
患者,女性,58岁,家庭主妇,以反复咳嗽30余年、咯血3年为主要症状。患者于30年开始无明显诱因反复出现咳嗽、咳少许白色黏痰,未予重视。3年前出现咯血,色鲜红,量约100 ml,予对症治疗(具体不详)咯血症状可暂时缓解,后咯血症状逐渐加重,最大咯血量达500 ml/d。
专科体格检查未见明显异常。
气管支气管CT示:右上肺前段肺动脉亚段分叉处局部稍膨大,动脉瘤?建议行支气管动脉及肺动脉CTA加二期重建。支气管黏膜组织病理活检:上皮鳞状化生,黏膜下血管扩张,大量淋巴细胞及少量嗜酸性粒细胞浸润,组织改变为支气管黏膜慢性炎。
入院后予通畅气道、氧疗、化痰、止咳、药物止血及支气管动脉栓塞术等对症支持治疗。
支气管动脉栓塞术后予症状好转出院,随访3个月无咯血再发。
呼吸与危重症医学科;血管外科;呼吸介入科
版权归中华医学会所有。本文为遵循CC-BY-NC-ND协议的开放获取文章。
Dieulafoy病又称恒径动脉畸形,是由于胃肠、胆道或支气管壁血管畸形,供血动脉进入黏膜下后,一直保持管径不变,凸出于管腔内,在外界因素作用下破裂或自发性破裂所致的急性腔道大出血。1 8 9 8年被法国医生Dieulafoy首先描述[1]。Dieulafoy病绝大部分发生于胃肠道,而支气管Dieulafoy病是一种罕见疾病,1 9 9 5年Sweerts等第1次报道了支气管Dieulafoy病[2],后国内外陆续有相关病例报告。现就我院1例经电子支气管镜、支气管动脉造影及支气管黏膜病理确诊的支气管Dieulafoy病患者的临床资料进行分析,并复习相关文献,提高对该病的诊治水平。
患者,女性,58岁,家庭主妇,因"反复咳嗽30余年、咯血3年,再发1个月"入院。患者于30年开始无明显诱因反复出现咳嗽、咳少许白色黏痰,当地对症处理后症状可缓解,具体不详。后上述症状反复出现,性质、程度较前相似,3年前患者咳嗽、咳痰症状加重,伴咯鲜血,量约100 ml,当时于当地医院拟"支气管扩张症"住院治疗,经用药治疗(具体不详)后咯血症状缓解而出院。1年前患者因再次出现大咯血而入外院住院治疗,当时行胸部CT示:双下肺炎症,心影增大。查纤维支气管镜示:黏膜下血管瘤或高张力扭曲血管可能,予止血、抗感染等治疗后好转出院。1个月前患者咳嗽症状再次加重,伴有咯血,量约100 ml,色鲜红,无乏力、盗汗、消瘦、口干、皮疹等,当地医院予抗感染、止血、祛痰等对症支持治疗后上述症状未见缓解,且咯血症状逐渐加重,最大咯血量达500 ml/d,诊断为"咯血查因:肺血管畸形?肺动静脉瘘?支气管扩张?"。经予白眉蛇毒血凝酶、垂体后叶素、云南白药止血,间断使用亚冬眠处理并予头孢哌酮他唑巴坦联合左氧氟沙星抗感染等治疗后患者咯血症状可缓解,仍有少量血丝痰,伴有低热。
既往有"肾癌、子宫腺癌及平滑肌瘤"病史,因"肾癌"而行"左肾切除术"、因"子宫腺癌"行"全子宫+双侧附件切除术"因"甲状腺肿"行"甲状腺右叶切除术"。有增强CT碘造影剂过敏史。个人史、家族史无特殊。
入院体格检查:体温36.8℃,脉搏89次/min,呼吸22次/min,血压130/72 mmHg。胸廓正常对称,呼吸平稳,双侧无胸壁肿块,无皮下水肿,无侧枝循环,肋间隙正常,呼吸节律两侧对称,触诊语颤正常,双肺叩诊呈清音,听诊双肺呼吸音粗,未及明显干湿性啰音。
血常规、生化、电解质、凝血、血传播未见明显异常;D二聚体(ELISA法):2318 ng/ml;考虑患者肿瘤病史为排除肿瘤相关疾病完善妇科肿瘤四项及肺肿瘤五项:非小C肺癌相关抗原:58.74 ng/ml(正常值:0~3.30 ng/ml),糖类抗原153:42.84 U/ml(正常值:0~25.00 U/ml),糖类抗原125:382.90 U/ml(正常值:0~35.00 U/ml),神经元特异性烯醇化酶:22.5 ng/ml(正常值:0~16.3ng/ml);免疫球蛋白M:2.80 g/L,补体C4:0.184 g/L,β2-微球蛋白:3.64 mg/L。尿常规未见异常,大便隐血阳性。患者无皮肤红斑、结节,无口腔溃疡等风湿疾病症状,暂不考虑结缔组织疾病,未进一步完善血管炎等结缔组织病相关指标检查。
