
患者,女性,45岁,因"发现全口牙有洞发黑,冷刺激酸痛不适1年"就诊。
进食酸甜冷热食物酸痛不适,无自发性疼痛。
根据问诊患者病史、临床检查与X线检查,诊断为多颗牙牙颈部深龋。
去净龋坏组织,分批进行声波后牙大块充填树脂充填。
随访6个月、1年、2年,冷热酸甜刺激敏感症状明显消失,且无自发性疼痛。充填材料使用4年无脱落,无继发龋。
口腔科;全科
版权归中华医学会所有。本文为遵循CC-BY-NC-ND协议的开放获取文章。
龋病是在以细菌为主的多种因素影响下,发生在牙体硬组织的一种慢性进行性破坏疾病。牙颈部釉牙骨质交界处牙体组织解剖薄弱,当牙龈退缩、根面暴露时,牙菌斑与食物残渣、软垢易于在颈部聚集、堆积,进而发展为龋病。本病例全口牙颈部深龋,且位于龈下,采用大块树脂充填,减少了光固化次数和树脂的聚合收缩,增加了充填物的密合性,降低了再感染发生率和充填物脱落率。
患者,女性,45岁,因"全口牙有洞发黑,冷刺激酸痛不适1年"于2017年8月15日就诊。1年前发现全口牙有龋洞,影响美观,进食酸甜冷热食物酸痛不适,无自发性疼痛。有龋齿充填史。全身健康状况良好,否认药物过敏史,否认家族遗传史。
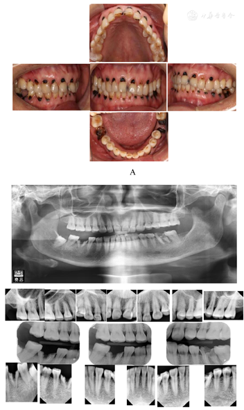
颌面部基本对称,无肿胀畸形。恒牙列,11、12、13、14、15、21、22、23、24、25、31、32、33、34、35、41、42、43、44、45唇颊侧颈部龋坏至牙本质深层,龋坏均达龈下约1 mm;11、21近中邻面累及切角龋坏至牙本质层,均探诊敏感,叩诊(-),冷诊敏感,龈缘充血;36
面约3/4牙体组织龋坏,颊侧龋坏至龈下约1 mm,探诊无感觉,叩诊(-),冷诊无反应,龈无红肿;46牙体龋损至平齐龈缘,呈残根状,探诊无不适、冷诊无反应,叩诊(-),龈无红肿。下前牙舌侧牙结石Ⅰ度,上后牙颊侧牙结石Ⅰ度,牙龈色鲜红,探诊易出血,黏膜色粉红,质柔软,舌体活动自如。前牙深覆
,双侧后牙无完善咬合。全颌曲面断层片及根尖片示:36、46根管内可见高密度根充物影像,根尖区未见明显异常。右侧下颌骨内可见48低位阻生,根周及根尖未见异常。


根据口内检查情况、全颌曲面断层片及根尖片所剑,诊断为11、12、13、14、15、21、22、23、24、25、31、32、33、34、35、41、42、43、44、45深龋,46残根(根管治疗后),36残冠(根管治疗后),48埋伏阻生,慢性龈炎,错颌畸形。
患者诉有冷热刺激敏感,无自发痛;冰棒冷测牙面时反应同对照牙,只有当冷水入龋洞后可引起疼痛;X线片显示根尖周影像正常,符合深龋诊断。无冰棒冷测牙面出现一过性敏感,排除可复性牙髓炎。无自发疼痛史,疼痛程度不重,持续时间不长,不合并轻度叩痛,X线片无根尖周膜间隙轻度增宽,排除慢性闭锁性牙髓炎。无酸性饮料频繁饮用习惯或酸长期接触史,病变区为典型龋齿龋损区色黑或棕褐色等颜色改变,探诊质软,排除酸蚀症。
对患者进行口腔卫生宣教,刷牙方法指导。11、12、13、14、15、21、22、23、24、25、31、32、33、34、35、41、42、43、44、45去龋后酌情处理。46拔除后种植义齿修复。36拔除后种植义齿修复。48暂观察,定期复查。牙周基础治疗。正畸治疗。
