
患者,女性,48岁,因进入菜市场下水道进行疏通工作,于入院前80 min被人发现神志不清。
入院时处于濒死状态,深昏迷,点头样呼吸,大量粉红色泡沫痰,满肺湿性啰音,考虑急性沼气中毒、呼吸衰竭。
心肺复苏术后,经ECMO治疗及器官功能支持治疗,患者神志转清楚,氧合循环稳定,但反复高热,后期出现癫痫、脑部占位,积极完善病原学检查,但迅速出现脑疝,紧急手术减压治疗,明确诊断棘阿米巴脑炎。
抗感染治疗。
患者死亡。
感染科;神经内科;神经外科
版权归中华医学会所有。本文为遵循CC-BY-NC-ND协议的开放获取文章。
阿米巴原虫可分为自由生活的阿米巴和溶组织阿米巴。溶组织阿米巴引起的脑脓肿早已为人们所熟知,但某些自由生活的阿米巴可具有寄生性并引起致死性脑膜脑炎,是近年来才被认识的一种疾病,其发病率低,病死率高,往往首发症状即为脑组织受损的症状,感染过程与其他常见疾病的表现相似,故缺乏有效的诊断和治疗[1,2]。常常是死亡后尸检才能明确诊断。现将我院1例经高通量测序技术(next-generation sequencing technology,NGS)在患者生前明确诊断的棘阿米巴引起的中枢神经系统感染报告如下。
患者,女,48岁,以"被发现神志不清80 min"为代诉于2021年2月27日16:41急诊入院。患者缘于入院前60 min进入菜市场下水道进行疏通工作,入院前80 min被人发现神志不清,入院前20min救出。既往史无特殊。
入院查体:体温36℃,心率50次/min,呼吸10次/min,血压102/53 mmHg(1 mmHg=0.133 kPa),血氧饱和度(SPO2):50%。神志不清,格拉斯哥昏迷评分(GCS)评分3分,点头样呼吸,全身散发浓烈的臭味,全身皮肤湿冷,紫绀,双瞳孔等大等圆,直径约4.0 mm,对光反射消失。口咽通气管持续有粉红色泡沫痰冒出,闻及满肺湿性啰音。腹胀,肠鸣音1次/min。四肢肌张力正常,肌力无法检查,双侧巴氏征阴性。
严重代谢性酸中毒[pH:7.046,乳酸(LAC):8.3mmol/L],氧合指数64.8 mmHg,凝血功能延长:凝血酶原时间(PT)13.2 s;活化部分促凝血酶原激酶时间(APTT) 80.3 s;D-二聚体5 920 ng/ml (↑);血常规:白细胞1.0×109/L;高敏肌钙蛋白定量1.1 ng/ml (↑);肝肾功能:天冬氨酸转氨酶(AST) 321.9 U/L (↑),丙氨酸转氨酶(ALT) 108.2 U/L (↑),尿素氮6.8 mmol/L;肌酐124.4 μmol/L。
(1)急性沼气中毒;(2)重度ARDS ;(3)心搏停止复苏成功;(4)缺氧性脑病;(5)吸入性肺炎;(6)严重代谢性酸中毒;(7)低钾血症。
患者入科后随即出现心脏骤停,立即给予持续胸外心脏按压,气管插管,呼吸机控制呼吸,药物复苏,经抢救2 min后心脏复跳,心率达120次/min。气管插管处持续吸出大量粉红色泡沫痰,血氧饱和度低,降至50%(吸纯氧下),立即行V-V ECMO联合连续性肾脏替代治疗(CRRT)治疗,主动脉内球囊反搏(IABP)机械辅助循环,同步超级肺保护通气、激素应用、脑保护等治疗,选用美罗培南、利奈唑胺抗感染。入院第4天复查胸片提示肺部渗出明显吸收,氧合改善,循环稳定,氧合指数达400 mmHg,ECMO及CRRT顺利撤离,第5天撤除IABP。
入院后反复高热,体温最高达39℃,多次痰培养及痰NGS见多重耐药的鲍曼不动杆菌,先后给予美罗培南、利奈唑胺、万古霉素、头孢哌酮舒巴坦、替加环素、甲硝唑、伏立康抗感染治疗,C反应蛋白及体温逐渐下降,入院第12天神志转清楚,遵嘱动作,安静配合。
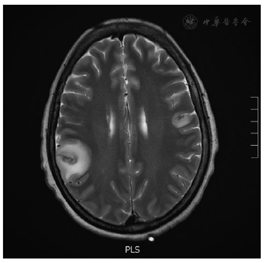
入院第13天复查CT提示右肺多发结节伴上叶空洞影(新发),考虑革兰阳性球菌或真菌感染,予联合抗感染治疗(利奈唑胺+头孢他啶+卡泊芬净+伏立康唑+甲硝唑)。入院第15天出现右侧嘴角抽动,双眼上翻,癫痫发作,复查头颅CT提示右侧颞顶叶低密度影,完善头颅MRI见(右额颞顶叶、双侧枕叶、左额叶大脑皮质肿胀,见多发斑片状T1W1灰,T2W1灰低,Flair像周围见T1W1低,T2W1高信号影环绕,增强扫描见不均匀强化,图1),考虑血源性脑脓肿,继续同上抗感染治疗,加用丙戊酸钠、左乙拉西坦抗癫痫,于入院第16、17天行腰穿检查,脑脊液压力均为150 mmH2O(1 mmH2O=0.009 8 kPa),脑脊液常规(外观无色透明,白细胞总数11×106/L,淋巴细胞15%,单核细胞17%,嗜中性粒细胞68%,脑脊液总蛋白1.6 g/L,葡萄糖4.3 mmol/L,氯122.2 mmol/L)未见特异性改变,患者仍反复高热,入院第17天行纤维支气管镜检查,双肺见大量黄色脓痰,加用多黏菌素B抗感染,再次送肺泡灌洗液及脑脊液NGS检查。


