
患者,男,12岁9个月,因"牙齿未替换数年"前来就诊。
①临床检查:口外检查见头颅增大,眼距增宽,鼻梁塌陷,双肩陡峭下垂,双肩可向前相互靠拢,手部可见远端指骨较短;口内检查见混合牙列,31、41、16、26、36、46萌出,37、47部分萌出,剩余乳牙滞留,全牙列反
,反覆盖10mm。②影像学检查:CBCT示11-15、21-25、33-35、42-45埋伏阻生;上下颌骨内13枚埋伏多生牙。头颅片示颅缝轻微增宽,胸片示双侧锁骨远心端发育不足。③家族史及基因检测:患者母亲表现为相似的骨骼发育异常,基因检测发现患者及其母亲均为RUNX2基因第5号外显子错义突变(c.674 G>A,p.R225Q)。
结合家族史、临床表现、影像学检查、基因检测结果,诊断为颅骨锁骨发育不全综合征(cleidocranial dysplasia,CCD)。
进行多学科联合序列治疗,包括分次拔除滞留乳牙、多生牙、同时外科正畸联合牵引阻生牙、上颌扩弓等。
经7个月治疗后患者口内已萌出5颗恒牙,剩余10枚多生牙及55、65滞留乳牙,后续治疗在持续追踪中。
儿童口腔科;口腔正畸科;口腔颌面外科
版权归中华医学会所有。本文为遵循CC-BY-NC-ND协议的开放获取文章。
颅骨锁骨发育不全综合征(cleidocranial dysplasia,CCD)是一种罕见的常染色体显性遗传病,与Runt相关转录因子2(Runt-related transcription factor 2,RUNX2)的突变有关,发病率为1:1000000。它表现为全身骨骼和牙齿发育不良,最显著的临床特征为(CCD三联征):囟门闭合迟缓或不闭合;锁骨部分或完全缺失;多颗乳牙滞留、埋伏恒牙及多生牙[1]。我们对l例家族性颅骨锁骨发育不全综合征进行报道,并结合相关文献对其治疗进行讨论以供临床参考,旨在增强对本病的认识,提高早期诊断及干预。
患者,男,12岁9个月,2021年3月14日因"牙齿未替换数年"于武汉大学口腔医院儿童口腔科就诊。
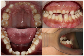
患者身高160cm,体重56kg,神志清,合作,智力正常。(1)口外检查:双肩陡峭下垂,肩关节活动度大,双肩可向前相互靠拢,两侧锁骨端缺如明显可见,手部可见远端指骨较短。头颅增大,面骨相对较小,眼距增宽,鼻梁塌陷;面型对称,颞下颌关节未见明显异常;面中份发育不足,III类骨性错
畸形(图1)。(2)口内检查:混合牙列,31、41、16、26、36、46萌出,37、47部分萌出,剩余乳牙滞留;54、64远中邻
面龋,探(-),叩(+),松0-I°,龈正常;全牙列反
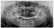
,反覆盖10mm,双侧尖牙及磨牙近中关系;51、61扭转,上颌牙弓狭窄,腭盖高拱,31、41间可见间隙约5mm(图2)。(3)影像学检查:①曲面断层片示多数乳牙滞留,恒牙迟萌,多颗埋伏阻生多生牙。54、64远中邻面低密度影及髓,牙根吸收(图3);②CBCT示全口恒牙排列紊乱,上下颌骨内可见13颗多生牙,均位于恒牙胚舌腭侧,形态类似相邻恒牙胚(图4);③头颅侧位片示头颅侧位片示上颌骨发育不足(NA-Apo:-5.9°),下颌前突(SNB: 98.2°;FH-NPo:90.0°),骨性III类错
