
患者,女性,22岁,学生,因"反复腹痛腹泻9年,左下腹流出肠液1 d"于2017年7月23日就诊我院。患者入院伴有重度营养不良和重度贫血,术前予以营养支持、控制感染等优化治疗诱导疾病缓解。治疗过程中,患者病情反复,左下腹再次出现破溃。
左下腹瘘口见肠内容流出,瘘口周围皮肤红肿,皮温升高。腹软,轻压痛,未及反跳痛,左下腹触及一个质硬包块,活动度差。
(1)肠外瘘(乙状结肠?);(2)不全性肠梗阻;(3)克罗恩病(A2L3B3,活动期,重度);(4)重度营养不良;(5)重度贫血;(6)畸胎瘤;(7)右侧甲状腺癌根治术后。
术前通过放置肠梗阻导管建立肠内营养通道,放置黎氏双套管充分引流控制感染,经积极诱导缓解治疗后,把握手术时机,行乙状结肠及直肠切除、降结肠造口、部分回肠切除、回肠狭窄成形(H-M法)、回肠双腔造口术。
术后患者出现迟发性腹腔大出血,保守治疗有效,后行腹腔血肿穿刺引流,营养支持治疗,最终先后还纳降结肠造口、小肠双腔造口,恢复肠道连续性,启动维持缓解治疗方案。
普通外科
版权归中华医学会所有。本文为遵循CC-BY-NC-ND协议的开放获取文章。
克罗恩病(Crohn’s disease,CD)是胃肠道慢性炎症性疾病,表现为活动期与缓解期交替出现,肠壁炎症多为节段性、不对称性和跨壁性,可累及全消化道,最常见部位为末端回肠及回盲部[1]。我们报道1例肠瘘及肠梗阻的克罗恩病患者,旨在提高对复杂克罗恩病的处理,避免因克罗恩病活动造成小肠破坏和丧失[2]。同时对CD术后少见并发症的鉴别诊断及治疗有更深刻了解。
患者,女性,22岁,学生,因"反复腹痛腹泻9年,左下腹流出肠液1 d"于2017年7月23日就诊我院。患者2008—2010年出现反复腹痛腹泻,偶有黏液脓血便,3~5次/d,疑似克罗恩病,予以美沙拉嗪治疗(2~4 g/d),效果控制欠佳。患者2011年行结肠镜提示克罗恩病,2001—2017年未接受正规治疗,病情反复。2017年3月出现左下腹包块伴发热,一天前左下腹包块破溃流出肠液,就诊于我院。患者2006年因"甲状腺癌"行右侧甲状腺及峡部切除、右侧颈部淋巴结清扫术,术后口服优甲乐(75 μg/d),半年来体重下降3 kg。
体检:生命体征平稳,身高155 cm,体重指数10.1 kg/m2。神志清楚,慢性病容,贫血貌,极度消瘦。左下腹瘘口有肠内容物流出,周围皮肤红肿,皮温升高。腹软,左下腹轻压痛,未及反跳痛,左下腹触及一个质硬包块,活动度差。肠鸣音正常,5次/min,未闻及振水音及血管杂音。
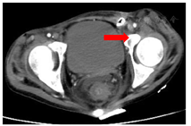
实验室检查:白细胞计数9.2×109/ L,中性粒细胞88.3%,血红蛋白56 g/L,降钙素原124 μg/L,白蛋白22.1 g/L,前白蛋白20 mg/L。消化道道造影提示,经肛门注入造影剂,可见只有直肠中下段显影良好其余结肠显示不清,广泛结肠及直肠炎,回盲部也受累(图1)。经外瘘口注入造影剂,见左盆腔不规则脓腔显影(图2)。骨密度检测提示骨质疏松。




