
患者为11岁女孩,于外院检查发现右侧下颌区囊肿及左上后牙残根,无明显不适。右下第二乳磨牙2年前曾行根管治疗,右上第一恒磨牙曾行充填治疗。
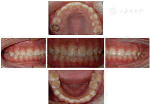
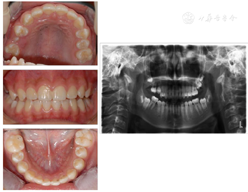
44-46颊侧牙槽骨膨隆,质地硬,无压痛,未及波动感。85大面积充填体,不松动,无肿胀瘘管。16残根,15,17未萌出。
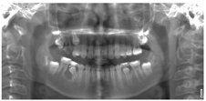
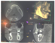
曲面断层片显示:85牙根大部分吸收,右侧下颌后牙区见大面积低密度影像,边缘清晰,包绕于45牙颈部。15阻生,牙根发育Nolla 8期,17、18牙胚存。CT检查显示:右下后牙区骨密度减低区域大小约为1.0 cm×1.2 cm×1.4 mm,颊侧骨板薄。
囊肿开窗减压术;16拔除。
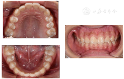
囊肿完全愈合;45和15萌出;17萌出并近中移动至16位置。
儿童口腔科;口腔颌面外科;牙体牙髓科;正畸科
版权归中华医学会所有。本文为遵循CC-BY-NC-ND协议的开放获取文章。
含牙囊肿发生于牙冠牙釉质形成之后,在缩余釉上皮与牙冠之间出现液体渗出和蓄积而形成囊肿,囊肿内可含有1个或多个牙齿的牙冠部分。阻生牙是指由于种种原因,致使牙齿部分萌出或完全不能萌出,并且以后也不能萌出的牙,本文报道了1例含牙囊肿及恒牙阻生的儿童经过保守治疗囊肿愈合且阻生齿自行萌出的病例。
患者,女性,11岁,2018年3月以"右下后牙区囊肿及右上后牙残根2月余"为主诉就诊。患者约2年前治疗口内多颗坏牙,45行根管治疗,16行充填治疗,治疗后未定期复查,16牙冠逐渐脱落,于外院拍片检查发现16残根,右下后牙区囊肿。患者既往体检,无全身病史,父母均健康,无类似病史。检查见:16残根,近远中边缘深达龈下2~3 mm,颊舌边缘位于龈上1.0~1.5 mm,大量腐质。15,17未萌出,46和44之间间隙约2 mm(图1)。曲面断层片显示:16残根,根尖区见低密度影,15阻生,牙根发育Nolla 8期,17牙根发育Nolla 7期,18牙根发育Nolla 5期(图2)。44-46颊侧牙槽骨膨隆,质地硬,无压痛,未及波动感,85远中及牙合面大面积充填体,边缘欠密合,不松动。曲面断层片显示:85牙根大部分吸收,远中根剩余约1mm,根管内见根充影像,45牙轴偏向远中,牙根发育Nolla 8期,44远中至46近中范围可见大面积低密度影,边缘清晰,包绕于45牙颈部。CBCT显示:低密度影近卵圆形,大小约为1.0 cm×1.2 cm×1.4 mm,边界清楚,颊侧骨板薄(图3)。






结合病史,经口腔专科检查及影像学检查,诊断为45含牙囊肿;16残根;15阻生。
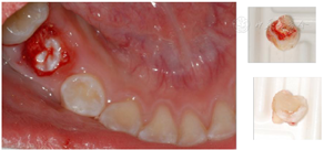
行囊肿开窗减压术:局麻下拔除85,扩大拔牙窝,生理盐水冲洗,囊腔内置入碘仿纱条1根,每周换药(图4)。共换药2个月;局麻下拔除16。


含牙囊肿是一种发育性牙源性囊肿,但部分病例与乳牙的根尖周炎有关,囊肿形成的原理为上皮在封闭环境下受到刺激后增生,囊内渗透压增高,囊内前列腺素、白细胞介素1等物质参与邻近骨质吸收,使囊肿不断扩大,造成外周骨壁压迫性吸收,形成骨腔[1]。直接手术切除囊肿手术创伤大,且会造成恒牙缺失。开窗减压术采用局部小切口,使囊腔与口腔相通,使促进囊肿向周围膨胀生长的机械压力下降,骨质吸收减轻或停止[2]。开窗后囊内压力减低,形成负电荷,能诱导成骨细胞生长,使囊腔逐渐缩小,甚至消失[3,4]。本例中,拔除了根尖病变的乳磨牙后通过2个月的换药,囊肿逐渐愈合,避免了手术的创伤和恒牙缺失后带来的后续修复治疗,简单有效,更加符合儿童治疗的理念。
第一恒磨牙严重龋坏或缺失后前移第二、三恒磨牙替代修复治疗,减少了患者缺失牙痛苦,也避免了修复带来的各种缺点。根据研究显示:在第二恒磨牙未萌出时即拔除第一恒磨牙可使第二恒磨牙在萌出过程中自动向第一恒磨牙的位置调整,这可使部分牙无需矫治或大大缩短矫治疗程[5]。本例中,阻生的恒牙为年轻恒牙,牙根发育未完成,仍有一定的自行萌出潜力[6]。在拔除16残根后,利用产生的间隙,阻生的15自行萌出,且17近中移动,与15之间的间隙基本关闭,达到了较好的临床治疗效果。后续需继续观察随访18发育及萌出情况。
所有作者声明不存在利益冲突
