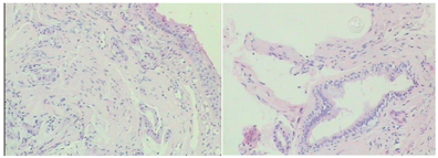
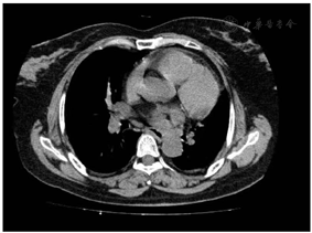
胸部增强CT:双肺下叶炎症,同前;主动脉硬化及肺动脉主干增宽,同前;双侧胸膜增厚较前明显。超声心动图:1.左房腔增大,右房腔稍大;2.室间隔增厚;3.二尖瓣及三尖瓣返流(轻度)。结合检验结果暂不考虑肿瘤、结核、肺部炎症导致的咯血,考虑血管相关性较大,因CT及心脏B超未见发现明显血管畸形,进一步行胸部增强MRA:1.肺动脉高压,双侧肺动脉、肺静脉未见明显栓塞;2.胸部未见明显异常畸形血管。为进一步排除支气管动脉病变行气管支气管三维重建示:1.胸廓入口处气管后壁稍欠光滑、局部略凸起,左侧主支气管周围软组织影,相应管腔狭窄,性质待定,建议增强。2.右上肺前段肺动脉亚段分叉处局部稍膨大,动脉瘤?建议行支气管动脉及肺动脉CTA加二期重建(图1)。因影像提示血管畸形可能性较大,考虑支气管Dieulafoy病变可能性较大,为进一步明确诊断于完善病理检查,遂行支气管镜检查(左主气管黏膜)送检支气管黏膜组织病理:上皮鳞状化生,黏膜下血管扩张,大量淋巴细胞及少量嗜酸性粒细胞浸润,组织改变为支气管黏膜慢性炎(图2)。结合支气管动脉CT造影提示血管畸形及病理发现血管畸形扩张,明确诊断:支气管动脉畸形(Dieulafoy病)。




诊断:Dieulafoy病(支气管动脉畸形)。
鉴别诊断:
1.支气管动脉畸形:支气管动脉畸形是一种少见的肺内血管性疾病,常见的包括支气管动脉-肺动脉瘘、支气管动脉-肺静脉瘘、支气管动脉扩张(动脉瘤)等。其临床表现大多为反复咯血、胸痛等。该类疾病无明确肺部原发病病史,常规胸片、支气管镜检查可能无法确诊。典型的支气管动脉瘤患者可通过CT及CTA明确诊断。而对于先天性动静脉瘘的诊断需行选择性支气管动脉造影。造影不仅可以进一步明确诊断疾病,更重要的是可提供病变的血流动力学、瘘口分布、引流血管等情况,支气管动脉造影可见造影剂外溢现象是血管瘘的鉴别要点,Dieulafoy病可见异常的血管团。血管瘘的特征性表现为支气管动脉主干和发生分流的分支增粗,支气管动脉有多条或一簇细小血管直接与肺动脉分支交通,与本病例也不符合。
2.白塞氏病导致的肺动脉瘤:白塞氏病导致的肺动脉瘤是一种罕见的肺血管疾病,而且较难确诊。白塞病基本病变为血管炎,全身大小血管均可累及,当炎症影响到肺血管时,可造成肺血管壁损伤,血管壁变薄向外膨胀,形成血管瘤,当瘤体破裂时形成肺血管-支气管瘘,导致肺内出血,进入支气管导致咯血的发生。白塞氏病导致的肺动脉瘤在X线下可见肺门增大、肺门结节或肺门团块,增强胸部CT均可见结节影明显而且均匀的增强现象。增强CT+肺动脉造影一般可以确诊本病。
入院后予予化痰、药物止血等对症治疗,入院第9天患者突发咯鲜红色血,每次量约50~150 ml,总量约400 ml,给予尖吻蝮蛇血凝酶针静注,氨甲苯酸针静滴后缓解。入院第10天出现1次咯血量约300 ml,心电监护示:心率134次/分,血压181/85 mmHg,呼吸30次/min,血氧70%。行床边经口气管插管,并使用球囊接气管插管辅助通气,后使用呼吸机辅助呼吸(FiO2:65%);患者经口腔及气道可吸出较多鲜红色分泌物,夹杂少量食物残渣,持续泵入力月西镇静、垂体后叶素止血对症处理,后咯血停止,生命体征逐渐恢复平稳。后患者再次出现4次咯血,每次量约300~500 ml,予保持呼吸道通畅、扩容、维持内环境稳定、尖吻蝮蛇血凝酶和垂体后叶素止血后症状可控制。请放射科介入组医生会诊:结合支气管动脉CT造影提示血管畸形及病理发现血管畸形扩张,已经明确诊断肺部Dieulafoy病,目前患者多次大咯血,情况较为紧急,有再次大咯血可能,建议尽快行支气管动脉栓塞术。入院后第12天行支气管动脉栓塞术,术中未见明显造影剂外溢现象。
