
患者,女性,43岁,因"烧伤后双足皮肤反复破溃、流脓10年,加重1个月"就诊,10年前双下肢不慎火焰烧伤,经治疗后反复右足跟及左足外侧皮肤破溃、流淡黄色脓液,无畏寒、发热,无双足肿痛,近1个月逐渐加重。既往患者具有2型糖尿病,否认高血压及冠心病等慢性病史,个人史及家族史无特殊。
患者反复右足跟及左足外侧皮肤破溃、流淡黄色脓液,无畏寒、发热,无双足肿痛,并于左足外侧远端近跖趾关节处可见一大小约4 cm×5 cm圆形溃疡创面,基底肉芽组织水肿伴大量黄色脓性分泌物,周围皮肤无红肿。
MR左足平扫提示:各跗骨及左跟骨结节骨质水肿信号,结合病史,考虑骨髓炎改变。病理诊断:(左足皮肤创面、第5趾骨近端、左足小踇指)穿掘性癌(注:鳞状细胞癌罕见亚型),ICD-O编码:8051/3。
行左小腿截肢,皮瓣整复,负压引流术。
术后随访4个月,患者创面愈合良好,无破溃、流脓,可正常生活及工作。
病理科;骨科;烧伤整形科
版权归中华医学会所有。本文为遵循CC-BY-NC-ND协议的开放获取文章。
穿掘性癌(Carcinoma cuniculatum,CC)是一种罕见的高分化鳞状细胞癌(squamous cell carcinoma,SCC)亚型,其主要特征是分化良好的鳞状上皮,其延伸到结缔组织深处,具有多个分支、角蛋白填充的隐窝,不存在或轻度细胞学异型性,通常仅限于基底层和副基底层[1]。通过PubMed搜索"Carcinoma cuniculatum"其报道的病例不足200例,本文介绍一例发生于足趾的穿掘性癌,旨在提高病理医师及临床医师对这种罕见的肿瘤的认识及诊疗水平。
患者,女性,43岁,因"烧伤后双足皮肤反复破溃、流脓10年,加重1个月"入院就诊。患者自诉10年前双下肢不慎火焰烧伤,立即前往"A医院"住院治疗,期间予行"头皮、双大腿取皮,双下肢植皮术",手术失败,皮片未活,患者自动出院,并在当地予中药外敷后创面愈合好转。后右足跟及左足外侧皮肤破溃、流淡黄色脓液,无畏寒、发热,无双足肿痛,在"B医院"门诊行X线检查提示"双足骨髓炎",后患者在家长期予中药外敷创面,未前往医院正规治疗,双足创面无明显好转,逐渐加重。1月前患者前往"C医院"住院治疗,行左足创面组织活检,病理检查提示"鳞状上皮乳头瘤样增生,区域不典型增生,有癌变倾向伴过度角化",行X线检查提示"左足第五跖骨骨质破坏",现患者及家属为求进一步治疗来我院门诊就诊。既往患者具有2型糖尿病,否认高血压及冠心病等慢性病史,个人史及家族史无特殊。
专科检查:右足跟处可见一大小约4 cm×5 cm创面,基底可见粉红色肉芽组织,部分已形成瘢痕化,创面较干燥,无脓性分泌物,周围皮肤无明显红肿;左足外侧远端近跖趾关节处可见一大小约4 cm×5 cm圆形溃疡创面,基底肉芽组织水肿伴大量黄色脓性分泌物,周围皮肤无红肿。右踝关节活动障碍,左踝关节活动尚可,双足无水肿。
入院前检查:左足X线(C医院):左足第5跖骨骨质破坏,考虑慢性骨髓炎。左足创面组织活检病理结果(D医院):鳞状上皮乳头瘤样增生,区域不典型增生,有癌变倾向伴过度角化。
入院后检查:血常规、炎症三项、电解质六项、肝功能、肾功能、血脂、凝血功能、粪便常规、尿常规、女性肿瘤标志物、输血前四项等未见明显异常。左足MR平扫提示(图1):各跗骨及左跟骨结节骨质水肿信号,结合病史,考虑骨髓炎改变;左足底腱膜近跟骨附着处异常信号、足底软组织异常信号,考虑为炎症可能性大,请结合临床。


根据患者目前病史、查体、辅助检查结果,目前诊断为:1.左足慢性骨髓炎;2.双足皮肤慢性溃疡;3.2型糖尿病。患者在外院行左足创面组织活检,病理提示:鳞状上皮乳头瘤样增生,区域不典型增生,有癌变倾向伴过度角化。综合上述考虑予患者左足病灶扩大切除并术中行冰冻病理检查,根据冰冻检查结果,再决定下一步治疗。
完善相关检查,排除手术禁忌症,行左足清创,第5趾、跖骨截除,负压引流术。术中沿创缘两侧纵行切开皮肤,暴露第5趾、跖骨,见骨皮质暗黑、坏死严重,伴少许暗褐色脓液渗出;并见第4跖骨外侧缘韧带及肌肉水肿、坏死,呈灰色。此外,将手术标本送病理做冰冻检查。
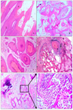
冰冻病理诊断:(左足皮肤溃疡创面)皮肤慢性溃疡伴鳞状上皮上皮瘤样增生及角质囊肿形成,局灶鳞状上皮呈轻度异型增生;其下骨骼肌变性坏死,多量炎症细胞浸润,内、外、近端、远端切缘:阴性(图2)。


