
34岁女性以"发现颈肩部肿物1年余"为主诉入院。入院前1年余触及左侧颈肩部一肿物,初始约蚕豆大小,后逐渐增大,伴有压痛,偶感左前臂麻痛,20天前就诊于当地医院,查颈部彩超示:"左侧颈肩部皮下低回声结节:神经纤维瘤?",遂于当地医院行"颈部肿物穿刺活检术",术后病理示:神经纤维瘤可能。
左侧颈部胸锁乳突肌外侧缘触及一肿物,直径约3cm×3cm,界清,不易推动,轻度压痛,挤压肿块时左臂出现酸胀感。
颈部MR平扫+增强及臂丛神经MRI-3D重建显示左颈部占位考虑神经源性肿瘤可能性大。
全麻下行"神经电生理监测下显微镜辅助下左侧颈椎旁肿瘤切除术"。
术后病理回报示神经鞘瘤,2周后患者恢复较好,臂丛神经功能完整,康复出院。
神经外科;手外科;影像科
版权归中华医学会所有。本文为遵循CC-BY-NC-ND协议的开放获取文章。
神经鞘瘤指周围神经的施万鞘(即神经鞘)所形成的肿瘤。可发生于中枢神经系统及周围神经系统。周围神经鞘瘤好发于颈部及四肢屈侧的神经,常见于迷走神经、交感神经、脊神经根、臂丛、尺神经等[1]。其中来源于臂丛神经的神经鞘瘤约只占5%[2]。臂丛神经鞘瘤临床表现以颈肩部肿块、Tinel征、感觉运动症状为主。此病早期可无明显自觉症状,后期随着肿块生长压迫神经可以出现Tinel征反应(即神经支配的区域随着叩击肿块可出现放电样麻痛感或蚁走感),甚至出现神经支配的上肢肌力减退。由于颈部的臂丛神经鞘瘤发生率极低,且臂丛神经结构复杂,甚至出现临床上误诊为颈部淋巴结或转移性肿瘤[3],手术中将神经主干切断而造成医源性损伤的案例。我们报道了1例应用术前MRI-3D重建定位结合术中肌电监测技术完整切除臂丛神经鞘瘤的病例,旨在探讨臂丛神经鞘瘤的治疗策略并总结相关手术的治疗经验。
患者,女,34岁,以"发现颈肩部肿物1年余"为主诉入院。患者入院前1年余无意中触及左侧颈肩部一肿物,初始约蚕豆大小,后逐渐增大,伴有压痛,局部皮肤无红肿破溃,平素偶感左前臂麻痛,无肢体皮肤感觉减退或运动障碍等不适,20天前就诊于当地医院,查颈部彩超示:"左侧颈肩部皮下低回声结节:神经纤维瘤?",遂于当地医院行"颈部肿物穿刺活检术",术后病理示:神经纤维瘤可能。为进一步治疗收入我院。既往4年前曾于外院行"剖宫产术",无肿瘤史及其他病史。家族史及个人史无特殊。
入院查体:生命征平稳,心肺腹查体无特殊。神经系统查体:左侧颈部胸锁乳突肌外侧缘触及一肿物,直径约3cm×3cm,界清,不易推动,轻度压痛,挤压肿块时左臂出现酸胀感。余神经系统查体无特殊。
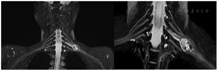
术前颈部MR平扫+增强(图1)与术前MRI-3D臂丛神经重建(图2)




结合患者病史、临床症状、体格检查及影像学表现,考虑初步诊断为:左颈部肿物:臂丛神经鞘瘤?剖宫产术后。鉴别诊断:发生在臂丛下干的神经鞘瘤,如向下生长,需与肺尖肿瘤或转移性肿瘤进行鉴别。
