
患者3岁时曾接受唇腭裂修复术,随着年龄的增长,逐渐出现反合、牙齿不齐、面部凹陷等牙颌面畸形,无家族史及全身重大疾病史。
患者左右侧前牙缺失,上下颌牙列不齐,上牙弓狭窄,腭侧有明显的裂隙,全口牙釉质脱矿明显,前牙反深覆合,后牙跨合;上颌凹陷下颌前突;微笑时上牙列不显露;双侧颞下颌关节有明显的骨质破坏及磨损。
通过口内外和影像学检查诊断患者为骨性Ⅲ类,安氏Ⅲ类亚类错颌畸形、前牙反合,深覆合、牙列拥挤、11牙脱矿,36,46牙龋坏、轻度牙周炎。
全口直丝弓拔牙矫治,拔除25,34,44牙;面弓上颌前方牵引。
患者牙列排齐整平,无间隙,尖牙磨牙建立中性咬合良好关系,上下颌骨关系和侧面貌恢复正常。
口腔医生;正畸专科医生
版权归中华医学会所有。本文为遵循CC-BY-NC-ND协议的开放获取文章。
唇腭裂是颅颌面常见的先天畸形,通常由胚胎发育障碍导致,与环境、遗传因素密切相关,在我国新生儿发生率约为1.67‰1。唇腭裂畸形涉及面部广泛软硬组织的畸形和缺损,从而影响患者的形态、功能及心理。综合序列治疗是目前国际普遍认可和推行的治疗模式,其中正畸治疗贯穿唇腭裂患者从出生到成人的各个阶段2。我们报道1例青少年单侧完全性唇腭裂合并严重牙颌面畸形,旨在提高对于该类疾病正畸治疗方案设计的合理性,保证治疗效果。
患者,男,13岁,主诉:牙齿不齐,面部凹陷求矫。替牙后发现牙列不齐,上唇凹陷逐步加重。单侧完全性唇裂、腭裂及牙槽突裂,3岁时曾在空军军医大学口腔医院整形外科行唇腭裂修复术。否认家族史和全身疾病史,无口腔不良习惯。
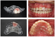
口外检查:上颌左右基本对称,人中偏左,颏部偏左;面中1/3略长,颏肌紧张,上唇欠丰满,人中短,下唇外翻;微笑时左右口角基本对称;上前牙无暴露,下前牙暴露量过多;凹面高角面型;上唇凹陷,下唇较突;颏部形态欠佳;鼻唇沟正常;颏唇沟较浅,见图1。


口内检查:恒牙列牙列式:16-13,11-21,23-27,37-47,未见12,22牙;上颌11、12间隙2 mm;上牙弓对称性差;上、下颌牙列不齐;21唇侧釉质脱矿染色严重,36、46颊面龋坏。尖牙关系:Ⅲ类;磨牙关系:右侧Ⅰ类,左侧Ⅲ类;前牙反,深覆;双侧6反覆盖,27、37跨合,见图1。
模型测量:拥挤度:上颌16 mm,下颌3 mm;牙弓宽度:U6 42.5 mm,U5 27.4 mm,U4 41.78 mm;L6 42.3 mm,L5 35.9 mm,L4 30.6 mm,覆盖:-12.6 mm,覆:6.4 mm;Spee曲线深度:2.9 mm,Bolton ratio:前牙77%,全牙列91%,见图2。


颞下颌关节检查:张口度、张口型正常,关节区域无压痛,运动未触及弹响及杂音。
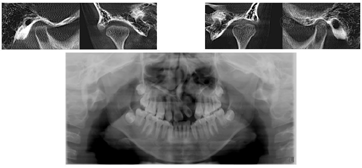
影像学检查:治疗前曲面体层片可见:18,28,38,48牙胚,牙槽突及硬腭裂隙至鼻腔。CBCT可见关节髁突在关节窝中位置基本正常,髁突关节面不圆滑有明显凹陷,但骨皮质尚连续,见图3。


头颅定位侧位片和头影测量结果显示患者主要为上颌骨矢状向发育不足,下颌骨发育基本正常,上下颌骨发育矢状向不调,上下前牙均较为舌倾,下颌角偏大,咬合平面较陡,见图4。根据以上检查结果患者的问题(表1)。



患者问题列表
患者问题列表
| 组织与方向 | 矢状向 | 垂直向 | 水平向 |
|---|---|---|---|
| 软组织 | 面中部凹陷;下唇突出 | 面中1/3较长 | 人中及颏部稍左偏 |
| 颌骨 | 上颌骨发育不足骨性Ⅲ类 | 高角 | 上下颌牙槽骨宽度基本匹配 |
| 牙列 | 单磨牙Ⅲ类;前牙反he | 前牙深覆he | 上下牙弓宽度不匹配( 7mm ) |
| 其他 | 上颌重度拥挤,下颌轻度拥挤 | ||
| 年龄 | 13岁(生长发育高峰晚期) | ||
根据检查结果诊断该患者为骨性Ⅲ类,安氏Ⅲ类亚类错颌畸形;上颌骨发育不足;前牙反合,深覆合;上牙列重度拥挤,下牙列轻度拥挤;11牙脱矿,36,46牙龋坏;轻度牙周炎。
治疗计划:
1.全口直丝弓被动自锁托槽拔牙矫治,拔除25(腭侧),34,44;
2.上颌横腭杆扩弓,同时唇展排齐上牙列,当换至粗丝时,使用面弓试行上颌前牵;
3.排齐整平下牙列后,远移尖牙,控根内收下前牙;
4.精细调整,调磨13牙替代12牙,建立14、43和左侧尖牙及双侧磨牙中性关系,择期修复22牙;
5.若前牵效果不佳,则改为外科牵张成骨前移上颌。
治疗过程:见图5


