
患者,男,65岁,因阵发性房扑、房颤长期(32个月)服用胺碘酮,2020年3月复查甲功提示甲亢后停用胺碘酮,予以甲巯咪唑治疗,2020年8月复查甲功时发现甲减后予左甲状腺素(L-T4)治疗,现仍规律服用L-T4。
双侧甲状腺I°肿大,质软,无压痛,未闻及血管杂音。
复查甲状腺检测指标,彩超,甲状腺细针穿刺活检。
射频消融术、左前降支(LAD)、左回旋支(LCX)介入术治疗心脏相关疾病,长期予胺碘酮治疗房颤、房扑;发现甲亢后,停用胺碘酮,予甲巯咪唑抗甲亢治疗,甲功恢复后,停用甲巯咪唑;继续复查甲功指标,发现甲减后,予L-T4治疗。
目前患者病情稳定,定期复诊于我院心血管内科和内分泌科门诊。
临床药学科;内分泌科;心血管内科
版权归中华医学会所有。本文为遵循CC-BY-NC-ND协议的开放获取文章。
胺碘酮是临床上最常用的疗效较好的抗心律失常药物之一,由于其高碘含量,长半衰期,因此,长期服用胺碘酮或多或少会对甲状腺功能有一定的影响,即便是停用多日,其不良效应仍弥留多日。当然,其最常见的影响便是造成甲状腺功能减退或甲状腺功能亢进症。因此,临床上,常需定期监测患者的甲状腺功能情况,以尽可能避免相关不良反应所带来的危害。对于胺碘酮诱发的甲状腺功能减退(AIH)的诊断及处理方法与其它原因所致的甲状腺功能减退症相同。但是,关于胺碘酮诱发的甲状腺功能亢进症(AIT)则分为三种类型,而对不同亚型的AIT该如何鉴别诊断及治疗则具有挑战性。因此,本文将借下文案例作为铺垫对胺碘酮所致的AIT展开论述。再者,目前关于胺碘酮所致的甲亢后再发甲减的临床实例分析相当少,临床上合理的诊治仍不明确,本文也对现有的相关指南文献进行总结分析,以促进临床的合理诊疗。
患者,男,65岁,10余天前因"心悸"于广州市红十字会医院心内科住院期间行彩超发现甲状腺双侧叶多发结节,现患者为进一步明确甲状腺结节性质,于2020年8月25日收入我院内分泌科进一步诊治。
患者于3年前爬楼过程中突发心悸,伴双下肢乏力,发作持续时间约2分钟后可自行缓解,遂来我院门诊就诊,心电图检查示:心房扑动,2:1传导,在我院住院诊断为"心律失常:阵发性房扑",于2017年7月10日行心内电生理检查及射频消融术。出院后遵医嘱服用"比索洛尔缓释片"及"氯吡格雷"治疗。2017年8月患者在家看电视时再次出现心悸症状,程度较前两次减轻,性质同前,呈持续性,医师遂给予"可达龙注射液"复律,之后规律予每日一次200mg胺碘酮片治疗。2019年11月,患者房颤、房扑,使用药物控制欠佳,多次发作,发作时症状明显,遂行房颤导管射频消融术(环肺静脉电隔离术+三尖瓣峡部线性消融) +冠状动脉球囊扩张+冠脉内药物洗脱+LAD、LCX各植入指支架一枚。2020年1月,患者再发阵发性房扑伴快速心室率,医师遂调整胺碘酮用法用量:每日200 mg,2次/d。同年3月24日患者就诊于心内科门诊,复查甲功后提示甲亢遂停用胺碘酮,并予以10mg bid甲巯咪唑治疗,后医师根据患者甲功恢复情况将甲巯咪唑调整为15mg 1次/d,再降为5mg,1次/d,之后停用甲巯咪唑。8月4日患者游离甲状腺素11.02 pmol/L↓,超敏促甲状腺激素16.84↑,考虑甲状腺功能减退症,已给予L-T4对症治疗。8月12日患者甲状腺彩超检查示:甲状腺双侧叶多发结节,后于8月25日收入院,结合相关检验检查,诊断为原发性甲状腺功能减退症。
患者既往有"糖尿病和高血压"病史2年余,目前规律服用药物治疗,血糖、血压控制可;否认传染病史、过敏史及家族史。
体格检查:T 36.3℃,P 70次/min,R 16次/min,BP 110/79mmHg。颈软,气管居中,颈动脉正常搏动,颈静脉无充盈无怒张,肝颈静脉回流征(-),双侧甲状腺I°肿大,质软,无压痛,未闻及血管杂音。其余无特殊。
2020年8月12日彩超检查报告示(图1):甲状腺弥漫性病变;甲状腺双侧叶多发结节,考虑结节性甲状腺肿;甲状腺右侧叶较大结节,考虑滤泡肿瘤,建议细针穿刺活检(FNA);双侧甲状腺上动脉流速减低;双侧颈部未见明显肿大淋巴结。(甲状腺实质回声增粗,分布不均匀,内可见数个低回声结节,右侧叶结节大小约23mm×16mm不等,边界清,内回声欠均,较大结节周边见低回声晕;左侧叶见两个低回声结节,大小约4mm×3 mm不等,边界清,内部回声欠均匀)。