经术前科室讨论,患者诊断基本明确,具有手术指征,术前检查未见明显手术禁忌,并与家属充分告知手术风险,遂于全麻下行"神经电生理监测下显微镜辅助下左侧颈椎旁肿瘤切除术",手术过程如下:患者取仰卧位,连接神经电生理监测。取左侧颈前横行手术切口,术区常规消毒铺巾,沿切开线全层切开皮肤,钝性分离皮下,剪开肌肉腱膜,钝性分离各肌群,于左侧臂丛神经深面可见一肿瘤组织,大小约3.0cm×3.0cm×2.0cm,实性,边界清楚,包膜完整,色灰白,质地韧,血供不多,与神经纤维粘连紧密,载瘤神经受压菲薄,沿肿块边缘钝性分离,解剖保留神经分支,显微镜下分块完整切除肿瘤,载瘤神经保护完好,术中神经监测提示臂丛下干神经功能得以保留。术腔彻底止血。术腔放置引流条,逐层缝合肌筋膜、皮下、皮肤。
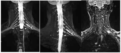
术后查体:左肘腕关节活动自如,左臂屈曲、外展可,神经感觉未见明显异常。术后肿瘤组织送病理检查,HE染色示神经鞘瘤。免疫组化结果:S100(+),SMA(-)。术后2周后未出现臂丛神经损伤症状及其他并发症,治愈出院。术后1周(图3)、1个月(图4)、半年(图5)、一年(图6)复查颈部MRI+增强及臂丛神经重建如下。








对于臂丛神经鞘瘤,手术前明确诊断十分重要。由于缺乏典型的临床特征,该肿瘤的临床诊断较困难,即便是些专攻周围神经疾病的外科医生也常误诊为"肿大的淋巴结"。曾有学者等报道了2例癌症患者,在行PET-CT检查均发现在腋下或锁骨下区有高代谢的肿物,考虑为恶性肿瘤转移的淋巴结,然后行手术切除时术中才发现其来源于臂丛神经,从而考虑为臂丛神经鞘瘤[3]。除了常规的病史及体格检查外,MRI检查被认为是显示臂丛神经及其疾病较好的影像学检查方法[4]。术前常规MRI检查能清楚地显示肿瘤的部位、大小及其与臂丛神经的关系。T1加权像上肿物信号等于或略低于肌肉信号,T2加权像上肿物信号较高,可接近脑脊液信号。其注射增强剂后表现为中等度强化,但强化多不均匀。另外更进一步,本案例在常规MRI基础上对臂丛神经进行3D重建定位,使得肿瘤与臂丛神经的关系清晰可见,对于手术中神经保护有极其重要的参考价值。
手术切除是治疗臂丛神经鞘瘤的有效方法,特别适用对于出现有神经压迫症状的患者。神经功能的保护是神经外科手术永恒的话题。对于神经肿瘤的手术更是如此,如何做到在不损伤载瘤神经的前提下完整切除肿瘤是手术中的难题。此例病例的对于神经保护的经验是:首先是合理运用神经电生理监测能为我们手术保驾护航,术中适当诱发臂丛神经电位以便实时了解神经功能情况。其次是手术技巧,暴露肿瘤时,应当是将相连的神经干一并游离,然后纵行切开平行于神经干的包膜,逐层分离包绕肿瘤的神经束,至肿瘤表面时开始剥离,避免术后出现臂丛神经损伤症状。若将肿瘤连同载瘤神经一并切除,将引起不可逆的神经损伤。在肿瘤的分离和切除过程中,神经有可能因牵拉而出现术后障碍,但这种损伤是可逆的,经过保守治疗可恢复。本案例中手术中通过上述的手术技巧,成功保留住载瘤神经并全切肿瘤,另外术后患者也并没有出现臂丛神经损伤症状。
综上所述,我们推荐对于臂丛神经鞘瘤的患者,常规行MRI-3D重建臂丛神经定位及术中应用神经电生理监测,以求最大程度避免臂丛神经损伤。
所有作者均声明本研究不存在利益冲突





















