞瘤具有家族性聚集,嗜铬细胞瘤和副神经节瘤诊断治疗专家共识(2020版)推荐对所有PPGL患者均应进行基因检测,可根据患者的肿瘤定位和CA生化表型选择不同类型的基因检测,VHL、RET、NF1、TMEM127或MAX基因突变常见于PCC患者,建议对所有恶性PPGL患者检测SDHB基因;对有PPGL阳性家族史和遗传综合征表现的患者可以直接检测相应的致病基因突变[1]。
PPGL为继发性高血压常见原因之一,部分患者合并高血糖、高血脂等代谢紊乱,该患术后1年随访,血糖、血脂、血压均恢复正常,进一步证实,该患血糖、血脂异常与嗜铬细胞瘤相关。随着临床医生对该类疾病认识的不断提高,相信我们在以后的工作中能够提高诊断率,减少漏诊率。
所有作者均声明本研究不存在利益冲突





















