
患者,女,56岁,因"腹胀半年"就诊。
患者半年前无明显诱因出现腹胀,偶有腹痛,无明显恶心呕吐、排便习惯改变及消瘦乏力等症状。体格检查:腹膨隆,无压痛、反跳痛,触及脾肿大(重度),肝脏肋下未触及,移动性浊音(-),肠鸣音4次/分。
术前腹部增强CT:巨脾伴不均匀强化,肝脏多发低密度影伴强化,考虑肝、脾血管源性肿瘤(血管瘤?血管肉瘤?)。18F-FDG PET/CT:巨脾伴18F-FDG代谢不均匀轻度增高,倾向恶性病变(原发);肝内多发低密度灶未见18F-FDG代谢异常,倾向良性病变(血管瘤)。
行脾脏切除术,病理:(脾)高-中分化血管肉瘤。术后未接受其他治疗。
术后1个月复查腹部CT提示肝脏病灶较术前增大。术后7个月再次因腹胀入院,查腹部CT示肝内弥漫性结节及肿块,腹腔内多发结节。随访结果提示术前肝脏病灶为转移瘤,术后病灶明显进展。
核医学科;肝脏外科
版权归中华医学会所有。本文为遵循CC-BY-NC-ND协议的开放获取文章。
原发脾脏血管肉瘤(primary splenic angiosarcoma, PSA)是一种罕见的、预后极差的血管源性脾脏恶性肿瘤,常于中老年起病,发病率约0.14~0.23/百万。PSA依靠病理确诊,手术切除脾脏是目前有限且主要的治疗手段,但多数患者手术时已有远处转移,常见于淋巴结、肝、肺、骨骼等[1]。PSA的18F-FDG PET/CT影像表现报道不多,其肝转移灶的18F-FDG代谢特点基本以轻度增高或减低为主。我们报道1例以脾脏病灶代谢增高但肝转移灶代谢正常为主要表现的PSA,旨在提高对本病的认识,减少误诊和漏诊。
患者,女,56岁,诉半年前无明显诱因出现腹胀,呈进行性加重,遂至我院就诊。否认相关家族史、冶游史及手术史。
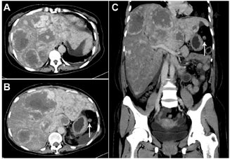
①腹部增强CT:肝脏多发低密度影,增强呈外周向内扩展的渐进性强化;脾脏明显肿大,增强呈渐进性的不均匀强化(图1,图2);诊断意见:考虑肝、脾血管源性肿瘤(血管瘤?血管肉瘤?)。




②18F-FDG PET/CT:脾脏明显增大,约23.1 cm×12.4 cm×24.5 cm,密度弥漫性减低,平均CT值约39 Hu,其内见多发条片状更低密度影,CT值约31 Hu,脾脏18F-FDG代谢不均匀性轻度增高,SUVmax=5.4;肝内多发类圆形低密度影,形态规则,边缘光整,最大者直径4.4 cm,密度均匀,平均CT值约42 Hu,病灶18F-FDG摄取均匀,与肝本底无差异,SUVmax=3.3(图1);诊断意见:巨脾伴18F-FDG代谢不均匀轻度增高,倾向恶性病变(原发);肝内多发低密度灶未见18F-FDG代谢异常,倾向良性病变(血管瘤)。
血常规:白细胞6.43×109/L,红细胞4.07×1012/L,血红蛋白118 g/L,血小板72×109/L。肿瘤标志物:糖类抗原125、糖类抗原19-9、癌胚抗原、甲胎蛋白及异常凝血酶原均阴性。
肝脾占位,性质待定。