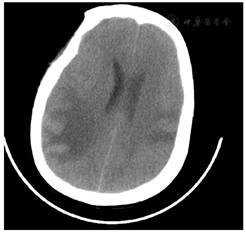
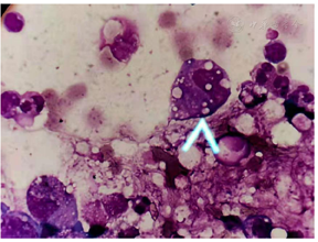
入院第18天,患者突发意识改变,呈深昏迷状态,双侧瞳孔散大固定,直径6.0 mm,对光消失,立即行头颅CT示双侧大脑半球多发低密度影,较前明显,部分为新发(图2),立即行"双侧去骨瓣颞肌下减压术+右侧Ommaya囊植入术+右顶叶脑脓肿穿刺引流术",术中见脑压高,脑搏动消失,抽出脓液及炎性破碎脑组织约25 ml。入院第19天脓液涂片报告见阿米巴滋养体(图3),脑脊液NGS回报检出棘阿米巴、卡伯德森棘阿米巴(图4),继续甲硝唑抗感染治疗。入院第24天送检脑组织病理回报:脑组织大量炎性细胞浸润,脓肿形成,脓肿内见大量阿米巴包囊及滋养体(图5)。








虽经积极抢救治疗,患者于入院第23天死亡。
棘阿米巴是自生生活阿米巴,广泛分布于环境中[3]。临床以棘阿米巴角膜炎最为常见[4],也可引起肉芽肿性阿米巴脑炎(granulomatous amoebic encephalitis,GAE),常见于晚期HIV感染、器官移植或慢性衰弱疾病等免疫系统受损人群[5],亦可见于免疫系统正常人群[6]。GAE是一种罕见致死性疾病。GAE的病死率为97%~98%[7]。自1990-2020年以来,Pubmed累计报道了75例棘阿米巴引起的GAE。大多数患者都来自美国,亦有来自世界各地[3]。
棘阿米巴属以两种不同的形式存在:滋养体和休眠的包囊阶段,这均具有传染性[8]。其感染主要由于接触污染有病原体的水或空气。经鼻腔导致感染,滋养体通过毛细血管内皮细胞迁移到中枢神经系统[9]。破损的皮肤、黏膜都有可能是感染的部位[10]。GAE的发病机制不清,可能的机制包括:Toll样受体的表达、免疫反应机制、金属蛋白酶活性、脑源性神经营养因子、神经营养因子4表达和活性的变化[11]。GAE通常是慢性或亚急性起病,在症状出现后8 d至几个月内,大脑会出现局灶性坏死导致死亡[12]。临床症状无特异性。脑脊液检查及影像学表现无特异性,MRI成像显示大脑内的单灶或多灶环形强化病变,伴有脑水肿[13]。病理特点为分散的局部坏死性囊性占位性病变,囊肿内含棘阿米巴滋养体,周围具有肉芽肿反应,囊肿具有特征性的皱折的双层囊壁。
本病例患者系下水道吸入沼气等有毒气体及误吸污染的水源,被发现时趴伏在下水道中,污染的水源可能由鼻腔进入引起感染,患者入院前期处于昏迷阶段,无法描述症状,此阶段阿米巴包囊繁殖发育为滋养体,经过一定的潜伏期,于病程第15天以癫痫为首发症状,磁共振检查见多发性异常病灶,积极完善脑脊液检查,压力均不高,脑脊液检查未见特异性改变,积极送检肺泡灌洗液、血液、脑脊液NGS检查,积极的各种抗生素治疗,广覆盖,但患者病程进展迅速,出现临床症状及影像学改变至脑疝仅3 d时间,虽经积极外科干预,但结局无法逆转,于病程第23天死亡。该患者病程短,起病急,进展快,早期脑脊液涂片及培养均未检出致病菌,抗生素治疗效果不佳等不支持细菌性脑膜脑炎。结合患者脑脊液NGS报告、脓液涂片和脑组织病理证实为棘阿米巴感染,GAE诊断明确。该患者入院时病情已危重,出现心跳停止,抢救及时,加上强有力的器官支持(V-V ECMO+CRRT+IABP),意识一度恢复正常,才有后期的棘阿米巴检出,临床中下水道误吸者或溺水患者,严重者如该患者丈夫,当场死亡,或也有阿米巴寄生虫吸入可能,但无从留取标本及进一步诊断治疗,无法诊断,或者亦出现脑部症状病因不明,应及时送检脑脊液NGS,以指导临床治疗,同时起始治疗要广覆盖可能的细菌、病毒、寄生虫。
当其他疾病如脑血管疾病、肿瘤等更为普遍时,伴有高病死率的GAE的诊断应更为积极。当诊断上遇到困难,应该想尽一切办法取得病原学技术诊断,尤其是积极应用最新的分子生物学诊断技术,同时结合传统的细菌学和病理学技术。临床医生需要对这些诊断学技术有更深刻的理解。
所有作者均声明本研究不存在利益冲突





















