
患者,男性,年龄57岁,因"情绪差5个月余,缄默、拒食近10 d"入院。
患者以精神障碍为首发就诊,存在进行性认知功能下降,由紧张综合征逐步进展为无反应觉醒状态。其神经系统查体可见颈强直、肌张力增高,腱反射亢进、肢体运动性共济失调、踝阵挛、右侧病理征阳性。
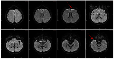
辅助检查脑脊液中14-3-3蛋白阳性,脑电图呈现有"周期性三相波";头颅核磁DWI显示有大脑皮质呈典型"花边征"。结合患者临床特征,根据WHO诊断标准,考虑诊断可能为克-雅病。
克-雅病为罕见病,无特异有效的治疗手段。在本院进行抗抑郁、MECT等治疗,转院至神经内科后给予改善循环、营养神经、脑保护等相关对症支持治疗。
患者临床症状进行性加重,于2020年12月28日,患者因夜间呼吸困难转入神经重症监护病(NCU),于2021年1月底从重症监护室转出,由家人接回家中。
精神科;神经科
版权归中华医学会所有。本文为遵循CC-BY-NC-ND协议的开放获取文章。
克罗伊茨费尔特-雅各布病(Creutzfeldt-Jakob,CJD)简称克-雅病,是由朊蛋白感染所致的中枢神经系统变性疾病,其病程短、进展迅速,病死率高达100%。其首发症状复杂多样,临床极易误诊误治。我们报道1例以精神障碍为首发症状的克-雅病,对患者临床资料进行回顾并进行相关文献复习,旨在帮助提高精神科临床医师对本病的甄别能力。
患者,男性,57岁,主诉"情绪差5个月余,缄默、拒食近10 d"。2020年7月,患者因其母去世出现心情压抑,兴趣减少,乏力,自我评价低,反应迟钝,记忆力下降,经常缄默不语,偶有简单主动交流;食欲差,消瘦,日常生活可自行料理。2021年11月28日开始服用氟西汀分散片20 mg/d,因加至30 mg/d时有明显恶心呕吐,站立不稳,手指痉挛,遂以20 mg/d治疗,合并劳拉西泮最高0.5 mg/d,无明显好转。2020年11月30日开始不语,不主动进食,需家人协助喂食,基本生活需家人协助料理,于2020年12月9日至首都医科大学附属北京安定医院住院治疗。既往患者曾患浅表性胃炎;有血糖升高,未用药。否认手术史、外伤史等。躯体、精神疾病家族史阴性。
入本院后体格检查:体温36.4℃,脉搏100次/min,呼吸19次/min,血压137/84 mmHg(1mmHg=0.133 kPa),皮肤、淋巴结、心肺腹系统检查未见异常。神经系统查体:双侧瞳孔等大等圆,直径约3 mm,对光反射灵敏,颈软无抵抗,四肢肌力检查不合作,双上肢肌张力略增高,双侧指鼻试验、跟膝胫试验、闭目难立征等均不能配合,双侧腱反射对称(+++),脑膜刺激征(-),双侧Babinski’s征(-)。入院精神检查:轮椅推入病房,意识不明,表情显紧张,亚木僵状态,问话多无反应,多数时间卧床,有时有吐舌张口等怪异动作,常固定姿势不动,智能方面检查无法配合。辅助检查:生化26项:总蛋白62.2g/L,白蛋白35.5 g/L,高密度脂蛋白1.56 mmol/L,钠135.1 mmol/L,总胆红素24.8 mol/L;糖化血红蛋白6.2%;血尿常规、凝血四项、特种蛋白五项、C-反应蛋白未见异常;甲功、乙肝五项、丙肝抗体未见明显异常。氟西汀血药浓度为正常范围。心电图、胸部CT未见明显异常;腹部超声:胆囊多发息肉样病变;心脏超声:三尖瓣轻度反流,左室舒张功能减低;头颅核磁及脑电图等暂无法配合。
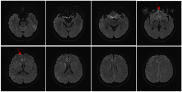
