
老年男性因"左颈部胀痛"就诊,完善相关检查后诊断明确。予以卡瑞利珠单抗+PP方案治疗,减症放疗,口服止痛。
左颈疼痛,NRS 4分,余查体无阳性体征。
影像学检查,组织病理学,分子病理学、血液学检验。诊断:左肺腺癌cT2N3M1(Ⅳ期驱动基因阴性)。
全身治疗:免疫治疗(卡瑞利珠单抗)+PP方案全身化疗;2.局部治疗:颈椎骨转移灶减症放疗;3.予洛芬待因缓释片、盐酸吗啡缓释片止痛治疗。
患者疼痛控制良好,NRS0-2分之间;4周期化疗RECIST标准评估:部分缓解(PR)。
肿瘤科;缓和医疗科;营养科;胸外科;麻醉科;疼痛科;老年科;
版权归中华医学会所有。本文为遵循CC-BY-NC-ND协议的开放获取文章。
人口学资料:罗某,男,68岁。体格检查:KPS80分,NRS 4分,左颈部压痛、叩击痛明显,生命体征平稳,左肺呼吸音低,双肺未闻及干湿啰音。
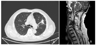
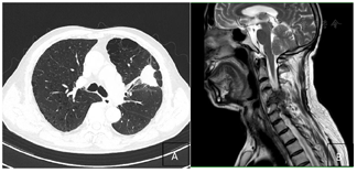
实验室检查:血细胞分析:红细胞2.93×10^12/L↓;血红蛋白103.00g/L↓;白细胞3.40×10^9/L↓;中性粒细胞绝对值1.77×10^9/L↓;肝功能:白蛋白37.50g/L↓;总蛋白58.00g/L↓;电解质(血液):钾3.44mmol/L↓;免疫功能检测提示多项指标低下。影像学检查:脑MRI、全身骨扫描、腹部彩超未见明显异常。胸部CT增强(治疗前后):2021年5月左肺上叶前段软组织密度影(4.3×2.4cm)(图1)。治疗后左肺上叶舌段肿块(大小约2.5×1.6cm),较前减小(图2)。颈椎MRI(治疗前后):2021年5月颈5椎体病理性骨折、左侧椎旁软组织肿块形成(图1)。治疗后左侧椎旁软组织肿块较前缩小(图2)。




组织病理学/分子病理报告:左颈外侧区淋巴结穿刺活检:(左颈外侧区淋巴结)转移性腺癌,结合临床及免疫组化考虑肺腺癌转移。免疫组化结果:CKpan(+),TTF-1(+),Napsin A(+),p40(-),p63(-),Ki-67(+40%)。肺癌驱动基因监测:结论:该样本在本次检测范围内检测到TP53基因4号外显子p.Q100*突变,突变丰度78.86%。
左肺腺癌cT2N3M1(Ⅳ期驱动基因阴性)
全身治疗:于2021年5月22日、2021年6月25日、2021年7月20日、2021年8月15日、2021年9月14日行卡瑞利珠单抗联合PP(培美曲塞+铂剂)方案全身化疗;局部治疗:于2021年5月19日至2021年6月9日行颈椎转移灶减症放疗,剂量37.5Gy/15F;规范镇痛治疗:入院时NRS 4分,2021年5月11日予曲马多缓释片0.15g q12h止痛治疗,患者疼痛控制不佳,NRS持续在3~4分之间;2021年5月12日予盐酸吗啡片5mg q4h进行滴定,服药1个小时后NRS 1分,持续滴定24小时,NRS 0~2分之间波动;2021年5月13日更换盐酸吗啡缓释片10mgq12h止痛治疗,NRS 0~2分之间;患者于2021年6月1日疼痛加重,NRS4分,予调整盐酸吗啡缓释片20mg q12h止痛治疗,此后患者疼痛控制良好,NRS 0~2分。
持续动态评估疼痛(门诊每周评估,住院每日评估),患者疼痛缓解,NRS 0~2分。于2021年7月16日降阶梯治疗,更换盐酸曲马多缓释片0.15g q12h止痛治疗,NRS 0~1分。
肺癌是我国发病率及死亡率最高的恶性肿瘤,而恶性肿瘤是我国死亡率最高的疾病之一。约25%的新发肿瘤患者合并癌痛;治疗期间30%~50%的患者存在癌痛;晚期肿瘤有70% ~90%的患者存在癌痛;而且临床治愈后疼痛持续发生比例为34%。癌痛是肿瘤患者最恐惧的症状之一,往往超出对疾病的恐惧,对患者的躯体、心理和精神造成了巨大的伤害,甚至使患者丧失了生存的意愿[1,2]。因此镇痛治疗是抗肿瘤治疗早期姑息治疗的手段之一。
WHO提出癌性疼痛治疗五项基本原则:按阶梯给药,口服给药,定时给药,个体化给药,注意具体细节。NCCN指南、中国癌性疼痛专家共识对癌性疼痛的评估、治疗、辅助治疗等指出具体操作细节的指导[1,3]。
早有研究表明,早期姑息(止痛)治疗联合标准的抗肿瘤治疗,可延长患者的生存时间[4]。结合该患者治疗经过,患者在有效镇痛治疗基础上,患者的生活质量提高,精神、心情明显改善,患者的满意度大大升高,医从性明显提高,能够配合后续的抗肿瘤治疗。
所有作者均声明本研究不存在利益冲突





