入院诊断:(1)肠外瘘(乙状结肠?);(2)不全性肠梗阻;(3)克罗恩病(A2L3B3,活动期,重度);(4)重度营养不良;(5)重度贫血;(6)畸胎瘤;(7)右侧甲状腺癌根治术后。
鉴别诊断:
对于局限于结肠的CD患者,难以与溃疡性结肠炎鉴别。溃疡性结肠炎病变为弥漫浅表性,患者黏液脓血便较为常见,肠瘘少见。而CD病变可累及肠壁全层,呈跳跃性分布,少有黏液脓血便,肠瘘多见。该患者肠瘘明显,暂不考虑溃疡性结肠炎。
白塞病是全身性血管炎性疾病;病变主要为反复口腔溃疡、生殖器溃疡、眼炎、皮肤关节损害。也可累及消化道,以腹痛、腹泻及黏液脓血便为主要症状;瘘管及肛门直肠周围疾病少见。该患者无口眼生殖器溃疡,有瘘管,故不考虑肠型白塞病
肠道淋巴瘤作为全身淋巴瘤的一部分,常有腹痛、腹泻,但不及CD严重。肠道淋巴瘤常伴不明原因发热,甚至高热。CD患者也可有发热,但通常为低热。小肠恶性淋巴瘤一般进展较快。必要时手术探查可获病理确诊。该患者年轻,影像学检查未及明显肿瘤证据,暂不考虑肠道淋巴瘤。
患者常有不洁饮食史,可有腹痛腹泻、黏液脓血便及里急后重较重,常有发热畏寒,大便培养可见致病菌,抗生素治疗有效。患者是慢性起病、不伴里急后重,该患者不符合。
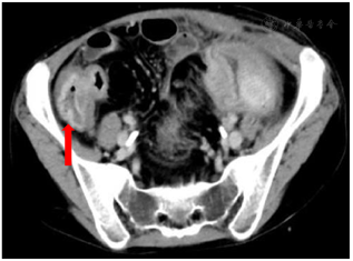
针对存在CD外科并发症(腹腔感染,肠梗阻)及营养不良的患者,需积极诱导疾病缓解,纠正营养不良,控制感染,为手术创造条件。治疗措施:(1)营养支持:患者存在肠梗阻、肠瘘及腹腔感染,缺乏有效的肠内营养通路,行肠外营养的同时积极尝试肠内营养,间接能量测定REE为876 kcal/d,实际能量需求为(1.2-1.5)×REE=1 051-1 314 kcal/d。通过放置肠梗阻导管建立有效的肠内营养通道(图3)。(2)控制腹腔感染:左下腹瘘口处置入黎氏双套管持续冲洗引流(图4)。




成功诱导疾病缓解(6周后),患者腹痛腹泻明显好转,梗阻明显缓解,肠外瘘口闭合,患者肠梗阻及腹腔感染得到初步解决,窦道愈合将双套管挤出,每日鼻饲肠内营养(1 500 kcal/d),体重上升1.5 kg,遂出院行家庭肠内营养。
患者甲状腺癌术后,不适合免疫抑制剂,建议患者行3个月肠内营养后行手术治疗,但患者为年轻女性,未婚,无手术史,恐惧手术,未遵遗嘱,当再次出现肠瘘时入院,更加证实了手术的必要性。
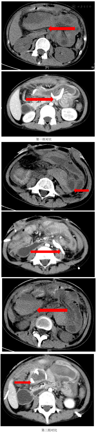
2018年1月,患者左下腹再次破溃流出肠液,再次置入黎氏双套管冲洗引流。腹部CT提示:乙状结肠仍梗阻,肠壁增厚,回盲部炎症狭窄,直肠周围炎(图5,图6)。




