
患者,女性,27岁,因"双下肢酸痛、乏力1+天,加重伴全身乏力5+小时"就诊。
入院前1+天,患者出现双下肢酸痛、乏力,活动较前迟缓,不伴肢体活动障碍,不伴头晕、出汗、恶心呕吐,不伴嗜睡、面色苍白等,后患者入厕后出现头晕致跌倒,无明显外伤,无呼之不应、大小便失禁等;5+小时前,患者出现全身乏力症状,伴头晕、恶心呕吐(非喷射性呕吐,呕吐物为胃内容物),伴四肢活动障碍。
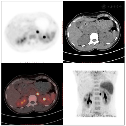
腹部增强CT:左侧肾上腺结节,考虑腺瘤;双肾多发小结石。68Ga-Pentixafor PET/CT提示:1.左侧肾上腺体部结节伴CXCR4(CXC chemokine receptor type 4)高表达,考虑醛固酮腺瘤(Aldosterone-Producing Adrenal Adenomas,APA)可能。2.双肾多发小结石。
积极予以补钾、保钾等对症治疗,血钾值稳定后在全麻下行腹腔镜下左侧肾上腺切除术。术后病检提示:"左侧肾上腺"皮质腺瘤,CXCR4(+),CYP11B2(+)。术后诊断左侧肾上腺醛固酮腺瘤。
术后1个月的随访显示,患者无症状,血压和血清钾水平正常,无进一步治疗。
内分泌科;核医学科;影像科
版权归中华医学会所有。本文为遵循CC-BY-NC-ND协议的开放获取文章。
原发性醛固酮增多症(primary aldosteronism,PA)是继发性高血压的最常见类型,高血压患者中PA约占5.9%,而在三级高血压中PA的比例高达11.8%[1]。PA系肾上腺皮质自主性分泌醛固酮增多所致,临床上以高血压伴或不伴低血钾为特征。不少临床研究证实,PA患者比原发性高血压(essential hypertension,EH)患者更易发生心脑血管损害及代谢异常[2,3]。鉴于PA的高患病率及高醛固酮血症的危害,早期诊断及治疗PA十分必要。
患者,女性,27岁,以"双下肢酸痛、乏力1+天,加重伴全身乏力5+小时"为主诉入院。入院前1+天,患者无明显诱因出现双下肢酸痛、乏力,活动较前迟缓,不伴肢体活动障碍,不伴头晕、出汗、恶心呕吐,不伴嗜睡、面色苍白等,休息后不能缓解;后患者入厕后出现头晕致跌倒,无明显外伤,无呼之不应、大小便失禁等,遂入当地医院就诊,予以输液治疗(具体不详)后双下肢酸痛乏力、头晕症状缓解不明显;5+小时前,患者出现全身乏力症状,伴头晕、恶心呕吐(非喷射性呕吐,呕吐物为胃内容物),伴四肢活动障碍,不伴大汗、心悸,不伴嗜睡、昏迷;为求进一步诊治,遂入我院。一般情况:自发病以来,食欲正常,睡眠正常,大小便正常,体重无减轻。
入院后血压151/96 mmHg。完善相关辅助检查提示:电解质5项:K 1.80 mmol/L(参考范围:3.5~5.3 mmol/L),Na 148.9 mmol/L(参考范围:137~147 mmol/L)。头颅、颈部CT平扫:左枕顶部皮下软组织肿胀并少许血肿;泛发型副鼻窦炎。腹部增强CT:左侧肾上腺结节,考虑腺瘤;双肾多发小结石。高血压4项:COR 8:00 19.37 μg/dl(参考范围:6.40~21.00 μg/dl),ACTH 8:00 11.14 pg/ml(参考范围:6.00~48.00 pg/dl),ALD 19.30 ng/dl(参考范围:立位0.00~35.30 ng/dl),REN <0.50 μIU/ml(参考范围:立位4.40~46.10 μIU/ml)。卡托普利试验前:ALD 24.10 ng/dl,REN <0.50 μIU/ml。卡托普利试验后:ALD 25.00 ng/dl,REN 0.71 μIU/ml。盐水负荷试验前:ALD 38.80 ng/dl;REN <0.50 μIU/ml;盐水负荷试验后:ALD 24.50 ng/dl,REN <0.50 μIU/ml。68Ga-Pentixafor PET/CT(图1)提示:1、左侧肾上腺体部结节伴CXCR4(CXC chemokine receptor type 4)高表达,考虑醛固酮腺瘤(Aldosterone-Producing Adrenal Adenomas,APA)可能。2、双肾多发小结石。


初步诊断:低钾血症:原发性醛固酮增多症?依据:患者为青年女性,主要表现为双下肢酸痛、乏力1+天,加重伴全身乏力5+小时,患者入院查体四肢活动受限,双下肢肌力2~3级,双上肢肌力2~3级。入院后测血压为151/96 mmHg,血清钾为1.80 mmol/L。
