
患者,女性,43岁,因声嘶1个月入院。患者个1月前说话多后出现声嘶,呈持续性,伴发音粗糙、发声费力、音域受限等不适,CAPE-V嗓音听感知评估:嗓音障碍总的严重程度中度,粗糙声中度,气息声中度,紧张声轻度,无力程度轻度,音调异常轻度。反流症状评分:14分;反流体征评分:8分。频闪喉镜考虑右侧声带囊肿,在全麻下行"支撑喉镜辅助下右侧声带囊肿切除术",术后20天复查,患者诉仍声嘶、发声费力等不适。
神清,生命征平稳,心肺腹查体未见明显异常。间接喉镜下可见右侧声带下唇边缘中份可见一肉芽,呈淡红色,大小约3 mm×3 mm,表面光滑,双侧声带内收及外展运动正常。
频闪喉镜检查见手术创面愈合良好,右侧声带下唇处见一肉芽,呈淡红色,大小约3 mm×3 mm,表面光滑,局部黏膜波下降,发音时声门闭合见一梭形缝隙。双侧声带内收及外展运动正常。诊断为右侧声带炎性肉芽。
嘱患者限制用嗓,发声时,采用气流轻声发音方法,同时抗反流、抗炎消肿等药物治疗。具体为地塞米松片0.75 mg tid口服、普米克令舒2 mg bid雾化Bid、雷贝拉唑20 mg bid口服至肉芽完全消失。
治疗后15 d,患者诉声嘶、发声困难改善,复查喉镜见右侧声带肉芽较前缩小。治疗后28 d,右侧声带肉芽完全消退。治疗后3个月,复查见右侧声带边缘光滑,未见肉芽复发。
耳鼻咽喉头颈外科
版权归中华医学会所有。本文为遵循CC-BY-NC-ND协议的开放获取文章。
声带囊肿是常见的声带膜中部病变,为声带固有层浅层中的包膜性病变,约占喉部良性病变的6%~13%,人群中女性发病率较高[1,2]。表现为声音嘶哑、发音无力、音调不稳定、双音或代偿性发音紧张等。全麻下采用冷刀切除囊肿是目前声带囊肿主要的治疗手段,术后常见的并发症有牙齿损伤、颞颌关节损伤、舌麻木、味觉障碍、囊肿复发等,出现声带肉芽少见。我院收治1例声带囊肿术后出现声带肉芽患者,通过阐述其临床表现、诊断治疗及病情转归,为临床提供参考。
患者,女性,教师,43岁,因"声嘶1个月"入院。患者于1个月前说话多后出现声嘶,声嘶呈持续性,发音粗糙,说话多时声嘶加重,伴发声费力,音域受限等症状,就诊门诊查频闪喉镜示:右侧声带囊肿,收入我科。一般查体未见明显异常。专科查体:间接喉镜下可见右侧声带中份处见囊样新生物,表面光滑,双侧声带内收及外展运动正常。
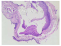
CAPE-V嗓音听感知评估:嗓音障碍总的严重程度中度,粗糙声中度,气息声中度,紧张声轻度,无力程度轻度,音调异常轻度。频闪喉镜(图1):右侧声带中份处见囊样新生物,表面光滑。喉后部充血,黏膜轻度增生,发音时,双侧声带闭合见沙漏状缝隙,右侧声带病变局部振幅及黏膜波减弱(附视频),反流症状评分(RSI):14分(>13分);反流体征评分(RFS):8分(>7分)。术前血常规、凝血、生化、心电图及肺部CT等无手术禁忌。


根据持续声嘶症状,嗓音粗糙度中度,频闪喉镜检查可见右侧声带囊样新生物,病变黏膜波减退,诊断右侧声带囊肿,咽喉反流性疾病。在全麻下行支撑喉镜下显微镜辅助声带囊肿切除术,围手术期配合气流轻声发声训练指导及抗反流治疗。术中见右侧声带前中交界处有一囊肿样物,淡黄色,表面光滑,基地较宽,活动度稍差;采用显微中间微瓣法行声带囊肿剥离手术:显微喉镰刀行囊肿黏膜旁纵切口,并用30°喉显微剥离子行囊肿黏膜下剥离,见囊肿深及声带的系膜层,牵拉囊壁,完整剥离囊肿,并用显微喉剪行囊肿根部切除,将声带黏膜复位。术后予激素雾化、质子泵抑制剂抗反流、喉部微波理疗等处理,绝对禁声3 d,气流轻声发声1周。术后病理示:符合声带囊肿(图2)。


