
患者,女性,23岁,右下肢无力、跛行、无法踮脚尖伴右小腿变细1年。无腰痛、无下肢麻木和放射痛,活动时小腿腓肠肌部位有酸胀感。
右下肢肌力减退,Ⅳ-级、右小腿肌肉萎缩,周径较左侧小5cm,双侧下腹部及下肢感觉正常,直腿抬高试验阴性,双下肢腱反射正常,病理征阴性,腰部无压痛和叩痛,背部叩击T12-L1部位,会向下牵涉、诱发小腿平时同样的酸胀感。
MRI显示T12/L1椎间盘明显突出,T12-L1椎体后缘增生后凸,压迫硬脊膜囊;右侧小腿后侧肌群水肿改变。肌电图提示神经源性损伤。行肌肉活检提示腓肠肌萎缩。在排除肌源性肌肉萎缩的基础上,根据MRI表现,叩击T12-L1部位,可牵涉下肢诱发小腿平时同样的酸胀不适。
行T12/L1右侧椎板减压、髓核摘除、椎体后缘切除、椎板回植术,术后支具保护6周。
患者术后肌力逐渐恢复,术后3年右下肢肌力V级,腓肠肌恢复,右小腿周径和左侧无明显差异
骨科;神经内科;风湿科
版权归中华医学会所有。本文为遵循CC-BY-NC-ND协议的开放获取文章。
胸腰段椎间盘突出症(Thoracolumbar disc herniation, TLDH)是下胸段(T10)至上腰段(L2)的椎间盘突出,可压迫脊髓腰膨大、圆锥或高位马尾神经引发一系列临床表现[1],导致运动或感觉异常、甚至出现膀胱或括约肌功能障碍,症状体征复杂多变,缺乏特异性[2,3],同时,由于其发生率相对较低,容易导致误诊或漏诊。本文中报道1例以单侧下肢单纯腓肠肌萎缩为唯一表现的胸腰段椎间盘突出症,旨在提高对本病的认识,减少误诊和漏诊。
患者,女性,23岁,因跛行1年余于2016年4月7日入复旦大学附属中山医院门诊。1年前患者无明显诱因下出现跛行、右侧小腿无力、无法踮脚尖,外院营养神经等药物治疗无效,萎缩和无力症状逐步加重。患者既往体健,无下肢疼痛及感觉异常、腰背痛、发热等病史。查体:右小腿后群肌肉萎缩,小腿最粗周径较左侧小5cm。患肢腱反射及病理征无异常。叩击背部T12-L1水平可向下牵涉、诱发右下肢平时同样的酸胀不适,反复多次重复,均能诱发。
患者不明原因的右小腿腓肠肌缓慢进行性萎缩,保守治疗无效,右足无法踮脚尖,MRI/CT显示T12-L1椎间盘突出、椎体后缘增生后凸、椎管狭窄,但没有下肢感觉减退、放射痛和间歇性跛行。小腿MRI显示双侧腓肠肌水肿改变,右侧明显肌肉萎缩,血清学和肌肉活检未证实肌源性肌萎缩。患者肌无力和肌萎缩症状逐步加重,后续多次体检,反复叩击T12-L1部位,可以稳定诱发向下牵涉到右小腿出现平时同样的酸胀不适,左侧则不会出现,确定小腿肌肉萎与T12-L1水平的椎间盘突出和骨赘压迫有关。
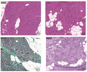
患者于2016年4月于复旦大学附属中山医院骨科门诊首诊,行下肢X线、CT检查,提示:有T12-L1椎间盘突出,T12-L1后缘增生伴后凸,右侧小腿单纯肌肉萎缩,予神经营养药物治疗,随访观察。2016年7月骨科门诊复查,症状无改善,双下肢MRI检查,提示右小腿内后侧肌群水肿改变,炎性病变可能大。风湿科会诊查风湿抗体谱,除抗SSA抗体为阳性外其余均阴性。4个月后于骨科复诊完善腰椎MRI,提示T12-L1椎间盘突出(压迫硬脊膜囊)(图1A、B)。2016年9月入院复查风湿科全套检查及小腿MRI,提示:双侧腓肠肌及比目鱼肌病变伴右侧小腿肌肉萎缩(免疫性病变可能,建议局部穿刺活检);表现:右侧腓肠肌及比目鱼肌内T2WI高信号小斑片较前减少,左侧较前增多(2016年7月15日)。心电图、胸片、血常规、出凝血、肝肾功能均无殊。肌酸激酶281 U/L,肌酸激酶MM亚型259 U/L,乳酸脱氢酶299 U/L,尿素11 mmol/L。


