
患者,男性,53岁,主要表现为反复发热伴背部疼痛。
患者主要表现为反复发热及背部疼痛,病情迁延。
临床上诊断需结合流行病学史、临床表现和实验室检查对布鲁菌病进行诊断,一般采用国家卫生部颁发的"布鲁菌病诊疗指南(试行)2012"中的诊断标准对其进行诊断。
治疗原则为早期、联合、足量和足疗程用药。一般采用四环素类和利福霉素类药物进行治疗,也可使用喹诺酮类、磺胺类、氨基糖苷类及三代头孢类药物进行治疗。
急性期布鲁菌病患者经规范治疗多可治愈,但部分患者因治疗不及时或不规范可转为慢性。
呼吸科;感染科;风湿病科;血液科;骨科
版权归中华医学会所有。本文为遵循CC-BY-NC-ND协议的开放获取文章。
布鲁菌病又称波状热,是布鲁菌感染引起的急性或慢性传染病。被我国列为乙类传染病。其是全球范围内最常见、患病率最高的人畜共患病之一,主要流行于畜牧业发达地区,非畜牧业为主的地区,该病较少见。布鲁菌感染人体后侵犯全身多个系统,临床表现多样,常见症状为发热、多汗、乏力、肌肉及关节疼痛等,无特异性临床表现,也正因此患者误诊率高,常发展为慢性迁延性疾病。早期准确的诊断及规范治疗是提高布病患者远期生活质量的重要手段[1]。我科于2017年2月接诊一例发热骨痛患者该患者诊断过程曲折,曾一度误诊为骨孤立性浆细胞瘤,后最终明确诊断,现将该患者诊治经过报道如下,旨在提高对本病的认识,减少误诊和漏诊。
患者,男性,53岁。因"间断发热2个月,再发伴背部疼痛2周"于2017年2月14日入院,入院前2个月患者无明显诱因出现午后间断发热,自测体温37.3℃,无其他伴随症状,未予特殊处理;入院前2周后又再出现发热,最高体温38℃,以下午、晚上为甚,持续数小时后体温自行恢复正常,夜间盗汗,感背部疼痛,初为右侧背痛,后以左侧背部疼痛为甚,呈持续性,尤以咳嗽、翻身时明显,难以忍受,无明显咳嗽、咳痰、咯血,无呼吸困难。既往史:发现血压升高10+年,最高血压150/100 mmHg,服用"苯磺酸左旋氨氯地平5 mg Qd""琥珀酸美托洛尔缓释片47.5 mg Qd"控制血压可。有"腹股沟淋巴结、右锁骨上淋巴结肿大"史4年,无症状,当时取腹股沟淋巴结活检提示慢性炎症性改变。发现异型淋巴细胞升高1年,最高异淋百分比为25%,曾两次行骨髓细胞学,骨髓活检,流式细胞学及染色体,IgH,TCR基因重排等均未见异常。
体格检查:体温36.4℃,呼吸18次/分,心率74次/分,血压130/80 mmHg,急性病容,自主体位。皮肤、巩膜无黄染、出血点。双侧颈部、右锁骨上窝、腹股沟可扪及数枚散在米粒大小淋巴结,质韧、活动可、无触痛。口唇无发绀,咽不红,扁桃体不大。颈软,气管居中,颈静脉无怒张。双肺叩诊呈清音,呼吸音清晰,双肺未闻及干湿性啰音。心界不大,心率74次/分,律齐,A2=P2,各瓣膜听诊区未闻及杂音。腹软,无压痛、反跳痛、肌紧张,肝脾未触及,Murphy征阴性,移动性浊音阴性。脊柱四肢无畸形。双下肢不肿。
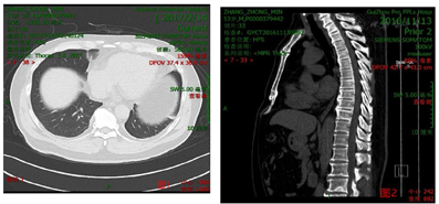
2017年2月14日我院门诊入院前检查:⑴胸部CT:左肺上叶下舌段及左肺下叶少许炎性病变,左侧胸膜及右下肺胸膜炎症、并左侧胸腔少量积液,见图1;⑵胸椎MR平扫:胸椎退行性变:胸椎体骨质增生,胸椎间旁变性,左下肺肺炎症,左侧胸腔少量积液,腰椎退行性变:腰3-4间盘终板炎,腰3椎体上、下缘许莫氏结节,腰2-5椎间盘膨出,腰椎骨质增生,见图2。


2017年2月14日患者入院后查心电图 窦性心律,电轴左偏,顺钟向转位,Qr Ⅱ、AVF,T波倒置;胸水B超:左侧胸水0.64 cm;腹部彩超未见异常。
