
先证者,男,10岁,以"自幼双眼视力差"为主诉就诊。家族史中先证者弟弟、外公自幼视力差。
先证者及其弟弟、外公主要表现为双眼自幼视力差、眼球震颤、黄斑区呈轮辐状劈裂。
眼底照相检查示双眼黄斑区劈裂呈轮辐状外观。光学相干断层扫描(OCT)示双眼黄斑区视网膜呈现囊样扩张改变,其囊腔中被垂直的桥状组织所分割。基因检测鉴定患者的X染色体上RS1基因c.214G>C:p.Glu72Gln半合子错义突变,先证者母亲携带同位点杂合变异,家系中其余成员的基因型为野生型。诊断:双眼先天性视网膜劈裂症。
支持疗法,必要时激光或手术治疗。
建议患者配镜,进行低视力训练,提高视力,并密切随访。
眼科;儿科;遗传代谢科
版权归中华医学会所有。本文为遵循CC-BY-NC-ND协议的开放获取文章。
先天性视网膜劈裂症,又称X连锁遗传性视网膜劈裂症(X-linked juvenile retinoschisis, XLRS),是一种少见的遗传性致盲性眼病,发病率约为1/5000~1/25000[1],临床表现主要为自幼视力下降,眼底可见视网膜劈裂呈轮辐状改变。分子遗传学研究显示该病的致病基因是位于X染色体上的retinoschisis(RS)1基因,编码一段由224个氨基酸组成的蛋白,称为视网膜劈裂(RS)蛋白。我们报道一个XLRS家系,并对其临床表型及基因型进行分析,其突变位点国外尚无报道,提高对本病的认识,减少误诊和漏诊。
本文笔者以一个在厦门大学附属厦门眼科中心诊治的先天性视网膜劈裂症家系为研究对象(图1),家系中所有成员均无全身性病变。先证者,男,10岁,因"双眼自幼视力差"就诊。右眼视力:指数/30cm,矫正-4.50DS→0.05,左眼视力:0.05,矫正-3.75DS/-0.75DC×20→0.25。眼压:右眼10.1mmHg,左眼13.0mmHg。双眼角膜透明,前房中深,虹膜纹理清,瞳孔圆,晶状体透明。


▇:患病男性;□:正常男性;○:正常女性;⊙:女性携带者;↗:先证者;
:已故男性
先证者弟弟(Ⅲ-2),7岁,与先证者有类似眼部表现。右眼视力:0.06,矫正-4.25DS/-0.50DC×85→0.2,左眼视力:0.08,矫正-2.25DS/-1.00DC×90→0.3。眼压:右眼14.1mmHg,左眼10.0mmHg。双眼角膜透明,前房中深,虹膜纹理清,瞳孔圆,晶状体透明。
先证者外公(Ⅰ-3)71岁,自述右眼自幼失明,曾于外院行左眼白内障手术。右眼视力:无光感,左眼视力:0.04。眼压:右眼14.0mmHg,左眼13.0mmHg。右眼角膜透明,前房中深,虹膜纹理清,瞳孔圆,晶状体混浊,眼底无法窥入;左眼角膜透明,前房中深,虹膜纹理清,瞳孔圆,人工晶体位正,晶状体后囊混浊。
先证者母亲(Ⅱ-2)33岁。双眼矫正视力1.0。双眼眼压正常。双眼角膜透明,前房中深,虹膜纹理清,瞳孔圆,晶状体透明,眼底视网膜平伏。
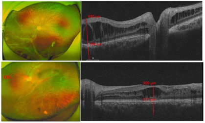
先证者欧堡示双眼黄斑区劈裂呈现轮辐状外观,周边部视网膜皱褶。OCT示双眼黄斑区视网膜呈现囊样扩张改变,其囊腔中被垂直的桥状组织所分割,无炎症渗出性改变,右眼较左眼明显(图2)。ERG示暗适应状态下,视杆细胞振幅重度降低,潜时延长;明适应状态下,视锥细胞振幅重度降低,潜时延长。


先证者弟弟(Ⅲ-2)眼底照相示双眼黄斑区劈裂隐约呈现轮辐状外观。OCT示双眼黄斑区视网膜呈现囊样扩张改变,其囊腔中被垂直的桥状组织所分割,无炎症渗出性改变(图3)。


先证者外公(Ⅰ-3)OCT示左眼黄斑中心凹变平,各层界限不清,视网膜神经纤维萎缩。
先证者母亲(Ⅱ-2)OCT示双眼视网膜各层界限清,视网膜厚度正常(图4)。


在患儿家属签署知情同意书后,采集家系中患者及表型正常者外周静脉血2ml,提取基因组DNA。通过高通量目标区域捕获测序和Sanger测序发现该家系患者的X染色体上RS1基因c.214G>C:p.Glu72Gln半合子错义突变,与疾病共分离(图5),先证者母亲携带同位点杂合变异,家系中其余成员的基因型为野生型。