行支气管动脉栓塞术后咯血症状好转,3个月后门诊复诊,无咯血症状。
1898年,法国医师Dieulafoy首次描述了一种以黏膜下畸形动脉破裂出血为特征的疾病,常见于消化系统[1]。1995年,Sweerts等首次报道了支气管Dieulafoy病[2],Dieulafoy病又称黏膜下恒径动脉破裂出血,是一种以支气管黏膜下动脉扩张或畸形导致破裂出血为病理特征的罕见疾病,好发于成年人,发病年龄23~72岁,以中年起病多见,男女患病比例相当,病灶具有局灶性和单发性,多见于右肺[3]。其病因未明,可能与先天血管畸形、慢性炎症、损伤有关[4],也有文献指出年龄和吸烟影响该病的发生[5]。
支气管Dieulafoy病突出表现是咯血,可以是反复自发性咯血,也可因活检或感染后出现致命性的大出血[6]。其他不典型症状包括:咳嗽、胸部不适以及低血容量症状(头晕、心悸、四肢冰冷、持续性血压降低等)[3]。常以大咯血为首发症状,咯血一般没有明显的诱因,没有明显的呼吸系统基础疾病病史,因为发病年龄较大,常误诊为肿瘤。
目前没有明确的诊断标准来确诊支气管Dieulafoy病,该病不具有特异性病征,病变可以保持无症状多年。支气管动脉造影也能够作为有效的辅助诊断,造影时应该特别关注以下两种异常支气管供血:起始于右侧肺叶或段支气管的支气管动脉/动脉丛的回旋支和延长支[7,8,9],以及肺动脉的新分支[10]。Ganganah曾进行支气管镜腔内超声(endobronchialultrasound,EBUS)明确支气管腔内突起病变的性质,EBUS亦可为本病的诊断提供线索[3]。根据病人病史,排除其他导致咯血的肺部和全身疾病后,支气管动脉造影和组织病理为主要确诊方法。
本例患者胸片和胸部CT没有发现异常,气管支气管三维重建显示胸廓入口处气管后壁稍欠光滑、局部略凸起,左侧主支气管周围软组织影,相应管腔狭窄,右上肺前段肺动脉亚段分叉处局部稍膨大,动脉瘤待排。在支气管镜下进行组织活检,送检支气管黏膜组织显示上皮鳞状化生,黏膜下血管扩张,大量淋巴细胞及少量嗜酸性粒细胞浸润,组织改变为支气管黏膜慢性炎。根据病人临床症状,影像学检查和病理结果,诊断为支气管Dieulafoy病。文献报道支气管Dieulafoy病支气管镜下常表现为黏膜完整的突向管腔的光滑突起样病灶,个别有轻微搏动,有时突起表面覆盖有黄白色渗出物,易被误认为腔内肿瘤结节[11],但是这种镜下病变是非特异性的,有小于1cm的,覆盖正常黏膜的突起或结节,就应该考虑支气管Dieulafoy病[12]。组织活检有可能导致致命的出血,刘旭[13]和李俊涛[14]都曾报道病人在做支气管镜检查取材活检时发生大咯血甚至导致失血性休克,由于较充足的术前准备,我们在病理活检时虽未发生大出血事件,但应值得警惕在活检时导致血管破裂出血导致呼吸道堵塞以及失血性休克等不良事件发生。尽管病理诊断为"金标准",但我们建议对怀疑Dieulafoy病患者应谨慎考虑组织病理检查,如果病理检查对诊断和治疗的必要性非常大,应在EBUS检查评估和充足术前准备下进行。
通常对于确诊支气管Dieulafoy病的患者,会选择进行支气管动脉栓塞术或者肺叶切除术。动脉栓塞术适用于不能耐受大型手术的患者。但是,经过选择性支气管动脉栓塞术治疗后的患者,50%患者再发咯血[7]。支气管动脉栓塞术后再发咯血的原因有以下几种:1.异常血管来源于体循环而不是肺循环[14];2.血管再通和新血管的形成将导致栓塞术后再次咯血[6];3.栓子的脱落也将引起手术的失败。因此,进行支气管动脉栓塞术前,必须准确地定位支气管病变区以及它的营养血管。当异常血管来源于肺循环,及血管栓塞术失败后,手术切除是治疗支气管Dieulafoy病引起大咯血的最后选择。当血管栓塞术后近期发生咯血,并且血管造影提示同一肺叶出现血管再通和新血管形成,则有必要进行手术治疗[7]。
所有作者均声明本研究不存在利益冲突





