11、21、22、23、33、34去净龋坏组织达牙本质深层,质硬,敏感,光固化氢氧化钙间接盖髓,声波后牙大块充填树脂(SonicFill)充填,调
,低速精细抛光。2 d后复诊,12、32去净龋坏组织达牙本质深层,质硬,敏感,光固化氢氧化钙间接盖髓,声波后牙大块充填树脂(SonicFill)充填;13、31、41、42去净龋坏组织达牙本质浅层,直接声波后牙大块充填树脂(SonicFill)充填。自初诊1周后复诊,14、15间接盖髓后声波后牙大块充填树脂充填;43、44、45、24、25去净龋坏组织盖髓后,声波后牙大块充填树脂充填。2周后35颊侧颈部龋坏未去净露髓,在约0.7 ml阿替卡因肾上腺素注射液单颗牙局部麻醉,橡皮障隔湿下去净龋坏组织,开髓,拔髓,清理制备根管至F2X 18 mm,定位片示预备至根尖,3%次氯酸钠、生理盐水冲洗根管,拭干,氧化锌暂封。第3周复诊,35橡皮障下去除暂封物及封药,显微镜下超声荡洗根管,热牙胶垂直加压充填根管,玻璃离子垫底,声波后牙大块充填树脂(SonicFill)充填,调
,低速精细抛光。




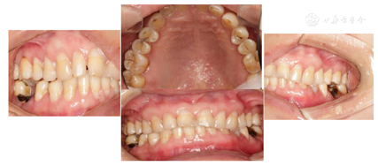
术后6个月、1年、2年后检查充填物完好,患者自觉满意。
通过改良、改性无机填料和有机基质,采用引发效率更高的锗化物作光引发剂,大块充填树脂可以拥有更高的光吸收系数和光强利用率,在提高聚合反应速度和转化率的同时,减少聚合应力和体积收缩,从而实现大块充填树脂4 mm的固化深度[1,2,3,4,5,6,7]。大块充填树脂固化深度的大幅提高,简化了临床操作步骤,节省了椅旁时间。边缘微渗漏一直是评价树脂材料临床疗效的重要指标,边缘封闭性很大程度上决定了修复体的成功与失败[8]。侧壁边缘的封闭可有效地预防继发龋,提高树脂直接修复的使用寿命[7,8]。
大块充填树脂也可用于儿童牙科,边缘密合性优于传统金属预成冠[6]。一般根管治疗后的窝洞深度都大于4 mm,因此,目前高黏型大块充填树脂用于根充后充填时仍然是两步充填。对于深龋洞的患牙,大块充填树脂也是一个良好的选择。本病例中,患者张口度小,且多颗患牙为深龋,传统的树脂分层充填技术会延长患者的张口时间,增加医师的工作强度。虽然大块充填树脂的临床疗效有待进一步验证,但其操作简便,一次固化可达4 mm,节约了椅旁时间,具有一定的优势。一项系统评价比较了大块树脂与传统复合树脂的效果,结果显示大块树脂可有效改善边缘变色和继发龋,但是其边缘适应性有所下降[9]。本例患者随访2年,结果显示大块树脂充填有效降低了术后敏感,减少了继发龋,美学性能良好,生物学性能稳定,患者较为满意。未来,大块充填树脂应当在兼顾物理、机械性能的同时完善美学特性,提高固化深度,并向自酸蚀自黏结树脂和黏度可变型树脂方向发展,实现快捷、有效、美观、方便于一体,成为真正的一步充填通用树脂。
作者均声明本研究不存在利益冲突





