鉴别诊断:脑梗塞:该病有四肢肌力下降、活动障碍等表现,并有面部偏瘫、伸舌歪斜、意识模糊等表现,该患者为青年女性,有四肢乏力症状,但患者意识级神经系统查体未见明显阳性体征,头颅、颈部CT平扫示:左枕顶部皮下软组织肿胀并少许血肿;泛发型副鼻窦炎,故暂不考虑。
完善相关检查:患者立位血醛固酮水平/肾素活性(ARR)>30(ng/ml·h)/(ng /dl)PA初筛试验阳性。行卡托普利试验和盐水负荷试验后确诊试验阳性。上、中腹部增强CT提示左侧肾上腺腺瘤。68Ga-PentixaforPET/CT检查提示左侧肾上腺体部PA(醛固酮腺瘤)。
予以补钾、保钾等对症治疗,在血钾值稳定后,行腹腔镜下左侧肾上腺切除术。术后病检提示:"左侧肾上腺"皮质腺瘤。
术后1个月的随访显示,患者无症状,血压和血清钾水平正常,无进一步治疗。
原发性醛固酮增多症(primary aldosteronism,PA)是由单侧或双侧肾上腺自主分泌过多的醛固酮而造成的以高血压为主,伴或不伴有低血钾为特征的23%[1]。不少临床研究证实,PA患者比原发性高血压(essential hypertension,EH)患者更易发生心脑血管损害及代谢异常[2,3]。早期诊断和及时治疗对降低相关风险至关重要。
PA的诊断主要包括筛查试验、确诊试验及分型诊断3步。根据2016年美国内分泌学会临床实践指南,PA的筛查主要依据血浆醛固酮与肾素的比值(aldosterone-to-renin ratio,ARR),当该值升高[多数中心以20~30(ng/ml·h)/(ng /dl)为切点]时,提示筛查试验阳性,但影响该检测的干扰因素较多,在初筛阳性的高血压患者中,有30%~50%会出现假阳性[4]。为了排除这些假阳性结果,需进行确诊试验以明确PA的诊断。目前指南推荐的PA诊断试验主要包括盐水负荷试验、卡托普利试验、氟氢可的松抑制试验及口服钠负荷试验4种。在PA所有诊断试验中,氟氢可的松抑制试验是公认诊断PA最可靠的方法,但由于其诊断过于繁琐、费用昂贵、药物难以获得等原因难以广泛开展。与氟氢可的松抑制试验比较,盐水负荷试验与卡托普利试验过程简便,在临床上应用较为广泛。在经过确诊试验考虑为PA的患者可进一步行肾上腺静脉取血术(adrenal venous sampling,AVS)以明确分型,从而为后续制定治疗方案提供依据。醛固酮腺瘤(APA)和特发性醛固酮增多症(idiopathic aldosteronism,IHA)是PA的主要亚型。APA通常采用手术切除,IHA则主要采用盐皮质激素受体拮抗剂治疗。
目前肾上腺静脉取血是定位的金标准方法,与肾上腺CT和MRI相比,肾上腺静脉取血的优势很明确[5,6]。然而,肾上腺静脉取血在临床上应用有一定的局限性:首先,它是一种侵入性方法,可能导致严重的不良事件,如肾上腺静脉破裂;其次,它需要技术熟练的介入放射科医生,特别是在右肾上腺静脉插管时。值得注意的是,右肾上腺静脉正确插管的不确定性以及频繁的"灰色地带"的发现可能会对采样结果的解释产生重大影响;最后,使用造影剂有引起肾损害的风险。鉴于以上几个问题,发展新的非侵入性定位方法成为必要。
CXC趋化因子受体4(CXCR4)是一种跨膜G蛋白偶联受体,68Ga-Pentixafor作为一种放射性标记的特异性CXCR4配体已被用于检测许多血液学和实体肿瘤,近几年来,它也被报道用于APA的检测[7,8,9]。研究表明,CXCR4主要在醛固酮产生组织中高表达,且与CYP11B2的表达水平显著相关,但在几乎所有NFA中均呈阴性或弱表达(96%的NFA显示CXCR4染色较低或未染色)。显像研究表明,APA病灶在68Ga-Pentixafor PET上均有显著的显像剂摄取,而非PA患者具有较低的摄取水平;68Ga-Pentixafor PET/CT中PA的SUVmax与CXCR4和CYP11B2的分子表达密切相关,这意味着68Ga-Pentixafor PET/CT具有良好的重复性。
本例年轻患者临床表现为高血压、低血钾,不难想到原发性醛固酮增多症的可能,通过完善相关实验室检查确诊了原发性醛固酮增多症。患者的腹部CT提示了左侧肾上腺腺瘤,但是仅依据CT或MRI检查,并不能确定患者的原发性醛固酮增多症是否是由该腺瘤分泌过多醛固酮所致。为了进一步明确患者是否为醛固酮腺瘤,患者接受了68Ga-Pentixafor PET/CT显像,显像结果显示左侧肾上腺结节CXCR4高表达,提示为分泌醛固酮的功能性组织,从而得出醛固酮腺瘤的诊断。68Ga-Pentixafor PET/CT显像是一种高度敏感和特异且无创性的APA定位诊断方法。
所有作者均声明本研究不存在利益冲突





