术后第1天复查频闪喉镜:可见右侧囊肿消失,声带边缘光滑,右侧声带黏膜波稍下降,未见明显肿物残留,轻度充血肿胀。喉后部充血,黏膜轻度增生,发音时,可见声门闭合见一梭形缝隙(图3A、图3F)。


术后20 d,患者声嘶无改善,复查频闪喉镜检查见手术创面愈合良好,右侧声带下唇处见一肉芽,呈淡红色,大小约3 mm×3 mm,表面光滑,局部黏膜波下降,发音时声门闭合见一梭形缝隙。双侧声带内收及外展运动正常(图3B、图3G)。
患者右侧声带囊肿术后20 d,声嘶改善欠佳,喉镜检查发现右侧声带原手术切口处下唇见一肉芽样肿物,考虑声带炎性肉芽,咽喉反流性疾病。
再次对其进行嗓音卫生健康宣教:内容包括:1.保持适宜的说话响度,但要注意避免喉部用力地使用耳语声说话,必要时应使用麦克风建议说话时;2.单个句子总字数不超过15个字,每小时用声量不超过15分钟,避免过度、持续用声等。发音时,采用气流轻声发音方法,让患者体会介于耳语和正常发声之间、气流充沛、喉部放松的发声状态。同时予地塞米松片0.75 mg tid口服5 d、普米克令舒2 mg bid雾化7 d、雷贝拉唑20 mg bid口服2周。
治疗后15 d,患者诉声嘶、发声困难较前改善,复查喉镜见右侧声带下唇处见一肉芽较前缩小(图3C、图3H)。继续予雷贝拉唑20 mg bid口服2周。
治疗后28 d复查频闪喉镜:右侧声带肉芽完全消失(图3D、图3I)。考虑到患者在发音时声门上仍有轻度挤压征、声门闭合不全的情况,评估后给予共鸣嗓音疗法进行嗓音训练,以优化声带的闭合程度、减轻声门上挤压征,提高音量、改善嗓音。
治疗后3分月复查,患者右侧声带边缘光滑,未见肉芽复发,发音时,声门闭合良好,黏膜波正常,嗓音功能基本正常(图3E、图3J)。
声带囊肿根据病理类型,声带囊肿可分为黏膜潴留囊肿和表皮样囊肿;根据囊肿累及固有层的深度,可分为上皮下型和韧带型。频闪喉镜下可见声带中部内侧缘或上表面囊样隆起,通常呈黄色或白色。病变处黏膜波降低,发声时呈沙漏状闭合。手术的关键是将囊肿囊壁清除干净并尽量减少对囊肿周围正常组织的损伤,以避免囊肿复发和减少术后声带瘢痕的产生和固有层的缺损,提高术后嗓音质量的恢复。囊肿常常为单侧,对侧声带有接触性病损或者上皮斑块,可在术中同时切除[3]。
患者右侧声带囊肿术后20 d右侧声带中段出现一淡红色光滑肿物,应考虑其性质为1.声带肉芽肿;2.声带息肉;3.囊肿复发;4.声带恶性肿瘤等。该患者右侧声带肿物未见明显囊性包膜结构,且出现时间较短,暂不支持囊肿复发可能;声带恶性肿瘤生长速度快,肿物表面粗糙、易出血,患者右侧声带肿物表面光滑,且原先病变术后病理为囊肿,癌变可能性小;声带息肉常因为过度、不当发声的机械作用引起黏膜下固有层浅层的血管扩张、通透性增加导致局部水肿,进一步变性、纤维化产生,早期上皮层多正常,但仔细观察肿物表面未见正常声带上皮组织,故考虑声带肉芽肿可能性大。