入院第6天查体较前变化体征为:双上肢肌张力略增高,双侧指鼻试验、轮替试验、跟膝胫试验等共济运动欠灵活,步态不稳,需搀扶,双侧腱反射对称(+++),双侧踝阵挛(+),双侧Babinski’s征(-),脑膜刺激征(-),余查体同前。入院第6d精神检查:神志淡漠,表情呆愣,多数时间下为亚木僵状态,对问话较前有反应,张口说话困难,反复提问下可回答几个字,对一些医生的交谈可以有笑容、自嘲的表现,对大多数交谈内容反应不明确;对命令要求可有反应,但难以配合;可疑认知功能减退(患者对检查欠配合),双手姿势怪异,无自知力。2020年12月15日头颅MRI示右侧额颞顶枕叶、左侧额叶、右侧尾状核头可见DWI高信号(图1)。于2020年12月15日转诊至外院神经内科就诊。


转院后体格检查及辅助检查:
患者转院后表现查体:双肺呼吸粗,可闻及湿性啰音,余心腹系统等查体较前无明显变化。神经系统检查:无反应觉醒状态,不语,高级皮层功能检查不合作,颈强直,四肢肌张力高,双下肢腱反射(+++),右侧Babinski’s征(+),余查体不配合。患者头颅MRI、脑电图检查结果如图2,图3所示。脑脊液CSF结果显示:生化、常规、脑脊液病原学检查、自身免疫性抗体检查未见明显异常;脑脊液14-3-3蛋白阳性,朊蛋白(PRNP)基因突变阴性。




CJD诊断在我国一般采用1998年WHO建议诊断标准[1]:①患者在两年内发生进行性痴呆;②出现肌阵挛、视力障碍、小脑症状、无动性缄默等4项症状中2项;③脑电图显示周期性同步放电的特征性改变或脑脊液中14-3-3蛋白阳性。患者具备以上3项可诊断很可能;仅具备①、②,不具备③项,诊断为可能;脑活检发现海绵状态和PrPsc(发生异常折叠的SC型朊蛋白)朊蛋白为确诊的CJD。此外2018年Hermann等[2]提出诊断标准中核磁影像学异常亦可作为sCJD诊断的临床检查之一,美国和英国疾病控制和预防中心(CDC)早在2010年已将其纳入修订的诊断标准中[3]。
本例患者脑电图呈现有"周期性三相波",脑脊液中14-3-3蛋白阳性,头颅核磁影DWI显示有大脑皮质呈典型"花边征"及结合患者快速进展的临床症状考虑很可能为克雅氏病即Creutzfeldt-Jakob病(CJD)。
入院后给予输液营养支持,第3天及第5天给予MECT治疗共2次。口服药物给予盐酸氟西汀分散片20 mg/d,劳拉西泮0.25~0.75 mg/d,患者病情改善不理想。本例患者转院后于2020年12月28日,因夜间呼吸困难转入神经内科重症监护病(NICU),后因吸气性呼吸困难行气管插管、气管切开,同时予以改善循环、营养神经、脑保护等相关对症支持治疗。
患者于2020年12月28日因夜间呼吸困难转入神经重症监护病(NCU),于2021年1月底从重症监护室转出,由家人接回家中看护。
总结本例患者病情特点:患者中年男性,母亲去世后起病,慢性持续病程5个月余,首发症状主要表现为类似抑郁症状,既往无重大躯体疾病史。患者入院后意识情况不详,起初根据现有实验室检查暂未发现器质性疾病证据。根据DSM-5及结合Bush-Francis紧张症量表进行诊断,患者临床印象为紧张综合征。由于紧张综合征广泛存在多种疾病中,患者可能存在与精神障碍相关或与躯体疾病相关的病因。尽管病因不明确,我们参考既往文献[4],给予患者抗抑郁剂及MECT治疗,但总体效果不佳。根据患者入院反复查体后存在变化的神经系统阳性体征且随着疾病进展,患者出现进行性认知功能下降,我们考虑其存在器质性病因可能性大。故给予患者上述对症治疗的同时继续积极完善核磁,在发现影像学异常同时尽快为其提供了转院治疗,患者在外院随即进入了CJD诊断及治疗流程。
据估计,全世界人类朊病毒疾病的年发病率相对稳定,每年大约为1/100万[5]。Creutzfeldt-Jakob病(CJD)是人类最常见的朊病毒病,是由朊蛋白感染所导致的中枢神经系统变性疾病。我国CJD发病年龄以50~70岁的中老年人居多,无明显性别差异,中位生存时间为6.1个月,整体生存时间<2年[6]。CJD中约85%为散发性CJD(sCJD),大约10%~15%的病例是家族性的(遗传性CJD);在少数患者中,朊病毒病是通过医源性传播或暴露于牛海绵状脑病(BSE)病原体获得的[7]。鉴于目前对CJD患者无任何特异性治疗和预防方法,90%的CJD患者在1年内从正常状态到死亡[8]。
