
患者,女性,64岁,因"头痛1个月余伴右眼胀痛不适"为主诉就诊当地医院。
右侧额部、右眼胀痛不适1个月,无鼻堵,无脓涕,无涕中带血。专科检查:右眼突出,眼球活动正常,鼻中隔不规则偏曲,双侧下鼻甲稍大,右侧中鼻道淡粉色肿物,触之易出血。
CT和MRI进行影像诊断,最终由组织病理学及免疫组化染色确诊。
无
活检组织病理学确诊后出院。
放射科;耳鼻咽喉头颈外科;病理科
版权归中华医学会所有。本文为遵循CC-BY-NC-ND协议的开放获取文章。
NUT癌又称中线癌(NUT midline carcinoma,NMC)是指伴睾丸核蛋白(the nuclear protein of testis,NUT)基因重排的一种高度恶性肿瘤[1]。其恶性程度高,预后差,极罕见,常见于肺、头颈、纵隔[2,3,4]等。NUT癌虽然恶性程度高,但溴结构域外结构基因序列(BET)抑制剂靶向药物治疗的临床反应强调了与其他低分化鼻腔、鼻窦癌鉴别诊断的重要性[5]。头颈部的NUT癌在临床表现上几乎没有特征性症状体征,NUT癌确诊依靠免疫组化NUT阳性及分子遗传学检测BRD-NUT融合基因[6]。关于头颈部中线癌影像表现的文献极少[7]。
本文旨在通过回顾性分析该病例的临床与影像资料,复习相关文献,为鼻窦NUT癌的术前诊断提供一定的思路。
患者,女,64岁,因"头痛1月余伴右眼胀痛不适"为主诉就诊当地医院。患者1月前无明显诱因出现头痛,为右侧额部、右眼胀痛不适,无鼻堵,无脓涕,无涕中带血,当地医院头颅MRI发现筛窦占位性病变。
专科检查:右眼突出,眼球活动正常,鼻中隔偏曲,双侧下鼻甲稍大,右侧中鼻道淡粉色肿物,触之易出血。
辅助检查:免疫八项、生化常规及尿沉渣未见异常。
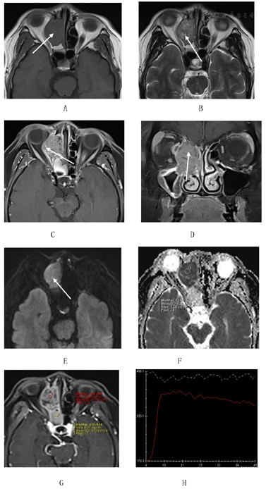
鼻窦CT:右侧筛窦、鼻腔软组织影,累及右侧上颌窦口、额窦及眼眶,右侧眼眶内壁、筛顶、上、中鼻甲及钩突可见骨质破坏。鼻窦MRI:右侧筛窦、鼻腔等T1、等长T2信号影,内部信号不均匀,增强扫描后显示不均匀强化,DWI呈高信号,ADC图呈低信号,ADC值为0.67×10-3mm2/s,动态增强曲线呈"速升流出型",病变累及右侧眼眶、筛顶(图1)。


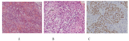
鼻内镜下鼻窦肿瘤活检术:右侧中鼻道淡粉色肿物,触之易出血,取部分组织送冰冻病理,出血较剧,行低温等离子止血,按压眼球可见中鼻道内肿物向内移动,冰冻病理回报示:恶性肿瘤,不除外淋巴瘤及恶性黑色素瘤,故再次取筛窦内肿物送病理,双极电凝充分止血后右侧鼻腔填塞纳吸棉。组织病理学活检:右侧筛窦、鼻腔分化差的癌,结合免疫组化瘤细胞结果:CD56(-)、NUT(+)、CK5/6(-)、P16(-)、P63(+)、Ki-67index(约50%)、CK(+)、CD3(+)、S-100(-),支持为NUT癌(图2)。


组织病理学活检确诊后出院。
NUT癌是以具有NUT基因易位为特点的恶性上皮性肿瘤,是近年来提出的一类起源完全独立于人体已有组织细胞的恶性肿瘤[1],其恶性程度高,发病极罕见、预后差[2]。其发病机制被认为是NUT与BRD4形成的融合基因促进了组蛋白高乙酰化,从而激活多条生长信号通路,进而形成肿瘤[8];Giridhar等[7]回顾分析了1950年至2017年文献报道的119例NUT癌病例,发现其好发部位为头颈、肺及纵隔,其中位生存期仅5个月。
Bishop和Westra[3]对1995年至2011年所有病理证实的原发性鼻窦癌病例用NUT蛋白免疫组化探针研究发现,在小于50岁的鼻腔鼻窦未分化癌患者中75%(3/4)实际为NUT癌。NMC虽然是一种罕见的原发性鼻腔癌,但其发病率在未分化成分的癌中显著增加,因此不必对所有的鼻腔鼻窦癌进行NUT检测分析,可仅检测未分化癌。
NUT癌目前还没有标准治疗方案,临床治疗主要包括手术、放化疗及靶向药物治疗[4]。鉴于NUT癌溴结构域外结构基因序列(BET)抑制剂靶向药物治疗的临床反应,提示NUT癌与其他低分化鼻腔鼻窦癌鉴别诊断的重要性[5],故积极探索研究NUT癌与鼻腔鼻窦其他恶性肿瘤的影像学鉴别诊断,具有重要的临床意义。
鼻腔鼻窦NUT癌影像学表现相关文献少见,已发表的文献主要以个案报道或者回顾性分析为主[9]。文献报道[10,11,12]鼻腔鼻窦NUT癌具有恶性肿瘤的特点,CT显示明显骨质破坏,MRI呈混杂信号,增强后不均匀强化,弥散受限。该病例MRI显示病变主体呈等T1等T2信号,明显弥散受限,动态增强曲线呈"速升流出型",以上影像学表现提示小圆细胞恶性肿瘤可能性大。
文献报道[13]NUT癌在细胞学涂片上肿瘤细胞的细胞核呈圆形至椭圆形,大部分为裸核,细胞质缺失,细胞核的染色质密度变化大,常伴有细胞间的局灶性成型,大多数病例有明显的小核仁。因此,从细胞形态上本病与小圆细胞肿瘤几乎无法鉴别。该病例冰冻回报也提示不除外淋巴瘤、恶性黑色素瘤等小圆细胞恶性肿瘤。其最终确诊还需依靠免疫组化技术对NUT特异性抗体检测(灵敏度87%,特异度100%)或通过染色体分析等手段证实NUT易位的存在[14]。本例患者影像学检查结果结合免疫组化结果NUT(+),最终诊断为NUT癌。
鼻腔鼻窦NUT癌在影像上需要与以下疾病进行鉴别:①鳞状细胞癌:是上皮细胞来源最常见的恶性肿瘤,明显骨质破坏,等T1、等短T2信号,中度弥散受限,曲线"平台型"多见。②腺癌:筛窦最常见恶性上皮源性肿瘤,呈长T1长T2信号,弥散不受限,曲线呈"平台型"。③横纹肌肉瘤、嗅神经母细胞瘤及神经内分泌癌:均为小圆细胞恶性肿瘤,影像学表现重叠,鉴别困难。
本研究仅报道1例NUT癌患者,存在一定局限性,尚需较多样本病例及临床随访研究。
所有作者均声明本研究不存在利益冲突





















