
患者,男性,66岁,主因"发热1 d余,大便次数增多1 d"入院,初始体温37.8℃,伴大汗、四肢乏力、纳差,无咳嗽、咳痰、胸闷,随后出现黄色稀水样便(约10次/d),体温上升至39.0℃,四肢乏力进行性加重,急诊收治我院急诊内科。检查结果示Ⅰ型呼吸衰竭,肝酶、肌酶升高,血小板下降,胸部CT示右下肺炎症并部分实变。约6 h后病情迅速进展,出现意识模糊、烦躁而转入呼吸重症监护病房(RICU)治疗。
患者高热、呼吸困难、乏力、纳差、大便次数增多,迅速进展并出现意识模糊、烦躁,查体:意识模糊,口唇紫绀,双肺听诊呼吸音粗,可及少量湿啰音。心率增快,腹部查体未见异常。病理征、脑膜刺激征阴性。
通过肺泡灌洗液NGS检测、腰穿脑脊液检查及大便培养等明确诊断。
给予高流量氧疗等呼吸支持,美罗培南联合莫西沙星、氟康唑、更昔洛韦抗感染、激素抗炎及保肝、护胃、纠正水电解质酸碱平衡紊乱、营养支持等治疗。
患者入院第4天体温下降,大便情况好转,第5天意识转清,氧合逐渐改善,第7天转出RICU至普通呼吸病房,后复查影像学明显好转,顺利出院。
呼吸科;感染科;神经内科
版权归中华医学会所有。本文为遵循CC-BY-NC-ND协议的开放获取文章。
军团菌是引起重症社区获得性肺炎的病原体之一,重症军团菌肺炎多合并全身多系统损害,易被误诊漏诊。现报道一例重症军团菌肺炎。军团菌肺炎(Legionella pneumonia)是由军团杆菌引起的以肺炎表现为主,可能合并肺外其他系统损害的感染性疾病。军团菌肺炎除发热、咳嗽、胸闷等肺部表现外,多伴有消化道、神经精神症状等肺外表现,临床表现不典型,病情进展迅速,其住院患者中约50%需入住ICU[1],半数以上的重症军团菌肺炎患者合并脓毒症休克,未经有效治疗的病死率高达5%~30%[2,3]。现报道1例由军团菌引起的以高热、腹泻、意识障碍为主要表现并合并多脏器功能损害的重症社区获得性肺炎(severe community acquired pneumonia,SCAP),旨在提高对本病的认识,减少误诊和漏诊。
患者,男,66岁,退休工人。因"发热1 d余,大便次数增多1 d"于2020年9月23日17:26以"发热查因:肺部感染?消化道感染?"入住我院急诊内科。患者于2020年9月21日受凉后出现发热,体温最高37.8℃,伴大汗、四肢乏力、纳差,无咳嗽、咳痰、胸闷,无恶心、呕吐、头痛,自行口服"布洛芬混悬液"后体温下降至正常。随后出现大便次数增多(约10次/d),呈黄色稀水样便,体温升至39.0℃,四肢乏力加重,出现行走困难,遂急至我院急诊内科就诊。既往患高血压4年余,血压最高180/110 mmHg,规律口服苯磺酸氨氯地平缓释片5 mg,口服每日一次,血压控制在130/80 mmHg;患心律失常6个月余,间断口服复方丹参滴丸。吸烟二十余年,平均10支/d,饮酒20余年,平均100 ml/d。家族史无特殊。
体温36.7℃,心率114次/分,呼吸22次/分,血压127/80 mmHg。患者神志清楚,查体合作,全身浅表淋巴结未触及,双肺听诊呼吸音粗,心率增快,律齐,心脉率一致,各瓣膜听诊区未闻及杂音,无心包摩擦音,腹部查体未见异常。患者于2010年9月23日23:35突发意识模糊、烦躁、口唇紫绀,指脉氧92%~94%(鼻导管吸氧3 L/min),查体:体温38.5℃,脉搏134次/分,呼吸34次/分,血压157/92 mmHg,双肺可及湿啰音,病理征、脑膜刺激征阴性。立即转入我院呼吸ICU。