脾脏病灶需考虑(1)PSA:CT表现为脾大伴不规则低密度影,增强后可见明显不均匀强化;18F-FDG PET/CT有不同程度的代谢增高,因此本例与PSA较为相符。(2)脾血管瘤:弥漫性血管瘤病罕见,整个脾脏可被血管瘤替代,增强CT表现为周边强化逐渐向内充盈,18F-FDG PET/CT有助于鉴别,血管瘤通常无代谢增高,本例与之不符。(3)淋巴瘤:可表现为脾大伴18F-FDG代谢增高,增强CT有助于鉴别,淋巴瘤病灶的强化程度通常低于正常脾实质,本例不符合。(4)感染:病史及实验室检查可资鉴别,临床表现为发热、白细胞增多和疼痛,本例不符合。
肝脏病灶需考虑:(1)肝血管瘤:18F-FDG PET/CT及增强CT表现与脾血管瘤类似,本例影像表现与血管瘤相符。(2)肝转移瘤:病灶周边常有持续性环形强化,18F-FDG PET/CT有助于鉴别,肝转移瘤一般18F-FDG代谢增高,且显像常能发现原发肿瘤病灶。本例除了肝脾占位以外,并无其他可疑的原发病灶,肿瘤标志物亦正常,如果脾脏为PSA,考虑到PSA易于转移的特点,肝转移瘤无法排除,但肝脏病灶的代谢正常,似乎又与转移瘤不符。(3)肝细胞肝癌:肝癌的18F-FDG代谢与其分化程度相关,增强CT有助于鉴别肝癌,其增强表现为"快进快出",与本例不符。(4)肝脓肿:病史及实验室检查可资鉴别,且18F-FDG FDG代谢可明显升高,本例不符合。
患者接受脾脏切除手术,病理:(脾)高-中分化血管肉瘤。术后未接受其他治疗。
PSA是一种罕见的血管源性恶性肿瘤,预后极差。血管肉瘤在增强CT的影像学表现与良性的血管瘤具有一定相似性,鉴别诊断难度较大[2]。既往病例报道,各部位原发的血管肉瘤均有不同程度18F-FDG代谢增高[3,4],而血管瘤很少出现代谢增高的情况[5]。因此18F-FDG PET/CT在鉴别血管肉瘤与血管瘤方面具有一些作用。本例术前增强CT的异常强化特点提示肝脾病灶均为血管来源,但良恶性却较难鉴别,故行18F-FDG PET/CT检查以获得病灶代谢信息。脾脏代谢增高,提示为恶性病变,术后病理亦证实了这一点,而肝脏病灶的良恶性鉴别存在挑战性。根据PSA的转移特性,肝多发转移是需要考虑的,术后随访亦证实其为转移瘤,但肝脏病灶却无代谢异常,这种与PSA同时存在的、18F-FDG代谢与肝脏本底相同的肝转移灶,易与肝血管瘤混淆,是罕见且有趣的病例。与本病例不同,Cao和Krol各报道了1例PSA伴肝转移,肝转移灶均18F-FDG代谢减低,这可能与肿瘤内部出血和坏死有关[1,6]。而Shimada报道了2例较大的血管瘤,病灶亦因内部坏死、纤维化而代谢减低[2]。因此,18F-FDG PET/CT在血管肉瘤中的价值可能是有限的,因为肝转移灶的代谢似乎没有规律可言。双时相18F-FDG PET/CT可能会提供更多的信息[7],需要进一步研究。
由于PSA罕见,我们对其转移灶的代谢特点缺乏深刻的认识。遗憾的是,本例术前18F-FDG PET/CT检查未行肝脏双时相显像,术后亦未复查18F-FDG PET/CT,我们无法得知双时相显像是否对此类肝转移瘤具有诊断价值,以及肝转移瘤在进展过程中的代谢变化,这是本例报道的不足之处。本例PSA伴肝转移的18F-FDG PET/CT表现与以往报道的病例均不同,提示对PSA患者进行18F-FDG PET/CT评估时,对于肝脏可疑病灶,即使代谢正常,亦不能排除转移的可能性。
所有作者均声明本研究不存在利益冲突






















