
患者,男性,26岁,因头痛、头晕伴性格烦躁3个月余入院。
神志清楚,精神可,查体合作,双侧瞳孔等大光敏,眼球各方向运动正常,双侧额纹、鼻唇沟对称,双侧听力正常,伸舌居中。闭目难立征、饮水试验均为阴性,四肢肌力肌张力正常,四肢浅感觉、深感觉粗测正常,双侧病理征未引出。
病史、体检、CT扫描和MRI平扫增强以及弥散加权成像。
神经电生理监测下行乙状窦后入路桥小脑角及脑干腹侧胆脂瘤切除术。
术后患者痊愈出院,头痛头晕症状消失。出院后3个月门诊复查,复查头颅MRI未见复发表现。
神经外科;神经内科;影像科
版权归中华医学会所有。本文为遵循CC-BY-NC-ND协议的开放获取文章。
颅内胆脂瘤,又称表皮样囊肿,珍珠瘤。是一较为罕见且生长速度较慢的中枢神经系统良性疾病,约占颅内原发性肿瘤的0.2%~1.8%,为胚胎发育过程中外胚层残余组织异位所致[1]。桥小脑角区是颅内胆脂瘤最常好发于部位[2,3]。典型颅内胆脂瘤头颅CT平扫通常表现为低密度或等密度影,可伴有钙化[4,5]。临床实践中,头颅CT表现为高密度的颅内胆脂瘤并不多见,本文报道1例CT表现为高密度的胆脂瘤,旨在提高临床医师对胆脂瘤的认识,减少漏诊、误诊。
患者,男性,26岁,因头痛、头晕伴性格烦躁3个月余入院。患者3个月前无明显诱因下开始出现头痛、头晕症状,为双侧额颞部发作性胀痛,每次持续约数十秒,自行停止,并伴有头晕,不伴有恶心呕吐,当时未予以重视。患者入院前1个月突发右侧面部疼痛,像电击样,持续数秒钟自行停止,遂前往我院神经外科门诊就诊,完善头颅CT提示:右侧桥小脑角区,脑桥及延髓腹侧高密度占位,胆脂瘤可能(CT值为48~63 HU),患者为求进一步手术治疗,收治入院。否认高血压、糖尿病、冠心病病史;否认外伤史、手术史、冶游史、家族遗传病史。入院后患者完善头颅MRI平扫增强以及弥散加权成像。
入院后查体:神志清楚,精神可,查体合作,双侧瞳孔等大光敏,眼球各方向运动正常,双侧额纹、鼻唇沟对称,双侧听力正常,伸舌居中。闭目难立征、饮水试验均为阴性,四肢肌力肌张力正常,四肢浅感觉、深感觉粗测正常,双侧病理征未引出。
头颅CT平扫:右侧桥小脑角区,脑桥及延髓腹侧高密度占位,无钙化(CT值为48-63HU)。
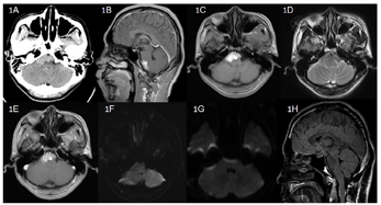
头颅MRI平扫增强以及弥散加权成像:右侧桥小脑角区,脑桥及延髓腹侧短T1以及稍短T2信号,边界清晰,呈匍匐样生长,最大截面约3.2cm×1.8cm×2.3cm,脑桥延髓稍受压,四脑室受压,增强扫描未见肿瘤明显强化;弥散加权成像提示肿瘤信号和脑脊液相比,呈稍高信号,考虑胆脂瘤(图1A-F)。


患者系青年男性,因头痛、头晕伴性格烦躁3个月余入院,术前存在继发性三叉神经痛症状,术前查体未见明显阳性体征。术前影像学提示:右侧桥小脑角区,脑桥及延髓腹侧占位,呈匍匐样生长,大小约3.2 cm×1.8 cm×2.3 cm,增强扫描未见肿瘤明显强化;弥散加权成像提示肿瘤信号和脑脊液相比,呈稍高信号。患者影像学表现提示肿瘤占位效应比较明显,且压迫脑干,但患者临床症状较轻,术前查体未见明显阳性体征,符合胆脂瘤影像学表现和临床表现不一致的特点,此外术前弥散加权成像提示呈稍高信号以及合并继发性三叉神经痛,诊断为颅内胆脂瘤。
累及桥小脑角区蛛网膜囊肿不多见。通常蛛网膜囊肿形态规则,不具有"见缝就钻"的生长特性。CT和MRI平扫均为脑脊液密度或信号,弥散加权成像通常也呈脑脊液信号。
