
患者,男性,18岁,因"胸闷气紧5 d,加重1 d"就诊。患者肾病综合征病史5年,长期口服他克莫司1 mg q12h联合醋酸泼尼5 mg qd治疗。
患者突发胸闷、气促、心慌、大汗,伴呼吸困难、氧饱和度下降,行心脏超声提示右室增大伴肺动脉高压,估测肺动脉收缩压为50~55 mmHg。
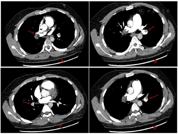
肺部CTA提示:左、右肺动脉主干、左肺上叶前段、舌段及下叶背段、前外基底段分支内见多发结节状、不规则充盈缺损影,考虑肺栓塞;入院后患者血流动力学稳定,肺栓塞严重指数(PESI)评分:原始版本60分,Ⅰ级,简化版本1分;右心功能及心脏生物标志物阳性,故诊断非高危型急性肺栓塞(中高危组)。
予以低分子肝素7000 IU q12h抗凝,24 h后加用口服抗凝剂华法林2.5 mg qd起始联合抗凝,随后根据PT-INR (PT国际标准化比值)调整华法林为3.75 mg qd抗凝。
患者胸闷、心慌、大汗、呼吸困难症状消失。出院后继续华法林5 mg qn抗凝治疗。
呼吸与危重症医学科;心血管内科;急诊科;肾内科
版权归中华医学会所有。本文为遵循CC-BY-NC-ND协议的开放获取文章。
肺栓塞(Pulmonary embolism,PE)是肾病综合征(Nephrotic Syndrome,NS)较常见且较严重的并发症之一。对于所有PE患者都应尽早进行危险性分层。抗凝治疗是肺栓塞的基本治疗方法。我们报道1例NS患者发生的PE,旨在提高对NS患者发生PE的认识,为正确选择PE治疗方式、把握抗凝治疗的时机、选择合理的抗凝药物提供参考,降低PE病死率,减少并发症,提高PE患者的生活质量。
患者,男性,18岁,因"胸闷气紧5 d,加重1 d",于2021-7-19入院。5 d前患者突发胸闷、气促、心慌、大汗,休息后有所缓解,查心电图、心肌酶未见明显异常,未作特殊处理;1 d前患者胸闷气紧明显加重,伴呼吸困难、氧饱和度下降,行心脏超声及肺动脉CTA后考虑"急性肺栓塞"收治入院。患者既往诊断"肾病综合征"5年,长期口服他克莫司1 mg q12h联合醋酸泼尼松5 mg qd治疗;否认其他慢性病史、传染病史、输血史、过敏史、手术史等;入院查体:体温36.8℃,心率112次/分,血压113/78 mmHg,呼吸18次/分,SPO2 96%,满月脸,向心性肥胖,躯体及四肢可见皮肤紫纹,颈静脉无充盈,双肺呼吸音清,双下肢无水肿。
入院完善相关检查:白细胞计数12.65×109/L,血红蛋白200.00 mmol/L,肌酐125.90 µmol/L,超敏肌钙蛋白Ⅰ 2009.50 ng/L,D-二聚体57.05 mg/L FEU,全血超敏C反应蛋白35.56 mg/L。血气分析示:pH 7.48,二氧化碳分压39 mmHg,氧分压99 mmHg,实测碳酸氢根29.0 mmol/L,氧饱和度98%,乳酸1.0 mmol/L。心电图示:窦性心动过速,完全性右束支传导阻滞,V1呈qR型,V6R/S<1。心脏超声示:右室增大伴肺动脉高压,估测肺动脉收缩压为50~55 mmHg;肺部CTA示:左、右肺动脉主干、左肺上叶前段、舌段及下叶背段、前外基底段分支内见多发结节状、不规则充盈缺损影,考虑肺栓塞(图1);肺栓塞严重指数(PESI)评分:原始版本60分,Ⅰ级,简化版本1分;


患者起病急,有胸闷、气促、心慌、大汗、伴呼吸困难表现,入院时血压正常,既往有肾病综合征病史,入院血红蛋白提示高血红蛋白血症,有肺栓塞的高危因素,心脏超声提示右心扩大,伴心肌酶标志物升高,根据对2014版欧洲心脏病学会急性肺血栓栓塞症诊断治疗指南的解读(图2),故诊断非高危型急性肺栓塞(中高危组),从而首选抗凝治疗。