pH 7.47,PaCO2 25.3 mmHg,PaO2 67.1 mmHg,HCO3- 18.3 mmol/L,BE–3.3 mmol/L,Lac 2.3 mmol/L;血常规:白细胞7.95×109/L,血红蛋白150.6g/L,PLt 57×109/L,NE 7.63×109/L,L 0.17×109/L;血生化ALT 95 IU/L,AST 152 IU/L,CK 6045 IU/L,CK-MB 54.5 IU/L,LDH 369 IU/L, MYO 2717 ng/ml,pro-BNP 1000 pg/mL, CR 94μmol/L,K+ 2.2 mmol/L,Na+129 mmol/L;PCT 4.67 ng/ml。
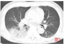
心电图检查示室上性心动过速,ST-T改变,性质待定;胸部CT(图1)示双肺纹理紊乱,双肺可见多发囊状透亮影,以双肺上叶为著,双下肺可见多发条片状密度增高影,右肺下叶可见实变影,双侧胸膜增厚。


患者入院当天夜间出现意识模糊,转入呼吸ICU。查:尿常规:隐血3+,红细胞712/μl,蛋白(+),酮体(+)。粪常规:阴性。粪便培养:菌群失调,光滑念珠菌纯培养。ESR 64 mm/h,CRP>250 mg/L,PCT 4.51 ng/ml。病毒全套:EBV-IgG(+),CMV-IgG(+)。风湿全套:ANA、dsDNA、ENA谱及ANCA谱均阴性。腹部超声:肝脏弥漫性回声改变(脂肪肝),胆囊壁毛糙;心脏超声:二尖瓣轻度关闭不全,左室舒张功能下降,估测肺动脉压力25 mmHg;双下肢深静脉彩超:双侧股总静脉、股浅静脉、腘静脉、胫后静脉、腓静脉、小腿肌间静脉未见明显异常。
气管、左右主支气管及所属支气管黏膜稍充血,管腔内可见较多黏稠脓性分泌物(图2),清理后见各管腔通畅。于右下叶留取灌洗液送检细菌培养、真菌、结核、病毒及病原体NGS。转入呼吸ICU后,患者呼吸困难进一步加重(更换为高流量吸氧)、意识障碍无好转,病程中检验结果变化见表1,表2。



血常规及炎症指标变化
血常规及炎症指标变化
| 日期 | 白细胞(×109/L) | 中性粒细胞(%) | 淋巴细胞(%) | 血小板(×109/L) | PCT(ng/ml) | CRP(mg/L) |
|---|---|---|---|---|---|---|
| 2020年9月23日 | 7.95 | 96 | 2.1 | 57 | 4.67 | |
| 2020年9月24日 | 7.45 | 94.3 | 3.6 | 53 | ||
| 2020年9月25日 | 5.85 | 94.3 | 3.5 | 58 | 4.50 | >250 |

肝功、电解质及肌酶变化
肝功、电解质及肌酶变化
| 日期 | NA(mmol/L) | K(mmol/L) | ALT(U/L) | AST(U/L) | CK(U/L) | LDH(U/L) | MYO(ng/ml) |
|---|---|---|---|---|---|---|---|
| 2020年9月23日 | 129 | 2.20 | 55 | 152 | 6045 | 369 | 2717 |
| 2020年9月24日 | 138 | 3.01 | 89 | 323 | 9454 | 1421 | 2447 |
| 2020年9月25日 | 143 | 3.25 | 120 | 355 | 8137 | 673 | 1283 |
