
回顾性分析2019年7月至2021年7月18例(19膝)通过内侧开放楔形胫骨高位截骨术治疗膝关节骨性关节炎的老年(年龄≥65岁)患者,其中男性4例(4膝),女性14例(15膝)。患者进行手术的年龄为65~76(68.4 ± 3.4)岁。
所有18例患者均出现膝关节疼痛,活动时加重,休息后缓解;膝关节内侧压痛,膝关节肿胀;膝关节活动受限,屈伸活动时有摩擦音;所有患者均有不同程度的膝内翻畸形。
通过患者反复劳损史、症状体征和全下肢负重正位力线片及膝关节正侧位X线片进行诊断。
入院后完善术前常规检查,排除禁忌证后行内侧开放楔形胫骨高位截骨术。
住院天数为3~22(7.2 ± 4.1)d。术后18例患者均接受了随访,随访时间为1个月至2年。术后患膝疼痛减轻;内侧胫股关节间隙变宽,下肢力线得到纠正;Lysholm评分和KSS评分显着改善(P<0.05)。1例(双膝)患者因左膝切口愈合不良于术后半年去除左胫骨TomoFix钢板内固定装置。
骨科
版权归中华医学会所有。本文为遵循CC-BY-NC-ND协议的开放获取文章。
膝关节骨性关节炎(knee osteoarthritis, KOA)特征在于膝关节软骨进行性丧失伴骨质增生[1]。1/3的KOA仅表现为单间室病变[2],其中内侧间室发生率为91.7%[3]。内侧开放楔形胫骨高位截骨术(medial open-wedge high tibial osteotomy, OWHTO)已成为治疗内侧间室KOA的成熟手术[4,5,6,7,8,9]。然而,有研究报道老年患者胫骨高位截骨术(HTO)失败率明显高于年轻患者,并认为65岁以后不宜行HTO[10,11]。但也有研究表明年龄不影响HTO的临床结果[12,13]。我们报道22例年龄≥65岁并进行OWHTO的内侧间室KOA患者,旨在研究OWHTO治疗老年内侧间室KOA的效果,并探讨年龄≥65岁是否应作为HTO的相对禁忌证。
回顾性分析2019年7月至2021年7月18例(19膝)通过内侧开放楔形胫骨高位截骨术治疗膝关节骨性关节炎的老年(年龄≥65岁)患者。患者进行手术的年龄为65~76(68.4 ± 3.4)岁。男4例(4膝),女14例(15膝)。双侧1例,左侧7例,右侧10例。所有18例患者均以"膝关节疼痛、活动受限"为主诉就诊,均出现膝关节疼痛,活动时加重,休息后缓解;膝关节内侧压痛,膝关节肿胀;膝关节活动受限,屈伸活动时有摩擦音;所有患者均有不同程度的膝内翻畸形。住院天数为3~22(7.2 ± 4.1)d。
入院后完善术前常规检查;全下肢负重正位力线片与膝关节正侧位X线片示:内侧胫股关节间隙变窄,伴有胫骨平台软骨下骨质致密及关节缘骨质增生;膝内翻畸形,18例患者的股胫角(femorotibial angle, FTA)为(187.94±1.62)°。
根据患者反复劳损史、膝关节X线片和症状体征,初步诊断为:膝关节内侧间室骨性关节炎。
鉴别诊断:①膝关节半月板损伤;②膝关节副韧带损伤;③痛风性膝关节炎;④类风湿性膝关节炎等。
排除禁忌证后行内侧开放楔形胫骨高位截骨术。从鹅足前缘向后上方做一切口,至胫骨平台的后内侧角处。分离皮下组织后,将两根克氏针打入胫骨以指示截骨方向。使用摆锯于克氏针下方进行横断面截骨,于胫骨结节近端进行冠状面截骨。插入骨凿逐渐撑开截骨面,18例(19膝)患者撑开宽度为(12.8±2.2)mm。置入TomoFix钢板并用螺钉固定。C臂机透视内固定在位牢固,冲洗后逐层闭合切口,留置引流。
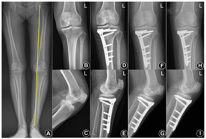
于术后第1天、术后1、3、6、12、18和24个月及此后每年进行随访。18例患者均接受了随访,随访时间为1个月至2年。于随访的X线片上测量FTA、胫骨近端内侧角(medial proximal tibial angle, MPTA)和胫骨平台后倾角(posterior slope angle, PSA),结果见表1。术后患膝疼痛减轻;内侧胫股关节间隙变宽,FTA变小,下肢力线得以纠正,典型病例见图1。

