
患者,男,55岁,因全口牙松动5年余就诊,要求种植修复。拔牙史,牙周洁治史,吸烟史,否认系统病史及药物过敏史。
17、25、26、27、28、31、34、37、38、45、47、48缺失,缺牙区牙槽嵴低平。18、16、11、21、32、33、35、36、41、42、43、44、46松动III度,15、14、13、12、22、23、24松动II度。
全景片及CBCT显示部分牙牙槽骨水平性吸收至根尖水平。临床诊断:广泛性Ⅳ期牙周炎,上下牙列缺损。
余留牙拔除,采用All-on-4®术式上下颌即刻种植即刻负重。
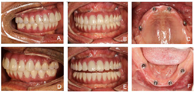
种植修复后2年复查,种植体稳固,获得良好的咀嚼功能及美学修复效果。
口腔种植科;修复科;口腔颌面外科;牙周病科
版权归中华医学会所有。本文为遵循CC-BY-NC-ND协议的开放获取文章。
All-on-4®是全口种植固定修复常见方式,由Maló等[1]于2003年首次提出,在无牙颌患者的磨牙区骨高度不足时下颌植入4颗种植体,其中前牙区轴向植入2颗种植体,后牙区倾斜植入2颗种植体,可实现12颗牙的固定修复体。Maló等[2]于2005年提出在上颌可采用同样的设计。此方案避免引导骨再生手术并即刻行使功能。本文报道一例全口牙松动的重度牙周炎患者,采用All-on-4®方法行全口即刻种植即刻负重,当日重建咬合并恢复功能,修复2年后效果稳定。
患者,男,55岁,因全口多颗牙松动5年,于2019年1月就诊于河南大学赛思口腔医院种植科,要求种植修复。5年前上下部分牙齿松动拔除,未修复,余留牙松动,咀嚼无力,牙龈红肿伴刷牙出血。1周前行牙周洁治,并拔除左侧上下后牙。拔牙史,牙周洁治史(图1)。吸烟史10年余,10支/天。否认系统性疾病和家族史,否认药物过敏史。


17、25、26、27、28、31、34、37、38、45、47、48缺失,缺牙区牙槽嵴低平。25、34、37拔牙创处于愈合期。口腔卫生情况欠佳,探诊深度PD 4-11mm,附着丧失1~10 mm,牙龈暗红,质地疏松,探诊出血,BOP%=100%,可探及连续龈下结石。18、16、11、21、32、33、35、36、41、42、43、44、46松动III度,15、14、13、12、22、23、24松动II度。前牙深覆牙合,右侧后牙咬合中性关系(图1)。颞下颌关节检查未见异常。影像学检查:初诊全景片显示余留牙牙槽骨水平性吸收至根尖1/3(图2)。术前CBCT截图显示15、14、13、12、22、23、24牙槽骨吸收至根中1/3水平,其余牙牙槽骨吸收至根尖1/3不等(图3)。




上下牙列缺损,广泛性Ⅳ期牙周炎[3]。
治疗方案设计:方案一:①口腔健康教育、口腔卫生指导;②15、14、13、12、22、23、24暂保留,行牙周序列治疗。18、16、11、21、32、33、35、36、41、42、43、44、46拔除。③缺失牙位行可摘局部义齿修复。方案二:①口腔健康教育、口腔卫生指导;②15、14、13、12、22、23、24暂保留,行牙周序列治疗。18、16、11、21、32、33、35、36、41、42、43、44、46拔除。③拔牙后3-6月,种植修复上下颌缺失牙。方案三:①口腔健康教育、口腔卫生指导;②拔除上下颌余留牙。③拔牙3-6月后,行上下颌全口种植固定义齿修复。上下颌分别植入6-8颗种植体,修复方式采用一段式或分段式固定桥修复。方案四:①口腔健康教育、口腔卫生指导;②拔除上下颌余留牙。③采用All-on-4®术式单颌植入4颗种植体,行即刻种植即刻临时修复,4~6个月后行终义齿修复。