凝血机制D二聚体0.76μg/ml;血生化白介素-6 20.14 pg/ml↑,肌酐97.9μmol/L↑,丙氨酸氨基转移酶56 U/L↑,C反应蛋白63.75 mg/L↑;血常规白细胞10.96×109/L↑,单核细胞百分比10.6%↑,中性粒细胞绝对数6.93×109/L↑,单核细胞绝对数1.16×109/L↑,异淋2%。血沉60 mm/h↑。PPD试验阴性;T-SPOT.TB淋巴细胞免疫分析(抗原A) 11斑点数,淋巴细胞免疫分析(抗原B) 7斑点数;胸部血肿瘤标记物未见异常。补体C3 1.90 g/L,补体C4 0.50 g/L;免疫球蛋白A 3.55 g/L,免疫球蛋白G 16.23 g/L,免疫球蛋白M 0.79 g/L,免疫球蛋白E 24.23 IU/ml。抗链球菌"O"22.1 IU/ml,类风湿因子7.2 IU/ml;EB病毒抗体:抗EB病毒衣壳抗原IgG抗体阳性(+) ,抗EB病毒核抗原IgG抗体阳性(+) ,抗EB病毒衣壳抗原IgG抗体高亲和力阳性(+);EB病毒DNA <1E+3。自身抗体:抗中性粒细胞抗体正常,抗SSB抗体弱阳性,抗Jo-1抗体弱阳性,余抗核抗体指标未见异常。
第一阶段诊断与治疗:入院初诊为发热、背部疼痛原因:①左肺炎并左侧类肺炎性胸腔积液、右侧胸膜炎;结核?②结缔组织疾病:多发性肌炎?③血液系统疾病?
治疗上予以莫西沙星抗感染体温无明显下降,2 d后联合异烟肼+利福平+乙胺丁醇三联抗结核治疗。
治疗同时完善检查,2017年2月23日行气管镜,镜下可见左上叶(固有叶及舌叶)可见少许分泌物,于左上叶后段灌洗及刷检。刷片未见癌细胞及抗酸杆菌,肺泡灌洗液未见嗜血杆菌,真菌及其他致病菌。
2017年2月23日PET-CT提示:T11椎体上缘周围高代谢灶,倾向结核。左上肺胸膜下小结节,代谢未见增高,考虑良性增殖灶。双肺局灶性纤维化,双侧少量胸腔积液,右肾囊肿,双肾多发小结石,多个椎体退行性变。
2017年2月25日行全身骨扫描,未见恶性肿瘤骨转移征象,胸椎退变(胸10,11椎体为著),双肺少许渗出性病变,双侧胸膜增厚;全身血管彩超左腘静脉,左胫后静脉血液黏滞,右下肢深静脉血流通畅,双下肢动脉血流通畅,双上肢动脉,深静脉血流通畅,双侧颈总动脉,颈内动脉,颈外动脉,椎动脉,锁骨下动脉正常。
2017年2月25日复查自身抗体:抗SSB抗体弱阳性,抗Jo-1抗体弱阳性;抗中性粒细胞胞浆抗体未见异常;血培养:阴性。
经上述治疗1周后:患者背部疼痛稍减轻,但仍有发热,最高体温37.8℃,下午、晚上为甚,持续数小时后体温恢复正常,夜间有潮热感,无明显咳嗽、咳痰、咯血,无呼吸困难。随后将治疗方案改为异烟肼+利福平+乙胺丁醇+吡嗪酰胺四联抗结核治疗同时加用小剂量甲泼尼龙40 mg静滴QD,经上述治疗后患者体温恢复正常1周,背部疼痛情况减轻,于2017年3月1日出院,返家后继续四联抗痨。出院后服用抗结核药物期间,又再出现发热症状,仍为低-中等程度发热,自觉背痛较前加重,故省外就诊。
第二阶段诊断与治疗(外省):2017年4月15日完善胸11椎体上缘穿刺病理诊断:T11椎体上缘穿刺骨小梁及造血组织,造血组织及脂肪组织比例增高,粒红比例略增加,巨核细胞可见,伴纤维增生,散在淋巴细胞及增多的浆细胞浸润(未成片),其中浆细胞呈轻链克隆性,请结合临床。免疫组化:CD20散在(+),CD3散在及灶性(+),CD38散在(+),CD138散在(+),MPO(+),Lambda(+),Kappa(+)。特殊染色:网织纤维(+)。同时完善尿本周氏蛋白阴性。免疫检查免疫球蛋白A 3110.00 mg/L↑,免疫球蛋白M 646.00 mg/L↓肿瘤标记物:甲胎蛋白4.36 µg/L,癌胚抗原3.68 µg/L↑,余阴性;胸部CT平扫+增强+薄层高分辨率:①双肺下叶轻度间质性改变;②T11椎体骨质破坏?
