
患者,男,57岁,因"发热伴腹痛、腹泻3 d"入院。最高体温39 ℃,拟以"发热待查"收治感染科。2型糖尿病病史6年。
畏寒、四肢乏力,伴有腹痛、腹泻,腹痛呈阵发性,程度不剧烈,腹泻为水样便,4次/d。
根据血常规、肝肾功能及腹部CT检查结果,最终诊断为流行性出血热(危重型)、脓毒性休克、急性肝功能不全、急性肾损伤、弥散性血管内凝血。
给予患者机械通气、维持血流动力学稳定、抗感染、规律CRRT治疗、营养等对症支持治疗。针对血小板减少,给予重组人血小板生成素(rhTPO)15000 U 1次/d皮下注射。
经过综合治疗,患者神志改善,循环逐渐稳定,器官功能逐一恢复。病情稳定后转至肾内科,在病程第32天后出院,最终达到了临床治愈的效果。
重症医学科;感染科;肾内科;血液科
版权归中华医学会所有。本文为遵循CC-BY-NC-ND协议的开放获取文章。
肾综合征出血热(hemorrhagic fever with renal syndrome,HFRS)是由汉坦病毒感染引起的以发热、休克、出血和肾脏损坏为主要特征的急性自然疫源性疾病。本病例主要症状为发热伴腹痛、腹泻,始以"发热待查"收治于感染科,给予头孢哌酮钠舒巴坦钠抗感染治疗无效转至重症医学科,重症医学科确诊流行性出血热,针对血小板减少,给予rhTPO 15000 U 1次/d皮下注射,调节巨核细胞分化促进血小板生成,改善T淋巴细胞功能,降低血小板消耗,10 d后患者的血小板逐渐恢复至安全范围。后再次出现了下降,考虑为长程使用抗生素造成,停用抗生素5 d后,血小板恢复正常。现将病例进行整理、分析,以供广大临床医生参考。
患者,男,57岁,因"发热伴腹痛、腹泻3 d"于2021年1月3日入感染科。
现病史:患者3 d前无明显诱因下出现发热,最高体温39 ℃,有畏寒、四肢乏力,伴有腹痛、腹泻,腹痛呈阵发性,程度不剧烈,腹泻为水样便,4次/d,当地社区医院血常规提示白细胞19.6×109/L,血小板75×109/L。为进一步治疗至我院就诊,拟以"发热待查"收治感染科。
既往史:2型糖尿病病史6年。
个人史:无特殊。
体格检查:体温38℃,脉搏120次/min,呼吸22次/min,血压125/72 mmHg。神志清楚,呼吸稍促,全身皮肤黏膜无黄染,无皮下出血。双侧瞳孔等大等圆,直径3 mm,对光反射灵敏,颈软,气管居中。双侧胸廓对称,双肺未及明显干湿性啰音,心率122次/min,未及杂音。腹平软,肝脾肋下未及,脐周压痛阳性,反跳痛阴性,双下肢轻度水肿,病理征未引出。
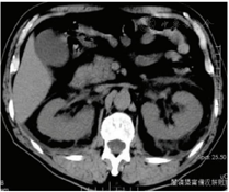
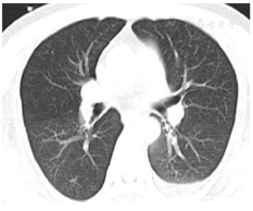
辅助检查:血常规:WBC 25.7×109/L,NE 60.2%,PLT 49×109/L。肝肾功能:ALT 360 U/L,AST 175 U/L,CREA 207 μmol/L。凝血:PT 16.7 s,APTT 74.7 s。心电图:窦性心动过速。完善胸部CT检查:未见明显异常(图1)。腹部CT:肾脏形态不规则,体积局部增大,周围渗出边缘毛糙(图2)。




结合临床,患者被诊断为:(1)肠源性脓毒血症;(2)肾周间隙感染;(3)脓毒性休克;(4)急性肝功能不全;(5)急性肾损伤;(6)弥散性血管内凝血。
结合患者的病史及目前的检查,行骨髓穿刺排除血液系统疾病,并完善血、尿、痰培养,寻找病原学,给予头孢哌酮钠舒巴坦钠抗感染治疗,24 h后患者突发抽搐,牙关紧闭,意识丧失,联系重症医学科会诊给予气管插管后转入重症医学科。
在重症医学科,给予机械通气(压力控制模式),镇痛镇静(RASS评分-3分,CPOT评分0分),去甲肾上腺素1.0 μg/(kg·min)维持血流动力学稳定。查体:双肺听诊湿啰音,心率133次/min,腹部压痛阳性,反跳痛阴性,肠鸣音减弱,双下肢轻度水肿。
