
患者女,24岁,以"消化道出血"就诊。当地医院诊断为胃胃肠间质瘤,给予口服伊马替尼400mg/d治疗。经过6个月伊马替尼靶向治疗后肿瘤出现进展,考虑为伊马替尼原发耐药。遂至华中科技大学同济医学院附属协和医院胃肠间质瘤专病门诊就诊。
上腹部及右下腹轻度压痛,剑突下可及一约10 cm×6 cm包块,边界不清,无反跳痛或肌紧张。
诊断为胃多发GIST术前治疗后进展(肝脏、附件转移可能)。
经MDT讨论,患者肿瘤预期可完整切除。纠正贫血后行腹腔镜下腹腔探查+远端胃切除(Roux-en-Y)+肝脏肿瘤切除+左侧卵巢切除术,术后病理示胃胃肠间质瘤伴肝脏及淋巴结多发转移,基因检测为野生型,免疫组织化学染色示SDH(-)。结合指南变更给予舒尼替尼37.5mg/d靶向治疗。
截止到2021年10月,随访66个月,患者无明显不良反应,肝脏转移病灶完全缓解,其余部位未发现明显复发转移迹象。
胃肠外科;消化内科;腹部外科;普外科
版权归中华医学会所有。本文为遵循CC-BY-NC-ND协议的开放获取文章。
琥珀酸脱氢酶(succinate dehydrogenase, SDH)又称为线粒体呼吸链复合物Ⅱ,位于线粒体内膜上,由A、B、C、D 4个亚单位构成,在三羧酸循环中催化琥珀酸盐氧化为延胡索酸盐,并参与电子传递。SDH复合物中任何一个亚单位的缺陷均会导致SDH复合物功能障碍,进而导致琥珀酸盐的堆积,使致瘤反应和血管生成反应相关信号通路异常激活,促使SDH缺陷相关肿瘤的发生,胃肠间质瘤(gastrointestinal stromal tumor, GIST)便是其中最常见的一种[1]。同c-KIT/PDGFRA基因突变型GIST相比,SDH缺陷型GIST在临床病理表现、治疗及预后等方面均有其特殊性。
患者女,24岁,于2015年9月因"呕血3小时、便血3天"就诊于当地医院。行腹部CT示:①胃多发高密度影肿块,考虑肿瘤性病变,胃GIST?②肝脏多发低密度影,肝内血管瘤可能。胃镜示:胃体-胃角-胃窦可见数个大小不一的球形及半球形隆起,呈串珠样排列,胃窦处最大一个约为7.0cm×7.0cm,表面糜烂。穿刺活检示:镜下可见数小团梭形细胞;免疫组织化学染色示:CD117(+),CD34(+),DOG-1(+),SMA(-);因组织量较少未行基因检测。结合免疫组织化学染色及临床病史,符合(胃)胃肠间质瘤,当地医院给予口服伊马替尼400mg/d治疗。2015年12月复查腹部CT示:①胃多发肿块,胃GIST可能,较3个月前肿瘤大小无明显变化;②肝内稍低密度影,考虑肝脏多发血管瘤。当地医生考虑患者为胃GIST靶向治疗后疾病稳定,决定维持当前治疗方案。2016年3月19日复查腹部CT示:①胃窦、胃小弯、侧壁及肝胃间区多发富血供肿块,考虑为胃肠间质瘤;②盆腔左侧团块灶,考虑为左侧卵巢肿瘤;③肝内稍低密度影,考虑肝脏多发血管瘤。肿瘤大小较3个月前明显增大并出现肝胃间隙转移,患者为求进一步治疗,遂前往华中科技大学同济医学院附属协和医院胃肠间质瘤专病门诊就诊,门诊以"(胃)胃肠间质瘤靶向治疗后,肝脏多发占位,左侧卵巢占位"收入。患者既往体健,父母健在,家族中无类似病史。
查体:上腹部及右下腹轻度压痛,剑突下可及一约10 cm×6 cm包块,边界不清,无反跳痛或肌紧张。查血:红细胞3.02×1012/L,血红蛋白98g/L,余未见明显异常。全腹部增强CT:①胃小弯侧胃体-胃窦及肝胃间区见多发软组织密度影,部分呈串珠状排列,胃窦较大者约4.5cm×3.8cm,囊性变明显,增强呈明显强化,考虑为胃GIST伴肝胃间隙转移。②肝内散在结节状稍低密度影,大者位于右后叶上段,长径1.8cm,增强呈渐进性强化。③左侧附件区见块状软组织密度影,约3.7cm×3.1cm,增强呈轻度不均匀强化。④腹腔腹膜后小淋巴结增多(图1)。妇科B超:左卵巢见2.4cm×1.9cm极低回声,内似见网状分隔,考虑为囊性病变,性质待查。


