
患者男性,因"头痛伴发作性抽搐、右侧麻木无力2 d"入院。入院6周前进入高原地区(海拔5400米)。
头痛、呕吐等高颅压症状,右侧偏瘫等神经功能缺损症状,发作性肢体抽搐等癫痫症状。
头颅CT:左侧额顶叶及右侧颞叶血肿,头颅MRV:颅内静脉窦血栓形成。
转运后送、降颅压、抗凝、抗癫痫、肢体康复等治疗。
头痛缓解,右侧肢体肌力5-级,颅内血肿吸收、静脉窦血栓减少,日常生活恢复正常。
神经科;重症医学科;急诊科
版权归中华医学会所有。本文为遵循CC-BY-NC-ND协议的开放获取文章。
颅内静脉窦血栓(Cerebral Venous Sinus Thrombosis,CVST)是一种特殊的脑血管疾病,总体发病率不足所有脑卒中的1%,是指各种原因导致颅内静脉窦及引流大静脉内血栓形成导致颅内血液回流受阻所导致的疾病[1]。海拔3000米以上高原环境已被证实与血栓形成和血栓栓塞性疾病密切相关[2]。与常见的高原脑水肿不同,高原CVST较为罕见,目前仅见零星病例报告[3],我们报道1例以继发性脑出血为主要表现的CVST病例,旨在提高对本病的认识,促进此类患者得到及时、有效的救治。
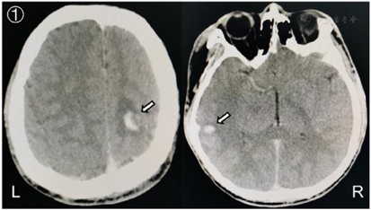
患者,男性,22岁,主因"头痛伴发作性抽搐、右侧麻木无力2 d"于2020年11月13日入院。入院6周前因工作原因进入高原地区(海拔5400m)执行任务,出现间断头部隐痛,考虑急性高原反应,给予常规对症处理后症状减轻。入院2 d前休息状态下出现头痛加剧伴右侧肢体麻木,否认意识障碍、恶心呕吐等症状,数小时后晕倒伴全身抽搐,发作数次,当地卫生院初诊为"癫痫",具体治疗不详,后转送至我院急救部。2020年11月13日头颅电子计算机断层扫描(Computed Tomography, CT)提示:左侧额顶叶及右侧颞叶血肿(图1);头颅核磁共振静脉成像(Magnetic Resonance Venography, MRV)提示:右侧颈静脉、乙状静脉窦、横窦及上矢状窦内信号不均(图2),考虑血栓形成。入院体检:体温36.9℃,脉搏84次/min,呼吸18次/min,血压136/75mmHg;意识嗜睡,反应迟钝,双侧瞳孔等大等圆、直径约2mm,反射灵敏,双侧额纹对称,右侧鼻唇沟变迁,伸舌偏右,颈阻阴性,右上肢肌力0级,右下肢肌力1级,左侧肢体肌力5级,四肢肌张力正常,生理反射正常,右侧巴氏征阳性。




辅助检查:红细胞数6.41×1012/L,红细胞压积56.10%↑,血红蛋白182g/L;白细胞数15.06×109/L↑,中性粒细胞百分比78.1%↑,降钙素原0.3ng/ml↑;血小板数271×109/L,凝血酶原时间(PT)13.6秒,活化部分凝血活酶时间(APTT)38.6秒↑,国际标准化比值(INR)1.18,D-二聚体1.90mg/L↑,纤维蛋白原降解产物(FDP)6.10g/L↑。既往体健,无特殊病史。
诊断为:颅内静脉窦血栓形成、继发性脑出血。
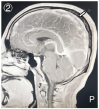
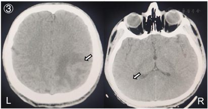