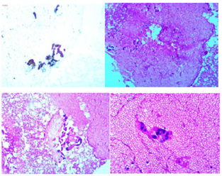
2020年8月27日甲状腺穿刺液离心包埋切片(图2):镜下见少量甲状腺滤泡上皮细胞均匀排列,细胞大小一致,境界清楚,结合免疫组化结果{TTF-1(+),CK19(-),TPO(+),Gal-3(-)},考虑为良性病变细胞。T3:1.30~3.10nmol/L;T4:66.00~181.00nmol/L;FT3:3.10~6.80pmol/L;FT4:12.00~22.00pmol/L;TSH:0.27~4.20mIU/L。甲状腺功能指标(表1)。

患者就诊于我院以来的甲状腺功能检查结果
患者就诊于我院以来的甲状腺功能检查结果
| 检测时间 | T3 | T4 | FT3 | FT4 | TSH | Anti-TG | Anti-TPO |
|---|---|---|---|---|---|---|---|
| 2017-6-2 | —— | —— | 4.15 | 13.65 | 2.74 | 14.6 | 12.31 |
| 2017-8-13 | —— | —— | 4.67 | 14.18 | 5.82 ↑ | 12.79 | 17.74 |
| 2018-1-29 | —— | —— | 3.23 | 16.72 | 7.08 ↑ | —— | —— |
| 2018-2-14 | —— | —— | 2.91 ↓ | 20.82 | 4.03 | 13.87 | 11.14 |
| 2018-6-4 | —— | —— | 3.21 | 19.12 | 8.52 ↑ | —— | —— |
| 2018-7-12 | —— | —— | 3.45 | 16.51 | 4.43 ↑ | 10.38 | 14.94 |
| 2018-10-9 | —— | —— | 3.58 | 18.58 | 5.36 ↑ | <10.00 | 5.08 |
| 2018-12-22 | —— | —— | 3.81 | 17.73 | 2.73 | —— | —— |
| 2019-4-17 | —— | —— | 4.55 | 17.72 | 8.73 ↑ | —— | —— |
| 2019-8-24 | 1.17 ↓ | 79.01 | 3.81 | 16.85 | 3.58 | —— | —— |
| 2019-10-23 | —— | —— | 4.13 | 13.18 | 7.71 ↑ | —— | —— |
| 2019-11-9 | 0.84 ↓ | 74.27 | 3.28 | 15.02 | 8.91 ↑ | —— | —— |
| 2020-3-8 | —— | —— | 11.15 ↑ | 63.13 ↑ | <0.005 ↓ | <10.00 | <5.00 |
| 2020-3-26 | —— | —— | 7.43 ↑ | 41.26 ↑ | 0.01 ↓ | <10.00 | <5.00 |
| 2020-4-2 | 1.69 | 128.20 | 7.07 ↑ | 35.69 ↑ | <0.01 ↓ | —— | —— |
| 2020-4-17 | 1.46 | 131.60 | 5.45 | 31.85 ↑ | 0.01 ↓ | —— | —— |
| 2020-5-31 | —— | —— | 2.43 ↓ | 10.53 ↓ | 0.61 | —— | —— |
| 2020-6-28 | —— | —— | 2.53 ↓ | 8.29 ↓ | 45.67 ↑ | —— | —— |
| 2020-7-30 | —— | —— | 3.26 | 11.02 ↓ | 16.84 ↑ | —— | —— |
| 2020-8-8 | 0.86 ↓ | 69.24 | 3.09 ↓ | 12.77 | 11.82 ↑ | —— | —— |
