
患者,男,49岁,因"反复发作性头晕2年,再发10天"入院治疗,住院期间发现低血糖,同步血葡萄糖1.73 mmol/L(3.89-6.11mmol/L)、血清胰岛素10.44 μIU/ml(1.9-23μIU/ml)、C肽4.25 μg/L(1.1-4.4μg/L)。饥饿试验:血葡萄糖1.97 mmol/L(3.89-6.11mmol/L)、血清胰岛素11.56 μIU/ml(1.9-23μIU/ml)。胸部CT、全腹彩超、甲状腺彩超及胰腺MRI平扫+增强均未见明确异常。临床诊断内源性高胰岛素血症性低血糖(胰岛素瘤可能性大)。68Ga-exendin-4 PET/CT显像示胰尾放射性摄取增高的灶,诊断胰尾胰岛素瘤。术后病理示神经内分泌肿瘤(NET, G1)。
反复发作性头晕2年
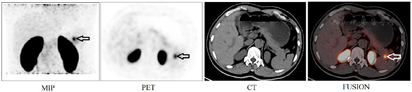
68Ga-exendin-4 PET/CT显像治疗方法手术切除
患者再无低血糖发作
内分泌科;神经内科;核医学科
版权归中华医学会所有。本文为遵循CC-BY-NC-ND协议的开放获取文章。
胰岛素瘤是起源于胰岛β细胞的神经内分泌肿瘤,约占胰腺肿1%~2%,发病率约0.4/10万[1],是引发非糖尿病患者出现器质性低血糖症最常见的病因,临床表现为反复发作的高胰岛素血症性低血糖,伴交感神经兴奋、中枢神经受抑制的临床症状和体征。外科手术是根治胰岛素瘤的唯一方法[2]。精确的定位诊断是指导外科手术的关键。靶向胰岛β细胞的放射性核素分子探针的出现,为胰岛素瘤的精确定位提供了可能。我们报道1例68Ga-exendin-4 PET/CT准确定位诊断胰岛素瘤。
患者以"反复发作性头晕2年,再发10天"为主诉入院治疗,2年前无明显诱因出现反复头晕,伴头痛、偶伴人事不省,无视物旋转、耳鸣、恶心、呕吐、腹痛、腹胀、乏力、纳差,多次就诊,对症治疗(具体不详),病情缓解。10天前再次头晕,就诊当地医院发现低血糖,经进食处理后可缓解。家族史:父健在,母已故,死因不详,无家族及遗传病史。无冶游、吸毒史。无手术史。
低血糖时同步测血葡萄糖1.73 mmol/L(参考范围:3.89~6.11mmol/L,以下同)、血清胰岛素10.44 μIU/ml(1.9~23μIU/ml)、C肽4.25 μg/L(1.1~4.4μg/L)。饥饿试验:血葡萄糖1.97 mmol/L(3.89~6.11mmol/L)、血清胰岛素11.56 μIU/ml(1.9~23μIU/ml)。胸部CT、全腹彩超、甲状腺彩超及胰腺MRI平扫+增强均未见明确异常。68Ga-exendin-4 PET/CT显像(图1)示胰尾一结节状放射性摄取增高灶,直径约1.0 cm,SUVmax = 9.8,同机CT示相应部位为等密度影;余胰腺组织呈弥漫型轻度放射性摄取,诊断胰尾胰岛素瘤。


术后病理示神经内分泌肿瘤(NET, G1)。临床诊断胰岛素瘤。
鉴别诊断:(1)局灶性胰岛细胞增生:在68Ga-exendin-4 PET/CT显像上病变范围比胰岛素瘤大,放射性摄取相对低。(2)十二指肠Brunner’ s腺生理性摄取:PET /CT同机CT准确定位可以避免十二指肠Brunner’ s腺体生理性摄取与胰头区病灶混淆。
外科手术治疗。
手术后患者无再发低血糖发作。
胰岛素瘤是最常见的功能性胰腺神经内分泌肿瘤,也是成年人器质性低血糖症最常见的病因。手术是根治胰岛素瘤的唯一方法。准确的定位诊断至关重要。
胰岛素瘤起源于胰岛β细胞,其胰高血糖素样肽-1(glucagon-like peptide-1, GLP-1)受体的表达程度非常高,约为正常胰岛β细胞的6-12倍,是迄今为止发现的胰岛素瘤表达程度最高的受体,并且90%以上的胰岛素瘤都有GLP-1受体高表达[3,4]。Exendin-4是GLP-1类似物,胰岛素瘤对放射性核素标记的exendin-4示踪剂具有较高的放射性摄取和靶本比值。用111 In或99 Tcm标记exendin-4作为示踪剂进行SPECT/CT显像,在3个临床研究中,共47例临床怀疑胰岛素瘤的内源性高胰岛素血症性低血糖病例,GLP-1R显像对胰岛素瘤定位诊断的灵敏度为95%-100%,阳性预测值为83%[5,6,7]。
相对于SPECT/CT显像,PET/CT显像有更高的空间分辨率和图像信噪比,有利于提高对小胰岛素瘤诊断的灵敏度,有更高的诊断灵敏度和特异度[8,9,10]。一项临床研究表明,68 Ga-exendin-4 PET/CT对胰岛素瘤的诊断灵敏度为99.1%,远高于胰腺灌注CT(80.7%)、胰腺MRI(78.9%)、超声内镜(79.2%)、生长抑素受体显像(22.8%),且诊断特异度达100%,亦优于胰腺灌注CT(83.7%)、胰腺MRI(77.3%)和超声内镜(80.0%)[11]。异位胰岛素瘤极为罕见,约占所有胰岛素瘤的1%至2%,该病的诊断非常具有挑战性。68 Ga-exendin-4 PET/CT显像对于异位胰岛素瘤的定位诊断有很大的优势[11,12]。
68Ga-exendin-4 GLP-1受体PET/CT显像对胰岛素瘤的定位诊断有较高的敏感性及特异性。
所有作者均声明本研究不存在利益冲突





