A.患者该位点为半合子变异 B.女性携带者(Ⅱ-2)该位点为杂合变异 C.家系中其余成员该位点为野生型
支持疗法。该家系患者无XLRS相关并发症,建议其配镜,进行低视力训练,提高功能性视力。
密切随访,必要时进行遗传及优生优育咨询。
先天性视网膜劈裂症(XLRS)最早可追溯到1898年,奥地利眼科医生Josef Haas描述了一对XLRS患病兄弟的黄斑劈裂改变[2],该病为X连锁隐性遗传疾病,极少数为常染色体隐性遗传,发病率约为1/5000~1/25000,患者几乎为男性,女性一般为致病基因携带者[1,3,4]。XLRS临床表现为黄斑部呈放射状的细小视网膜皱褶和囊样扩张改变,当液化的玻璃体通过视网膜劈裂部位进入视网膜下腔时,容易出现视网膜脱离,当视网膜血管长入玻璃体腔时,血管破裂容易出现玻璃体积血,造成更严重的视力下降。除此之外,患者还可能出现眼球震颤、斜视、黄斑裂孔、新生血管性青光眼等并发症,对患者视力造成威胁[5,6]。
临床上,相关的眼科辅助检查对XLRS的诊断和治疗显得尤为重要。眼底照相可观察到视网膜劈裂呈轮辐状外观,而周边部视网膜劈裂表现可能不明显。光学相干断层扫描(OCT)是一种无创方法,可快速获得视网膜神经纤维层的高分辨率横截面图像。XLRS患者的OCT检查表明黄斑中心凹劈裂主要发生在内核层,偶尔发生在外核层/外丛状层,很少发生在神经纤维层,OCT表现为黄斑区及周边视网膜呈囊样扩张改变,囊腔中被垂直的桥状组织分割[7]。ERG显示b波下降、a波不变,导致b/a波振幅值下降。眼底荧光血管造影(FFA)显示黄斑部在动脉期表现为不规则的点状强荧光,部分密集呈点状或块状,晚期形态无显著改变[8]。
本研究家系的特征为患者皆为男性、隔代遗传,由女性携带者(Ⅱ-2)将致病基因传递至先证者及其弟弟(Ⅲ-1、Ⅲ-2),符合X性染色体隐性遗传模式。先证者及其弟弟、外公均自幼视力差,其中先证者及其弟弟表现为明显的黄斑区囊样扩张改变,囊腔中可见垂直的桥状组织,劈裂发生于神经纤维层、内核层,与文献报道一致[9,10],先证者外公(Ⅰ-3)视网膜神经纤维萎缩。先证者母亲(Ⅱ-2)眼底未见明显异常,双眼矫正视力1.0。Molday和Rodriguez等人[3,11,12]报道女性携带者通常具有正常的视网膜功能,很少出现视网膜异常。通常由于患病男性与致病基因女性携带者近亲结婚,导致XLRS女性患者为纯合子变异而发病[13,14]。
XLRS的致病基因为RS1基因,该基因包含6个外显子,编码一段由224个氨基酸组成的蛋白(RS1蛋白)。该蛋白参与调节光感受器细胞、双极细胞和Müller细胞间的黏附与信号传递,维护视网膜结构的完整性[15,16]。到目前为止,报道的RS1基因突变位点超过200个,大部分是位于4-6外显子的错义突变,其他类型突变包括无义突变、剪接突变、移码突变[17,18,19]。
本研究家系中RS1基因变异位点为c.214G>C:p.Glu72Gln,该变异导致RS1基因第214位碱基G被替换为C,导致第72号氨基酸由谷氨酸变成谷氨酰胺,该区域编码RS1蛋白的盘状结构域。截至目前,尚未见国外学者报道该变异位点,只有两位中国学者报道3个病例,说明该变异位点可能有种族遗传特异性。俞萍等[20]在2001年报道了1个XLRS家系和1个散发XLRS病例,均来自河北省邢台市,但无相关临床特征描述。Chen等人[21]在2020年回顾性研究了90例XLRS患者临床表现及RS1基因型分析,其中1例散发病例的变异位点与本研究相同,其患者23岁发病,有XLRS家族史,双眼黄斑萎缩、周边部视网膜劈裂、色素沉着。而本研究患者无视网膜色素沉着,可能与患者年龄小有关。本研究为第三篇描述RS1基因c.214G>C:p.Glu72Gln变异位点的报道,为XLRS临床表型及基因变异位点提供了更多的数据,对指导疾病诊断具有一定意义。
XLRS需与其他眼病鉴别诊断。Norrie病与ND基因突变相关,患者常在出生或婴儿时期出现完全的视网膜脱离、"白瞳症",全身可能出现听力障碍、智力低下。Goldmann-Favre综合征为隐性遗传,与NR2E3基因相关,临床表现为中央或周边部视网膜劈裂、RPE变性、玻璃体变性,眼底荧光血管造影(FFA)可见低荧光渗漏,ERG显示a波和b波振幅均下降[2]。Stickler综合征为显性遗传,致病基因为COL2A1、COL11A2等,眼底可出现视网膜脱离、脉络膜视网膜萎缩、视网膜裂孔,可同时伴有骨骼及口面部发育异常、听力损伤、腭部缺损等一系列改变[22]。
目前尚无明确的可治愈XLRS的方法,对出现XLRS并发症的患者进行对症治疗,伴有玻璃体出血、视网膜脱离的患者行激光或手术治疗。有学者[23,24,25]提出局部应用2%多佐胺可能改善视力,但疗效不明确。因此,指导患者、携带者通过分子生物学的实验方法,进行科学的遗传咨询、产前诊断,可以有效避免患儿出生,降低XLRS发病率。
综上,本研究通过家系调查、眼科检查,确定了由X染色体上RS1基因c.214G>C:p.Glu72Gln半合子错义突变的一个XLRS家系,所发现的变异位点在国外尚无报道。研究结果丰富了RS1基因的突变谱,也有助于遗传咨询和XLRS患者的防治。
所有作者均声明本研究不存在利益冲突





