支撑喉镜声带手术后肉芽肿可出现于声带切口处或杓状软骨声带突内侧或上方。位于杓状软骨声带突处的肉芽肿称为接触性肉芽肿,为杓状软骨声带突处黏膜破溃和肉芽组织增生,常由咽喉反流、过度用嗓、吸烟、麻醉插管等引起[4];位于声带切口处的肉芽肿称为创伤性肉芽肿,常在CO2激光术后30 d左右出现,手术深度超过声韧带达声带肌,大大提高了创伤性肉芽肿的发病率[5]。采用CO2激光手术切除声带组织后,损伤部位可见新生毛细血管、炎性细胞浸润,成纤维细胞增加,纤维增生等组织变化,新生肉芽组织逐渐填补手术缺损,然后重新上皮化,完成组织修复,这是一个正常的修复过程。而创伤性肉芽肿是由于修复过程中肉芽组织的过度增生导致,影响发音功能的恢复。一般使用冷器械内侧微瓣切口手术切除声带囊肿过程中,没有CO2激光所致的热损伤及焦痂,手术深度不累及肌层,没有上皮的缺损与声带组织的裸露,术后声带肉芽肿罕见。该患者产生术后肉芽的原因可能有以下三点:1.患者声带囊肿较大,术中见基底部较深,手术操作范围较广和程度较深,创伤相对较大,增加了肉芽肿出现的概率。2.患者术前和术后评估均有明显的咽喉反流的表现,咽喉反流可能是导致该患者出现术后肉芽的主要因素。3.患者职业为教师,术后正值疫情期间上课形式发生改变,需要从中进行较多的协调工作,使得术后未进行行为调整治疗就讲话,使得伤口过多碰撞导致肉芽产生。
针对声带肉芽肿的病因,可选择的保守治疗方式有:1.声带休息;2.嗓音矫治;3.抗咽喉反流治疗;4.皮质类固醇激素雾化或局部注射;5.肉毒杆菌毒素A声带肌注射等手段联合治疗;只有在内科保守治疗无效时,才考虑联合手术切除,单纯手术切除肉芽肿的复发率高达50%以上[6]。嗓音滥用或嗓音误用可导致双侧声带频繁、剧烈碰撞,损伤声带、妨碍声带上皮的修复,是声带肉芽肿的常见诱因,声休可避免双侧声带剧烈的碰撞,嗓音训练可增强对声音的控制力、纠正发声方式、协调喉部肌肉的张力,在发音时声门后部留有缝隙,减轻双侧声带突的撞击,是声带肉芽肿的重要辅助治疗方法[7];多数研究表明咽喉反流与声带肉芽肿的发生发展关系密切,由于喉部黏膜缺乏抗反流屏障,无法有效抵御胃酸及胃蛋白酶的侵害,导致声带黏膜溃疡,加上发音时声带高强度且高频率地碰撞,继而形成肉芽肿,抗反流药物是目前治疗声带肉芽肿的一线药物[8];糖皮质激素的应用被公认为是对全身及局部炎症最有效的抗炎药物之一,不论是雾化吸入、局部注射、全身应用均对治疗声带肉芽肿有效,可以很好地控制炎症反应,去除肉芽肿生长的动力[9,10]。肉毒毒素A可抑制肌肉运动神经元末梢释放乙酰胆碱,麻痹喉内收肌,避免双侧声带接触碰撞,刺激肉芽肿生长,可选择肌肉有甲杓肌、环杓侧肌、杓间肌,但注射后会出现一定程度的声嘶、发音无力、呛咳等副作用[11,12,13]。
该病例术前反流症状评分:14分;反流体征评分:8分,考虑合并有咽喉反流,且经过术前的反流治疗,患者自觉症状好转,按照咽喉反流性疾病的诊断治疗流程,可以确诊为咽喉反流性疾病[14]。术后仍出现声带肉芽,说明喉咽反流治疗需要一定时间,也提示抗反流治疗在围手术期的重要性。同时可能与术后用声不当、炎症刺激、麻醉插管等有关,需多方面因素综合治疗:嘱其少讲话、以气流轻声方式发音以减少双侧声带的碰撞避免刺激肉芽生长、口服PPI抗咽喉反流、口服及雾化吸入糖皮质激素抗炎。治疗后1个月,复查频闪喉镜发现右侧声带肉芽肿完全消失,双侧声带表面光滑,发音时声门闭合见缝隙,予共鸣疗法嗓音训练改善声门闭合及提高发音效率。治疗后3个月复诊,未见肉芽复发,发音时,声门闭合良好,黏膜波正常,嗓音功能基本正常,综合治疗获得良好的效果。
临床上声带囊肿术后出现声带肉芽肿少见,术中应尽量减少对囊肿周围正常组织的损伤,严格控制手术操作的范围和深度,同时也提示了嗓音显微外科手术围手术期规律抗反流治疗和嗓音训练治疗的重要性。对于术后出现的声带肉芽肿,综合保守治疗疗效佳,应慎重选择再次手术切除。
所有作者均声明本研究不存在利益冲突





