1.胃巨大胃肠间质瘤伴肝胃间隙转移,伊马替尼靶向治疗后;
2.肝脏占位病变:转移瘤?肝血管瘤?
3.卵巢占位:转移瘤?卵巢囊肿?
4.轻度贫血。
经MDT讨论,患者虽然手术有风险,但一般情况良好,预期肿瘤可完整切除。给予纠正贫血等对症治疗后,于2016年4月1日行腹腔镜下腹腔探查+远端胃切除(Roux-en-Y)+肝脏肿瘤切除+左侧卵巢切除术,术中见胃体及胃窦多发结节,约8~10个,最大者6cm×6cm,其中胃窦一结节囊性变显著;胃周多发肿大淋巴结,肝脏表面可及多个大小不一结节,最大者位于左外叶,大小约1.5cm×1.0cm;左侧卵巢偏大,呈坏死样组织。
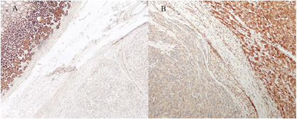
术后病理:①(远端胃及部分肝脏)胃肠间质瘤(胃肿瘤大小:14cm×4cm;肝脏肿瘤大小:0.8cm×0.5cm及1.3cm×1.1cm;核分裂象:10个/50HPF);胃体断端及幽门断端、肝脏手术切缘未见肿瘤累及。②肝总动脉旁淋巴结(3/7)、小弯侧淋巴结(6/22)、大弯侧淋巴结(2/18)肿瘤转移。③(左侧)卵巢滤泡囊肿(图2)。


免疫组织化学染色:CD117(+),CD34(+),DOG-1(+),SMA(-),S-100(-),Ki-67(Li: 5%)。
基因检测: c-KIT基因外显子9、11、13、17以及PDGFRA基因外显子12、18均为野生型。
患者术后7天恢复出院。出院诊断为:野生型(胃)胃肠间质瘤伴肝脏及淋巴结多发转移。遂行免疫组织化学染色示:SDH(-)(图3),结合指南变更给予舒尼替尼(索坦)靶向治疗,37.5mg/d。


术后7天恢复出院,截止到2021年10月,随访66个月,患者无明显不良反应,肝脏转移病灶完全缓解,其余部位未发现明显复发转移迹象。
野生型GIST缺乏c-KIT和PDGFRA基因突变,但常伴有其他基因的结构或表达异常,如琥珀酸脱氢酶(SDH)基因、BRAF基因、1型神经纤维瘤病(NF1)基因突变以及多种基因融合等异常,其中SDH缺陷型约占20%~40%[2]。该类患者常有以下特点:以年轻人多见、肿瘤多原发于胃部、肿瘤进展相对缓慢,组织学上,SDH缺陷型GIST多为条索状或实性、片巢状排列的上皮样瘤细胞,呈丛状或多结节状穿插于平滑肌间生长,或可与梭形瘤细胞混合出现,细胞呈轻至中度异型,核分裂象多见,并常伴有淋巴管侵犯、肝脏和淋巴结转移,不同患者预后差异较大[3]。本中心对SDH缺陷型GIST进行总结发现SDH缺陷型GIST是一种特殊亚型GIST,其生物学行为及治疗方案与普通型有别;对于无c-KIT或PDGFRA突变的GIST,尤其是肿瘤原发胃部的年轻患者,推荐进行SDHB免疫组织化学染色检查;此外该型患者通常对伊马替尼耐药,可能对舒尼替尼有更高的反应率[4]。因此对于首诊的GIST患者,术前活检和基因检测对于其疾病的诊疗、危险度评价有着重要价值。我们建议对于术前活检的患者一定要跟内镜医师、病理医生充分沟通,在确保安全的情况下适当多取组织以便行基因检测。
外科手术是GIST最重要的治疗方式。不同于普通GIST淋巴结转移率低,笔者团队既往研究发现SDH缺陷型GIST淋巴结转移率可达50%,因此常规推荐行手术完整切除及区域淋巴结清扫。SDH缺陷型GIST临床过程趋于惰性,核分裂象的多少与肿瘤发生转移的风险并无明确关系,即使发生肝转移也可生存较长时间,因此不建议使用常规危险度评估标准(核分裂象数和肿瘤大小)评估该亚型GIST的恶性潜能。野生型GIST能否从伊马替尼辅助治疗中获益存在争议,一些小样本研究发现SDH缺陷型GIST患者通常对伊马替尼耐药,对舒尼替尼有更高的反应率[4]。本例患者术前采用伊马替尼治疗无效进而导致肿瘤进展,术后果断更换舒尼替尼治疗,取得较好疗效。因此我们建议对于野生型GIST,尤其是伴有其他基因的结构或表达异常如NF1、BRAF1等的患者,在经济条件允许的情况下考虑二代测序,根据其结果选择合适的靶向药物。
所有作者均声明本研究不存在利益冲突





















