
女性,42岁,反复咳嗽及咯血28月,曾怀疑肺曲霉菌病行右肺中叶切除术,症状短暂好转后再次发作,血抗SSA抗体(+++)、抗RO52抗体IgG型(+++),胸部CT示右肺术后改变,两肺多发囊腔伴结节,曾因大咯血行支气管动脉栓塞术,先后应用激素、免疫抑制剂、抗感染等药物治疗,症状仍反复。
右上肺叩诊呈浊音,双肺呼吸音清,未闻及干湿性啰音。
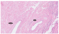
行CT引导下经皮肺穿刺活检,病理示肺组织内见大片红染无结构物,伴空洞形成,部分血管壁见红染无结构物沉积,伴多核巨细胞反应,周边肺组织见较多浆细胞浸润,刚果红染色偏光镜下未见双折光性,诊断肺轻链沉积病。
口服甲泼尼龙联合环磷酰胺治疗。
咳嗽及间断痰中带血,复查胸部CT较前无明显变化。
呼吸内科;风湿免疫科;病理科
版权归中华医学会所有。本文为遵循CC-BY-NC-ND协议的开放获取文章。
轻链沉积病(light chain deposition disease, LCDD)是一种非淀粉样单克隆免疫球蛋白轻链沉积性疾病,常继发于淋巴系统增生性疾病,部分可继发于自身免疫性疾病如干燥综合征,另有少数病例是特发性的[1],最常见的受累器官为肾脏。肺轻链沉积病(pulmonary light chain deposition disease,PLCDD)罕见,诊断困难,常常造成误诊和漏诊。现报道1例肺轻链沉积病合并干燥综合征患者,以提高临床医生对本病的认识。
患者,女性,42岁。因"间断咳嗽、咯血28月,再发3天"于2021年3月12日入院。患者于2018年11月感冒后出现咳嗽,咳血性痰液,胸部CT示右肺中叶阴影,肺多发囊性变,行右肺中叶切除术,术后病理提示"慢性炎性肉芽肿",症状短暂好转后再次发作。2019年6月查抗SSA抗体(+++)、抗RO52抗体IgG型(+++),考虑"干燥综合征合并肺间质改变",加用硫酸羟氯喹片。2020年4月予醋酸泼尼松30mg 1/日,吗替麦考酚酯0.5g 1/日、羟氯喹0.2g 1/日,此后醋酸泼尼松片规律减量。2020年7月外院病理切片会诊考虑韦格纳肉芽肿,停用吗替麦考酚酯,予环磷酰胺0.6g静滴1/3周,累计2.4g。2020年10月复查胸部CT较前无明显改善,调整醋酸泼尼松片5mg 1/日,停用环磷酰胺,外院因怀疑肺曲霉菌病,同时加用伏立康唑200mg 2/日治疗。2021年2月无明显诱因大咯血,伴有胸部撕裂样疼痛,予支气管动脉栓塞术。既往体健。体格检查:右上肺叩诊呈浊音,双肺呼吸音清,未闻及干湿性啰音。
胸部CT(2018年11月19日):双肺多发囊性病变,右肺中叶囊性病变内可见结节状实变影(图1)


病程中间断复查胸部CT:右肺中叶切除术后,双肺多发囊性病变,右肺上叶可见一不规则结节状高密度影,并呈增大趋势,后于左肺上叶囊腔内出现新发结节状高密度影,病程中曾出现一过性右侧胸腔积液(图2)


①血常规:血红蛋白111g/L,白细胞计数2.76×10^9/L、中性粒细胞计数1.48×10^9/L。
②免疫球蛋白+补体、肿瘤标志物、尿便常规、凝血功能、G及GM试验、结核相关检验未见明显异常。
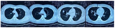
③胸部CT平扫+增强(2021年3月16日)右肺上叶有一巨大包块,病灶内可见分隔影,病灶周围可见钙化,增强后周围环形强化。右肺上叶及左肺上叶囊性病变内见不规则结节状实性密度影,呈新月征(图3)


