
患者,女性,25岁,左下第一乳前磨牙(74)一直未脱落,左下第一恒前磨牙(34)一直未萌出来院要求治疗。
该患者恒牙列,磨牙近中关系。上颌牙列轻度拥挤,74牙下沉,34牙未萌,左下第一尖牙(33)冠向远中倾斜,左下第二恒前磨牙(35)冠向近中倾斜。
拍摄锥形束CT(cone beam computed tomography,CBCT)显示34牙近中横位埋伏阻生于74牙的远中,根尖与周围骨质无粘连。
拔除74牙,口腔外科开窗配合正畸牵引治疗牵引34牙入牙列。
34牙牵引成功,牙齿排列整齐,咬合关系良好。
口腔科
版权归中华医学会所有。本文为遵循CC-BY-NC-ND协议的开放获取文章。
埋伏阻生牙是指牙齿超过正常萌出时间而仍然埋伏于骨或黏膜内[1]。阻生牙可能会导致牙齿错位、牙根吸收、含牙囊肿等多种并发症[2],随着正畸患者的日益增多,临床接诊的阻生前磨牙患者也随之增加。有研究表明,阻生前磨牙以女性多见,且下颌前磨牙阻生率较上颌高[3]。本文介绍的这一病例是成年患者,因为乳牙下沉导致恒牙未能萌出。通过拔除滞留乳牙,口腔外科开窗配合正畸牵引的方式成功牵引埋伏牙入牙列。
患者,女性,25岁。主诉:"牙齿未萌"要求矫正。无家族遗传史。
患者面部左右不对称,颏部略向左偏斜;直面型,鼻唇角正常。恒牙列,骨性Ⅰ类,安氏Ⅲ类。上颌牙列Ⅰ°拥挤,23牙颊侧倾斜。下颌牙列Ⅰ°拥挤,34牙口内未见,74牙滞留,下沉。33牙冠向远中倾斜,35,36牙冠向近中倾斜。左侧尖牙远中关系,双侧磨牙开始近中关系;前牙覆盖基本正常,下颌中线向左偏斜约1.5 mm。影像学检查:CBCT示74牙滞留,下沉;34牙横位埋伏阻生于74牙根的远中,34牙根周围牙周膜影像清晰,与周围骨质无粘连(图1)。


骨性Ⅰ类;安氏Ⅲ类;34牙埋伏阻生。
矫治设计拔除18,28,38。使用Tip-Edge Plus金属矫治器,排齐上下颌牙列,下颌更换钢丝至不锈钢圆丝时,口腔外科拔除滞留乳牙74,同期34牙开窗,黏结牵引装置,慢慢牵引34牙至正常位置。
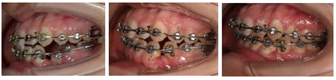
矫治过程:初戴时上下颌全口牙列黏结Tip-Edge Plus托槽及磨牙颊面管,上下颌牙列放置0.014镍钛丝。上颌弓丝更换的顺序为:0.016镍钛丝,0.018镍钛丝,0.016×0.022镍钛丝,0.018×0.025镍钛丝,0.018×0.025不锈钢方丝。下颌弓丝更换顺序为:0.016镍钛丝,0.018镍钛丝,0.020不锈钢圆丝,0.016×0.022镍钛丝,0.018×0.025镍钛丝,0.018×0.025不锈钢方丝。下颌弓丝更换至0.020不锈钢圆丝时,口腔外科拔除74牙,34牙开窗,黏结牵引装置。牵引装置与下颌弓丝之间弹性牵引。同时为防止埋伏牙两侧的牙齿因受牵引力向中间倾斜,在33牙位的托槽上安装牙根向远中倾斜的正轴簧,35牙位的托槽上安装牙根向近中倾斜的正轴簧。待34牙冠完全萌出后,34牙去除牵引装置,黏结托槽,在主弓丝为0.020不锈钢圆丝不变的前提下,于下颌托槽的辅弓管内放置0.012 NiTi丝辅助排齐,待34牙冠牵引到正常高度后,34牙位的托槽安装牙根向近中的正轴簧用来竖直牙根。最后阶段精细调整,对齐上下颌中线,关闭剩余间隙(图2)。