治疗方案分析:方案一与方案二均保留7颗上颌天然牙,不同的是上下颌采用可摘义齿修复或种植固定义齿修复。相对于可摘义齿修复,种植固定义齿修复具有咀嚼效率高,异物感低,舒适性好的优点,但治疗周期长、费用高、痛苦较大。根据方案三,拔除上下颌余留牙后延期种植固定义齿修复,常规是在拔牙3~6个月后,上颌植入6-8颗种植体,下颌植入4-6颗种植体,完成上下颌种植固定义齿修复[4]。此方案上下颌需要植入10-14颗种植体,上颌磨牙区需要引导骨再生手术,费用高、治疗周期长、患者痛苦较大。根据方案四,采用All-on-4®术式单颌植入4颗种植体,治疗周期短、费用低、患者痛苦小、美观性高,可实现即刻种植即刻负重。既往研究认为上下颌分别植入4颗种植体能够获得高的种植及修复成功率[5]。若患者有某些危险因素(如骨质量不良、对牙合牙为天然牙或存在磨牙症等功能异常习惯)时,上颌可增加2颗种植体[6]。本病例不存在上述危险因素,因此学者认为4颗种植体已经足够行使功能。征得患者同意,拔除余留牙,采用All-on-4®术式上下颌即刻种植即刻负重。
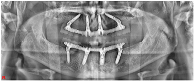
治疗过程(1)手术方案设计:拔除余留牙后,上颌拟在12、22植入2颗轴向植体,15、25植入2颗倾斜植体,下颌于32、42植入2颗轴向植体,35、45区域植入2颗倾斜植体,种植体倾斜角度小于45°,术后制作临时种植固定义齿,6月后戴终义齿(钛支架加丙烯酸树脂材料)。(2)种植一期术前测量垂直距离。术中拔除上下颌余留牙,分别于16-26、36-46区牙槽嵴顶近远中向切开牙龈黏膜,翻瓣,搔刮拔牙窝内炎性肉芽组织,平整牙槽嵴顶骨嵴,分别于12、15、22、25、32、35、42、45区定点,逐级备洞,12、22、32、42区轴向植入Nobel Speedy 4x13mm种植体,15、25、35、45区远中倾斜植入Nobel Speedy 4x15mm种植体。初期稳定性均达到35N·CM。15、25放置RP 5 mm 30°复合基台,12、22放置RP 3 mm 17°复合基台。32、42放置RP 2 mm 0°复合基台,35、45放置RP 4mm 30°复合基台,放置愈合帽,修整牙龈黏膜,缝合牙龈(图4)。术后拍摄全景片(图5)(3)即刻负重制取上下颌印模,制作蜡堤记录上下颌颌位关系,采用息止颌位法确定垂直距离,吞咽咬合法确定水平关系,转移颌位关系后,手术当日制作临时固定义齿修复至第二前磨牙并戴入固定,调整咬合接触(图6)。






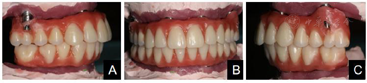
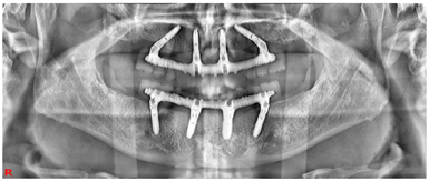
术后复查:术后3月全景片显示种植体骨结合良好(图7)。制作终义齿:术后5月:取下临时固定义齿,制取上下颌硅橡胶印模,根据临时义齿,记录上下颌颌位关系,上牙合架。术后6个月:制作义齿蜡型、排牙(图8),取下临时固定义齿,口内试戴上下颌终义齿蜡型,检查咬合关系良好,上下颌中线居中、对称,露齿线、唇颊面部丰满度患者满意。术后6个月:取下临时义齿,戴入终义齿,修复至第一磨牙(图9)。随访术后1年:全景片显示种植体周围骨结合良好,上前牙区种植体颈部骨吸收约1 mm(图10)。术后2年:义齿外形无变化,组织面有菌斑沉积。治疗计划:1.患者口腔卫生宣教,指导正确刷牙,采用冲牙器冲洗义齿与牙龈间缝隙,要求定期(6个月)复查、维护。2.取下上下颌义齿,复合基台周围洁治,清洁义齿,抛光义齿组织面,重新戴入固定上下颌义齿(图11)。术后2年全景片:种植修复前后面像对比(图13)。












