
患者,女,62岁。2年半前因左侧基底节区血肿入院行颅内血肿清除+去骨瓣减压术,出院后行康复治疗1年半后进入平台期,为求右上肢功能改善而入院。
右侧肢体偏瘫、肌张力高。
神经外科医生建议臂丛神经MR高分辨三维成像检查,明确臂丛神经形态、分布、有无解剖变异及健侧C7神经根长度以进行术前规划手术入路及术式。
完善影像评估后病人行经锥体前颈7神经交叉移位术。
术后患者右侧肌张力较前降低,言语不利较前改善。
医学影像科;神经外科;神经内科;康复科
版权归中华医学会所有。本文为遵循CC-BY-NC-ND协议的开放获取文章。
临床试验证实对于肢体存在严重功能障碍的痉挛性瘫痪患者,健侧C7神经根移位手术可借助大脑对双侧肢体的重塑机制,有助于重建瘫痪上肢运动功能,远期疗效显著[1]。臂丛神经的术前评估,包括空间分布、解剖形态、有无个体化解剖变异、健侧神经根长度的精准测量非常重要[2],决定手术能否实施及手术方式。本文报道了基于MR神经成像序列的、双侧C7神经个体化、数字化三维成像技术,旨在克服传统平面影像的瓶颈,实现双侧C7神经的三维可视化,指导C7神经根移位术前规划、术后随访。
患者,女,62岁,2年半主因被发现神志不清3 h余急诊入院,查体:神志不清,刺痛不睁眼、不发音,右侧肢体刺痛不动,左侧肢体刺痛屈曲,右巴氏征(+)。头CT示:左侧基底节区血肿,行颅内血肿清除术,术后好转出院,于外院行康复治疗1年半,仍存在右侧肢体偏瘫、肌张力高,为求右上肢功能改善而入院。否认其他疾病病史。
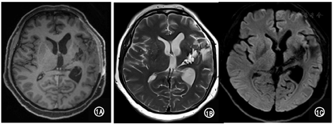
入院后专科查体:左侧肢体肌力、肌张力正常,右侧近端肌力3级、远端肢体肌力0级,肌张力明显增加,感觉未见明显异常。右上肢运动功能:Fugl-Meyer运动功能评分2分(总分66分);华山分级:Ⅰ级;改良Ashworth分级:3级。头颅核磁平扫示:左侧基底节区、丘脑软化灶,左侧额颞叶萎缩,侧脑室增宽,如图1所示。


磁共振张量成像:左侧基底节区、额颞叶软化灶伴左侧皮质脊髓束、左侧皮质核束损害伴重塑改变;左侧胼胝体纤维减少;双侧视辐射尚对称,如图2所示。


为明确臂丛神经、周围动静脉关系情况进行精准术前规划、减少神经血管损伤,患者进行了基于增强前后三维短时反转恢复各向同性变翻转角激发序列(3D-T2-sampling perfection optimized contrasts by using different flip angle evolution short time inversion recovery,T2-SPACE-STIR)的臂丛神经高分辨MRI检查。
患者拟行健侧颈7神经交叉移位术,行臂丛神经MR目的在于了解臂丛神经分布、有无解剖变异,术前测量颈7神经干可安全切取的长度,判定能否满足交叉移位的长度为影像评估重点。将本病例原始薄层图像输入西门子图像后处理工作站syngo.via,通过MM Research Frontier图像后处理软件进行分割重建,构建臂丛神经个体化三维数字模型,显示双侧臂丛神经形态及走行分布未见异常(图3A、C-D),沿C7神经走行进行多平面重组或曲面重组图像重建,测量C7神经根自椎间孔至前后股合束前的神经长度,本例约6.5cm(如图3B)。


患者行健侧颈神经交叉移位术,术中:暴露健侧C7神经根,向远端分离至前、后股合束水平,近端分离至近椎间孔水平,测量前股6.3 cm、后股6.5 cm。术中显微镜下,行健侧C7神经前后股-患侧C7神经根缝合,吻合牢靠无张力。
术后4个月复查臂丛神经MRI高分辨MRI平扫+增强显示:左侧C7椎间孔外神经干移位术后,吻合处神经显示良好(图4)。专科查体:左侧肢体肌力4级,肌张力正常,右侧近端肌力3级、远端肢体肌力0级,肌张力较前明显降低。右上肢Fugl-Meyer运动功能评分4分;华山分级:Ⅰ级;改良Ashworth分级:3级。患者言语不利较前明显改善,偶可发音清晰,左侧肩部、左手食指、中指无明显麻木疼痛。


单侧全臂丛损伤、脑瘫、大面积脑梗死患者多预后不良,导致对侧神经支配区神经功能缺失,严重影响患者生活质量。近年来,健侧C7神经根移位手术受到关注。该手术使用健侧C7神经来修复患侧C7神经,借助大脑对双侧肢体的重塑机制,对于部分脑梗死、外伤、脑瘫等痉挛性偏瘫患者,被证明可改善患者手部运动功能,远期疗效显著[1,3,4]。
神经移位术前需要进行完整影像学及神经电生理检查,明确双侧臂丛,尤其双侧C7神经结构功能及神经完整性。影像学评估臂丛神经形态分布、解剖有无个体化变异、精准测量可供移位的健侧神经根长度非常重要[2],决定手术能否实施及手术方式。臂丛神经MR成像结合三维成像后处理技术可提供神经臂丛形态、分布、神经根直径及前后股长度的信息指导外科手术[5,6,7]。以三维短时反转恢复各向同性变翻转角激发序列联合增强检查为代表的高分辨MR神经成像序列可显著提高臂丛神经与背景组织信号对比,能够进行多平面重组及3D后处理,具有明显优势而得到广泛应用[8,9,10,11]。
需要补充的是,经椎体前食管后通路的健侧C7神经移位术应用较广泛,亦有其他经椎体后通路、经皮下通路、经椎体隧道通路、脱细胞同种异体神经移植联合健侧颈7神经移位等其他手术方式的探索[12]。此外,基于丛内神经移位治疗臂丛神经损伤也得到进一步应用[13]。应综合病人重要神经、血管解剖结构特点、手术风险、预估疗效选择合理的个体化手术方式。影像后处理技术及3D图像后处理软件如mimics软件等,可测量椎体前、后通道长度,结合测得的颈7神经根-干-股长度进行对比,有助于臂丛神经移位术前规划及手术方案的制订。
本文基于MR神经成像,探索了用于C7神经根移位术术前术后评估的个体化、数字化三维成像技术,能够有效地评估臂丛神经空间分布、解剖形态与个体解剖变异,有利于显示臂丛神经前后、上下复杂空间关系,提高医生对手术区域内复杂解剖结构的术前理解,用于健侧颈7神经根的精准测量,指导外科医师术前手术规划及进行手术模拟,减少术中不必要的探索时程,减少手术并发症。
所有作者均声明本研究不存在利益冲突





