本例病例作为罕见病,在临床极易误诊误治,分析主要有以下几个方面。首先精神科医师对罕见病临床症状不熟悉,其首发症状往往不典型,多种多样的早期不典型的CJD症状使得疾病误诊率很高。Abudy等[9]描述的具有精神症状的CJD患者队列中有44%的患者收到精神疾病的错误诊断,并且被推荐就诊于精神科而非神经科。在CJD患者中以精神症状为首发就诊的比例较少见。2015年陈操等[10]针对中国366例克雅氏病进行病例特征分析,结果显示:快速进行性痴呆为最常见的首发症状,占全部诊断病例的36.81%。其他症状包括小脑和视觉障碍51例(31.29%)、精神症状20例(12.27%)、锥体和锥体外系功能异常16例(9.82%)、缓慢进行性痴呆9例(5.52%)等。本例患者早期出现类似抑郁综合征的表现,抑郁情绪可能会引起认知损害,但亦不除外患者在早期即有可疑的痴呆表现,这给临床诊断鉴别造成了困难。
其次临床表现会随着疾病进展和变化。从临床表现上来看,CJD依据其临床病程大致可分为3个阶段[11]:早期以精神及类神经症等症状为主,如情感低落、注意力不集中、记忆减退、失眠或烦躁易怒等;在大约1/3的CJD病例中,最初可表现为非特异性精神症状,如疲劳、焦虑或人格改变[9]。中期随着迅速进展的病情,出现锥体束及锥体外系损害的症状,其中肌阵挛为本期特征性表现,约在2/3患者中出现;部分患者还可能有视觉异常。晚期CJD患者以出现认知障碍、进行性痴呆为主,最终呈无动性缄默、昏迷或皮质强直状态。故反复神经系统查体及精神检查对患者至关重要。本例患者经过抗抑郁、MECT等治疗病情无明显好转,提示我们当已对患者进行标准的精神病学方面治疗后,患者相关的精神症状持续和恶化时,应当警惕鉴别快速进展性疾病如克雅氏病的可能。
最后CJD典型辅助检查表现出现在不同的疾病时期,对临床甄别本病造成了一定困难。目前,CJD的确诊需要在死后或活检获得的脑组织中检测异常折叠的、CJD特异性蛋白酶耐药朊蛋白(PrPCJD),由于组织活检有感染病毒风险且活检程序繁琐、具有创伤性,因此,临床上对CJD的诊断往往具有挑战性。临床医生可以通过无创检查即脑MRI扫描、脑电图和脑脊液检查来协助诊断。头颅MRI:最早变化可出现在发病后1个月,并发生于脑电图及脑脊液出现异常结果之前;其敏感度及特异度可达到100%[1],少数患者早期可无异常改变。MRI的DWI相上可见对称或不对称性皮质"缎带征"或"花边征",基底节区(尾状核、壳核、丘脑枕)高信号对CJD早期诊断具重要意义[12]。FLAIR图像上双侧丘脑枕及丘脑背内侧的异常高信号为"丘脑枕征"和"曲棍球征"[1,5]。脑电图的早期敏感性一般但特异性较高,脑电图早期主要表现为非特异性弥漫性慢波及额部节律性6活动,中期则出现特征性的周期性尖慢复合波(为CJD标志性改变),至晚期则再次呈现非典型特征表现为类似昏迷状态的慢波及低电压活动[13]。本例患者在我院住院期间因配合度差未完成脑电图,故减少了诊断参考依据。最后对于脑脊液检查方面,随着病情进展,脑脊液蛋白数增加,目前唯一纳入WHO诊断标准中的分子蛋白是脑脊液中14-3-3蛋白。利用免疫方法检测脑脊液中14-3-3蛋白,在一定范围内该蛋白增加与患者典型临床表现增加呈正相关[14]。
总之,由于CJD是一种罕见疾病,其临床病程进展迅速,精神科医生需了解和警惕早期临床特征,以避免误诊。若就诊于精神科的患者早期出现可疑快速进展的痴呆症状或其他可能的小脑疾病的症状与精神症状同时出现时,需高度警惕CJD病的可能性,需在早期尽快行头颅核磁DWI,也可动态观察脑电图,有条件下可结合检测脑脊液(CSF),以提高早期识别率,尽快为患者提供神经科转诊治疗。
所有作者均声明本研究不存在利益冲突





