2017年5月3日完善骨髓穿刺骨髓细胞学检查(髂后上棘)目前骨髓增生活跃,粒系占51%,红系占32.5%。骨髓活检病理诊断:送检为骨髓组织,造血与脂肪组织之比为1~3:1,粒红比约6~8:1,不成熟粒细胞数量增加,巨核细胞4~6个/HPF,3系细胞形态未见明显异常,另见少许淋巴细胞及浆细胞灶性或散在分布。免疫组化示:淋巴细胞CD20(+,少数),CD3ε(+,少数),浆细胞CD138(+),IgK(+,部分),IgKλ(+,部分),约占有核细胞3%~5%;粒细胞MPO(+);红细胞Glycophorin A(+)。目前之骨髓组织造血细胞增生明显活跃,以粒系为主,不成熟粒细胞数量增加,未见其他特殊病变。
外院考虑诊断为骨孤立性浆细胞瘤?
治疗建议局部放疗后TD方案巩固半年:沙度利安100 mg每晚一次,地塞米松20 mg,每个月用4 d。患者携方案出院。
第三阶段诊断与治疗:院外仍感背痛,以第11、12后肋明显,且出现双臀、双大腿皮肤麻木,监测体温正常,为进一步诊治于2017年5月13日再次入我院肿瘤科。因患者病情复杂,诊断不明,经我院肿瘤科、感染科、血液科、骨科、呼吸科、影像科、病理科等相关科室经多学科(MDT)讨论后按外院诊断骨孤立性浆细胞瘤治疗,予以局部放疗后给与TD方案巩固半年:沙度利安100 mg每晚一次,地塞米松20mg,每月用4天。经上述方案后患者体温降至正常,但背痛较前加重,2017年6月5日再次出现发热体温达37.5℃,5 d后体温升高达39.2℃,再次复查血常规,白细胞总数正常,中性粒细胞百分比78.2%,CRP 42.53 mg/L,PCT 0.08 ng/ml,血沉33 mm/h;同时抽血培养。2017年6月16日血培养提示革兰氏阴性杆菌(疑是布鲁氏杆菌)。再次追问病史,患者回忆于2016年7月曾到过毕节地区养羊的场地,这与致病(布病)因素吻合,考虑患者近8个月的发热、腰背部疼痛均可以布鲁氏杆菌病解释。
治疗上予以利福霉素钠0.5 g静脉滴注,12小时1次+左氧氟沙星0.4 g静脉滴注每天1次,疗程2周,后改为多西环素0.2 g口服+利福平0.6 g口服,总疗程6周。
经上述治疗后,患者发热症状控制,背痛症状逐渐减轻,出院后,于2017年7月17日复查胸腰椎MRI:胸10、11椎体前部骨质破坏并椎旁组织肿胀,较前比较部分信号减弱,病情好转。
布鲁菌病是由布鲁菌感染所引起的急性或慢性传染病,属自然疫源性传染病。患病的羊和牛等疫畜是布鲁菌病的主要传染源,布鲁菌可以通过破损的皮肤、黏膜、消化道和呼吸道等途径传播。该病广泛流行于世界许多国家,高发地区包括地中海地区、亚洲和中南美洲等。畜牧业发达地区多见。其致病机制一般认为布鲁菌经皮肤、黏膜侵入人体后,主要经淋巴管侵入局部淋巴结生长繁殖并被巨噬细胞吞噬,如在该处未被消灭则形成感染灶,经大量生长繁殖后冲破淋巴结屏障而侵入血液循环,在血液循环中布鲁菌继续生长、繁殖、死亡,释放内毒素,产生菌血症、毒血症。