| 2020-8-26 | —— | —— | 3.35 | 17.50 | 8.38 | 12.03 | 16.98 |
| 2020-10-6 | —— | —— | 3.30 | 16.57 | 2.83 | —— | 9.4 |
| 2020-10-30 | 1.01 ↓ | 73.52 | 3.61 | 16.26 | 5.01 | <10.00 | 19.38 |
| 2020-11-25 | 1.25 ↓ | 89.46 | 3.79 | 19.36 | 1.23 | 11.83 | 17.34 |
| 2021-2-2 | —— | —— | 4.01 | 17.99 | 2.03 | —— | 12.26 |
| 2021-3-2 | —— | —— | 3.68 | 17.99 | 2.82 | —— | 11.34 |
| 2021-5-4 | —— | —— | 3.77 | 16.92 | 1.67 | —— | 12.51 |
| 2021-6-28 | —— | —— | 3.83 | 16.61 | 2.00 | —— | <5.00 |
| 2021-7-31 | —— | —— | 3.55 | 15.12 | 3.92 | —— | <5.00 |
注:T3为三碘甲状腺原氨酸;T4为甲状腺激素;FT3为游离三碘甲状腺原氨酸;FT4为游离甲状腺素;TSH为超敏促甲状腺激素;Anti-TG为抗甲状腺球蛋白抗体;Anti-TPO为抗甲状腺过氧化物酶抗体;参考值:T3:1.30~3.10nmol/L;T4:66.00~181.00nmol/L;FT3:3.10~6.80pmol/L;FT4:12.00~22.00pmol/L;TSH:0.27~4.20mU/L;Anti-TG:0.00~115.00kU/L;Anti-TPO:0.00~34.00kU/L;


诊断:右侧结节性甲状腺肿(Bethesda I类);碘甲亢;甲状腺功能减退症;Ⅱ型糖尿病;心律失常阵发性房扑阵发房颤导管射频消融术后;冠心病陈旧性前壁心肌梗死两支病变介入治疗术后;高血压病Ⅱ级很高危组。
诊断依据:患者为中老年男性,彩超发现双侧甲状腺结节,左侧大小超过1cm,低回声;查体:双侧甲状腺I°肿大,质软,无压痛,未闻及血管杂音;甲状腺细针穿刺术考虑左侧甲状腺结节为良性;患者服用胺碘酮之前甲状腺功能正常,长期服用胺碘酮后,甲功相关检验指标异常,TSH降低,FT3、FT4升高;患者反复心悸3年,既往有"冠心病、高血压、糖尿病"病史,曾在我院行"射频消融术、LAD、D1及LCX介入治疗术";入科心电图:窦性心律;电轴左偏;陈旧广泛前壁心肌梗死;ST-T改变。
2017年8月开始使用胺碘酮,9月开始规律使用胺碘酮200mg,1次/d;2020年1月患者再发阵发性房扑伴快速心室率,医师遂调整胺碘酮用法用量,住院期间用胺碘酮针1200mg,微泵,后服用胺碘酮片200mg,bid*9天,而后患者病情稳定,遂改回胺碘酮200mg,1次/d;同年3月诊断为药源性甲亢,遂停用胺碘酮,使用甲巯咪唑10mg,bid抗甲亢治疗;7月患者甲功检验指标恢复正常,遂停用甲巯咪唑;8月患者检验检查指标提示甲减,遂用L-T4 50ug,1次/d对症治疗,随后医师根据患者甲功复查结果调整L-T4的用量。
患者还长期服用以下药物出院带药:2017年7月硫酸氢氯吡格雷片75mg,1次/d,比索洛尔片2.5 mg,1次/d。8月停用比索洛尔,改用胺碘酮[再发心悸,呈持续性,2 min后可缓解];加用阿托伐他汀钙片10mg,1次/d[高甘油三酯血症],二甲双胍片0.5g,2次/d[服药后空腹血糖波动在4.9~5.6 mmol/L,餐后6.4 mmol/L左右]。12月加用厄贝沙坦片150mg,1次/d [原发性高血压Ⅱ级很高危组]。2018年10月加用雷贝拉唑钠肠溶胶囊10 mg,1次/d [患者高龄,长期使用抗凝剂,曾多次入住CCU,预防应激性黏膜病变]。