
患者,男性,80岁,主因"反应迟钝、情绪低落伴精神行为异常5年余"就诊。患者既往患脑梗死,脑梗死后患者精神、认知每况愈下,生活不能自理。
神清淡漠,言语欠清,反应迟钝,仅可简单对答,高级神经功能受损,人物定向力可,时间、地点定向力下降,计算力下降(100-7不能)。
结合临床表现及辅助检查结果,按照血管性认知障碍诊断标准。
给予脑卒中二级预防用药,合用抗胆碱酯酶药及改善情绪的药物。高频重复经颅磁刺激治疗。
患者精神、表情、语言各方面均改善明显。精神心理及认知功能相关量表评分改善。
神经科;康复科
版权归中华医学会所有。本文为遵循CC-BY-NC-ND协议的开放获取文章。
血管性认知损害(vascular cognitive impairment,VCI)是指脑血管病危险因素、明显或不明显的脑血管病引起的,包含轻度认知障碍到痴呆的一大类综合征,涵盖了血管性认知损害从轻到重的整个发病过程。VCI在临床上的治疗十分棘手,除了针对病因脑梗死的治疗及预防后,对认知障碍的处理,相关临床循证依据的数据有限。重复经颅磁刺激(repeated transcranial magnetic stimulation, rTMS)的神经调控作用在痴呆治疗中有潜能。我们报道1例rTMS治疗血管性认知功能障碍的成功案例,旨在提高rTMS对VCI治疗方案的认识。
患者,男性,75岁,主因"反应迟钝、情绪低落伴精神行为异常5年余"就诊。患者5年前脑梗死后出现反应迟钝、记忆力及智能下降,表现为不记得家人的名字,学习能力、执行能力变差,逐渐出现日常活动(如刷牙等)次序颠倒,回答问题逻辑混乱,生活不能自理;情绪低落,言语减少,拒绝与人沟通,精神状态变差,性格回避、孤僻,表情淡漠。多次于外院就诊,接受多种改善认知及情绪等的治疗未见明显好转。患者大学本科学历,退休前为书画家、摄影家,发病后未再握起画笔及相机。查体示神清淡漠,言语欠清,反应迟钝,仅可简单对答,人物定向力可,时间、地点定向力下降,计算力下降,右下肢肌力Ⅳ级,双下肢病理征阳性。
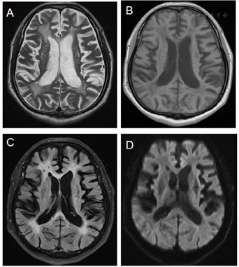
全血细胞计数、肝肾功能、血糖、心肌酶、血脂、梅毒、艾滋、尿酸、血电解质和甲状腺功能检查均正常。颅脑磁共振及血管成像示双侧额顶叶深部白质、放射冠区多发缺血、腔梗灶,脑小血管疾病,Fazekas 3级,符合脑动脉硬化改变(图1)。智能精神测定评分示汉密尔顿焦虑量表(Hamilton anxiety scale,HAMA)为14分,明确有焦虑症状;汉密尔顿抑郁量表(Hamilton depression scale,HAMD)为18分,有轻微抑郁症状;简易精神状态检查(mini mental status examination,MMSE)为13分,有痴呆表现;蒙特利尔认知评估量表(Montreal cognitive assessment,MoCA)为7分,有明显认知损害。Neuro 11为25分(图2)。高密度脑电图提示:θ、δ波段在左侧枕区、中央区和颞区脑连接增多,脑连接示前额叶连接增强,符合血管性认知功能障碍的临床特征(图3)。






诊断为血管性认知障碍,脑梗死后遗症,脑卒中后抑郁,脑小血管病Fazekas 3级,外周动脉粥样硬化斑块形成。
脑梗死预防用药(阿司匹林+他汀类药物),经伦理委员会批准及患者同意后,给予左前额叶背外侧区(dorsolateral prefrontal cortex,DLPFC)高频rTMS刺激,每次治疗持续30 min,共1500个脉冲。每天治疗1次,共26次治疗(表1)。

案例的rTMS治疗方案参数
案例的rTMS治疗方案参数
| 刺激靶点 | 刺激强度 | 刺激频率(Hz) | 串刺激时间(s) | 串间歇时间(s) | 总时间(min) | 脉冲个数(个) | 治疗次数 |
|---|---|---|---|---|---|---|---|
| LDLPFC | 100%RMT | 10 | 1 | 10 | 30 | 1500 | 26 |