基于冰冻病理诊断结果,临床予电刀切除创面周围坏死组织,充分止血,大量生理盐水冲洗创面,并创面覆盖VSD敷料,完成手术。
术后显微镜所见(图3):鳞状上皮轻度异型增生,上皮角化过度及角化不全,部分上皮下延形成角质样囊肿及窦道样,部分上皮样巢团包裹侵袭骨组织,破坏骨皮质,周边见多量淋巴细胞、浆细胞浸润,部分区域表皮溃烂,肉芽组织增生。最终病理诊断:(左足皮肤创面、第5趾骨近端、左足小踇指)穿掘性癌(注:鳞状细胞癌罕见亚型),ICD-O编码:8051/3;(内切缘、远端切缘、基底切缘)未见癌残留;(外切缘、近端切缘)见癌残留。


基于术后常规病理诊断为鳞状细胞癌,于是请肿瘤科会诊。综合会诊意见,考虑左侧踝关节跗骨及趾骨骨转移可能较大,建议患者行左小腿截肢术。
综合多学科会诊意见,于是在腰麻及全麻下行左小腿截肢,皮瓣整复,负压引流术。将手术中所截取的下肢腓骨近端骨质、第4跖骨骨质、创面组织送病理行病理组织检查。术后病理回报:(腓骨近端骨质、第4跖骨骨质、创面组织)均未见癌残留。
术后随访4个月,患者创面愈合良好,无破溃、流脓,可正常生活及工作。
CC首次由Aird等[2]于1954年报道,CC是一种罕见的SCC的临床病理亚型,仅占所有鳞状细胞癌的1.9%[3],其主要发生于足底,也有报道发生于皮肤、口腔、足趾等部位,其发病年龄为发病年龄23~84岁,平均60岁,男性发病率多于女性[1,4]。在2005年世界卫生组织(WHO)将其归为SCC的一种亚型[5]。
在临床上最常见的表现为疼痛,随后出现溃疡、肿胀和硬结[1,6]。此外,该病变往往生长缓慢,如果呈疣状外生性的肿块,其表面可能呈乳头状、结节状、鹅卵石状和/或溃疡状[7]。本例主要表现为左足趾长期慢性溃疡及流出黏稠脓性液体。相关文献报道的足部穿掘性癌也表现为长期慢性溃疡不愈合[8,9,10,11],与本例相仿。此外,部分学者认为慢性和反复的足底创伤、未修复或缓慢修复的骨折或骨髓炎、慢性褥疮和慢性炎症性疾病(例如,足底角化病或足底擦伤)可能在穿掘性癌的发病机制中发挥作用[12],因此当出现足部长期慢性溃疡不愈时,我们应该想到与此鉴别。
在组织病理形态上,CC主要存在两种生长模式(外生性及内生性生长)。外生性生长主要表现为分化良好的钝性乳头状突起,细胞异型性极小或者基本没有异型性;而内生性生长主要表现为形成具有角蛋白的隐窝,隐窝向下延伸呈"挖洞样"浸润并破坏骨骼肌及骨骼,并且在这些"挖洞样"的通道及隐窝周围可见中性粒细胞的微脓形成[1,13,14]。在本例病例中可见明显的上述的组织病理学形态。基于CC在细胞异型性上相对较小,因此往往需要与疣状癌、乳头状鳞状细胞癌、表皮囊肿和假上皮瘤样增生相鉴别。
鉴别诊断:(1)疣状癌(Verrucous carcinoma,VC):往往呈宽大的乳头状生长并具有钝性的推挤性生长边界,基底膜完整;而CC表现为钻洞样地生长并破坏骨骼组织,并且也可看到许多充满角蛋白的小管或小管形成复杂的网络,类似于兔的洞穴[3]。(2)乳头状鳞状细胞癌:主要表现为纤细的乳头状生长模式,组织学上具有纤细的纤维血管基质,明显的侵袭性生长模式,以及区域转移,因此这和CC是截然不同的。(3)表皮囊肿:常常呈囊肿性病变,在囊腔内可见大量角化物,囊壁被覆鳞状上皮,上皮无异型性;在本例中可见大量具有角化物细小囊腔样结构,如果取材表浅,往往看不到下方的"挖洞样"生长模型,而导致误诊[6]。(4)假上皮瘤样增生:从组织形态的角度来说,假上皮瘤样增生是最为困难的鉴别诊断,因为两种病变都显示出分化良好的角质形成细胞,而且通常只有对整个病变的组织形态及生物学行为进行观察才能做出正确的诊断,穿掘性癌主要表现为浸润至深部组织,甚至可浸润到骨骼[11,12,15,16]。
目前,CC的首选治疗是手术切除,此外一些研究强调需谨慎使用放疗或化疗,尤其是对于没有复发或转移的病例[6]。本例患者采用手术切除的方式进行治疗,此外由于第一次术后病理中发现外切缘及近端切缘见癌残留,并且癌组织浸润至骨骼,因此进行二次手术将左小腿进行截肢术处理。如Thomas等[9]推荐采用切缘5mm内无肿瘤的广泛局部切除,如果肿瘤延伸到骨骼中,则可能需要截肢。Alvarez-Cruz等[8]也推荐相似的治疗手段。因此,综合上述考虑,我们对患者进行了截肢。
总之,CC是一种罕见的鳞状细胞癌,我们报道了一例发生于足趾的CC,并简要介绍了其临床病理学特征,旨在通过对其认识,减少我们在临床中的漏诊。本例患者术后随访4个月,患者创面愈合良好,无破溃、流脓,可正常生活及工作。
所有作者均声明本研究不存在利益冲突





















