
患者,男性,21岁,因"呼吸困难19小时伴意识障碍2小时"于2021年5月17日入院。
3日前患者受凉后出现乏力、胸闷、喘气,症状进行性加重,继而出现呼吸急促,合并意识障碍,紧急送至我院。体格检查:浅昏迷,全身湿冷,瞳孔对光反射迟钝,呼吸急促,双肺哮鸣音明显,三凹征阳性。
根据既往史、现病史、辅助检查及查体可诊断重度哮喘。
紧急气管插管联合机械通气,镇静镇痛、舒张支气管、解痉平喘、抗感染、激素、液体复苏等对症支持治疗,病情迅速进展至呼吸循环失代偿,危及生命,紧急行体外膜肺(ECMO)治疗。
治疗第4天拔除气管插管,第5天ECMO下机,第10天患者好转。
呼吸科;重症医学科;急诊科;心胸外科
版权归中华医学会所有。本文为遵循CC-BY-NC-ND协议的开放获取文章。
支气管哮喘(bronchial asthma),简称哮喘,是一种以慢性气道炎症和气道高反应性为特征的异质性疾病,表现为反复发作的喘息、气急、胸闷或咳嗽等;主要特征包括气道慢性炎症,气道高反应性及可逆性气流受限。2020年哮喘防治指南将急性发作期哮喘分为轻度、中度、重度及危重度[1]。重度哮喘休息时感气短、端坐呼吸,常伴焦虑/烦躁,大汗淋漓,呼吸频率快,三凹征阳性,双肺闻及响亮、弥漫的哮鸣音,对支气管舒张剂及激素治疗反应差[2]。重症哮喘若合并呼吸衰竭,常伴血气失衡,PaO2下降且PaCO2升高,引发酸碱失衡、电解质紊乱、酸中毒,甚至猝死[3]。我们报告1例重度哮喘合并急性呼吸衰竭的病例,旨在提高对本病的认识,采取积极措施,减少病死率,改善临床结局。
患者,男性,21岁。因"喘气呼吸困难19小时伴意识障碍2小时"于2021年5月17日入院。3日前患者受凉后出现乏力、胸闷、喘气,症状进行性加重,继而出现呼吸急促,遂至当地医院。给予抗炎、平喘等对症治疗后,患者症状无明显缓解且合并意识障碍,紧急转诊至我院。急诊以"重度哮喘、哮喘持续状态、呼吸衰竭"收入我科。
心电监护示:HR:120次/分R:35次/分BP:132/67 mmHg,SpO2:85%。体格检查:浅昏迷(GCS=9分),双瞳等大等圆,直径2 mm,对光反射迟钝,颈部触及皮下气肿,捻发感;心律齐,无病理性杂音,双肺哮鸣音明显,三凹征阳性;肝脾肋下未及,双下肢无水肿。
既往史:支气管哮喘病史10年余,平素使用沙丁胺醇控制症状,否认手术史、外伤史及药物食物过敏史。
患者入科血气:pH 7.15,PaCO2 90 mmHg,PaO2 34 mmHg,SpO2 46%,考虑重度哮喘合并呼吸衰竭,遂紧急气管插管机械通气并多次复查血气(表1,表2,表3)。完善血常规:WBC 29.66 ×109个/L,N% 93.2%,Hb 164 g/L,PLT 298 ×109个/L,CRP 63.6 mg/L,SAA 300 mg/L;肝肾电:ALT 18 U/L,AST 22 U/L,BUN 6.44 mmol/L,Cear 101 μmol/L,K 5.55 mmol/L,Na 140 mmol/L;凝血功能:PT 11.9 s,APTT 25.2 s,FIB 4.24 g/L,D-dimmer 0.89 mg/L;降钙素原:0.540 ng/mL;B型钠尿肽前体:2836.00 pg/ml等辅助检查;细胞免疫:CD3↓ 51.64%,CD4↓ 18.10%,CD19↑ 40.3%;体液免疫:IgG↓6.9 g/L,IgE↑979 IU/ml,C3↓ 0.651 g/L;呼吸道病毒核酸及肺泡灌洗液高通量均检测:鼻病毒;过敏原筛查(29项):热带无爪螨、粉尘螨、户尘螨强阳性(图1)。

ECMO上机前后患者血气变化
ECMO上机前后患者血气变化
| 日期 | 时间 | 阶段 | pH | PaCO2 mmHg | PaO2 mmHg | Na mmol/L | K mmol/L | Glu mmol/L | Lac mmol/L | HCO3- mmol/L | BE mmol/L |
|---|---|---|---|---|---|---|---|---|---|---|---|
| 5月17日 | 13:52 | 入科 | 7.15 | 90 | 34 | 140 | 5 | 9.7 | 1.3 | 31.4 | -1.1 |
| 14:04 | 机械通气 | 7.12 | 96 | 50 | 137 | 5.1 | 9.8 | 1.2 | 31.2 | -2.0 | |