注:rTMS:重复经颅磁刺激;LDLPFC:左侧前额叶背外侧区;RMT:静息运动阈值
VCI是一种临床综合征,包括由脑血管疾病引起的广泛的认知障碍。1993年,Hachinski教授首次提出了血管性痴呆(vascular dementia,VD)的概念,VD是指由血管危险因素(血管病变如动脉粥样硬化、脑淀粉样血管病、免疫等血管炎病变,既往卒中事件,卒中危险因素如高血压、糖尿病、高脂血症等)导致和(或)血管因素相关的认知功能损害,包括从轻度认知功能损害到痴呆的整个过程[1]。VD涵盖所有与血管因素相关的认知损害,可单独发生或与AD合并存在[2]。具有共同的临床特征和多种神经传递受累。这些相似之处使得一些研究人员使用经颅磁刺激(transcranial magnetic stimulation,TMS)来阐明VD的神经生理学图谱。TMS研究已经确定了一种皮层过度兴奋的模式,可能与脑血管疾病引起的白质损伤的完整性破坏有关[3]。皮质下缺血性血管性痴呆是由于小动脉疾病和低灌注引起的,临床上是一组同质的患者,是血管性认知障碍和痴呆的主要原因[4]。来自脑白质疏松和残疾()LADIS)研究的数据表明,皮质下缺血性血管病与进行性认知障碍和发展成痴呆症有关[5],它是全球功能衰退的独立决定因素[6],预测抑郁症状的发展[6],并与老年人的步态和平衡障碍或泌尿障碍有关[7]。
VCI的认知改变,被认为是构成社会行为以及认知和执行皮层功能的额叶-皮层下环路中断的结果。累及纹状体、苍白球或丘脑的腔隙,以及脑室周围或深层白质病变可导致前额叶-皮质下环路中断,导致各种神经精神症状。前额叶皮质下回背外侧环路的中断导致执行功能障碍;眶额叶皮质下环路的损害导致不受抑制的行为、个性改变和情绪不稳定,而动机减退、冷漠、无精打采甚至无能为力的沉默是由前扣带回回路的损害引起的[7]。
在本案例中,患者治疗前的高密度脑电图提示θ、δ在左侧枕区、中央区和颞区脑连接增多,脑连接示前额叶连接增强,这是符合脑梗死后认知障碍的临床表现。予rTMS治疗后,患者症状明显改善且治疗脑电图提示脑连接有改变,前额叶连接较前减弱,默认网络中的PCC位点的连接性在beta频段明显增强,有转归的趋势。之前研究表明,默认网络与认知和执行能力有明显关联,该影像学改变与临床改变相匹配。TMS技术是一项无创、无痛的体外神经调控技术,目前已被美国FDA批准用于治疗难治性抑郁[8],如今逐步在其他类型疾病中如阿尔茨海默病、血管性痴呆应用[3]。rTMS可产生持续的抑制或增强皮层兴奋性作用,研究发现,rTMS可显著改善VCI患者命名能力、学习能力、句子理解力、记忆等功能[9]。不同研究使用的rTMS频率(高频或者低频)、刺激部位(左侧、右侧或者双侧前额叶背侧皮质,额下回、颞上回等)、评估量表不尽相同,但通过荟萃分析发现,rTMS能够显著改善VCI患者的认知功能;亚组分析发现,高频刺激组的认知功能改善更明显,而低频刺激组的认知改善不明显。rTMS刺激右侧或者双侧背外侧前额叶,患者的认知改善程度更明显,但刺激左侧DLPFC则没有显著的认知改善[10,11]。默认网络参与情景记忆、情绪等认知过程,在认知障碍的发病中最先受到影响,Drzezga等[10]发现,利用PET-CT发现痴呆前患者的Aβ在扣带回、前额叶、颞顶叶区域沉积,使得这些区域与其他大脑网络间的连接减少而影响默认网络的完整性。本患者在治疗后高密度脑电图显示默认网络的出现,可能提示大脑的部分连接在增强。
VCI是一种临床综合征,包含由脑血管疾病引起的广泛的认知障碍,目前主要为预防性干预,药物治疗方面尚未有明确有效的方案,rTMS产生治疗效果的原因可能与其调节大脑皮质局部及相关联的神经网络的兴奋性,进而平衡多巴胺及乙酰胆碱水平相关。在此背景下,VCI患者脑网络特征标记可能成为未来诊断及预测药物或rTMS疗效的重要生物学标记物,希望未来我们可以通过静息态脑电或TMS联合脑电来实现这一目标。
所有作者均声明本研究不存在利益冲突





















