
患者女性,63岁。以"间断心悸,气短5年,加重5天"之主诉入院。既往有"高血压"病史、"脑梗死"病史及"上消化道出血"病史。5年前于外院诊断为"阵发性心房颤动"予以药物治疗后效果不佳,5天上述症状再发,拟行左心耳封堵手术入院。
入院后无明显症状,查体心率61次/分,可闻及早搏,心尖部可闻及2/6级收缩期吹风样杂音。
根据既往病史及外院动态心电图结果诊断。
术前采用CCTA评估LAA结构并制定手术策略,指导成功封堵左心耳。
术后早期出院,2个月复查左心耳CCTA提示封堵效果佳,停用抗凝治疗。
心内科
版权归中华医学会所有。本文为遵循CC-BY-NC-ND协议的开放获取文章。
心房颤动患者缺血性卒中主要与左心耳(Left atrial appendage,LAA)内血栓形成有关,长期口服抗凝药物是预防栓塞的主要方法,但由于影响药效因素较多,同时存在一定出血风险,临床应用受限。目前对合并高缺血及高出血风险的患者,主要采用左心耳封堵手术进行治疗。但左心耳结构形态多变,术前需要进行详细影像学评估决定手术策略。本文介绍1例高出血及高缺血风险的房颤患者,术前采用CT评估明确心耳的结构特点制定手术策略,指导成功封堵。因此对于左心耳封堵手术,术前采用CT评估可以更好了解结构特点,保证封堵成功率及效果。
患者女性,63岁。以"间断心悸,气短5年,加重5天"之主诉入院。5年前无明显诱因出现心悸伴气短,自觉心跳快,于外院行动态心电图诊断为"阵发性心房颤动",予以"华法令"、"胺碘酮"等治疗后效果不佳,仍时有心悸发作,并间断出现黑便,行胃镜提示为出血糜烂性胃炎,遂换用"达比加群110mg 2次/天"治疗,但仍间断有黑便表现,停药后好转。5天前无明显诱因上述心悸症状再发,为进一步治疗来院。既往有"高血压"病史12年,最高达170/90mmHg,现服用"左旋氨氯地平2.5mg/天"控制,平时未规律监测血压,"脑梗死"病史3年,未遗留肢体活动障碍。入院时查体:体温36.3℃,脉搏61次/分,呼吸18次/分,血压130/66mmHg,双肺呼吸音清,未闻及干湿性啰音,心界不大,心率61次/分,律不齐,可闻及早搏,5-6次/分,S1可,A2>P2,心尖部可闻及2/6级收缩期吹风样杂音,余瓣膜听诊区未闻及病理性杂音及额外心音。余系统查体未见明显异常。入院诊断:心律失常阵发性心房颤动高血压2级(极高危)陈旧性脑梗死出血糜烂性胃炎上消化道出血。
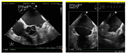
入院后常规检查未见明显异常,心动超声提示左房增大伴二尖瓣中量反流,LA前后径40mm。该患者入院后根据CHA₂DS₂-VASc评分及HAS-BLED评分来进一步评估其卒中及出血风险,该患者CHA₂DS₂-VASc评分4分,HAS-BLED评分3分,属于高卒中及高出血风险患者。因该患者仍有心悸症状发作,且多次服用抗凝药物后有上消化道出血表现,故向患者及家属建议行房颤射频消融及左心耳封堵一站式手术。术前进一步行食道超声明确左心耳是否存在血栓及形态,术前食道超声提示心耳内未见血栓,心耳偏小,在90°上可能呈反鸡翅型(表1)。

TEE测量左心耳数据
TEE测量左心耳数据
| TEE测量角度 | 开口直径(mm) | 深度(mm) |
|---|---|---|
| 0° | - | - |
| 45° | 12 | 18 |
| 90° | 14 | 13 |
| 135° | 13 | 13 |
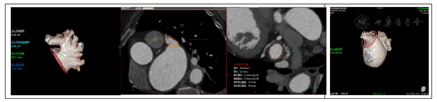
为进一步行评估左心耳结构特点,因此为患者进一步安排CT评估,CT提示左心耳内未见血栓,三维重建后左心耳呈低位,反鸡翅型,开口椭圆形,最短径17.3mm,最长径21.7mm,三维深度19.1mm,二维深度18.0mm,内部梳状肌较为发达。(图1)