| 16:52 | 机械通气3h | 7.04 | 113 | 74 | 133 | 6.1 | 14.2 | 1.5 | 30.6 | 0 | |
| 17:43 | 机械通气4h | 7.04 | 115 | 75 | 131 | 5.7 | 24.8 | 1.7 | 28.1 | -1.5 | |
| 20:02 | ECMO 0.5h | 7.32 | 55 | 68 | 130 | 4.3 | 22.4 | 2.0 | 28.3 | 2.2 | |
| 23:35 | ECMO 4.0h | 7.36 | 47 | 54 | 137 | 4.0 | 9.0 | 1.1 | 26.2 | 1.2 | |
| 5月18日 | 08:50 | ECMO 11h | 7.33 | 61 | 55 | 133 | 4.0 | 7.8 | 0.7 | 32.0 | 6.3 |
| 20:44 | ECMO 25h | 7.34 | 56 | 67 | 140 | 3.7 | 12.3 | 1.9 | 30.2 | 4.4 | |
| 5月19日 | 08:54 | ECMO 37h | 7.41 | 48 | 77 | 138 | 3.6 | 9.8 | 2.2 | 30.4 | 5.8 |
| 16:46 | ECMO 43h | 7.44 | 44 | 79 | 139 | 3.3 | 11.4 | 1.9 | 29.9 | 5.7 | |
| 5月20日 | 09:52 | ECMO拔管前 | 7.43 | 40 | 64 | 130 | 4.7 | 6.5 | 1.6 | 26.5 | 2.2 |
| 15:05 | ECMO拔管后 | 7.43 | 42 | 71 | 138 | 3.7 | 10.4 | 1.7 | 27.9 | 3.6 | |
| 5月21日 | 05:35 | ECMO撤机前 | 7.47 | 39 | 52 | 133 | 3.9 | 8.5 | 1.4 | 28.4 | 4.7 |
| 09:04 | ECMO撤机后 | 7.48 | 35 | 66 | 135 | 3.8 | 8.3 | 1.7 | 26.1 | 2.6 |

VV-ECMO期间ECMO仪器参数调整
VV-ECMO期间ECMO仪器参数调整
| 日期 | 转速(rmp) | 流量(L/min) | FiO2 (%) | 气流量(L/min) | ACT(sec) |
|---|---|---|---|---|---|
| 5月17日 | 3000 | 3.8 | 100 | 8.0 | 150~180 |
| 5月18日 | 2500 | 3.2 | 80~90 | 6.0 | 130~170 |
| 5月19日 | 2200 | 3.0 | 60~85 | 4.0 | 130~160 |
| 5月20日 | 1800 | 2.5 | 50~60 | 2.5 | 150~170 |
| 5月21日 | 1500 | 1.5 | 50 | 2.0 | 140~160 |

呼吸机调节参数设置
呼吸机调节参数设置
| 模式 | Vt(ml) | F(次/分) | Ti(sec) | Flow(L/min) | PEEP(cmH2O) | |
|---|---|---|---|---|---|---|
| 初始 | V-A/C | 250 | 25 | 0.9 | 40 | 5 |
| 首次调整 | V-A/C | 380 | 15 | 0.6 | 45 | 10 |
| 再次调整 | V-A/C | 400 | 12 | 0.7 | 45 | 15 |


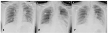
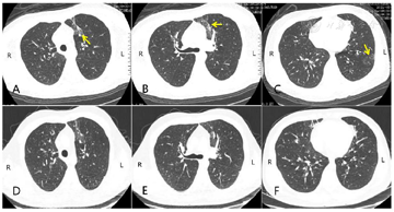
治疗期间患者病情演变(图2),多次复查胸部X线片(图3),10天后好转。随访患者哮喘控制症状、胸部CT(图4)及肺功能(图5)。检查局限性:患者病情危重,由于ECMO仪器特殊性及管路因素,未完善肺功能及胸部CT检查。