此时,如果人体的免疫功能正常,可通过T细胞、巨噬细胞和特异性抗体的联合作用将细菌清除而痊愈。如果人体的特异性免疫功能不能将细菌清除,则细菌可随血液,特别是巨噬细胞随血液进入各器官组织形成感染灶或迁徙性病灶,病灶中的细菌又可多次进入血液循环造成复发和各种变态反应性表现。人类感染布鲁菌后常引发多器官级系统病变,其临床表现复杂多样,从非特异性症状到严重症状不等。Zheng等[2]对既往文献中报道的病例进行了汇总分析,得出如下结论:布病患者中发烧是最常见的症状,其次是肌肉疼痛、疲劳、关节痛和多汗。与成年人相比,儿童患者的皮疹、呼吸系统和心脏并发症以及睾丸炎等黏膜、上皮组织炎症的发生率较高。肝炎和骨关节炎是最常见的并发症。中枢神经系统功能障碍包括脑膜炎、脑炎、脑梗塞和脑脓肿。心血管系统并发症涉及心肌炎、心内膜炎、瓣膜赘生物、瓣膜穿孔、心包积液和心力衰竭。13%的患者发生呼吸道并发症,包括咳嗽、肺炎、支气管肺炎、胸腔积液、呼吸衰竭和肺栓塞。9%的男性患者发生睾丸炎或附睾炎。骨关节并发症中骶髂关节和脊椎关节是最常见的受累部位。脊柱炎和脊椎间盘炎是脊髓受累最常见的并发症。周围关节炎、骨髓炎、间盘炎、滑囊炎和腱鞘炎是其他骨关节表现,但患病率较低[3]。由于这些表现,例如发烧、背痛、咳嗽、胃肠道症状和血液异常,布病经常被误诊。大多数误诊的患者在初诊时被风湿病科、血液科、骨科和呼吸科收治。临床上诊断需结合流行病学史、临床表现和实验室检查对布鲁菌病进行诊断,一般采用国家卫生部颁发的"布鲁菌病诊疗指南(试行)2012"中的诊断标准对其进行诊断。①疑似病例:a.流行病学史:发病前与家畜或畜产品、布鲁菌培养物等有密切接触史,或生活在布鲁菌病流行区等;b.临床表现:发热、乏力、多汗、肌肉和关节疼痛,或伴有肝、脾、淋巴结和睾丸增大等表现。②临床诊断病例:疑似病例免疫学检查虎红平板凝集试验阳性者。③确诊病例:疑似或临床诊断病例试管凝集试验、补体结合试验或布鲁菌病抗人球蛋白试验中的1项及以上阳性和(或)分离到布鲁菌。④隐性感染病例:有流行病学史,符合确诊病例免疫学和病原学检查标准,但无临床表现。治疗上布鲁菌病治疗原则为早期、联合、足量和足疗程用药,必要时可延长疗程,以防止复发及慢性化。布鲁菌病患者一般采用四环素类和利福霉素类药物进行治疗,也可使用喹诺酮类、磺胺类、氨基糖苷类及三代头孢类药物进行治疗,治疗过程中应注意监测血常规和肝肾功能。急性期布鲁菌病患者经上述规范治疗多可治愈,但部分患者因治疗不及时或不规范可转为慢性。结合该例患者提示临床医师应仔细询问病史,注意询问患者是否与牛、羊有密切接触史,有流行病学史的患者早期行血液培养、骨髓培养、行布鲁杆菌病凝集试验等相关检查有助于早期诊断并予规范治疗。医务人员应提高对布鲁菌病的认识,提高诊治能力,减少漏诊、误诊。
所有作者均声明本研究不存在利益冲突





