All-on-4®技术种植修复成功率高以及能够即刻种植即刻负重被广泛使用,临床研究显示随访7年种植体存活率为94.5%。修复体成功率为97.8%[7],另有研究显示随访13年种植体存活率93.9%,修复成功率99.2%[8]。三维有限元模研究[9],采用4枚种植体进行固定修复时,改变末端种植体倾斜角度,可降低种植体和骨种植体界面的最大应力,获得比6枚种植体更好的效果。同时有模型研究表明[10],在无牙颌种植修复体悬臂(15 mm)上施加50N的载荷时,远端种植体采用倾斜设计比轴向设计降低了轴向应力,远端种植体采用倾斜设计更具有优势。6-8颗种植体远中两颗种植体多采用轴向设计,不仅增加了种植体轴向力,而且增加种植体数量也增加了种植体失败风险和患者经济负担。此病例采用All-on-4®设计更符合患者的临床需求。
长期缺牙或者牙周炎而导致牙槽骨严重萎缩磨牙区骨高度不足的无牙颌患者是All-on-4®的适应证。该患者为重度牙周炎患者,迫切想要尽早恢复功能。有研究[11]认为重度牙周炎患者全口种植时机的选择应考量术前感染的控制难度,选择拔牙后择期种植能降低术前感染的控制难度。但是牙周炎并非是即刻种植的绝对禁忌症,系统综述表明彻底清除感染组织后,感染和健康的拔牙位点行即刻种植的种植体具有相似的种植体存活率[12]。也有前瞻性研究[13]表明晚期广泛性侵袭性牙周炎患者行All-on-4®即刻种植即刻修复平均5年的累计存活率为98.75%且具有高的患者满意度,是一种可靠的种植修复方式。而且All-on-4®种植手术修整牙槽嵴顶和软组织,清除了感染组织,可以获得良好的感染控制。
本病例种植体植入扭力均达到35N·CM,这是种植体即刻负重的关键。有文献[6]提出All-on-4®种植体扭力达到35N·CM时,可实现远中一颗牙悬臂的全口固定义齿修复。本病例临时义齿修复时无悬臂以减轻种植体骨界面应力,临时义齿佩戴6个月保持软组织稳定后[14],终义齿修复至第一磨牙,患者能够获得良好的咀嚼能力的同时又不会产生过大的咬合应力。采用钛支架加丙烯酸树脂材料修复相对于氧化锆桥体修复更加经济,同样能获得良好的咀嚼、美观和发音功能,研究表明[15]树脂材料与氧化锆冠修复相比对种植体存活率无显著差异。
本病例外科手术采用自由手操作,存在上颌前牙区种植体植入偏颊,负重后出现牙龈退缩,种植体周围骨吸收的问题。若采用数字化导板/导航能增加种植体植入的准确性。All-on-4®手术拔除余留牙并修整了牙槽骨,术前数字化导板设计是较为困难的。因此,有学者[16]提出采用即刻加载的顺序导板(sequential template immediate loading , STIL),不同步骤采用不同导板,虽然增加了手术的复杂性,但是比传统手术操作能够更准确地在设计位置植入种植体。无牙颌患者牙槽骨存在生理性吸收,随着使用时间增加,义齿组织面与牙龈之间密合性降低,患者需要定期复查,清理义齿组织面,必要时重新制作义齿。
本病例表明All-on-4®即刻种植即刻负重对于重度牙周炎患者是一种可靠的种植修复方式,能够即刻恢复功能,满足适应证患者的治疗期望。
所有作者均声明本研究不存在利益冲突





