2019年8月加用美托洛尔缓释片47.5 mg,1次/d [患者再发心悸,性质同前,伴轻微胸闷,呈持续性]。10月加用利伐沙班片10 mg,1次/d抗凝。2020年4月停用利伐沙班,改用华法林钠片2mg,1次/d抗凝,地高辛片0.125 mg,1次/d抗心衰15 d[患者再发心悸,休息后无缓解,入院复查心电图示房颤伴快速心室率,既往两次射频消融及心肌梗死后介入治疗病史,此次完善心超后提示EF%为25%~26%,既往于4-2心超提示EF%为44%,心功能下降明显,BNP提示上升]。2020年10月加用螺内酯[延缓心衰进程]。
2020年10月后,患者定期于心血管内科和内分泌科门诊复诊,目前病情平稳,无不适。
本文是1例典型的胺碘酮所致的AIT,后经过停用胺碘酮,予以甲巯咪唑治疗诱发的甲状腺功能减退的案例。该患者在应用胺碘酮前甲功各项指标均处于正常范围内,应用胺碘酮后立即出现TSH升高,高于正常值上限,符合短期(≤3个月)使用胺碘酮对甲状腺的影响。而后患者多次复查甲功中,TSH仍多次高于正常值上限,而T3、FT3偶发低于正常值下限。根据甲状腺功能正常的患者长期(>3个月)使用胺碘酮时,理应能够摆脱Wolff-Chalkoff效应而出现T4生成量恢复正常及表现出TSH处于正常范围,但由于胺碘酮抑制了1型碘化甲状腺原氨酸脱碘酶,减少了T4代谢清除率,而表现出T4、T3轻度增加、FT4处于正常值上限、FT3处于正常值下限。显然地,患者使用胺碘酮三年余,其甲状腺恢复能力仍不能抵抗胺碘酮对甲状腺的损害,因此,在2020-3-8的甲功复查中显示出TSH降低,FT3、FT4升高,符合甲亢的表现。虽然该患者因定期复查甲功能及时发现其为胺碘酮所致的甲亢,但可惜的是,本院医师并无采取进一步检查,而是凭借经验性抗甲亢治疗,并停用胺碘酮。在长期(4个月)的抗甲亢治疗后,患者虽出现TSH的恢复,但可惜的是,患者向甲减的趋势进展,之后医师停用甲巯咪唑后观察数日,患者仍表现出TSH升高、FT4下降,诊断为甲减,遂予L-T4治疗,现仍通过L-T4来使甲功维持于正常范围内。
现有研究表明,AIT分三大类:AIT1、AIT2和混合型AIT。其中AIT1为碘诱导的甲状腺功能亢进症,表现为结节甲状腺肿或隐匿性Graves病;AIT2则是在甲状腺正常组织受到破坏性损伤,表现为甲状腺炎症;混合型则兼具上述两者的特点。本院医师根据病因经验性判断此患者为AIT1,直接应用甲巯咪唑抗甲亢治疗,这是一般的诊疗思路,但是忽略了患者可能为混合型AIT的可能。因为,若根据患者的预后来说,显然的,患者表现为AIT2的特点,即AIT2存在自限性,患者在停用胺碘酮后甲功可迅速恢复,也有续用胺碘酮时自行缓解的情况,并且AIT1不易出现甲减的情况,而AIT2则反之。
因此,我们理应根据指南推荐,在应对AIT前结合患者潜在甲状腺功能异常情况、彩色血流多普勒超声检查、甲状腺放射性碘摄取情况、甲状腺自身抗体的有无、使用胺碘酮起始后发病时间综合鉴别患者是AIT的哪种亚型再针对性治疗。
对于AIT1首选:甲巯咪唑/丙硫氧嘧啶治疗,在甲功恢复后,再考虑行甲状腺切除术或者是放射性碘治疗。而对于AIT2,则推荐口服糖皮质激素治疗,甲功恢复后,定期随访即可。而对于混合型或不明确的AIT者,则可上述两种方法同时进行。
但对于AIT者是否需要停用胺碘酮,目前仍没有一致建议,相关证据也不足。但建议根据患者的风险分级,并结合患者个体化因素,由心血管及内分泌专科医师共同商定。但现普遍认为,对于存在威胁生命的心血管疾病的危险因素时,且胺碘酮治疗有效者,应继续使用胺碘酮。而对于心功能稳定,病情不严重时,则可撤药,并且在甲状腺功能恢复正常后可根据心功能情况再次给予。在AIT2者中,因其甲亢存在自限性,则不要求停用胺碘酮。但在AIT1或分型不明者中,内分泌医生更倾向于撤药。总之,是否继续使用胺碘酮,则需要结合胺碘酮对处理威胁生命的心律失常时所带来的益处及长期应用胺碘酮所引起的甲状腺激素分泌过多而致的不良反应的结果来权衡利弊。
所有作者均声明本研究不存在利益冲突





















