
老年男性,因"进行性呼吸困难1+年,加重半年"就诊,1+年前于外院诊断为"支气管哮喘",长期使用信必可维持治疗,近半年控制不佳。既往高血压病史,偶吸烟,否认过敏史、粉尘接触史,否认其他慢性病史及遗传病史。
主要表现为呼吸困难伴干咳,夜间及气候变化时出现,近半年吸入信必可后症状无缓解,查体未见明显阳性体征。
结合患者临床症状及辅助检查结果,诊断为支气管哮喘急性发作期伴肺部感染,并与心源性哮喘、慢性阻塞性肺病等相鉴别。
采用短程加强治疗的方式逐级调整当前的哮喘治疗方案,后应用多维评估来识别哮喘控制不佳的潜在因素,进而实施积极有效的临床干预。
通过明确诊断、综合管理共病及危险因素等治疗,该患者的哮喘症状和肺功能得到改善,实现了哮喘个体化最佳控制。
呼吸与危重症医学科
版权归中华医学会所有。本文为遵循CC-BY-NC-ND协议的开放获取文章。
支气管哮喘(简称哮喘)是一种以可逆性气流受限为特征的异质性疾病,临床主要表现为咳嗽、喘息、胸闷、呼吸困难等,目前哮喘的一线治疗包括糖皮质激素和支气管扩张剂[1,2],近年来出现的生物靶向治疗、支气管热成形术等也逐步成为哮喘的替代疗法。然而,即使接受了标准治疗(糖皮质激素或增加第二种控制性药物),部分哮喘患者仍未达到临床控制,我们称为难治性哮喘[1]。据2015年全球疾病负担研究统计,全球哮喘患者人数达3.58亿[3],持续的哮喘症状、反复的病情恶化在影响患者日常生活及工作的同时,也给医疗和社会造成了巨大负担,其中约60%的医疗成本支出用于难治性哮喘[4]。我们报道了一例激素依赖且存在共病的难治性哮喘,旨在通过多维评估对哮喘进行全方位评价,识别可治疗特质(treatable traits),有助于哮喘管理和治疗决策的选择。
老年男性,因"进行性呼吸困难1+年,加重半年"入院,起病缓,病程长。1+年前于"感冒"后出现呼吸困难,多于夜间及气候变化时出现,活动后加重,休息后缓解;伴干咳,不伴咳痰、畏寒、发热、打喷嚏、流涕、皮疹、皮肤瘙痒等不适。上述症状每年发作4~5次,每次持续约5~7天。1年前于当地医院就诊,完善相关检查(具体不详)后诊断为"支气管哮喘",予信必可(160 µg/4.5 µg)2揿,2次/ d治疗后气紧缓解。半年前受凉后再次出现呼吸困难,吸入信必可后症状无明显缓解,为进一步明确诊治来诊。自患病以来,患者精神、食欲可,睡眠稍差,二便如常,体重无明显变化。既往诊断"高血压"2+年,血压最高达153/107 mmHg,平素口服倍他乐克25 mg,1次/ d降压,血压控制可;否认传染病史、过敏史、手术史。偶有吸烟,平均1支/周,未戒;否认饮酒史;长期居住于四川省成都市,否认冶游史、毒品接触史及工业毒物、粉尘、放射性物质接触史。适龄婚配,配偶体健;父母已故,原因不详;否认遗传病史。
T 36.5℃,P 66次/分,R 19次/分,BP 105/54 mmHg;神志清楚,无病容,皮肤巩膜无黄染,全身浅表淋巴结未见肿大;心界正常,心律齐,各瓣膜区未闻及杂音;双肺呼吸音清,未闻及干湿啰音及胸膜摩擦音。全腹柔软,无压痛、反跳痛,腹部未触及包块,肝脾肋下未触及,双肾未触及。双下肢无水肿。
WBC 10.81×109/L,N 84.3%,余未见明显异常。
初步诊断:1.支气管哮喘(急性发作期);2.肺部感染;3.双侧胸腔积液(少量);4.高血压2级中危。