神经科会诊后,进一步完善腰椎穿刺留取脑脊液送检并测颅压,脑脊液无色澄清,压力245 mmH20,脑脊液常规、生化细胞学,ADA、墨汁染色,抗酸染色、自免脑抗体均未见异常。
提示⑴右侧脑室旁、双侧基底节区腔隙性脑梗塞;⑵双侧额顶叶、侧脑室旁白质脱髓鞘;⑶轻度脑萎缩;⑷右侧筛窦小囊肿,双侧乳突炎;⑸脑MRA提示脑动脉硬化改变。
结果回示弱抗酸染色、抗酸染色、六胺银染色、Gm试验均阴性,CMV-DNA 7.92×103。NGS:鲍曼不动杆菌(序列数1431,相对丰度24.93%),嗜肺军团菌(序列数1420,相对丰度30.92%)
⑴重症社区获得性肺炎(军团菌);⑵脓毒症,多器官功能障碍综合征、脓毒性脑病;⑶真菌性肠炎;⑷电解质紊乱(低钠血症、低钾血症);⑸高血压病3级(高危);⑹心律失常:房性早搏房性心动过速。
本例为老年患者,急性起病、发热、肺渗出及实变、迅速进展为多器官功能损害(呼吸衰竭、血小板下降、肝酶及肌酶升高),根据患者的症状体征、影像学表现及肺泡灌洗液NGS、大便培养、颅压及脑脊液检查结果为诊断依据。本病主要与引起发热及肺部阴影的相关疾病(如感染性疾病中的肺炎球菌肺炎、真菌性肺炎,非感染性疾病中的自身免疫疾病累及肺部)、大便异常的相关疾病(急性细菌性痢疾、霍乱、伪膜性肠炎)及意识障碍的相关疾病(脑血管意外、水电解质及酸碱平衡紊乱所致的代谢性脑病)相鉴别。
2020年9月23日17点26分患者入住我院急诊科,给予鼻导管吸氧(3 L/分),哌拉西林他唑巴坦针4.5 g每8小时一次,联合莫西沙星针0.4 g每日一次抗感染及保肝、护胃、退热、纠正电解质紊乱等对症治疗,约6小时后的零点20分,患者出现意识模糊、烦躁、高热39℃,呼吸困难进一步加重转入呼吸RICU。
起初面罩吸氧(5 L/分),1 d后(2020年9月25日)更换为高流量吸氧(氧流量45L/min,氧浓度40%),5 d后(2020年9月30日)更换为鼻导管吸氧(2 L/分)转入普通呼吸病房。
转入ICU后更换为较易透过血脑屏障的美罗培南(2.0 g每8小时一次)联合莫西沙星针(0.4 g每日一次)抗细菌同时兼顾覆盖非典型病原体,氟康唑(0.2 g每日一次)抗真菌治疗。
⑴ 2020年9月26日脑脊液压力测定后加用更昔洛韦(0.25 g q12h)抗病毒治疗。
⑵ 2020年9月28日4 d后患者神志转清,根据NGS结果加用多粘菌素B(50W IU 12小时一次)雾化吸入。
⑶ 2020年9月30日转入普通呼吸病房,后给予莫西沙星针、头孢哌酮舒巴坦针、伏立康唑针广谱抗细菌、抗真菌治疗。
地塞米松针(10 mg每日一次)减轻炎症反应。转入普通呼吸病房后调整为甲泼尼龙琥珀酸钠针抗炎。
全身抗感染治疗同时加用利福昔明鼻饲,金双歧调节肠道菌群。3 d后(2020年9月27日)大便好转。
抗感染基础上给予保肝、护胃、升血小板、维持水电解质平衡及营养支持等治疗。
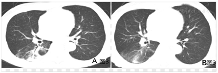
患者转入呼吸ICU后,积极给予呼吸支持治疗、抗感染、抗炎、补液、纠正电解质紊乱及保肝、护胃、营养支持等对症支持治疗,患者体温逐渐下降,大便情况好转,肝酶、肌酶、血小板指标逐渐好转,2020年9月28日神志转清,具体病情转归情况见表3,表4。2020年9月30日转出RICU至普通呼吸病房,10月8日复查胸部CT示右下肺炎症明显好转(图3A),病情稳定后于2020年10月18日顺利出院。11月20日来院复查右下肺炎症进一步好转(图3B)。



