
患者58岁女性,因间歇性剧烈上腹绞痛、癫痫发作二十余年入院,规律服用卡马西平,症状部分缓解,1年前开始出现腹胀、全身多发水肿伴胸闷、气短、夜间不能平卧等症状,并进行性加重。
患者20年前出现间歇性上腹剧烈绞痛、癫痫发作;1年前出现腹胀、双下肢水肿伴胸闷、气短、夜间不能平卧并进行性加重,且进一步出现腰骶部、左上肢水肿;颜面部散在分布的直径1~3mm的血管纤维瘤,背部近左上肢及左腋下处皮肤可见色素脱失斑,双足趾甲内卷、断裂,甲缝可见数枚直径2~7mm大小纤维瘤;住院期间无明显诱因新发房颤。
体格检查发现皮肤血管纤维瘤、色素脱失斑和趾甲纤维瘤,左上肢、腰骶部及双下肢水肿;头颅磁共振和CT示双侧脑实质及侧脑室管膜下多发结节状钙化灶;心脏彩超示三尖瓣四叶瓣畸形、三尖瓣重度关闭不全;腹部彩超和CT示肾脏结构紊乱,考虑为多发平滑肌血管脂肪瘤,合并大量腹腔积液;血常规和血涂片示血三系减少;基因检测明确TSC2基因突变。
予依维莫司治疗TSC原发疾病,卡马西平联合左乙拉西坦控制癫痫发作,间断引流腹水,适度利尿,转复房颤,控制心率,积极纠正贫血,并辅以对症支持治疗。
患者腹痛、抽搐发作频率明显减少,腹胀、呼吸困难症状基本消失,全身多发水肿基本缓解。
泌尿外科;神经科;心内科;心血管外科
版权归中华医学会所有。本文为遵循CC-BY-NC-ND协议的开放获取文章。
结节性硬化症(tuberous sclerosis complex,TSC)是一种罕见的遗传性疾病,由TSC1或TSC2基因突变引起,该病可累及全身多器官和系统,包括大脑、皮肤、眼睛、肾脏和肝脏等,典型表现为面部血管纤维瘤、癫痫发作和智能减退[1,2]。我们报道1例以上腹剧烈绞痛、癫痫发作为首发表现,同时合并有三尖瓣四叶瓣畸形、三尖瓣重度反流、右心功能不全、肝脏及肾脏多发血管平滑肌脂肪瘤、门脉高压、脾功能亢进、全血细胞减少、腹盆腔积液和全身多发水肿的复杂性TSC病例,旨在提高对本病的认识,为本病的诊治提供参考。
患者58岁女性,20余年前开始出现间歇性上腹部剧烈绞痛,随之出现双手握拳、双上肢不自主抽动、口吐白沫伴头晕、头痛以及大小便失禁等症状,发作期间无意识丧失,可正常应答,持续5~20 min可自行缓解,每天发作5~6次,15年前开始规律服用卡马西平,发作时间稍缩短,发作频率减少至2~4次/d,6年前发作频率开始逐渐减少至10~20次/月,发作时间5~10 min,1年前患者开始出现腹胀和双下肢凹陷性水肿,于当地医院诊治,症状未见缓解,患者腹胀、双下肢水肿加重并进一步出现腰骶部、左上肢水肿以及胸闷、气短、夜间不能平卧等症状。为求进一步诊治,2021年6月就诊于我院,查体发现该患者颜面部散在分布的直径1~3mm的血管纤维瘤,背部近左上肢及左腋下处皮肤可见色素脱失斑,双足趾甲内卷、断裂,甲缝可见数枚直径2~7mm大小纤维瘤,皮肤损害以面部和双足趾明显(图1),颈静脉怒张,胸廓前后径增大,双肺呼吸音稍粗,未闻及啰音,心界扩大,心率72次/min,心律齐,三尖瓣听诊区可闻及4级收缩期杂音。腹部膨隆,下腹部可见腹壁静脉曲张,方向自上而下,腹软,无压痛及反跳痛,肝脾触诊不满意,移动性浊音阳性。左上肢、腰骶部及双下肢重度凹性水肿。彩超提示大量腹水,予急诊行腹腔穿刺引流腹水。


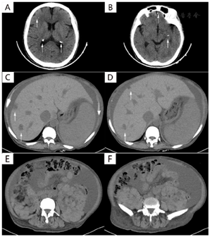
完善头部平扫CT提示双侧脑实质及侧脑室管膜下多发结节状钙化灶(图2 A、B),MRI提示双侧脑实质及脑室室管膜下多处异常信号灶。胸腹盆平扫CT提示心影明显增大,心包积液;腹盆腔大量积液;肝脏多发低密度影,门脉增宽,脾脏增大(图2C-D);双肾正常结构消失,密度混杂(图2E、F),结合患者当地医院腹部增强CT,患者肝脏、肾脏考虑为多发平滑肌血管脂肪瘤。患者血常规提示全血细胞减少;心电图示不完全性右束支传导阻滞;超声心动图发现三尖瓣四叶瓣畸形、三尖瓣瓣环扩张、三尖瓣重度关闭不全,因患者无法耐受未能进一步完善心肌灌注延迟成像动态MRI;为明确全血细胞减少的原因,完善骨髓穿刺,骨髓涂片提示红系中、晚幼红细胞比例增高,可见大红细胞。胃镜检查未见食管、胃底静脉曲张。基因检测明确TSC2基因变异。患者育有3女,其中1女具有类似的面部血管纤维瘤、足趾纤维瘤和癫痫症状。