阐述该病例处理难点及进一步策略制定:由TEE及CT评估结果可知,该患者左心耳特点①低位心耳,开口较小;②反鸡翅型,且发出转折较早,转折前深度欠缺;因此该患者左心耳封堵难度较大。通过进一步分析左心耳CT后发现,该患者左心耳除主叶外尚有上中下三个分叶,但中下分叶较小且深度较浅,预计输送鞘进入难度及风险均较大,而上叶较宽且深度较中下两个分叶更合适,因此在封堵策略上,考虑采用24mmWatchman封堵器,首选上叶进行尝试(图2)。


为缩短手术时间及减少手术步骤,术前同时采用CT评估了最佳展开体位及理想的穿刺部位。采用CT模拟后发现在RAO30 CAU25时为最佳工作体位(图3)。由于左心耳常规穿刺部位为靠下靠后,但通过CT模拟后发现当靠下靠前穿刺房间隔可以保持更好的轴向,利于术中的操作(图4)。




由于该患者术中需要精确房间隔穿刺,因此采用常规全麻+TEE指导术式,TEE指导下选择了偏下、偏前的房间隔穿刺部位(图5)。


穿刺成功先行房颤射频消融治疗,消融完成后更换左心耳封堵鞘,以猪尾导管保护于RAO30° CAU25°造影,左心耳形态充分暴露,可以观察到心耳属于反鸡翅形状。内部梳状肌较发达,深度较浅。DSA测量开口18mm,深度19mm,与CT测量结果类似,考虑选择24mm watchman封堵器,首选X3轴向进行封堵。术中在猪尾导管的保护下,逆时针旋转输送鞘,尽量将输送鞘送入上叶。稳定输送系统,体外预借2mm深度,送入封堵伞,逆时针旋转稳定输送鞘,术中缓慢释放封堵伞,释放后稳定5分钟后造影提示封堵完全,上缘轻度露肩,行TEE检查未见残余分流,压缩比测量12.5%~21%(图7,图8),经牵拉测试稳定,符合PASS原则,决定释放封堵器,释放后再次造影提示封堵完全(图9)。术后患者顺利清醒,术后6小时检测无心包积液,加用达比加群110mg 2次/天;术后第五天出院。








术后患者一般情况可,术后2月余复查CT(图10)提示左心耳封堵完全,未见残余分流,封堵器位置良好,上缘轻度露肩,未见器械相关血栓发生,遂停用达比加群,予以双联抗血小板药物进行治疗。


心房颤动(Atrial fibrillation,AF)是临床最常见的心律失常之一,AF可致左心耳(left atrial appendage,LAA)内血栓形成,而血栓脱落可致血栓栓塞性疾病。长期口服抗凝药物是预防栓塞的主要方法,但因其存在一定的出血风险,受药物、食物等因素影响较多,患者长期服药依从性较差,临床应用受限。近20年来,一系列的临床研究证实了左心耳封堵术(Left artial appendage closure,LAAC)相较于华法林对非瓣膜性房颤患者卒中预防的安全性及有效性。对于存在长期抗凝禁忌、同时卒中风险较高的非瓣膜性房颤患者,LAAC也得到了国内外指南的推荐[1]。本例患者由于房颤伴有年龄、性别、高血压、卒中等危险因素,计算CHA2DS2-VASc评分为4分,属于缺血风险高危,同时由于其服用抗凝药物后多次消化道出血表现,HASBLED评分为3分,亦属于高危出血患者。从指南来看,为平衡出血及缺血风险,该患者适宜接受LAAC手术治疗。
PREVAIL研究已证实即便在无植入经验的医生及中心,LAAC手术的置入成功率及围术期安全性均较高[2]。但由于左心耳形态多变,术前仍需要进行充分影像学评估左心耳的结构特点,以制定合适的手术策略。目前常用的影像学评估手段主要为经食道超声心动图、多排螺旋CT、心腔内超声及数字检影血管造影。多排螺旋CT基于非侵入性、高分辨率的特点和重建心房及其周边解剖结构三维模型的强大能力,为术者提供了LAA的详细特征,成为术前决策、术中指导和术后随访的得力工具[3]。在本例患者的治疗过程中,我们通过术前CT检查明确了左心耳的结构为低位反鸡翅型,同时心耳开口偏小,深度较浅,此类心耳在进行封堵时难度较大,而通过术前CT结果模拟明确了左心耳不同分叶的大小、封堵器大小、封堵轴向及穿刺部位的选择,针对此患者在术前设计好封堵策略,通过术中精细操作,最终完成了该例高难度左心耳的封堵手术。同时术后CT进行封堵效果随访,使得术者可以直观了解封堵器植入后的形态,并明确是否存在残余分流,测量露肩高度,判断封堵器上是否内皮化有无残余血栓,同时也减少了随访时TEE的使用,提高了患者的舒适性。
所有作者均声明本研究不存在利益冲突





