患者生命体征变化及大便情况好转的时间对照
患者生命体征变化及大便情况好转的时间对照
| 患者住院时间(2020年) | ||||||||
|---|---|---|---|---|---|---|---|---|
| 患者临床指标 | 9月23日 | 9月24日 | 9月25日 | 9月26日 | 9月27日 | 9月28日 | 9月29日 | 9月30日 |
| 体温(℃) | 39.0 | 38.3 | 37.4 | 37.0 | 37.8 | 36.3 | 36.3 | 36.5 |
| 脉搏(次/分) | 114 | 130 | 119 | 82 | 80 | 78 | 83 | 71 |
| 呼吸(次/分) | 22 | 33 | 24 | 26 | 29 | 28 | 25 | 22 |
| 氧饱和(呼吸支持下) | 95% | 96% | 93% | 99% | 96% | 94% | 98% | 99% |
| 神志 | 清楚 | 模糊 | 模糊 | 模糊 | 模糊 | 清楚 | 清楚 | 清楚 |
| 大便(次/天) | 10 | 6 | 8 | 2 | 1 | 2 | 1 | 1 |

血小板、肝酶、肌酶及炎症指标变化
血小板、肝酶、肌酶及炎症指标变化
| 临床指标 | 患者入院后实验室检查及出院后复查的时间(2020年) | |||||
|---|---|---|---|---|---|---|
| 指标 | 9月26日 | 9月28日 | 9月30日 | 10月2日 | 10月10日 | 11月20日(患者出院后复查) |
| PLT(×109/L) | 49.00 | 90.00 | 80.0 | 138 | 154 | 143.00 |
| CRP(mg/L) | 220.49 | 90.38 | 4.92 | |||
| PCT(ng/mL) | 2.29 | 0.55 | 0.20 | |||
| ALT(U/L) | 164.00 | 187.00 | 179.0 | 141 | 53 | 21.00 |
| AST(U/L) | 471.00 | 296.00 | 208.0 | 105 | 35 | 24.00 |
| CK(U/L) | 6251.00 | 1600.00 | 639.0 | 25 | 75.00 | |
| MYO(ng/ml) | 1222.00 | 93% | 455.6 | 58 | ||
军团菌是一种兼性细胞内寄生的革兰阴性杆菌,广泛分布于温暖潮湿的环境,空调冷凝水和冷却塔的循环水是传播的主要来源,患者常因吸入被污染的气溶胶而被感染。军团菌相比其他社区获得性肺炎常见致病菌更容易发展为重症肺炎,也是重症社区获得性肺炎(severe community-acquired pneumonia,SCAP)中最容易被误诊的病原体之一[4]。其好发于老年、男性及吸烟者、伴有慢性心肺基础疾病、糖尿病、恶性肿瘤、免疫抑制、应用肿瘤坏死因子α拮抗剂的人群[5]。