鉴别诊断:
1.心源性哮喘:多见于有冠心病、高血压等病史的中老年人,主要表现为夜间气促伴咳粉红色泡沫样痰,双肺可闻及散在湿啰音,抗心衰治疗有效[5],支气管舒张试验阴性。
2.慢性阻塞性肺疾病(COPD):多见于长期吸烟的中老年男性,临床症状为慢性咳嗽、咳痰伴呼吸困难,肺功能提示持续性气流受限即吸入支气管扩张剂后持续FEV1/FVC < 0.70,支气管舒张试验阴性[6]。
3.变应性支气管肺曲霉病(ABPA):一种定植于哮喘或囊性纤维化患者的肺部真菌感染[7],可出现肺功能进行性恶化,血清总IgE水平≥1000 ng/ml及曲霉菌特异性IgE和IgG抗体升高[8],本例血清IgE水平未达到诊断标准。
第一步:调整治疗方案
入院后根据患者当前症状进行了治疗方案调整,具体诊治流程见图3。开始予以信必可联合孟鲁司特抗哮喘治疗,同时加用舒普深3 g,1次/12 h积极抗感染,治疗2周后患者气紧无明显缓解,故在原治疗方案基础上加用噻托溴铵,2周后患者仍诉气紧,哮喘控制问卷ACT评分为14分(控制很差),根据GINA指南推荐的阶梯式治疗策略[1]再次调整方案为信必可联合强的松口服治疗,4周后患者自觉呼吸困难较前缓解,这说明我们的治疗方案的调整是有效的。


第二步:评估"难治性哮喘"
患者的哮喘已达到临床控制,当我们尝试逐步减少激素用量时,其哮喘症状再次恶化,主要表现为停用口服激素后气紧持续不缓解,这时我们考虑该患者可能发生了"激素依赖性哮喘"[9],需要重新评估其哮喘性质以确定是否为"难治性哮喘"。对患者进行充分评估后发现,其既往的吸烟史及长期口服降压药物倍他乐克存在影响哮喘治疗效果的风险[10,11,12],我们针对这些因素采取了一些优化管理措施,如建议患者戒烟、停用倍他乐克,同时加强哮喘教育等。
第三步:评估"重症哮喘"
3个月后再次评估时,患者的哮喘症状依旧不容乐观,这种经最优化治疗仍未控制的哮喘,应考虑诊断为"重症哮喘",我们完善相关检查结果提示这是一例T2型炎症介导的重症哮喘。
第四步:多维评估,管理共病
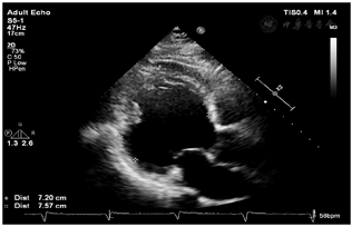
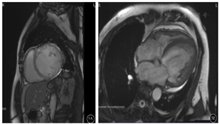
在考虑使用靶向生物制剂之前,我们决定再次对该患者进行多维评估,特别是共病的筛查。完善心肌标志物、心脏彩超、MRI心脏功能(图4,图5)增强扫描并请心内科专家阅片及评估后考虑诊断"扩张型心肌病、心功能Ⅲ级",予以双腔ICD置入术,同时行强心、利尿、抑制心室重构等对症治疗,哮喘方面我们也成功将激素减量至信必可80 µg/4.5 µg 1揿,2次/ d单药吸入治疗。




治疗3个月后患者自觉呼吸困难症状较前明显缓解,日常生活质量得到提高,修正诊断:1.支气管哮喘(急性发作期);2.扩张型心肌病心功能Ⅲ级;3.肺部感染;4.双侧胸腔积液(少量);5.高血压2级中危。复查心肌标志物:肌钙蛋白-T 15.8 ng/L,肌酸激酶同工酶MB质量2.37 ng/ml,肌红蛋白43.17 ng/ml,尿钠素562 pg/ml,复测肺功能提示"FEV1/FVC 85.3%",在使用信必可80 µg/4.5 µg低剂量维持治疗的情况下未再出现哮喘急性发作,ACT评分为24分,达到临床满意控制。