④2021年3月25日行CT引导下经皮肺穿刺活检,病理倾向肺轻链沉积病。
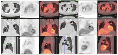
⑤24小时尿蛋白定量0.071g/天,血清免疫固定电泳、尿液游离轻链测定未见明显异常,尿本周蛋白定性阴性。PET/CT示右肺中叶切除术后,右肺上叶尖段、后段囊实密度影,双肺多发薄壁囊肿,双肺多发结节影伴FDG摄取增高,符合轻链沉着症(图4)。


病理诊断
肺组织内见,伴空洞形成,部分血管壁见红染无结构物沉积,伴多核巨细胞反应,周边肺组织见较多浆细胞浸润,刚果红染色偏光镜下未见双折光性,倾向于肺轻链沉积病(图5)。


最后诊断
1.肺轻链沉积病2.干燥综合征
鉴别诊断
1.肺淋巴管肌瘤病:是一种主要发生于育龄期女性的罕见的肺部疾病,可以散发或与结节性硬化症有关,起病较隐匿,最常见的临床表现为呼吸困难和反复发生的气胸,其他还可出现咯血、乳糜胸、平滑肌瘤病等。胸部CT可见多发边界清楚、均匀分布的薄壁囊腔,囊腔之间的肺实质基本正常,典型病例可根据临床症状及影像确诊,部分病例需经病理确诊。该患者为育龄期女性,主要症状为间断咳血,胸部CT示肺内多发囊性病变,但囊性病变大小及分布不均匀,与典型肺淋巴管肌瘤病影像不相符。
2.肺朗格汉斯组织细胞增生:是由于朗格汉斯细胞在组织内的浸润引起,可以仅有肺受累或系统性组织细胞增生症的肺部表现[2]。其发生机制与吸烟和BRAFV600突变导致的MAPK通路激活有关[3]。主要临床表现为干咳、气短、气胸等,典型的胸部CT表现为囊性病变与结节混合存在,病变以中上肺为主,胸膜下较少受累。该患者中年女性,既往无吸烟史,病程中主要症状为反复咯血及咳嗽,无气短及气胸,但胸部CT可见囊性病变与结节,需依靠病理协助排除该诊断。
3.淋巴细胞性间质性肺炎:是一种主要累及间质的弥漫性淋巴增殖性疾病,通常合并自身免疫性疾病或艾滋病[4]。特征的影像表现为囊性病变、磨玻璃影,分布在小叶中心或胸膜下的小结节。该患者既往干燥综合征病史,胸部CT可见双肺多发囊性病变及结节,需依靠病理协助排除该诊断。
建议口服甲泼尼龙40mg 1/日联合环磷酰胺100mg 1/隔日治疗,嘱患者3个月后来院复查,综合评估病情后决定后续治疗方案。
患者后因个人原因未按上述治疗方案应用,随访患者仍有咳嗽及间断痰中带血,复查胸部CT较前无明显变化,嘱密切随诊。
LCDD是一种单克隆免疫球蛋白沉积性疾病,常继发于淋巴组织增生性疾病如多发性骨髓瘤、B细胞淋巴瘤等,部分可继发于自身免疫性疾病如干燥综合征,另有少数病例是特发[1]。多数患者因肾脏受累出现血尿、蛋白尿或肾功能不全就诊,其他的受累脏器可包括肝脏、心脏、皮肤等,肺受累者罕见[5]。1988年Kijner等人首次报道了PLCDD病例[6],截至目前累计报道70余例。
该疾病男女均可发病,既往有文献报道男性发病率高于女性[7],但缺乏相关的临床资料,最近一些文献报道中,女性发病率似乎更高[8,9]。本病例患者为女性
PLCDD呼吸系统临床症状无特异性,目前国内外文献报道的常见临床表现为干咳、呼吸困难、胸痛等,部分患者可表现为间断咯血,另有部分患者病程中无呼吸系统症状,未见以大咯血为主要表现的病例报道[9,10,11]。本例患者主要表现为反复咳嗽及咯血,病程中曾出现一次大咯血,目前咯血原因不完全明确,考虑可能与嗜酸性物质沉积在肺泡和血管壁的基底膜沉积致血管破裂相关[10]。
