
患者20年来牙齿逐渐磨耗变短,曾有酸痛,现自觉不美观,近1年戴用
垫,无明显不适,要求修复治疗。
17-47重度磨耗至牙本质深层,探无不适,叩痛(-),未及明显松动,牙龈无明显异常;上颌
垫固位稳定可,正中咬合接触均匀,前伸侧方咬合无干扰,
垫厚度双侧第二磨牙1mm,第一磨牙1.5mm,前牙3mm;双侧颞下颌关节及咀嚼肌区域无压痛,双侧颞下颌关节无弹响,开口度、开口型正常;方圆面型,面部左右对称,双侧咬肌肥厚,面下1/3比例偏低。
结合病史、口内检查、X线片诊断为上下颌牙列重度磨耗。
适当升高咬合垂直距离,功能引导路径技术获取后牙功能性咬合面形态,上下颌全牙列唇贴面/
贴面修复进行咬合重建。
患者对治疗效果满意。1年后复查修复体稳定无异常。
口腔修复科
版权归中华医学会所有。本文为遵循CC-BY-NC-ND协议的开放获取文章。
磨损是指主要由机械摩擦作用造成的牙体硬组织渐进性丧失的疾病,牙体组织生理性磨耗程度应与年龄相称,因某些因素导致全口牙磨损不均或过度磨损是一种病理状态[1],本文报道一例重度牙列磨耗患者的全口咬合重建治疗,戴
垫升高咬合垂直距离后使用全瓷唇贴面和
贴面进行微创修复,改善咬合及美观效果,并使用功能引导路径技术获取后牙功能性咬合面形态减少修复体椅旁调磨。患者对修复效果满意,治疗完成1年后修复体稳定无异常。
主诉:牙齿磨耗变短20余年
现病史:20余年来牙齿逐渐磨耗变短,近1年来戴
垫,关节肌肉无不适
17-47重度磨耗至牙本质深层,探无不适,叩痛(-),未及明显松动,牙龈无明显异常,牙髓活力正常;
41可见牙色充填体,X线片示:根充恰填,根尖周病变范围较治疗前缩小。
上颌
垫固位稳定可,正中咬合接触均匀,前伸侧方咬合无干扰,
垫厚度双侧第二磨牙1mm,第一磨牙1.5mm,前牙3mm;
双侧颞下颌关节及咀嚼肌区域无压痛,双侧颞下颌关节无弹响,开口度、开口型正常;
方圆面型,面部左右对称,双侧咬肌肥厚,面下1/3比例偏低,不戴
垫时面下距离66mm,戴
垫时68mm。




17-47重度磨耗
治疗计划:
上下颌全牙列唇贴面/
贴面咬合重建
治疗过程:
1.旧
垫修复空间不足,在其基础上再升高咬合垂直距离,面弓转移上
架

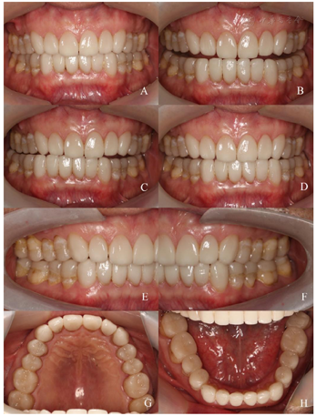
垫正面观 B 微笑像 C 上颌咬合面观 D升高咬合垂直距离 E 硅橡胶材料取咬合记录 F 模型上
架
垫正面观 B 微笑像 C 上颌咬合面观 D升高咬合垂直距离 E 硅橡胶材料取咬合记录 F 模型上
架2.后牙初预备,取印模,使用下颌运动描记仪(JMAnalyser+,zebris Medical GmbH,德国)记录下颌运动轨迹,数据导入义齿设计软件(DentalCAD 2.3 Matera,exocad GmbH,德国)设计咬合,制作上下颌树脂切削临时修复体。




3.在此基础上将下颌临时修复体的咬合面均匀降低2mm,在牙尖处保留固位柱并在咬合面铺设雕刻蜡,形成双侧诊断性
垫,戴入患者口内,运用功能引导路径技术,通过患者下颌运动,使上颌牙尖磨除雕刻蜡,在下颌诊断性
垫上雕刻出尖窝形态,获取后牙功能性咬合面形态,制作正式修复体

垫 D 戴入口内,此时咬合垂直距离较原临时修复体升高 E 通过下颌运动磨除多余雕刻蜡获取咬合面形态,回到原来的垂直距离 F 获得的功能性咬合面形态
垫 D 戴入口内,此时咬合垂直距离较原临时修复体升高 E 通过下颌运动磨除多余雕刻蜡获取咬合面形态,回到原来的垂直距离 F 获得的功能性咬合面形态4.精细牙体预备、取模,制作前牙唇贴面、后牙
贴面,完成正式修复




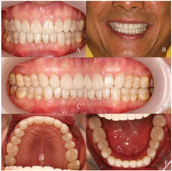
患者对修复效果满意,1年后复查,修复体及基牙稳定,患者无不适症状。




本病例中,患者全牙列重度磨耗,垂直距离丧失,但牙体组织的缺损主要位于咬合面,且患者无明显疼痛不适症状,牙周情况良好,牙髓活力正常,X线片未及明显根尖周病变及牙槽骨吸收。这种情况若使用全冠进行修复需要去除约70%的牙体硬组织,既增大了出现牙髓并发症的风险,又使基牙抗力减小,不利于修复体的长期稳定[2]。对于此类因磨耗导致咬合面硬组织缺损、牙髓活力正常,需要重建咬合面形态的患牙,使用
贴面进行修复无需过多磨除正常牙体组织,是更加适宜的治疗方案[3,4]。近年来多项研究显示
贴面修复有着较好的临床效果。Edelhoff等[5]对103颗二硅酸锂玻璃陶瓷贴面进行5.9~11.6年(平均7.9年)的前瞻性研究,结果显示其存留率达100%,Arnetzl等[6]临床随访286例长石类可切削瓷贴面,93个月后存活率可达99.3%。本病例使用
贴面重建咬合后,患者对治疗效果满意,1年后复查基牙及修复体无异常、咬合及垂直距离保持稳定,显示了良好的修复效果和稳定性。
本病例在后牙咬合面形态的设计上使用了功能引导路径技术来获取功能性咬合面形态。人体的口腔是最好的
架,牙齿面的尖、嵴、斜面、窝形态与下颌运动相协调。功能引导路径(functional generated path,FGP)技术即通过患者实际的下颌运动,在口内用对颌牙尖雕刻修复体面的个性化功能形态,运用静态材料记录动态运动,避免咬合高点和干扰。使用数字化技术在临时修复体的基础上设计诊断性
垫,在口内通过患者下颌运动获取与下颌运动相协调的咬合面形态,防止修复体出现早接触和咬合干扰,减少正式修复体的椅旁调磨。这项技术已经过双盲临床对照试验验证,使用FGP技术制作的氧化锆全冠在调改时间、调改体积、咬合接触面积等方面均优于常规制作的全冠[7]。本病例将此技术应用于多牙位的咬合重建治疗中,获得了良好的临床效果,其精确度和可靠性还需要进一步的研究进行验证。
所有作者均声明本研究不存在利益冲突





