患者通常表现为一侧耳鸣或听力丧失。内听道CT可显示一侧内听道扩大,头颅MRI增强扫描提示肿瘤囊壁明显强化,听神经瘤囊性部分在弥散加权成像呈低信号。
累及桥小脑角区的脑脓肿通常由化脓性中耳乳突炎扩散而来,可单发也可多发。CT平扫时脓腔呈低密度区,脓肿壁呈等密度环。MRI平扫通常T1WI表现为低信号,T2WI表现为高信号,脓肿周边伴有不同程度的水肿,占位效应显著,增强扫描时脓肿壁显著强化;脓液在弥散加权成像呈高信号。结合临床化脓性中耳乳突炎病史一般诊断不难。
累及此部位的颅内动脉瘤出血起病急,临床症状重,通常存在肢体感觉运动障碍,颅神经麻痹,小脑症状等。且CT出血信号随着时间而改变,可间隔复查CT或完善头颅CT或者MRI血管成像予以鉴别。
累及桥小脑角区肠源性囊肿较表皮样囊肿少见得多,且形态规则,无表皮样囊肿"见缝就钻"的生长特性。CT平扫通常囊壁无钙化。
胶样囊肿绝大多数位于孟氏孔附近的三脑室内,通常边界清晰,无表皮样囊肿"见缝就钻"的生长特性。且由于胶样囊肿囊内多为高蛋白成分,所以其CT及MRI可以表现为特定的等高密度和等高信号。
鉴于患者年龄较为年轻,症状学上存在继发性三叉神经痛,且影像学出现脑干受压,遂建议首选手术治疗。
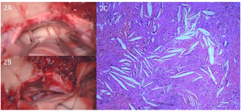
术前完善心电图、肺部CT、血常规、生化、凝血功能、免疫组合等相关血液学检查,排除手术禁忌后行:神经电生理监测下行乙状窦后入路桥小脑角及脑干腹侧胆脂瘤切除术,全程使用无牵开器动态微牵拉技术,手术步骤如下:取右侧枕下直线切口,暴露患侧枕骨,在颅骨星点处钻孔并扩大,探查横窦位置后,铣刀切开颅骨,形成大小约为4 cm×4 cm大小骨窗,上方暴露至横窦边缘,外侧至乙状窦边缘。在显微镜下切开硬膜,从枕骨大孔处挑开蛛网膜缓慢释放部分脑脊液,脑压下降,并使用明胶海绵和脑棉保护小脑,吸引器牵开小脑,暴露桥小脑角区。术中探查见肿瘤位于脑桥及延髓腹侧,呈囊性,色白,质地软,血供一般。在显微镜下剪开肿瘤包膜,内见大量黄白色黏稠油状物质,予以吸除,并完整剥离肿瘤包膜,术中神经电生理确认:展神经、面神经、听神经以及后组颅神经保护良好。充分止血,严密缝合硬膜,回纳固定骨瓣,分层缝合头皮各层,硬膜外并未放置引流管。
术后严密监测患者体温等生命体征,动态复查头颅CT,排除迟发性脑出血,并予以补液,营养支持等对症处理。术后病理提示为胆脂瘤,术中图片及最终病理见图2。


治愈。患者术后予以抗感染,营养支持等对症处理后,患者顺利出院,出院时患者无头痛、头晕,体温正常,无面瘫,双耳听力同术前,无声音嘶哑以及饮水呛咳等后组颅神经症状;患者切口愈合良好。随访过程中,头痛头晕症状消失,无再发继发性三叉神经痛。患者术后3个月复查头颅MRI平扫以及弥散加权成像提示肿瘤全切,无复发,四脑室及脑干受压解除(图1G~H)。
目前,颅内胆脂瘤约占颅内原发性肿瘤的0.2%~1.8%,但近年来,随着MRI技术的普及以及临床医师对胆脂瘤认识的提高,胆脂瘤的检出率逐渐上升[1,6]。胆脂瘤的囊壁是由复层鳞状上皮构成,囊壁内含有大量胆固醇以及去角质蛋白,复层鳞状上皮不断脱落进入囊内,从而引起胆脂瘤体积增大。由于胆脂瘤囊壁较薄,且囊内容物质地柔软,决定肿瘤具有良好的顺应性这一生物学特性,使其生长方向多不规则,可沿着颅底各脑池裂隙生长,并可包裹颅内血管以及颅神经,即"见缝就钻"的生长特性[5,7]。正是由于胆脂瘤质地柔软,具有良好的顺应性,使胆脂瘤具有影像学表现和临床症状不一致的特点,即影像学表现病灶较大,但临床症状却较轻。譬如此例患者,影像学表现出胆脂瘤对脑干的压迫,但患者仅仅表现为发作性的头痛头晕以及继发性三叉神经痛症状,且入院时查体无阳性体征,临床症状和同部位的脑膜瘤或胶质瘤相比较轻[6,8]。