矫治结果及保持:矫治结束后,患者牙齿排列整齐,双侧尖牙磨牙中性关系,前牙覆盖正常,上下牙列中线居中。X线显示,牙根基本正常,无明显吸收(图3,表1)。保持一年后复查,矫治效果稳定,无复发。34牙无松动,根尖片显示,34牙根正常,牙根周围牙周膜间隙正常。牙周科检查:34牙龈色粉红,无探诊出血,无牙周深袋(图4)。





矫治前后头影测量分析
矫治前后头影测量分析
| 标题 | 平均值 | 标准差 | 治疗前 | 治疗后 |
|---|---|---|---|---|
| SNA | 82.0 | 3.5 | 81.0 | 85.1 |
| SNB | 77.7 | 3.2 | 79.7 | 82.7 |
| ANB | 4.0 | 1.8 | 1.3 | 2.4 |
| MP/SN | 33.0 | 6.0 | 34.8 | 32.2 |
| U1/SN | 102.3 | 5.5 | 104.6 | 100.8 |
| L1/MP | 96.8 | 6.4 | 92.2 | 90.5 |
| U1/L1 | 124.0 | 6.0 | 128.4 | 136.4 |
| FMA | 30.0 | 4.5 | 25.4 | 26.5 |
| IMPA | 96.8 | 6.4 | 92.2 | 90.5 |
| Y轴 | 63.3 | 3.4 | 59.2 | 61.2 |
| Wits | -1.0 | 1.0 | -4.2 | 0.4 |
前磨牙阻生的病因包括全身因素与局部因素。全身因素包括内分泌缺陷、纤维性疾病以及遗传疾病等[4]。局部因素是前磨牙阻生的主要因素。导致前磨牙阻生最常见的局部因素是乳磨牙早失、牙胚位置异常和乳磨牙滞留[5,6,7]。
若阻生前磨牙不能自行萌出到正常位置,近远中向错位不严重,则需要采用口外开窗结合正畸牵引治疗。埋伏牙能否牵引成功,受多方面影响,不仅包括病理性因素如囊肿、多生牙、牙瘤等,还包括年龄、埋伏牙在颌骨及牙槽骨中的位置以及开窗时的手术创伤等因素的影响[8]。Becker等的研究表明成年患者埋伏牙牵引成功率仅为69.5%,对阻生牙的位置和定位的三维诊断不准确,以及对支抗需求的认识不足是阻生牙治疗失败的主要原因。在开窗过程中,如果外科医生动作粗暴,可能会损伤牙骨质层;在黏结牵引装置时,如果放入过多的酸蚀剂,渗入到开窗暴露区,造成化学创伤性牙骨质,也可能会造成阻生牙病变吸收,导致牵引失败[9]。
本病例采用CBCT三维图像,对阻生牙的位置提供矢状面、冠状面及轴面等多平面的重建图像,且精度高,不存在失真的随意放大及旋转。通过CBCT对阻生前磨牙准确定位,确定外科手术开窗的部位和正畸牵引力的方向。本病例中,34的萌出间隙是足够的,不用额外扩展间隙。矫治前CBCT显示34牙根发育正常,仅根尖处1 mm左右的牙根弯曲,34牙周膜影像清晰,与周围骨质无粘连,与35牙根无粘连。采用Tip-Edge Plus技术,利用硬度较高的不锈钢丝作为承受牵引力的钢丝,同时托槽的竖管安装正轴簧,控制牙轴,以免加重缺牙间隙两侧的牙齿向缺隙侧倾斜,为埋伏牙的牵引提供了足够的支抗需求。该牙的牵引过程主要包括两个阶段,第一阶段是通过垂直向的牵引力,先把埋伏牙牵引出牙龈外,待牙冠高度接近合平面,同时牙冠颊侧面暴露充分以后,进入第二阶段,即在牙齿的颊侧黏结托槽,利用该托槽自带的竖管安装正轴簧,辅助竖直牙轴。另外该患者配合度极高,能坚持按约复诊,且有良好的口腔卫生习惯,这也是埋伏牙牵引成功的条件之一。最终经过系统矫正,成功牵引出埋伏阻生牙,排齐上下牙列,建立良好的咬合关系。
所有作者均声明本研究不存在利益冲突
畸形患者第二双尖牙阻生的临床特点分析[G]//中华口腔医学会口腔正畸专业委员会.第十四次国际颅面生长发育与功能研讨会、第十一次全国口腔正畸学术会议论文汇编. 北京: 中华口腔医学会, 2012:325-326.




