畸形(ANB:-5.1°;FMA:31.0°)(图5)(表1);④头颅正位片示颅缝轻微增宽;⑤胸片示双侧锁骨远心端发育不足(图6)。

头影测量数据
头影测量数据
| 测量项目 | 测量值 |
|---|---|
| SNA (°) | 93.1 |
| SNB (°) | 98.2 |
| ANB (°) | - 5.1 |
| NA - APo (°) | - 5.9 |
| FH - NPo (°) | 90.0 |
| FMA (°) | 31.0 |
| IMPA (°) | 76.0 |
| Pog - NB (mm) | - 0.4 |
| U1 - SN (°) | 104.0 |
| U1 - L1 (°) | 155.4 |
| U1 - NA (mm) | - 0.1 |
| U1 - NA (°) | 11.0 |
| L1 - NB (mm) | 0.4 |
| L1 - NB (°) | 18.0 |
| Upper Lip to E-Plan (mm) | - 1.9 |
| Lower Lip to E-Plan (mm) | 0.4 |












通过询问病史及临床检查发现,患者母亲有类似的特殊面容和骨骼发育异常(图7、图8),家族谱系图见图9。






采集患者及其父母外周血,发现患者及其母亲为同一突变:RUNX2基因第5号外显子错义突变(c.674 G>A,p.R225Q)。
诊断:①颅骨锁骨发育不全;②54、64慢性根尖周炎;③51-55、61-65、73-75、82-85乳牙滞留;④11-15、21-25、33-35、42-45埋伏阻生;⑤上下颌骨内13枚埋伏多生牙。
治疗计划:①分次拔除滞留乳牙;②分区拔除多生牙;③导萌埋伏阻生恒牙:外科手术开窗暴露阻生牙,去除冠方阻力促进自发萌出,位置高而深的埋伏牙还需联合正畸牵引,对于牵引困难或失败的牙齿可根据具体情况考虑恒牙及多生牙的自体移植、修复治疗等其他方法;④正畸正颌联合治疗错颌畸形:正畸扩弓排齐,待成年后可能需联合正颌手术治疗。
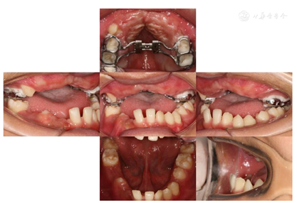
治疗过程:①局麻下,分四次拔除滞留乳牙;②2021年5月6日,局麻下行左下前磨牙区外科开窗手术,去除33、34、35冠方阻力,联合下颌固定矫治器正畸牵引34;(图10)③2021年8月19日,局麻下行上颌前牙区多生牙拔除术(3枚)(图11);④2021年9月12日,佩戴螺旋快速扩弓器扩大上颌牙弓。




CCD是由RUNX2基因的功能突变引起的,其编码染色体6p21上的转录因子Cbfα1发生异常。CCD诊断主要依靠特征性的临床表现及影像学检查[4]。本病例存在家族史,结合患者的典型面容、口内多生牙、骨骼发育异常等即可诊断为CCD。基因检测结果显示该患者的RUNX2基因携带错义突变(R225Q 674G→A),而这一突变在之前的研究中已有报道[5],是RUNX2(4个精氨酸残基CpG甲基化)的突变热点之一[6]。