故根据患者体质重及APTT值,于2021-9-18予以低分子肝素钠注射液7000 IU q12h抗凝,24 h后加用口服抗凝剂华法林2.5 mg qd起始联合抗凝;2021-9-24停用低分子肝素钠;2021-9-26监测PT-INR (PT国际标准化比值)小于目标范围(2.0~3.0),调整华法林为3.75 mg qd抗凝,2021-9-28监测患者PT-INR持续小于目标范围,调整华法林为5 mg qn抗凝。
经治疗,患者胸闷、心慌、大汗、呼吸困难症状消失。出院后口服华法林5 mg qn抗凝治疗、他克莫司1 mg q12h及醋酸泼尼松5 mg qd治疗肾病综合征。因患者出院时PT-INR未达标,继续门诊每3天监测PT-INR值调整华法林剂量,定期复查他克莫司全血谷浓度,门诊随访调整他克莫司和醋酸泼尼松剂量;若PT-INR达目标范围(2.0~3.0),其后2周每周监测2~3次,以后根据PT-INR的稳定情况每周监测1次或更少。本病例为有明确危险因素且危险因素长期存在的急性肺栓塞,建议持续抗凝治疗至少12个月,或终生抗凝,此后约每4周测定PT-INR并调整华法林剂量1次。华法林的主要并发症是出血,华法林所致出血可以用维生素K拮抗。
肺栓塞(PE)是肾病综合征(NS)较常见且较严重的并发症之一。张文等[2]对54例肾病综合征患者的调查中,肺栓塞的发生率为59.25%;NS患者血液高凝状态是发生PE的主要原因[3]。本病例为肾病综合征患者,有高血红蛋白等危险因素,突发胸闷、气促、心慌、大汗等,需高度警惕肺栓塞发生。
PE的临床表现包括呼吸困难、胸痛、晕厥、咯血、烦躁不安、惊恐甚至濒死感等。PE由于临床表现多样,常被误诊或延误诊断,甚至可能无症状直至猝死。尹玉东等[4]的一项回顾性分析发现,56例确诊为肺栓塞患者中曾被误诊者26例,肺栓塞误诊率高达52%;故早期识别、早期诊治为改善患者预后至关重要。临床普遍采用Wells评分法来早期评估肺栓塞的可能性,它是一项有较高灵敏度和特异性的临床诊断PE的评分体系,有较高的临床应用价值[5]。Wells评分法计算总分<2分为低度临床可能组,2~6分为中度临床可能组,>6分为高度临床可能组(表1)。本病例患者有胸闷、呼吸困难等DVT的临床症状,且肺栓塞是最可能的诊断,评分为6分,故入院后及时完善CTPA后诊断急性肺栓塞。
PE能否得到及时有效救治的关键取决于对患者早期死亡风险的评估[7]。故对于所有PE患者都应尽早进行危险性分层,以便得到及时有效的救治。本例无休克或低血压,肺栓塞严重指数(PESI)评分:原始版本60分,Ⅰ级,简化版本1分;心脏超声提示右心扩大,伴心肌酶标志物升高,故诊断非高危型急性肺栓塞(中高危组)。
溶栓治疗和抗凝治疗是目前药物治疗PE的两大重要措施。溶栓治疗可迅速解除梗阻、改善血流动力学以降低病死率,是肺栓塞的重要治疗方法。根据危险性分层,对高危组PE患者应积极溶栓治疗,但对中危组PE患者是否溶栓治疗目前存有争议[8]。目前,抗凝治疗仍是肺栓塞的基本治疗方法[9]。本例为中高危组,故首选抗凝治疗。
目前抗凝治疗的药物包括普通肝素、低分子肝素、维生素K拮抗剂以及近年上市的新型抗凝剂NOASs。20世纪80年代以来,低分子肝素逐渐取代普通肝素用于急性VTE抗凝治疗,降低了VTE复发率、出血发生率和相关病死率[10],陈佩华等[11]对34例的NS患者的临床观察中发现,激素联合低分子肝素治疗肾病综合征可有良好的协同作用,提高治疗效果,蛋白尿减少,升高血清白蛋白水平和改善肾功能,无明显副作用。