下一步治疗方案讨论:(1)保守治疗:继续肠内营养支持,腹腔双套管冲洗引流,患者前期治疗虽有效,但仍不能阻止疾病复发,且患者存在肿瘤病史,嘌呤类药物及生物制剂应慎重[3]。因此远期效果不佳。(2)手术治疗:虽然手术复杂、风险大(腹腔广泛炎症,如何确定切除肠管范围,消化道重建方式,同时患者为年轻女性,如何避免生殖系统损伤),但疗效确定,且非手术治疗无法长期维持疾病缓解。
遂于2018年1月5日行肠粘连松解、乙状结肠及直肠前切除、降结肠造口、回肠狭窄成形术(H-M)、部分回肠切除、回肠造口术(双腔),术中所见:回盲瓣近端约120 cm回肠见多节段狭窄及炎症病变,其中回盲瓣近端约90 cm处一个狭窄性病变较重,近端肠管扩张;回盲瓣近端约30 cm处回肠与乙状结肠粘连,分离后见此处回肠为受累肠管,余小肠未见明显异常。回盲部肠壁肥厚,升结肠至降结肠稍扩张,其内充满粪便,肠壁未见明显炎症及狭窄病变;乙状结肠及直肠上段系膜高度肥厚,并向侧腹壁及后腹壁呈穿透性病变,分离后见此处与左侧腹壁形成肠外瘘,并与后腹壁粘连致密;直肠腹膜反折上约3 cm以下肠壁柔软。
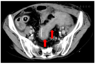
术后行鼻饲肠内营养支持及肠液回输,经降结肠造口排便,患者恢复良好。术后第19天突发全腹部剧痛,并出现血压下降,最低60/30 mmHg(1 mmHg=0.133 kPa),血红蛋白从102 g/L降至48 g/L,凝血功能PT、APTT、PLT、INR、FIB均未见明显异常。腹部CT检查:腹腔肠襻间多发包裹性积液、积血,部分肠管增厚、水肿;DSA血管造影检查:腹腔动脉、肠系膜上动脉、肠系膜下动脉及左侧髂总动脉造影未见出血。考虑患者出现腹腔大出血致失血性休克,出血原因可能如下:(1)知名动脉破裂出血:多起病急,发展快,但患者DSA检查已排除知名动脉出血;(2)静脉出血:血肿多聚集于出血部位,此患者表现为腹腔弥漫积血;(3)毛细血管广泛渗血:术后患者腹腔炎症消退,腹腔压力下降,毛细血管破裂出血,因此,暂不考虑剖腹手术,积极给予输血、补液、抗感染等治疗,患者血压逐渐回升,病情趋于稳定,待血肿液化后行CT引导下多部位腹腔穿刺置管引流(图7),引出积血约2 000 ml。


2018年6月11日行降结肠造口还纳术,术后患者恢复满意。2018年8月15日患者复查结肠镜提示"结肠吻合口狭窄",于我院行内镜下吻合口扩张(图8)。


2018年8月23日患者行肠粘连松解、末端回肠及回盲部切除、回肠造口还纳术(回肠-升结肠顺蠕动侧侧吻合),术后患者恢复经肛排便,并启动维持缓解治疗。
近20年来,CD的发病率和就诊率在我国不断增加,我国不同地区、不同医院、不同医师,对IBD处理存在较大差异,可影响患者预后和健康,特别是关键性问题处理不当会带来不良临床结局[4]。无急诊手术指征的CD患者,治疗应以恢复全肠内营养为中心,通过肠内营养诱导患者疾病缓解,同时纠正营养不良。
本例患者的治疗思路如下:通过放置肠梗阻导管,建立有效肠内营养通道,诱导炎症缓解,避免肠外营养相关并发症;同时通过黎氏双套管控制腹腔感染,为下一步手术做好准备。
虽然患者前期保守治疗有效,体重上升,炎症指标下降,但患者反复出现肠皮瘘,难以维持长期缓解,同时因合并甲状腺癌病史,维持期药物难以选择,需积极手术行病变肠管切除及肠造口术,术后积极行肠内营养以及肠液回输,患者恢复良好。
患者术后出现迟发性腹腔大出血,不考虑手术技术相关并发症,可能和腹腔炎症消退后、腹内压下降有关,治疗上应该以保守治疗为主,若保守治疗无效,可行剖腹探查,纱布填塞止血,二期取纱布,但要尽可能避免损伤肠管。本患者保守治疗效果满意,后期行腹腔多部位穿刺引流血肿,使患者转危为安。
以上三个阶段是患者病情转折的关键点,营养支持联合控制感染诱导CD缓解,在合适的手术时机行确定性手术,患者术后腹腔迟发性大出血,在保守治疗成功后行CT引导下腹腔血肿穿刺引流术。虽然手术无法根治CD,但可治疗CD相关并发症,提高患者生活质量,为药物治疗打好基础。
所有作者均声明本研究不存在利益冲突





