入院后给予脱水降颅压、低分子肝素桥接华法林抗凝、丙戊酸钠抗癫痫、床旁肢体康复等治疗措施,控制INR在2~3之间,患者意识逐步恢复清醒,认知功能未见明显障碍,头痛症状明显缓解,未见肢体抽搐等症状发作,右侧肢体功能明显改善,肌力恢复至5-级,复查头颅CT(2020年11月19日)提示:左侧额叶、右侧颞叶出血灶较前吸收减少(图3);头颅MRV(2021年12月5日):右侧横窦纤细,乙状窦部分显示不清,上矢状窦管壁毛糙、粗细不均,对比前片有所缓解(图4)。




出院后继续口服华法林抗凝,监测凝血功能,维持INR在2~3之间,定期门诊随访症状无复发,日常工作生活恢复正常。
我国高原地区幅员辽阔,约占国土总面积的26%,高原地区生活人群众多,平原地区人员前往高原工作、执行任务等交流频繁。急性高原病主要发生在由平原急进高原或高原急进更高海拔后未习服的人群,轻则大幅降低患者正常作业能力,重则发生高原急危重症-高原脑水肿、高原肺水肿,严重威胁此类人员生命安全[4],目前主要依赖于人群在高海拔地区典型的非特异性症状进行临床诊断,如头痛、厌食、疲劳、睡眠障碍等。国际上通用路易斯湖急性高山病评分系统(The Lake Louise Acute Mountain Sickness Scoring System, LLS)作为急性高原病诊断标准,但相应循证依据仍存在争议[5],其中对于继发于高原环境下颅内静脉窦血栓形成导致的继发性脑出血仅有散发病例报告,最早可追溯到1975年Dickinson J.所报道的两个病例[6]。与常见的高原脑水肿症状不同,高原颅内静脉窦血栓形成除导致头痛、恶心呕吐等颅内压增高症状外,静脉回流受阻产生颅内高灌注,常常出现局灶性神经功能障碍,部分患者产生症状性癫痫发作,此外颅内高灌注导致的血液回流障碍可继发静脉性脑梗死和非典型部位的继发性脑出血[3],病理生理机制与近年来强调的颅内动静脉血流平衡失调类似[7,8]。因此,针对急进高原人员,除按照LLS评分标准常规观察头痛、消化道症状、疲劳程度、睡眠障碍等症状外,尚需警惕进行性颅内压增高所导致的喷射性呕吐、局灶性脑功能损害症状和症状性癫痫,必要时可行头颅CT静脉成像(CT Venography, CTV)或MRV进行鉴别,避免患者病情恶化。
颅内静脉窦血栓形成依然符合Virchow提出的血栓形成3个条件:血管内皮损伤、血流瘀滞、血液高凝状态。据目前散在病例报告提示,遗传性蛋白S缺乏、Leiden突变、蛋白C水平降低、自身免疫性疾病、甚至围产期高凝状态均有可能对颅内静脉窦血栓形成产生促进作用[9,10,11,12,13],而高原地区常见的红细胞增多症和机体脱水导致的血液浓缩亦有可能造成血流瘀滞,增加颅内静脉窦血栓形成可能性[14]。由于颅内静脉窦缺乏瓣膜,血流呈连续状态,人员抵达高原地区所导致的活动减少可能是外周静脉血栓形成的重要因素,却对颅内静脉窦血栓形成影响较小[15]。但是颅内静脉窦血栓在高原地区形成继发性脑出血较为少见,Zavanone C.团队针对1983~2012年公开报告的17例患者进行系统综述,仅有3例患者出现继发性脑出血[16]。此类疾病好发于青壮年人群,及时安全转运至平原地区尤为重要,是否存在脑出血并不影响针对颅内静脉窦血栓形成的抗凝治疗,多数患者预后良好。未来针对前往高原人员的对照筛查研究可能为高原地区颅内静脉窦血栓形成的病理生理机制和预防提供更加精准的策略,规范的临床试验将为此类急性高原病亚型诊断和治疗提供可靠的循证医学证据。
所有作者均声明本研究不存在利益冲突





