维生素K拮抗剂华法林是最常用的口服抗凝药,但华法林治疗窗狭窄,用药期间需仔细监测国际标准化比率(INR),可因饮食、合并用药、饮酒、依从性等因素造成INR的波动,故需频繁调整剂量,我国专家共识推荐,INR的目标范围为2.0~3.0[12]。
NOACs包括直接凝血酶抑制剂(达比加群)和Xa因子抑制剂(利伐沙班、阿哌沙班、依度沙班),目前NOACs已广泛用于髋或膝关节替换患者的静脉血栓预防、房颤患者卒中或系统性栓塞的预防等;张丽华等[13]发现利伐沙班与低分子肝素治疗伴低AT-Ⅲ血症的NS并发的血栓栓塞症的患者,疗效及安全性相当,无明显不良反应;2016年美国胸科医师学院提出,对于下肢深静脉血栓(DVT)或肺栓塞(PE)的非癌症患者长期抗凝治疗,建议优先使用NOACs[14]。
近年来他克莫司(FK506)是一种新型大环内酯类免疫抑制剂,被较多用于肾病综合征的治疗,关欣[15]等对60例难治性NS患者的研究发现,FK506是治疗难治性肾病的有效药物,并具有保护肾功能的作用,毒副作用少。李杰[16]观察60例典型NS患者也提出,他克莫司联合小剂量糖皮质激素治疗NS疗效显著,短期观察用药后不良反应发生率低。一项研究显示,他克莫司血药浓度与治疗NS临床疗效具有确切相关性,待血药浓度在4.8~11.3 ng/ml,治疗效果满意[17]。临床上常监测他克莫司全血谷浓度来调整剂量。
虽然新型口服抗凝药与华法林相比,在应用过程中显示出较大的治疗优势,但其本身也存在诸多问题,例如关于NOACs不良反应报道的逐渐增加、缺乏有效拮抗剂以及价格昂贵等。当发生出血风险不良反应,尤其是致死性出血或者急需终止抗凝作用时,由于国内缺乏特异性拮抗剂,导致其治疗较棘手[18]。张秀丽等[19]分享了1例慢性肾脏病合并冠心病非ST段抬高心肌梗死、心房颤动患者应用达比加群致血尿的病例,文中明确指出肾功能损害是达比加群出血不良反应的一个主要危险因素,并对于类似患者不推荐达比加群一类的新型抗凝剂。本例将面临同时使用低分子肝素、口服抗凝药、他克莫司治疗,明确药物之间相互作用对于选用口服抗凝药种类至关重要;虽然Camporese等[20]的一项研究没有观察到利伐沙班与他克莫司和依维莫司之间有任何显著的相互作用,但2014版欧洲心脏病学会急性肺血栓栓塞症诊断治疗指南强调这4种新型口服抗凝药物均不能用于严重肾功能损害的患者[21],国内也缺乏新型抗凝剂与他克莫司相互作用的研究。考虑以上原因,本例最终选用法华林与低分子肝素重叠以华法林维持,并密切监测他克莫司血药浓度以及PT-INR,及时调整他克莫司的剂量及法华林的剂量,以最小不良反应兼顾肾病综合征及急性肺栓塞的治疗;至于抗凝治疗的持续时间,大多数专家建议,根据临床反应,至少治疗1年,直至终生[22]。
肺栓塞(PE)是肾病综合征(NS)较常见且较严重的并发症之一,肺栓塞由于临床表现多样,导致误诊率高,故早期识别、早期诊治为改善患者预后至关重要,YEARS评分可以安全有效排除可疑肺栓塞患者,对于所有PE患者都应尽早进行危险性分层,以便得到及时有效的救治。目前,抗凝治疗仍是肺栓塞的基本治疗方法。对抗凝药物的选择需要兼顾抗凝药物的有效性、安全性等,做到个体化治疗。虽然新型口服抗凝药的研究取得了突破性进展,但短期内NOACs尚无法取代传统口服抗凝剂,还需要更多的临床试验来证实其有效性和安全性。
所有作者均声明本研究不存在利益冲突