诊断依据:①支气管哮喘病史多年;②典型症状:伴哮鸣音的呼气性呼吸困难、胸闷、气促;③体征:双肺可闻及广泛的哮鸣音,三凹征阳性;④胸部X线片:双肺透亮度增加,提示过度通气;⑤特异性变应原检测:IgE增高;⑥动脉血气:低PaO2伴高PaCO2。
鉴别诊断:患者临床表现为呼吸急促、喘气,应与以下疾病相鉴别:左心功能不全、慢性阻塞性肺疾病、大量胸腔/心包积液、上气道梗阻、变应性肉芽肿性血管炎(又称嗜酸性粒细胞肉芽肿性血管炎)、变应性支气管肺曲霉病等。变应性肉芽肿性血管炎及变应性支气管肺曲霉病,往往表现为重度哮喘[4],可通过详细询问病史(心脏病史、COPD等),经验性糖皮质激素联合支气管舒张剂治疗,结合相关辅助检查及查体以排除鉴别诊断。
患者重度哮喘合并急性呼吸衰竭,入科后紧急气管插管机械通气,辅以镇痛镇静、抗感染(替考拉宁0.4 g,1次/ d +美罗培南1.0 g,8 h/次+更昔洛韦250 mg,1次/ d)、舒张支气管(氨茶碱0.5 g,1次/12 h)、激素(甲泼尼龙琥珀酸钠80 mg,1次/12 h)、解痉(硫酸镁)、雾化(特布他林+异丙托溴铵+布地奈德)、维持水电解质酸碱平衡等对症支持治疗。
机械通气初始设定:V-A/C模式Vt 250 ml,F 25次/分,Ti 0.9 s,Flow 40 L/min,PEEP 5 cmH2O,监测呼吸力学指标:PIP 50 cmH2O,Pplat 20 cmH2O,PEEPi 12 cmH2O。实际潮气量(80~100ml)及分钟通气量(2~2.5 L/min)极低,考虑呼吸频率快导致内源性PEEP高,调整呼吸机参数:增加气道报警上限(50 cmH2O→60 cmH2O),增加潮气量(Vt 250 ml→380 ml),减慢呼吸频率,提高吸气流速。调整后V-A/C模式Vt 380 ml,F 15次/分,Ti 0.6 s,Flow 45 L/min,PEEP 10 cmH2O,监测呼吸力学指标:PIP 60 cmH2O,Pplat 25 cmH2O,PEEPi 15 cmH2O。降低呼吸频率,缩短吸气时间,增加吸气流速后气道峰压/平台压进一步上升,患者潮气量(100~150 ml)及分钟通气量(1.5~2.2 L/min)仍不足。再次调整V-A/C模式Vt 400 ml,F 12次/分,Ti 0.7 s,Flow 45 L/min,PEEP 15 cmH2O,增加外源性PEEP部分抵消内源性PEEP,深镇静(RASS -5分)联合肌松,监测呼吸力学指标:PIP 70 cmH2O,Pplat 35 cmH2O,PEEPi 18 cmH2O。反复调整呼吸机参数后,气道阻力持续上升,双肺呼吸音弱,哮鸣音消失,考虑寂静肺。紧急完善纤支镜检查,结果示:气道黏膜广泛充血、重度水肿,气道内大量白色粘液痰。
深镇静基础上加用神经肌肉阻滞剂,并再次调整呼吸机模式,患者仍持续呼吸窘迫,PaO2降低,PaCO2进行性上升,气道分泌物多,黏膜重度水肿,不排除ARDS可能。患者病情迅速进展,复查血气:pH 7.04,PaCO2 >115 mmHg,PaO2 74 mmHg,K 5.7 mmol/L,SpO2 86%,提示严重代谢性酸中毒,高碳酸血症及高钾血症。此时患者呼吸循环失代偿,心率、血压进行性下降,危在旦夕。参考2020年ECMO指南,机械通气后氧合指数<80 mmHg超过6小时;气道峰压/平台压高;血气pH<7.25伴PaCO2>60 mmHg超过6小时,符合ECMO指针[5]。立即与家属沟通后,紧急VV-ECMO置管上机。ECMO治疗后,患者呼吸机支持力度较前明显下降,肺顺应性改善,潮气量上升(400 ml左右),气道阻力较前下降,氧合较前改善,呼吸循环系统稳定。
ECMO第1天,充分镇痛深镇静(RASS -5分)联合肌松,降低氧耗及代谢率,促进人机同步;ECMO第2~3天,适当镇痛浅镇静(RASS -3分)并每日唤醒,根据病情逐渐下调ECMO流量、氧浓度及转速。第4天,清醒ECMO(RASS 0分)并拔除气管插管。第5天ECMO顺利撤机。ECMO下机后,依次拔除胃管、尿管、中心静脉导管,促进早期康复锻炼,抗生素降阶梯、激素减量,加用抗过敏(氯雷他啶)及支气管舒张剂(沙美特罗替卡松气雾剂)控制症状。结合患者过敏原(尘螨强阳性)及高水平IgE,考虑过敏性哮喘,采用靶向生物制剂奥马珠单抗。
本例重度哮喘合并肺通气/换气功能严重障碍,机械通气失败后紧急行VV-ECMO辅助治疗,顺利过渡清醒ECMO并拔除气管插管,5天后成功撤机,10天后好转。