2015.02至2015.08:双侧U6粘接带环(舌侧鞘),横腭杆扩弓,同时粘接余牙托槽(除21牙),NITI推簧维持21-23间隙并开大14-16和24-27间隙,排齐整平上颌牙列;下颌粘结矫治器,排齐整平,全程前牙8字连轧,尖牙被动向后结扎;
2015.09至2017.03:上颌0.019*0.025 SS,双侧6近中Ω曲与6确切结扎,2-3间焊接短牵引钩,面弓前牵,方向前下与he平面约呈30°,单侧力值450 gm;下颌0.018*0.025SS皮链远移尖牙,双侧6近中Ω曲与6颊管相抵,待尖牙远移到位后,T型曲压低控根内收前牙;
2017.04至2017.11:上下颌0.019*0.025NITI摇椅弓调整前牙转矩,调整个别托槽位置,垂直牵引加深前牙覆he,建立稳定咬合关系,0.019*0.025 SS结束主动矫治,制作带21,22牙义齿和横腭杆的透明压膜保持器,图6。


经过正畸治疗,患者面型和咬合得到显著改善,正面上中下比例基本正常,左右对称性较好,上前牙暴露量恢复正常,侧面貌由凹面型变为微凸面型,上下唇位置关系正常,颏部形态良好,上下牙弓形态匹配,前牙覆合覆盖正常,磨牙尖牙建立中性良好咬合关系,动态咬合功能良好,TMJ检查无异常。患者治疗后面像、口内像见图7,治疗后的头影测量结果可见上下颌骨矢状向位置形态协调,上下前牙角度位置恢复正常范围,见图8。


治疗前后头影测量重叠及测量结果对比可见上颌骨发生向前向下明显生长,下颌骨发生顺时针旋转,见图9。


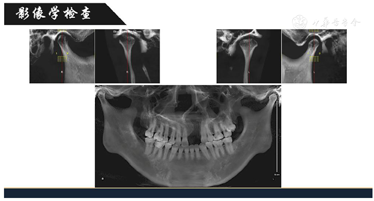
CBCT检查结果可见牙根形态、平行度良好,双侧颞下颌关节髁突及关节窝形态正常,间隙正常,见图10。


主动矫治结束32个月后复查发现患者牙列及咬合保持良好,面像口内像见图11。


唇腭裂患者常会表现出类似Ⅲ类骨性错颌畸形的临床表现,如该患者面型呈现出显著上下颌骨发育不调,但在牙弓拥挤度、前牙唇倾度、上、下颌骨三维方向主要问题以及软组织特点等方面具有自身的特点,有学者在对比唇腭裂术后患者和非唇腭裂Ⅲ类骨性错颌畸形患者在颌面软硬组织生长发育的特点后发现3,4:在牙列方面前者常见上颌重度拥挤,伴有牙弓宽度不足,上下前牙代偿不明显,侧切牙常缺失,而后者则上下前牙代偿明显,上后牙颊倾,下后牙舌倾,上牙弓宽度正常,下牙弓宽度过大,上颌尖牙常见异位萌出。在颌骨发育方面,前者主要存在上颌骨三维方向发育不足,矢状向最为明显,下颌骨发育常不足,下颌平面角相对较大等特点,而后者则多见上颌骨发育不足程度较低,下颌骨发育过度显著,下颌平面角相对较小。在软组织侧貌方面,前者侧面貌更为凹陷,上唇更为后缩,鼻唇角更锐,下唇更为突出,面下1/3高度相对正常,而后者侧面貌较为平直,上唇常见突出,下唇突出不明显,面下1/3高度过长。以上这些特点都决定了面对唇腭裂合并Ⅲ类骨性错颌畸形的患者,正畸医生要根据其特点并找到造成该类患者畸形特点的原因制定治疗方案,才能达到良好的效果。
针对形成该类患者畸形特点的原因,有研究显示非手术唇腭裂成人患者上颌骨矢状向的发育与正常人群相似,甚至上唇更为突出5,而不同唇腭裂修复手术的方式和手术时机对上颌骨的影响程度也存在差异6,7,因此可以推断这类患者上颌发育不足与唇腭裂术后瘢痕组织张力过大密切相关,因此治疗的关键就是要尽早并持久的进行前方牵引,解除上颌骨矢状方向上的生长阻碍,该患者虽然已过了生长发育高峰期,但仍获得了较为明显的上颌骨前方生长,同时为了解决上颌牙弓狭窄的问题,还需要对上颌进行扩弓,系统性综述表明使用螺旋扩弓器进行快速扩弓与使用"四眼簧"或横腭杆进行慢速扩弓在青少年唇腭裂患者扩弓治疗中无显著效果差异8,因此该患者使用了横腭杆配合弓丝解除横向上的生长阻碍,恢复其正常生长发育,最终使的上颌骨的矢状向和横向问题均得到了良好的解决。
综上所述,本病历是一个典型的青少年唇腭裂患者的正畸治疗,从诊断设计到治疗中细节的处理都遵循了相应的生长发育和生物力学理论,尤其是在治疗方案的制定中,不仅从牙,骨,软组织三维方向上的具体问题出发进行分析,并提出解决方案,还考虑了唇腭裂患者特有的生长发育特点及畸形形成的机制,真正做到了循因施治。
所有作者均声明本研究不存在利益冲突





