国外有学者总结了9例PLCDD的影像表现,全部患者胸部CT可见多发囊性病变,并且囊壁与血管关系密切,其中有7例患者囊壁上可见血管,同时囊壁内可见血管穿行,9例患者中有8例患者胸部CT可见肺结节,其中大部分为2个及以上的结节[8],所以肺多发囊性病变和多发结节是PLCDD的常见CT表现,当影像同时出现上述两种特征时,更应考虑此疾病可能。值得注意的是,上述影像特征并不唯一,需鉴别能导致上述影像表现的其他疾病,如肺朗格汉斯组织细胞增生、肺淋巴管肌瘤病和淋巴细胞性间质性肺炎、肺淀粉样变等。该患者胸部CT可见双肺多发囊性病变伴结节形成,且囊壁与血管关系密切,囊壁上及囊壁内均可见血管伴行,与国外文献报道一致。
组织学上,LCDD的2种主要类型为结节型和弥漫型[5]。结节型LCDD的特征为大量嗜酸性物质细胞外的结节状沉积,并伴有大量多核巨细胞和浆细胞浸润,病变更多地局限于肺部,且多与自身免疫性疾病相关[5,8]。而弥漫型LCDD的特征是在肺泡、细支气管和血管壁的基底膜内有明显的嗜酸性物质沉积,并可出现不同程度的纤维化,更常见于多系统受累的LCDD。肺囊性病变在两种组织类型中均可出现。值得一提的是,在组织病理中需注意区分PLCDD和肺淀粉样变性,两者肺组织病理中均可见苏木精一伊红染色无结构物质沉积,不同的是,LCDD沉积的轻链无法形成β折叠结构,刚果红染色为阴性,而淀粉样变性中沉积的淀粉样物质可形成反向平行的β折叠,刚果红染色阳性。该患者于穿刺的肺组织中及部分血管壁可见红染无结构物沉积,伴多核巨细胞反应,且刚果红染色偏光镜下未见双折光性,与结节型LCDD的病理特征基本符合。
PLCDD是由单克隆轻链蛋白在肺部沉积所致,当病灶局限于肺部,尚未累及其他脏器时,患者的血液或尿液中可能无法检出M蛋白。Arrossi等人报告并复习了39例累及肺部的LCDD,其中21例患者完善了血液或尿液M蛋白检测,当中只有9例患者阳性,5例确诊为多发性骨髓瘤[12]。协和医院于2018年发表的一篇文献复习同样得出相似结论[9]。提示我们,血液或尿液中检测到M蛋白的患者,则更容易并发肺外脏器受累或其他血液系统疾病。本病例中我们对患者进行了血液及尿液的M蛋白检测,同时完善全身PET/CT,结果回报未见明显异常,综合目前检查结果,诊断为肺轻链沉积症,暂无肺外脏器受累,不过尚需动态随访观察。
目前对于PLCDD的治疗尚无统一的方法。现有的治疗方案主要基于是否并发肺外脏器受累或其他血液系统疾病。本例患者同时并发干燥综合征,但无肺外脏器受累,且未合并其他血液系统疾病,建议患者口服甲泼尼龙联合环磷酰胺治疗。而对于合并淋巴瘤、浆细胞病时,则倾向采用化疗方案。对于终末期PLCDD患者可考虑行肺移植手术[13,14],目前也有通过造血干细胞移植治疗肺轻链沉积病合并巨球蛋白血症的个案报道[15],但这些治疗手段的长期获益未来还需要更多大样本报道来证实。
总之,PLCDD是一种相对少见的疾病,容易被误诊或漏诊,当胸部影像可见多发囊性病变合并结节,特别是囊壁与血管关系密切时应考虑PLCDD的可能,最终确诊有赖于受累脏器的病理活检,对于确诊患者,建议完善血液或尿液M蛋白检测,协助评估是否存在肺外脏器受累或其他血液系统疾病。目前对于该疾病的治疗尚无统一方案,肺移植或造血干细胞移植的长期获益还有待评估。
所有作者均声明本研究不存在利益冲突





