体格检查发现皮肤血管纤维瘤、色素脱失斑和趾甲纤维瘤,左上肢、腰骶部及双下肢水肿;头颅磁共振和CT示双侧脑实质及侧脑室管膜下多发结节状钙化灶;心脏彩超示三尖瓣四叶瓣畸形、三尖瓣重度关闭不全;腹部彩超和CT示肾脏结构紊乱,考虑为多发平滑肌血管脂肪瘤,合并大量腹腔积液;血常规和血涂片示血三系减少;基因检测明确TSC2基因突变。
患者TSC诊断明确,合并全身多系统损害,结合我院神经内科、普通内科、心内科、肾内科、泌尿外科、心血管外科、皮肤科等多科室会诊意见,全面评估病情后,予口服依维莫司常规起始剂量半量(5mg)治疗TSC原发病,监测雷帕霉素血药浓度及血常规、肝肾功等指标,警惕药物相关不良反应。癫痫发作予卡马西平联合左乙拉西坦控制,监测血药浓度和肝肾功能,若癫痫持续时间超过5min,静脉推注力月西控制癫痫发作,避免刺激因素。患者三尖瓣器质性病变,继发三尖瓣关闭不全和重度反流,引起肝后梗阻,同时合并TSC相关肝脏多发平滑肌血管脂肪瘤,考虑门脉高压为肝实质及肝后性因素共同作用所致,因而三尖瓣瓣四叶瓣畸形矫正手术可能无法完全改善患者相关症状,且患者基础状态较差,暂不予考虑。联合使用螺内酯、呋塞米利尿,减少腹水生成,改善全身水肿状态,为避免血钾过高,后期调整为仅用呋塞米利尿。间断引流腹水,精细容量管理,维持水、电解质平衡。全血细胞减少,考虑为肾脏病变、脾亢功能亢进、维生素B12减少等因素共同所致,积极营养支持和纠正贫血,补充维生素B12,左心增大亦考虑与贫血所引起的全身高动力状态相关。患者治疗期间发生房颤,口服倍他洛克和静推西地兰均未能转复房颤,遂予胺碘酮泵入、地高辛口服,控制心率在60-80次/分。经住院综合治疗1月余,患者腹痛伴抽搐发作频率明显减少,腹胀及呼吸困难症状基本缓解,左上肢、腰骶部及双下肢水肿明显好转。
出院后继续口服依维莫司,卡马西平+左乙拉西坦抗癫痫,呋塞米利尿,地高辛控制心率,积极纠正贫血,加强营养支持,避免剧烈运动及过度劳累。随访3月,患者一般情况可,腹痛、抽搐偶尔发作,左上肢、腰骶部及双下肢水肿完全缓解,无腹胀及呼吸困难,无心慌、心悸,未诉其他特殊不适。
本案例患者病程长,病因罕见,以结节性硬化症(TSC)为原发疾病,多器官受损,病情复杂,病情严重。根据2012年国际结节性硬化症共识会议修订的诊断标准[3],该患者目前具备结节性硬化症的5个主要特征:1)色素脱失斑;2)面部血管纤维瘤;3)指/趾甲纤维瘤;4)室管膜下结节;5)肾血管平滑肌脂肪瘤;以及1个次要特征:非肾脏错构瘤。基因检测进一步明确TSC2基因存在突变。
首先,该患者以反复剧烈上腹绞痛和癫痫发作为首发症状,虽然癫痫发作是TSC最常见和最显著的特征之一,但TSC患者罕见有腹痛症状,且该患者腹痛与癫痫发作往往同时发生,由此可见腹痛与TSC相关癫痫之间密切相关。此外,患者虽腹痛明显,但查体却发现腹软、无压痛及反跳痛,表现为典型的症状重,体征轻的特点。在癫痫疾病中,有一类罕见的特殊类型的癫痫即腹型癫痫,以腹部疼痛为主要症状,可伴有抽搐、晕厥等,脑电图有助于确诊该疾病,但腹型癫痫少有口吐白沫和大小便失禁症状[4, 5]。我们在中国知网、万方数据库、维普网、Web of Science、Elsevier和PubMed等国内外数据库查阅了相关文献,目前暂未见TSC相关腹型癫痫的报道。TSC能否引起腹型癫痫有待进一步的研究来明确。