重症医学科实验室检查如下:血气分析:pH 6.93,PaO2 55 mmHg,PaCO2 40 mmHg,Lac>15 mmol/L。血常规:WBC 48.5×109/L,NE 47.1%,PLT 9×109/L,Hb 184 g/L。凝血功能:PT 16.5 s,APTT 77.5 s,FBG 2.25 g/L。D-二聚体:3.3 mg/L。生化:ALT 360 U/L,AST 557 U/L,TBIL 8.2 μmol/L,DBIL 1.7 μmol/L,IBIL 16.8 μmol/L,ALB 21.8 g/L。LDH 3906.5 U/L,CK-MB 59.5 U/L,Cr 470 μmol/L,BUN 24.5 mmol/L。尿常规:尿蛋白3+,细菌19个/μl,病理管型7个。感染指标:PCT 6.9 ng/ml,CRP 168 mg/L。
患者出现多器官功能异常,诊断并不明确。患者是否为感染性疾病?如果是,感染部位为何处?肝肾损伤是原发还是继发?如何解释患者抽搐?首先需对发热伴多器官功能损伤进行鉴别,对于感染性发热,起病急,感染中毒症状重,感染指标显著异常,而非感染性发热,起病慢,病程长,多有皮疹、淋巴结、肝脾肿大,无明显感染中毒症状,该患者可定性属于感染性发热;其次是寻找病原学,患者肺部有渗出,有腹泻症状,肾周有渗出,尿常规见细菌和白细胞,有抽搐,每个部位都有异常,无法一元论解释。仔细分析患者动态血常规变化提示白细胞升高,淋巴细胞、血红蛋白升高,血小板显著降低,在所有器官功能障碍中尤其以肾功能衰竭显著,并出现严重的休克,转至重症医学科后,患者呈现出了热退病重的特点。因此,详细追问患者的流行病学,患者居住于农村,独居,个人卫生条件较差,生活不拘小节,家中常有老鼠出没,故立即联系疾病预防控制中心,出血热抗体IgG阳性,IgG弱阳性,患者诊断危重型流行性出血热伴多器官功能衰竭明确。给予患者机械通气、维持血流动力学稳定、抗感染、规律CRRT治疗、营养等对症支持治疗。针对血小板减少,给予rhTPO治疗,它能够调节巨核细胞分化促进血小板生成,改善T淋巴细胞功能,降低血小板消耗,给予rhTPO 15000 U 1次/d皮下注射,10 d后患者的血小板逐渐恢复至安全范围。经过综合治疗,患者神志改善,循环逐渐稳定,器官功能逐一恢复。
随着综合治疗的进行,2021年1月19日患者的血小板再次出现了下降,PLT为18×109/L,对于在重症患者治疗期间出现的血小板下降,较常见的几种可能包括原发病恶化、常伴有多器官功能衰竭,细菌或真菌感染导致的消耗性疾病,以及药物因素等。再次整体评估患者病情,患者生命体征平稳,原发病未恶化,器官功能在恢复期。经过血、尿、痰、导管等逐一筛查,影像学进一步完善,没有找到明确的感染灶。考虑是否为药物性因素可能,患者目前抗生素应用已有2周余,哌拉西林他唑巴坦长疗程使用后可能会出现血小板减少的情况,停用抗生素5 d后,血小板恢复正常。
患者病情稳定后转至肾内科,在病程第32天后出院,最终达到了临床治愈的效果。
肾综合征出血热(hemorrhagic fever with renal syndrome,HFRS)是由汉坦病毒感染引起的以发热、休克、出血和肾脏损坏为主要特征的急性自然疫源性疾病。汉坦病毒主要感染人血管内皮细胞,引起小血管和毛细血管广泛损伤。我国是HFRS的主要疫区,每年发病人数占世界总发病人数的90%以上。对于一些典型病例,可能会有明显的三红三痛,以及疾病发展的5期变化,但是对于非典型重症患者,常常三红三痛不明显,呈现数期重叠的特点,很容易漏诊[1,2]。尽管许多病毒感染可导致血小板减少,但汉坦病毒感染引起的急性血小板减少具有更明显的临床表现和更严重的后果,其导致血小板减少的机制尚不完全清楚,但也取得了一些进展。
汉坦病毒感染导致血小板减少的机制,主要分为"中心机制"和"外周机制"。中心机制为病毒感染可能调控造血干细胞分化、巨核细胞增殖成熟、前血小板形成和血小板释放,最终影响血小板生成。外周机制包括:血小板抗体介导的活化和清除、血小板与内皮细胞的相互作用、血小板功能异常、病毒感染血小板和弥漫性血管内凝血[3]。重组人血小板生成素能够促进造血干细胞和所有祖细胞的增殖并延长其生存时间,加速干细胞进入细胞周期,改善T淋巴细胞功能并降低血小板消耗,早期积极使用可助力血小板逐渐恢复[4]。
患者在治疗过程中再次出现血小板减少,分析是由哌拉西林他唑巴坦长疗程使用所致[5],具体机制考虑哌拉西林他唑巴坦作为一种半合成青霉素,其具有抗原性,进入人体后会产生药物依赖性抗体,从而破坏血小板导致其数量下降,停用该药后血小板逐渐恢复正常。
所有作者均声明本研究不存在利益冲突





















