
孕妇22岁,G1P0,自然妊娠,此次妊娠孕早期无阴道流血,无感冒及病毒感染,无有毒有害物质及放射性物质接触史。孕妇及其父母表型无异常,均非近亲结婚,否认家族遗传病史及先天畸形生育史。
孕中期腹型,腹部略隆起,孕期产检:NT=1.9 mm(头臀长73 mm)。孕19+周因外周血胎儿游离DNA检测提示胎儿性染色体偏少而接受羊膜腔穿刺。
羊水穿刺,胎儿细胞遗传学检测提示胎儿染色体核型为46,XN,del(Y)[32]/45,X[18]。分子细胞遗传学检查提示胎儿性染色体Xp22.33(251888_2772778)或Yp11.32p11.2(251888_2772778)区域检出2.521Mb重复,在Yp11.2q11.21(2782384_11751045)区域检出8.969Mb重复,在Yq11.21q12(11784716_26653507)区域检出14.869Mb缺失。
通过染色体核型与CMA技术的互补分析,结合遗传学专业数据库与文献资料,给予患者准确的遗传咨询,告知该胎儿出生后可能出现的风险。
孕妇在充分遗传咨询后选择引产,娩出男性外观胎儿,未发现明显外观畸形。
产前筛查;产前诊断;遗传咨询人员
版权归中华医学会所有。本文为遵循CC-BY-NC-ND协议的开放获取文章。
孕妇,22岁,G1P0,自然妊娠,孕期产检:NT=1.9 mm(头臀长73 mm)。孕19+周因外周血胎儿游离DNA检测(联合探针锚定聚合测序法,深圳华大基因科技有限公司)提示胎儿性染色体偏少而接受羊膜腔穿刺。此次妊娠孕早期无阴道流血,无感冒及病毒感染,无有毒有害物质及放射性物质接触史。孕妇及其父母表型无异常,均非近亲结婚,否认家族遗传病史及先天畸形生育史。
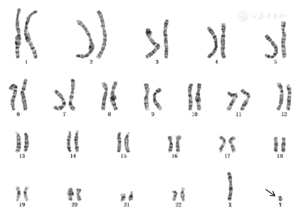
细胞遗传学检测:征得知情同意后,抽取孕妇羊水20 ml,羊水标本离心后进行细胞培养及收获,常规染色体制片、G显带核型分析,计数并分析50个中期分裂相核型,染色体核型命名依据《人类细胞遗传学国际命名体制》(ISCN2016)。胎儿染色体核型为46,XN,de(Y)[32]/45,X[18](图1,图2)。夫妻双方拒绝接受外周血染色体核型检测。




分子细胞遗传学检查:征得知情同意后,抽取孕妇10 ml羊水行染色体微阵列分析(chromosome microarray analysis,CMA)检测,在胎儿性染色体Xp22.33(251888_2772778)或Yp11.32p11.2(251888_2772778)区域检出2.521Mb重复,在Yp11.2q11.21(2782384_11751045)区域检出8.969Mb重复,在Yq11.21q12(11784716_26653507)区域检出14.869Mb缺失(图3,图4)。




诊断为复杂Y染色体重复缺失。
通过染色体核型与CMA技术的互补分析,结合遗传学专业数据库与文献资料,给予患者准确的遗传咨询,告知该胎儿出生后可能出现的风险。
孕妇在充分遗传咨询后选择引产,娩出男性外观胎儿,未发现明显外观畸形。
根据周丽丽等[1]的研究报道,胎儿Y染色体结构异常发生率为0.16%(14/8876),其中病理性Y染色体结构异常发生率为0.09%(8/8876)。Y染色体异常在产前诊断中偶有发现,但病理性结构异常较少见。笔者通过染色体核型和CMA相结合的技术诊断了一例Y染色体短臂重复、长臂大片段缺失的复杂Y染色体结构畸形的产前病例。在该病例中,在胎儿Xp22.33与Yp11.32p11.2(251888_2772778)同源序列中检出2.521Mb重复,该重复片段包含与身高、骨骼发育相关的单倍剂量敏感性基因SHOX(*312865,*400020),SHOX基因拷贝数减少可导致身材矮小、骨骼畸形等[2];SHOX基因拷贝数增加可能导致身高高于正常,这在47,XXX的患者中较明显,但单纯SHOX基因重复对身高的影响尚不明显[3],DECIPHER数据库收录有相似重复变异的致病、不确定、可能良性案例,故综合分析该片段重复导致明显病理表型的可能性较小。在Yp11.2q11.21(2782384_11751045)区域检出8.961Mb重复,该区域包含15个蛋白编码基因,ClinGen数据库未见已知明确的三倍剂量敏感基因;DGV数据库未收录相似变异的报道;DECIPHER数据库中也未收录相似变异的案例,故考虑该片段重复致病的可能性小,但该区域跨过Y染色体着丝粒区,虽然长臂端信号较弱,仍高度怀疑该胎儿Y染色体可能存在着双着丝粒的情况,核型上仅能看见一个明显缩小的Y,无法明确辨析条带。在Yq11.21q12(11784716_26653507)区域检出14.869Mb大片段缺失,该区域完全覆盖AZFa、AZFb、AZFc区,AZFabc区缺失与生精障碍相关,AZFa或AZFb缺失可导致无精子症[4],DECIPHER数据库收录有小于该片段的致病性案例[285003][285766],综合分析认为该片段缺失致病的可能性大。经充分遗传咨询,告知胎儿出生后可能出现的风险,孕妇及家属选择终止妊娠。
从胎儿染色体核型46,XN,del(Y)[32]/45,X[18](图1,图2)来看,胎儿为一个嵌合体核型,但CMA结果并未发现明显的嵌合改变,这可能与CMA分析对低比例(<20%)嵌合不敏感有关,也可能是在羊水细胞培养的有丝分裂过程中,畸变的Y染色体不稳定而形成了嵌合体。从本病例中可以看到羊水细胞核型可以提供重要的信息,但因为分辨率和细胞培养的过程而存在明显的局限性,CMA技术可以提供更准确的染色体拷贝数变异信息,是核型分析技术的强力补充,二者相结合,有助于给予患者准确的遗传咨询。
所有作者均声明本研究不存在利益冲突





