2016年9月20日2次入院完善肌肉活检,病理提示:(右小腿、腓肠肌、比目鱼肌)横纹肌萎缩,部分细胞核增多,增大内移,少量横纹肌变性,纤维化及脂肪变性(图2)。免疫组化染色提示:仅个别T淋巴细胞浸润。CD3少量+,CD20-,CD8个别+,CD4个别+,CD56少量+,Perforin+,GranB-,TIA-1淋巴细胞+,Des+,CD38+,MPO-,CD15-,CD68组织细胞+。特染:PTAH+,PAS-。后患者未继续就诊,定期随访。


2018年1月4日患者自觉症状加重,神经内科复诊行肌电图检查,提示双下肢慢性神经源性损害,右下肢为重,累及L4-S1节段,左下肢仅S1节段,脊髓前角细胞性或其前根性损害需考虑。目前暂无明显肌源性损害之肌电改变。较前次检查自发电位有显著减少。本次酸性磷酸酶为3.4 U/L。2018年3月19日因患者症状进一步加重,行腰椎平扫MRI,提示T12-L1椎间盘突出伴椎管狭窄,L4/5轻度膨隆,较2016年7月9日稍进展。
胸腰段椎间盘突出症、神经源性肌萎缩(脊髓前角前根压迫)。
患者为青年女性,因"右侧下肢无力、小腿肌肉萎缩1年"入院就诊。患者无明显诱因下出现跛行、右侧小腿无力、踮足困难,右侧小腿腓肠肌萎缩,足跖屈无力。否认下肢疼痛及感觉异常、腰背痛、发热等其他不适。既往史无特殊。查体提示右侧小腿后群肌肉萎缩,右侧下肢最粗段周径较左侧短5 cm。患肢腱反射及病理征无明显异常。叩击背部T12-L1水平可诱向下肢诱发小腿酸胀不适,与平素相同。患者腰椎MRI提示:T12-L1椎间盘突出、压迫硬脊膜囊。肌肉活检病理提示:横纹肌萎缩,横纹肌变形、纤维化、脂肪变性。肌电图提示:双下肢慢性神经源性损害,右下肢为重,累及L4-S1节段,左下肢仅S1节段,脊髓前角细胞性或其前根性损害需考虑。综合患者主诉、病史特点、查体及辅助检查结果,可诊断"胸腰段椎间盘突出症、神经源性肌萎缩(脊髓前角前根压迫)"。
(1)肌萎缩原因鉴别,需考虑肌源性肌萎缩、神经源性肌萎缩:如肌源性肌萎缩:患者肌肉萎缩、无感觉减退和疼痛,下肢MRI双侧腓肠肌肌肉水肿高信号,需要考虑肌源性肌萎缩,但血清免疫谱、肌电图和肌肉活检不支持肌源性病变,故暂不考虑多发性肌炎、风湿疾病等。(2)神经源性肌萎缩神经元受损原因鉴别,需考虑神经元病变或外部卡压:如运动神经元病:当神经元自身发生病变时,可引起运动神经元多种病理改变,引发不同的临床表现,可包括①肌萎缩侧索硬化症(ALS);②进行性肌肉萎缩;③进行性延髓麻痹;④原发性侧索硬化。运动神经元病可有上运动神经元及下运动神经元性运动障碍,常伴有渐进性病程。本例中患者存在椎间盘突出卡压,继而引起了右下肢小腿萎缩的症状。卡压在先,萎缩在后。此外体格检查时背部叩击T12-L1可向下肢诱发小腿酸胀不适,与平素症状相同。证明为加重局部压迫后症状加重的临床表现。故本运动神经元的病变为外部卡压所致,并非神经元自身病变引起,故暂不考虑运动神经元病。
(3)外部卡压神经鉴别:①周围神经病:外周神经损害引起周围神经病,通常表现为感觉和运动受累。周围神经受损时,可出现所支配肌肉的迟缓性瘫痪,伴感觉、自主神经功能障碍及疼痛。本例中患者仅存在右下肢肌肉萎缩,无疼痛及感觉异常。故暂不考虑;②上运动神经元病变:上运动神经元损伤临床表现为痉挛、肌力减退以及各种主动运动控制和协调能力障碍。上运动神经元损伤可产生中枢性瘫痪,肌张力增加出现"折刀现象"(clasp-knife)伴腱反射亢进、浅反射减退/消失、病理征阳性且无明显肌萎缩。本例仅表现为单纯肌萎缩,与上运动神经元压迫病变不符,故暂不考虑。
患者2018年3月21日于中山医院骨科行T12-L1右侧椎板减压、髓核摘除术、T12-L1后方骨赘切除、椎板回植固定术,术后予支架固定6周,神经营养神经、功能锻炼等支持治疗。
术后下床活动术区及右髋关节略有疼痛,予以对症处理后疼痛改善,右小腿酸胀不适感减轻。术后腰椎正侧位X光片,提示:未见骨质异常,T12-L1椎间隙稍狭窄。术后1个月行胸腰椎三维重建,提示:腰椎生理曲度近变直,T12-L1椎间盘突出,L4-5椎间盘轻度膨出,较术前有所好转(图1F、G)。