心脏横纹肌瘤是儿童期TSC的重要特征之一,50%以上的儿童TSC患者存在心脏横纹肌瘤,因瘤体位置不同可导致相应的症状,如心律失常、心脏瓣膜阻塞或关闭不全、心力衰竭等,但大多数患者的心脏横纹肌瘤具有自行消退倾向,可部分或完全消退[6, 7]。在本案例中,患者心脏彩超虽未见横纹肌瘤,但发现三尖瓣四叶瓣畸形和三尖瓣关闭不全。四叶瓣畸形在临床诊疗中非常罕见,尤其是三尖瓣四叶瓣畸形,多为尸检或解剖发现,且尸检或解剖所发现的四叶瓣,多由三叶瓣和附属小叶构成,通常不会引起明显的血流动力学改变[8, 9],与临床影像学所发现的四叶瓣并不完全相同[10]。在本案例中,患者三尖瓣四叶瓣畸形引起了三尖瓣反流,进一步导致了右心功能不全。三尖瓣四叶瓣畸形是否与TSC有关,目前暂不明确,但TSC相关心脏横纹肌瘤患者常合并有先天性心脏病,如动脉导管未闭、房间隔缺损、室间隔缺损、卵圆孔未闭等[6]。因而,我们合理推测,该患者的三尖瓣四叶瓣畸形可能与TSC相关心脏横纹肌瘤或畸形存在一定的关联。此外,虽然TSC患者的心脏横纹肌瘤可部分或完全消退,但心脏传导异常可持续存在[11, 12]。本案例中,患者存在不完全性右束支传导阻滞,在院期间发生房颤,房颤的发生可能与三尖瓣四叶瓣畸形、三尖瓣重度反流、右心功能不全以及TSC所致的心脏传导异常等多种因素相关。
全血细胞减少减少是该案例的另一个显著特点。Tashiro M等人曾报道了一例出现全血细胞减少的TSC患者,该TSC患者同时被诊断出脾功能亢进,作者认为患者全血细胞减少可能为TSC所致造血异常和脾功能亢进共同所致[13]。张雪等人则在一例TSC患者中发现红细胞减少和重度缺铁性贫血贫血[14]。在我们的案例中,患者同样出现了全血细胞减少和贫血,考虑与脾功能亢进、TSC原发病本身、TSC相关肾脏病变相关。一方面,TSC可能引起造血系统异常,从而导致三系减少。在TSC疾病中,常常存在TSC1或TSC2突变,从而导致哺乳动物雷帕霉素靶蛋白(mTOR)通路过度活化。有研究表明,mTOR通路的过度激活会加速造血干细胞的衰老[15],引起造血功能的异常。且有研究进一步证实,在老鼠动物模型上应用mTOR抑制剂后,不仅延长了小鼠的寿命,而且修复了造血干细胞的自我更新能力[16, 17]。另一方面,TSC相关肾脏病变可导致肾功能恶化,从而发生肾性贫血,表现为红细胞减少和血红蛋白降低。此外,脾功能亢进是否与TSC存在关联尚不明确,Tashiro M等人的报道中患者无门脉高压,脾功能的病因未能明确。而在我们的案例中,虽然腹部彩超提示门静脉、脾静脉增宽,但血流通畅,且胃镜检查未见食管、胃底静脉曲张,由此推测脾脏增大、脾功能亢进可能并非完全由于门脉高压所致,因而脾功能亢进与TSC的关系有待进一步的研究来阐述。
肾血管平滑肌脂肪瘤是TSC患者最常见的肾脏病变,有文献报道高达80%的成年TSC患者可出现肾血管平滑肌脂肪瘤,常为双侧、多发病变,可导致慢性肾脏疾病和肾内出血,是成年TSC患者致死最常见的原因[18,19,20]。因而,成年TSC患者需要重点关注肾脏血管平滑肌瘤,需警惕肾脏血管平滑肌瘤破裂出血和肾功能持续恶化。依维莫司作为mTOR抑制剂,已被批准用于TSC相关癫痫部分发作的治疗,且被证实能改善室管膜下巨细胞星形细胞瘤和肾血管平滑肌脂肪瘤,为TSC提供了一种潜在的多系统疗法[21]。国内的相关临床研究进一步表明中国TSC相关的肾血管平滑肌瘤患者对依维莫司具有良好的耐受性,且依维莫司在缩小肿瘤体积方面具有良好的治疗效果和前景,并能有效改善患者的肺功能和皮肤病变,推荐TSC患者长期服用依维莫司[22]。由此可见,依维莫司是目前治疗TSC相对安全有效的方式,可改善TSC全身多系统病变。在本案例中,患者口服依维莫司常规剂量半量,配合其他相应的治疗,病情得到了有效控制和缓解。
所有作者均声明本研究不存在利益冲突





