军团菌肺炎临床表现无明显特异性,典型患者除有高热、咳嗽、呼吸困难等肺部感染表现外,还常伴有乏力、肌肉酸痛、头痛、腹泻、恶心、呕吐等,重症患者病情迅速进展,发展为呼吸衰竭、谵妄、昏迷、脓毒症休克等多脏器功能障碍[6,7]。胸部CT表现复杂多样[8]:大片状实变影、斑片影、磨玻璃影、边界清楚的小结节增殖影等多种表现,可合并存在,相互转化,表现为动态演变过程。多发生于单侧,下叶受累多见,危险因素多、机体状况差者多双侧受累。可伴有空洞、胸腔积液、肺门淋巴结肿大等,特别是免疫功能受损的患者[9]。实验室检查除炎症指标增高外,血清乳酸脱氢酶升高、肌酶升高、低钠血症、低磷血症以及肝肾功能障碍、血小板减少等对军团菌肺炎有提示意义。Fiumefreddo报道[10],低钠血症、乳酸脱氢酶升高、CRP升高、血小板减少这四项结果为军团菌感染的独立预测因子。研究表明[11],高热及军团菌引起的血管收缩可导致肌肉缺血坏死、横纹肌溶解而表现为肌酶的异常升高,同时横纹肌溶解也是急性肾功能损伤的重要因素。病情进一步进展发展为脓毒症阶段时,血管内皮细胞损害、毛细血管通透性增加、微循环障碍导致组织缺血、缺氧和器官损害,从而进一步导致脓毒性脑病、横纹肌溶解、急性肝肾功能损伤等多脏器损害的表现。本病例为老年男性患者,长期吸烟病史,急性发病,肺炎的基础上,病情迅速进展,出现呼吸衰竭、意识障碍、低钠血症、血小板减少、肝酶及肌酶的升高,符合军团菌肺炎的特点。
军团菌的分离培养(痰液、肺泡灌洗液、胸腔积液等)仍是确诊军团菌感染的金标准。由于培养时间长、易被杂菌污染、生长条件苛刻等原因,临床培养阳性率并不高,不利于早期快速诊断疾病[12]。军团菌1型尿抗原检测可早期确诊该病,但是不能检测除1型军团菌以外的军团菌肺炎,容易导致漏诊[13]。军团菌血清抗体急性期及恢复期双份血清标本呈4倍或4倍以上变化时存在诊断学意义。但由于其需2~4周或更长时间,且在肺炎的急性期,不同细菌交叉感染同样会使军团菌抗体滴度升高[14],因此该方法对于早期诊断应用价值不高。高通量基因检测(nextgenerationgenomesequencing,NGS)通过对临床样本中所有的DNA/RNA进行无选择性分析,敏感度高,不仅可以确诊军团菌,同时可以对军团菌肺炎患者可能同时存在多种细菌混合感染进行检测[15]。本例患者通过及时进行床旁气管镜检查并留取肺泡灌洗液行NGS病原体检测,明确了嗜肺军团菌和鲍曼不动杆菌感染的诊断,对患者的抗感染治疗起到了关键的作用。
早期应用大环内酯类或喹诺酮类药物治疗是军团菌感染的一线治疗方案[5]。在联合用药方面,推荐危重症军团菌肺炎可应用喹诺酮联合大环内酯类或利福平进行治疗。但重症肺炎患者往往不是单一病原菌感染,本例患者合并鲍曼不动杆菌、巨细胞病毒和光滑念珠菌等多种病原体感染,从而在莫西沙星的基础上联合美罗培南广谱抗细菌及抗真菌、抗病毒的治疗。因此临床上要警惕多重感染特别是耐药菌感染的问题,及时进行病原学检测、不断评估治疗效果并调整抗感染治疗非常重要。除病因治疗外,呼吸支持治疗,维持水电解质平衡,保护脏器功能、营养支持等综合措施亦是提高治愈率的重要手段。军团菌感染的病理改变为急性纤维素性化脓性肺炎,即使及时进行了适合的抗感染治疗,但患者仍有可能出现吸收延迟伴发肺间质改变影响氧合,最终导致呼吸衰竭死亡。因此,我们在充分抗感染治疗的基础上,针对患者氧合变化情况,及时更换为高流量呼吸支持治疗的同时应用糖皮质激素抗炎从而改善改善氧合,维持了生命体征的稳定,也给抗感染治疗争取了时间。本例虽因病情进展很快转入ICU,但由于及时的明确了病原体并给予了恰当的治疗,患者在较短时间内即脱离生命危险,获得了很好的预后。
综上,军团菌肺炎起病急、病情凶险、病死率高。提高对军团菌肺炎的认识,早期病原学诊断、恰当的抗感染治疗和支持治疗是提高治疗成功率、降低病死率的关键。
所有作者均声明本研究不存在利益冲突





