术后5个月随访,患者左下肢跖屈足Ⅲ+级,下肢肌肉肌力增加,右小腿周径较术前增加。术后1年随访行胸腰椎CT:T12、L1术后表现,局部附件骨质不连、部分缺如。术后3年,患者右下肢肌力完全恢复,跖屈足V级,两侧下肢肌力无差异,跛行消失,正常步行及踮脚无障碍。右小腿周径较术前明显增加,右下肢无力、跛行及踮脚困难等临床表现完全好转。
胸腰段椎间盘突出症的发生率较低,既往文献报道有症状的胸腰段椎间盘突出患者约占所有脊柱椎间盘突出的0.15%~4%[4]。胸腰段是固定不动的胸椎至可活动的腰椎过渡区,相对于脊髓向圆锥的移行区,椎管内神经结构包括圆锥上腰髓、圆锥、马尾以及神经根。基于不同部位的神经症状表现,胸腰椎间盘突出症理论上可分为圆锥尖综合征,圆锥综合征和马尾综合征[5]。腰膨大处有大量的脊髓前角运动神经元,还有脊髓束,若在腰膨大处产生局部压迫后既可以表现为上运动神经元损害,也可以表现为较广泛的下运动神经元损害,并可伴有感觉障碍平面及括约肌功能障碍。此病例中患者以单纯单侧下肢肌肉萎缩不伴感觉异常起病,且无马尾功能受损,提示并非卡压圆锥及马尾,单一的运动功能障碍与常见椎间盘突出症有差异。因此寻找患者单纯右下肢肌萎缩病因、并识别出胸腰椎段椎间盘突出的非典型临床表现是本例的难点。在接诊时从主要症状下肢肌无力肌萎缩进行分析与判断。在查体时除关注下肢肌肉本身情况,还通过脊柱查体,发现叩击背部L1椎体水平可诱发小腿后方酸胀不适感,与平素症状相似。此体格检查阳性表现可理解为叩击处附近有神经损伤,叩击时加重压迫引起的所支配皮区的放电样麻痛不适。Tinel在1915年详细描述了轻叩神经干损伤部位引起的类似向远方放电麻痛感。Tinel征常用于诊断肘管神经卡压,当尺神经在肘管受卡压后,叩击尺神经沟,亦可在远侧出现放电样麻痛感,同时有小指外展肌和第一骨间背侧肌抽搐,Tinel征阳性通常提示局部有神经受压。在腰部检查叩击痛和下肢放射痛是腰椎间盘突出典型的根性体征,该病例患者显著症状是肌肉萎缩,但没有明显的T12-L1水平以下的感觉减退和疼痛,因此,难以确定病因。在排除神经内科疾病和肌肉本身病变基础上,反复叩击T12-L1狭窄部位,会稳定诱发部位与性质和平时相同的轻微酸胀不适,且左侧没有症状,提示局部神经受压是肌萎缩病因。脊髓机械压迫引起的临床表现可因受压部位不同有多种表现。当受压部位为脊髓前角/前根运动神经元时,可只表现为肌肉萎缩及功能障碍,而不伴随感觉异常,但一般常伴随锥体束征。在本例中患者T12-L1胸腰段椎间盘突出,可对应卡压S1+S2神经,所发出的胫神经引起腓肠肌及比目鱼肌萎缩,造成右足跖屈困难。此类案例在临床上报道较少。在颈部,脊髓性颈椎病亦可应脊髓受压引起上肢远端肌萎缩[6]。
失神经性肌肉萎缩为脊髓前角细胞病变、周围神经运动轴突或髓鞘病变等下运动神经元病所导致的肌肉体积缩小[7]。当支配肌肉的对应脊髓前角或神经受卡压或自身病变,则神经营养能力下降,所支配的表现为肌肉萎缩。肌肉萎缩在病理上表现为横纹肌营养不良,肌肉体积较正常缩小,肌纤维变细甚至消失。脊髓性肌萎缩征时病理上可见脊髓前根轴突变细,轴突外周细胞肿胀。肌电图呈神经源性损害[8]。
脊髓受压导致肌肉萎缩,干预时机可能与神经功能恢复有关。本例患者在胸腰段椎间盘突出2年后进行手术,行椎板减压、髓核摘除术,解除脊髓压迫。术后恢复良好,4个月后下肢运动功能恢复良好。在既往文献报道中,神经受压迫导致的肌肉萎缩,在脊髓受压后行松解术,随访平均(18.44±2.51)个月,术后神经功能都有较好恢复[9]。因此及时对卡压脊髓进行外科干预,可得到良好结局。此外在胸腰段椎间盘突出患者中,当髓核突出进入硬脊膜内,常可引起更严重后果。Vito等[10]汇总了3例硬脑膜内胸腰段椎间盘突出症的患者,表现为下肢无力麻木、进行性麻痹。Ueberschaer[11]报道一例胸腰段椎间盘突出引起颈椎脊髓软化症导致颅内低压。
所有作者均声明本研究不存在利益冲突





