术前、术后和末次随访的影像学评估
术前、术后和末次随访的影像学评估
| 项目 | FTA (°) | MPTA (°) | PSA (°) |
|---|---|---|---|
| 术前 | 187.9 ± 1.6 | 77.3 ± 1.7 | 11.7 ± 3.0 |
| 术后1d | 176.8 ± 1.8 | 89.8 ± 1.2 | 10.2 ± 2.5 |
| 末次随访 | 177.14± 1.6 | 88.4 ± 1.4 | 10.4 ± 2.3 |
注:FTA为股胫角;MPTA为胫骨近端内侧角;PSA为胫骨平台后倾角


用Lysholm评分和KSS评分对膝关节功能进行评估。如表2所示,术后患者Lysholm评分和KSS评分显着改善(P<0.05)。

术前和末次随访时膝关节功能评分
术前和末次随访时膝关节功能评分
| 项目 | 术前 | 末次随访 | P值 |
|---|---|---|---|
| Lysholm评分 | 46.6 ± 13.8 | 77.91± 20.2 | <0.05 |
| KSS评分 | 47.8± 12.2 | 81.2± 14.3 | <0.05 |
并发症:1例(双侧OWHTO)患者因左膝切口愈合不良于术后半年去除左胫骨内固定装置。
KOA是中老年人常见的一种慢性退行性疾病,临床表现为膝关节疼痛、僵硬、畸形和活动受限,是中老年人群致残的主要原因之一,影响患者的健康和生活质量[14]。我国KOA患病率高达15%,其中40岁以上的患病率为10%~17%,60岁以上达50%,75岁以上则高达80%[15]。过度的、不均匀的软骨面应力负荷在KOA的发生发展中占重要作用[16]。膝关节分为3个间室,分别为内侧间室、外侧间室和髌股间室;其中内侧间室发生率为91.7%,髌股间室为33.9%,外侧间室为32.1%[3]。可矫正下肢力线的OWHTO已成为治疗内侧间室KOA最常用的手术之一[4,5,6,7,8,9]。
OWHTO的手术效果受到多种因素的影响,包括膝关节韧带不稳定[17]、髌股关节病[17]、运动范围受限[18]、肥胖[19]、矫正不足[20,21,22]和过度矫正[21,23]等。然而,只有少数研究调查了年龄对OWHTO的手术效果的影响[10,12,13,24,25]。有研究报道年轻患者HTO的临床结果优于老年患者[24,25],老年患者HTO失败率明显高于年轻患者,并认为65岁以后不宜行HTO[10,11]。但也有研究表明年龄不影响HTO的临床结果[12,13]。
本回顾性临床研究的结果表明,老年(年龄≥65岁)内侧间室KOA患者行OWHTO后,临床结果和影像学结果均得到改善。我们发现老年患者骨密度较低,Trieb等当时使用的内固定都是传统的非锁定钢板[10],非锁定钢板无法牢固固定骨质疏松骨,所以他们的老年患者HTO失败率明显高于年轻患者。
锁定钢板可确保截骨处的最大稳定性并可用于骨质疏松患者。在我们的研究中,我们使用了专门为截骨手术设计的TomoFix锁定钢板来固定截骨部位,此钢板还可保留骨膜的血液供应并保护鹅足。我们在本研究中也发现此锁定钢板可以提供足够的截骨稳定性,并可获得比使用非锁定钢板更好的结果。
除了OWHTO,膝关节单髁置换术(UKA)也是治疗老年内侧间室KOA患者的一种方法。OWHTO和UKA哪个更适合老年内侧间室KOA患者是一个有争议的话题。最近的一项研究显示[26],UKA与HTO相当,康复时间更短。在老年患者中,较短的康复时间是一个重要的优势。但是,UKA要求限制体力活动,以防止植入物松动或磨损。因此,我们认为OWHTO更适合在康复计划中有良好依从性的身体活跃的老年患者。
我们总结了使用TomoFix锁定钢板行OWHTO治疗老年内侧间室KOA的适应症。首先是身体活跃的老年患者,因为UKA需要限制体力活动。其次是骨质疏松不严重的老年患者,失败率低。第三是术前静息痛的老年患者,负重后疼痛明显加重,UKA和TKA不能解决静息痛问题。第四是低人工关节被遗忘指数(FJS)的老年患者,不能耐受和忘记人工关节。
本研究的主要局限性是回顾性研究。尽管存在局限性,但这项研究表明,OWHTO治疗老年内侧间室KOA可改善临床和影像学结果,因此不应将年龄≥65岁作为HTO的相对禁忌证。
所有作者均声明本研究不存在利益冲突





