头颅CT以及MRI检查对于胆脂瘤的诊断以及治疗方式的选择是必不可少的。颅内胆脂瘤的CT或MRI表现与其囊内容物密切相关[4,9]。典型的颅内胆脂瘤CT平扫表现为脑脊液样的低密度或等密度。但有少数胆脂瘤CT平扫则表现成高密度。通过文献回顾,CT表现为高密度胆脂瘤约占颅内胆脂瘤的7.6%~10.7%[10,11,12]。甚至有文献报道,后颅窝胆脂瘤的CT值可高达80~120 HU[8,13]。胆脂瘤CT平扫表现为高密度可能受下列因素影响:肿瘤包含大量的蛋白质物质,此因素通常也是胆脂瘤CT表现为高密度的主要原因;肿瘤囊壁毛细血管破裂出血,释放出大量的含铁血红素;钙化的形成;脂类物质与蛋白及钙化物混合为高密度复合物[10,14]。在此例患者中,术后镜下病理提示胆脂瘤伴出血,CT值48~63 HU,符合文献报道。颅内胆脂瘤MRI通常表现为类似脑脊液样的T1WI低信号,T2WI高信号。但当囊内容物含有大量蛋白时,胆脂瘤T1WI通常表现为高信号,T2WI表现也可呈高信号。增强扫描时,胆脂瘤通常无强化。弥散加权成像在胆脂瘤诊断及鉴别诊断中扮演着重要的角色,弥散加权成像表现为高信号是胆脂瘤特征性表现,其原因是胆脂瘤囊内成分复杂、黏稠,导致水分子布朗运动受限[9]。有文献报道,胆脂瘤囊内蛋白含量越高,其弥散加权成像信号越高,因此推测胆脂瘤弥散加权成像主要病理基础为囊内的各种蛋白质成分[9]。
桥小脑角区是颅内胆脂瘤最常见部分,累及该部位胆脂瘤最常表现为继发性三叉神经痛症状,有文献报道,累及桥小脑角区胆脂瘤患者出现继发性三叉神经痛可高达41.7%[5,15,16]。桥小脑角区胆脂瘤导致继发性三叉神经痛机制还未被阐述清楚,可能与下列因素有关:肿瘤对责任血管的压迫、肿瘤对三叉神经或者三叉神经根区直接压迫、胆脂瘤内容物刺激或者引发的炎症所导致出现继发性三叉神经痛症状。
由于胆脂瘤"见缝就钻"的生长特性,因此常常和颅内血管以及颅神经关系密切。在颅内复杂广泛的胆脂瘤治疗过程中,神经内镜的使用可以增加视野暴露、更加全面地显示病灶,从而可以有效提高颅内胆脂瘤的治疗效果[7]。但在本研究中,我们全程使用显微镜经行此例胆脂瘤切除,并采取无牵开器动态微牵拉技术,放弃了传统颅底及脑深部手术所需要的普通脑压板或自动牵开器,从而来达到充分暴露肿瘤的目的。无牵开器动态微牵拉技术,即以吸引器和双极电凝镊等显微手术器械替代既往的脑自动牵开器或普通脑压板,通过变换体位、脑脊液释放等操作动态性牵开脑组织,达到暴露颅底及脑深部病变的目的,可有效避免使用牵开器或脑压板相关的挫裂伤、脑水肿、脑内血肿等并发症,从而提高手术疗效,此技术的使用是对传统神经外科手术理念和操作技术的革新,且不需要购置额外的或特制的硬件设备,具有良好的可行性[17]。
CT表现为高密度的胆脂瘤由于不多见,临床极易漏诊、误诊。正确的诊断是正确处理,手术入路选择的基础。唯有充分认识颅内胆脂瘤的临床特点及影像学特征,方可做出正确诊断,减少误诊、漏诊,并采取有效的治疗手段,造福患者。
所有作者均声明本研究不存在利益冲突





