本例患者的诊断经历了由一般哮喘转为难治性哮喘的过程,在初始治疗阶段,我们根据2021版GINA指南推荐[1],结合患者的哮喘症状及肺功能结果对患者的哮喘治疗方案进行了连续调整,结果显示,患者在大剂量ICS-LABA联合小剂量OCS治疗下哮喘症状依旧控制不佳,临床诊断考虑难治性哮喘。为进一步分析哮喘"难治"原因,我们决定对该患者的哮喘病情进行多维度评估,最终我们发现该患者同时合并有扩张型心肌病伴心功能不全,经心内科专科治疗后,患者气紧明显缓解,我们的哮喘治疗方案也调整至ICS最低维持剂量,长期随访结果显示,该患者在积极管理可治疗特质后哮喘症状得到良好控制。
中国成人哮喘的总患病率为4.2%[13],其中39.4%的哮喘患者未得到临床控制,而大多数哮喘控制不佳的原因归结于哮喘认识不足[14],故对未控制哮喘的多维评估显得尤为重要。Valério MP[15]等人在一例常规门诊随访的哮喘患者连续出现咳嗽、呼吸困难等恶化症状时,完善胸部CT及纤支镜检查提示气管脂肪瘤伴管腔部分阻塞,切除肿瘤后患者的哮喘症状表现出显著的临床改善。本案例中,当发现该患者的哮喘对标准治疗反应不佳时,我们再次回顾患者病史,并结合辅助检查结果,从哮喘的诊断、用药情况、危险因素、共病、表型、激素治疗反应性等多个方面进行评估[16],分析哮喘控制不佳的具体原因,进一步优化诊疗策略如抗感染、戒烟、停用影响哮喘病情药物、管理共病等等。在对难治性哮喘的"可治疗特质"[17]进行积极干预后,该患者的哮喘症状达到临床控制。该病例中,扩张型心肌病模拟了哮喘的常见症状即呼吸困难,导致疾病诊断和评估混乱、临床控制不力[18,19],这提示我们进行哮喘管理时要注意识别和判断常见的共存疾病,有效评估和管理共病,必要时邀请共病相关领域的临床专家实施专科干预[18],改善哮喘临床控制,减轻疾病的总体负担。[20]
哮喘的治疗目标在于实现哮喘症状的良好控制,维持正常的活动水平,同时减少肺功能恶化及未来哮喘急性发作风险[21]。本案例根据2021版GINA指南建议[1],以抗炎为基础,综合考虑气道炎症表型、药物安全性、费用负担及个体特点等,对哮喘患者实施阶梯式治疗方案。鉴于该患者合并呼吸道感染,哮喘急性发作的风险较高,在升级治疗时我们采用了短程加强治疗的方式并进行定期监测与疗效评估[1,21]。当使用低至中等剂量ICS-LABA联合第二种控制剂仍无法控制哮喘时,我们根据第5步治疗推荐使用了小剂量口服糖皮质激素,并对该患者进行了系统全面的多维度评估。本病例在综合管理危险因素及共病后,维持哮喘的良好控制的同时肺功能也趋于稳定,这时我们考虑到降级治疗,在密切监测临床症状及肺功能的情况下逐步减少哮喘药物剂量及类别,最终实现最低剂量ICS的维持治疗[21]。
难治性哮喘患者的临床病情复杂,涉及肺/气道、肺外共病及行为特征等多个领域,大多数患者存在哮喘控制不良的可治疗特质[16],如果不能积极识别和干预,可能会导致更差的临床结局。本病例从临床实际出发,结合哮喘患者自身特点,对难治性哮喘实施了多维评估,明确哮喘症状的触发因素和治疗障碍,同时遵循国际哮喘指南推荐的最佳证据,进行诊疗策略的优化与调整,实现了哮喘的良好控制,对于症状控制不佳的哮喘患者的诊疗评估具有重要的借鉴意义,值得我们共同学习。
所有作者均声明本研究不存在利益冲突