1周后第一次随访,患者哮喘症状控制良好,复查胸部CT及肺功能(极重度阻塞性通气功能障碍)。3周后第二次随访,患者未诉哮喘症状,并再次复查胸部CT及肺功能(通气功能基本正常)。3个月后电话随访,患者仍进行奥马珠单抗治疗,并规律吸入沙美特罗替卡松气雾剂,症状控制良好。
支气管哮喘是呼吸系统常见病,全球患病率逐年增加,2015年已达3.58亿,预计2025年将超过4亿[6]。重度哮喘常伴严重呼吸性酸中毒,常规治疗难以纠正,可在数小时甚至数分钟内危及生命[7]。重症哮喘常见病因:多基因遗传、环境及感染因素等;病理生理机制包括气道免疫-炎症、气道高反应性和神经调节机制[8];治疗包括支气管舒张剂、类固醇激素,抢救可联合肾上皮质激素、氨茶碱、β受体激动剂等[9]。
重度哮喘合并呼吸衰竭常规药物疗效不佳,尤其伴气道痉挛者,推荐有创机械通气[10]。哮喘气道特征为气道阻力显著增加及肺过度充气。因此,呼吸机设置原则尽可能延长呼气时间,减少气压伤同时纠正高碳酸血症。然而,本例重度哮喘患者及时机械通气且反复调整呼吸机后,症状仍未缓解,可能原因如下:镇静镇痛及插管可诱发支气管痉挛[11];插管容易增加哮喘的气道阻力[12];支气管重度痉挛导致机械通气无法克服气道阻力,萎缩肺泡无法复张;机械通气加重哮喘原有的过度充气,进一步降低功能残气量;气道黏膜重度水肿,气血交换面积减少,同时肺血管阻力增加,均严重影响通气/血流比[13];机械通气后胸腔内压增高,回心血量骤减,加重循环衰竭[14]。
本例患者机械通气失败,症状持续加重,心肺功能失代偿。国内外相关研究表明重度持续哮喘,当药物治疗及机械通气无效,可尝试高级生命支持技术——ECMO[15,16,17,18,19]。2020年ECMO管理共识VV-ECMO指征:机械通气时间<7天;氧合指数小于80 mmHg超过6小时;呼吸频率≥35次/分;血气pH<7.25伴PaCO2>60 mmHg超过6小时[5]。参考指南及国内外文献,患者符合VV-ECMO适应证,紧急行VV-ECMO治疗。VV-ECMO纠正高碳酸血症同时改善氧合,下调呼吸机支持力度并减少相关损伤,实现"肺休息"以及"肺保护策略",为缓解支气管痉挛和炎症消退提供恢复的时间窗[20]。在暴发性心肌炎、心脏骤停、心肌梗死、急性呼吸窘迫综合征、肺移植等运用ECMO的患者中,哮喘预后最佳,存活率高达95%,其他原因致呼吸衰竭患者死亡率约71%[21],然而国内在哮喘方面ECMO尝试较少[22]。笔者认为,对于重度哮喘合并严重低氧血症(P/F≤80 mmHg或SaO2紧急性下降)、高碳酸血症(PaCO2 90~100 mmHg)、代谢性酸中毒(pH 7.0~7.1)、气道高压(Pplat>30 cmH2O)、内环境紊乱,尤其合并循环衰竭(Lac进行性上升),当最大程度有创呼吸机支持仍无效时可考虑尝试ECMO。
本例患者由于自身条件的优越性(青年男性、无基础疾病),综合评估后下调镇静深度过渡清醒ECMO。清醒ECMO是非镇静非插管,保留患者自主呼吸的高级体外生命支持技术[23]。清醒ECMO利于自主呼吸恢复,减少镇静药物使用,有利于早期康复锻炼,减少ICU住院时间;同时促进肺功能恢复,尽早脱机拔管[24]。此外,本例患者考虑过敏性哮喘,2020年全球哮喘防治指南及专家共识,均证实奥马珠单抗对中/重度哮喘患者的安全性、有效性,遂加用奥马珠单抗[25,26]。奥马珠单抗可减少血液中循环IgE,阻断IgE与炎症细胞FcεRⅠ和FcεRⅡ结合,减少炎症细胞活化,减轻炎症级联反应[27]。
虽然本例证实重度哮喘患者应用ECMO是安全、有效、可行,但存在以下局限性。首先,把握ECMO启动时机。对于重度持续哮喘,PaCO2进行升高,肺功能急剧失代偿时,是否可考虑ECMO时机前移。其次,清醒ECMO实施。本例清醒ECMO维持时间相对较短,但随着认识深入,可考虑在合适情况下行清醒ECMO并尽早脱机拔管。最后,加强随访。哮喘治疗中仍需评估哮喘控制症状及哮喘生命质量调查问卷[28]。重度哮喘发病率逐年升高,死亡率已高达4%[29],随着ECMO技术日趋成熟,可酌情考虑ECMO治疗,部分或全部替代肺功能,纠正低氧血症及高碳酸血症,及时挽救生命。
所有作者均声明本研究不存在利益冲突





