由于CCD的发病率相对较低,治疗方案尚未达成共识,仍处于探索中。其治疗原则为:①及时拔除乳牙、多生牙、外科手术暴露牙冠以促进阻生恒牙的自发萌出;②正畸牵引阻生恒牙及排齐;③联合正颌手术改善咬合关系及面型;④对成年患者的牙列缺损可行修复治疗。其中外科正畸联合治疗是青少年患者首选的治疗方案,常见的方法包括:①Toronto-Melbourne方法:最佳治疗期从5至6岁开始,连续拔除乳牙及多生牙,并去除覆盖阻生牙表面的牙槽骨以促进恒牙的自发萌出,无需正畸牵引。②Jerusalem方法:10-12岁时拔除乳前牙和多生牙,外科手术开窗暴露恒前牙;13岁时拔除乳磨牙,暴露尖牙及前磨牙并联合正畸牵引。③Belfast-Hamburg方法:类似于Jerusalem,但未规定年龄,具体方法为在全身麻醉下一次手术去除所有乳牙和多生牙、暴露阻生恒牙,后行正畸牵引。④Bronx方法:首先拔除乳牙和多生牙、暴露阻生牙。使用可摘局部义齿恢复美观及功能,待恒牙萌出存在足够支抗时开始正畸,最后正颌手术[3]。在前期的治疗中,主要着眼于滞留乳牙及多生牙的处理。
治疗时机对于CCD患者治疗至关重要[3]。恒牙无法萌出的可能原因包括乳牙牙根吸收障碍,牙槽骨代谢紊乱、多生牙阻碍萌出路径、继承恒牙牙根缺乏细胞牙骨质、以及牙周膜细胞诱导破骨细胞分化的能力降低等,因此应尽早去除阻生牙冠方阻力以获得萌出路径[1]。Frame等人[7]报道了一个9岁的CCD男孩在拔除所有乳牙和多生牙后,观察到了13颗牙的自发萌出,类似于Toronto-Melbourne方法。在本病例中,除上颌第二乳磨牙外,所有乳牙都在局麻下分次拔除。而在拔除滞留乳牙的一月后,三颗恒牙自发萌出。此外,左下前磨牙区行外科手术暴露阻生牙后,也迅速实现了恒牙的自发萌出,提示CCD患者的阻生牙在解除其冠方阻力后能够自行萌出。而保留上颌第二乳磨牙的原因在于其牙根未吸收,继承恒牙胚高位且牙根发育处于早期,外科手术入路困难,损伤大,牵引难度高。暂保留还可作为支抗行正畸牵引并行使咀嚼功能。
多生牙是CCD患者最常见的症状之一,形成机制可能是由于牙板上皮细胞的过度增殖或存活时间延长所造成的[8]。Michiko等人[9]对5名CCD患者的多生牙进行三维成像分析,发现数量为1-15颗(平均7.8颗)不等,多发生于下颌前磨牙区(35.9%),分布在相邻恒牙的舌侧及远中,形态与相邻恒牙相似,但略小。该结果与本病例中多生牙位置及形态相似。对于多生牙的处理应结合具体位置、形态、方向、对恒牙影响、相邻牙胚发育程度等因素综合考虑。当恒牙胚处于早期发育阶段时,过早拔除埋伏多生牙的手术创伤可能会损坏恒牙胚,出现替代性吸收的风险[10]。因此,大多数学者认为继承恒牙牙根形成2/3时为最佳拔除多生牙时机。而对恒牙萌出无影响,埋伏骨内较深、不影响邻牙排列及正畸治疗的多生牙,可暂观察,定期随访拍片检查。
与之前的病例相比,本病例更具挑战性。后续治疗难点在于:①总计余10枚多生牙,弥散分布于上下颌骨内,均位于相邻恒牙胚舌腭侧,位置深在,与相邻恒牙胚距离近,难以定位,手术入路困难,损伤大。②埋伏阻生牙正畸牵引治疗效果不确定,一方面上颌恒牙胚高位阻生,另一方面萌出的恒牙较少,正畸支抗及矫治器设计存在一定难度。③存在10mm反覆盖,就诊年龄12岁,骨性Ⅲ类错
畸形,后期行正颌手术可能性较大。④治疗时间跨度长,需多次外科手术,可能给患者带来一定心理及财力负担。
充分认识CCD患者的临床和影像学特征有助于临床做出早期诊断,早期干预,以促进恒牙的自发萌出,减少后续治疗的复杂程度及难度。除关注口腔问题外,还需检查CCD患者的全身情况,必要时及时转诊相关科室。此外,CCD致病基因位点的鉴定在探讨分子遗传学机制中有重要意义,一方面可为患者提供遗传咨询及产前检测依据,另一方面可为临床治疗开辟新思路。
所有作者均声明不存在利益冲突























