
患者老年男性,因发热、气促1周入院,常规抗感染疗效欠佳。既往高血压、弥漫大B细胞淋巴瘤病史。双肺散在湿啰音。淋巴细胞降低,乳酸脱氢酶及G试验升高;胸部CT示双肺弥漫性磨玻璃影。
发热、气促;双肺可闻及湿啰音。
宏基因组二代测序。
以复方磺胺甲噁唑联合卡泊芬净抗肺孢子菌为主的抗感染方案,辅以呼吸支持、早期康复、营养支持、脏器保护等综合治疗策略。
好转出院。
呼吸与危重症医学科;重症医学科;血液科;肿瘤科
版权归中华医学会所有。本文为遵循CC-BY-NC-ND协议的开放获取文章。
耶氏肺孢子菌肺炎(Pneumocystis jiroveci pneumonia,PJP)是由耶氏肺孢子菌引起的真菌性肺部感染,主要表现为呼吸困难、咳嗽、发热等非特异性呼吸道症状[1],是免疫抑制患者重症社区获得性肺炎最常见的感染类型[2]。近年来随着免疫治疗及化疗的普及,人类免疫缺陷病毒(human immunodeficiency virus,HIV)阴性的免疫抑制患者中PJP发病率逐年增长,且其病情往往更危急,死亡率达52%[3]。本文报道1例重症PJP患者的综合诊治,旨在提高对本病的重视,实现早期诊断及干预,改善临床预后。
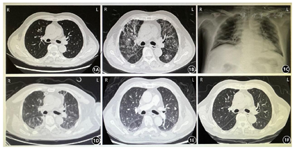
患者男,76岁,因"发热、气促1周"入院。患者于2020年8月24日无明显诱因出现发热,最高体温38.8℃,自感气促,活动后及平卧位明显,休息及坐位可缓解,伴乏力,干咳,口服"尼美舒利"可退热数小时。至当地社区医院予抗感染("左氧氟沙星、头孢米诺")治疗后仍有发热,且气促加重。于2020年8月29日至我院急诊就诊,完善胸部CT,对比起病前我院胸部CT(图1A),现片示:双肺弥漫性改变,感染?肺水肿?双侧少量胸腔积液(图1B);血常规提示白细胞计数10.9×109/L、中性粒细胞计数9×109/L,淋巴细胞计数0.7×109/L,予美罗培南抗感染等处理后,症状较前缓解,最高体温37.7℃,遂于2020年8月30日以"重症肺炎、呼吸衰竭"收入我科。患者既往高血压病史20余年;于2020年6月18日诊断为弥漫大B细胞淋巴瘤,目前R-CHOP方案规律化疗中。无烟酒史、冶游史,家族中无遗传病及肿瘤病史。入院体查:体温36.5℃,脉搏118次/分,呼吸33次/分,血压141/51mmHg。口唇微发绀。双肺呼吸音低,可闻及湿啰音。心率118次/分,律不齐,可闻及早搏,5次/分,双下肢轻度水肿。


入我科后完善血气分析:PH 7.51,PO2 77mmHg,PCO2 27mmHg,BE-0.5mmol/L,FiO2 41%,氧合指数约187;血常规:白细胞计数11.1×109/L、中性粒细胞计数8.8×109/L,淋巴细胞计数1.0×109/L,血红蛋白100g/L,血小板320×109/L;肝功能:白蛋白26.9g/L,谷丙转氨酶98.5U/L,谷草转氨酶113.9U/L;心肌酶:乳酸脱氢酶439U/L;电解质:钙1.97mmol/L;凝血常规:纤维蛋白原7.86g/L;血沉126mm/h,C反应蛋白127.86mg/L,降钙素原1.23ng/mL;B型钠尿肽前体1435pg/mL;T细胞亚群分类:T淋巴细胞(CD3+):627个/μL(62.73%),辅助/诱导性T淋巴细胞(CD3+CD4+):285个/μL(28.53%),抑制/细胞毒性T淋巴细胞(CD3+CD8+): 295个/μL (29.54%);G试验<37.5pg/mL(2020年9月4日复查G试验182.56pg/mL);尿常规、粪便常规、肾功能、肌钙蛋白、输血前四项、病毒全套、甲乙型流感病毒抗原、EB病毒及巨细胞病毒检测大致正常。心电图:窦性心动过速,频发房早,可见差传,T波改变;床旁胸片:双肺感染性病变(图1C)。心脏彩超:肺动脉增宽,主动脉瓣钙化,各瓣膜轻度返流,心室顺应性减退,微量心包积液,右室收缩功能正常(EF:56%)。器官功能评价:APACHE Ⅱ评分:12分,SOFA评分:4分。
患者老年男性,主因发热、气促入院,呼吸频率>30次/分,氧合指数<250,胸部CT示双肺多肺叶弥漫性磨玻璃影,符合重症肺炎、呼吸衰竭诊断标准[4]。患者弥漫大B细胞淋巴瘤规律化疗中,淋巴细胞低,存在免疫抑制,肺部病变以双肺对称磨玻璃影为主,PJP可能性大;综合考虑主要诊断为:重症肺炎(PJP?),呼吸衰竭(I型)。
鉴别诊断:1.心源性肺水肿:患者老年男性,患者既往高血压病史20余年,自觉气促,平卧位明显,坐位可缓解,双肺可闻及湿啰音,B型钠尿肽前体升高,胸部CT示弥漫性磨玻璃影,存在心源性肺水肿可能;但患者血压控制尚可,无心脏疾病史,无明显咳嗽、胸闷,体查未闻及心脏杂音,心脏彩超未见心房、心室扩大,射血分数基本正常,暂不考虑该诊断。2.巨细胞病毒肺炎:患者化疗后免疫抑制,伴发热、气促等呼吸道症状,血气分析提示I型呼吸衰竭,双肺可闻及湿啰音,胸部CT示弥漫性磨玻璃影,存在巨细胞病毒肺炎可能;但患者巨细胞病毒抗体阴性,巨细胞病毒DNA低于检测下限,肺泡灌洗液(bronchoalveolar lavage fluid, BALF)送检mNGS未提示巨细胞病毒感染,暂不考虑此诊断。3.流感病毒肺炎:患者老年男性,免疫低下,以发热、气促为主要表现,双肺可闻及湿啰音,胸部CT呈双肺多发弥漫性改变,存在流感病毒肺炎可能;但患者起病无明显季节特征,无受凉等诱因,未出现咳嗽、咽痛等症状,甲乙型流感病毒抗原检测阴性,暂不考虑此诊断。4.淋巴瘤本身或化疗所致肺间质改变:患者老年男性,既往弥漫大B细胞淋巴瘤病史2月余,目前R-CHOP方案规律化疗中,此次起病以发热、气促为主要症状,常规抗感染治疗效果欠佳,胸部CT呈双肺弥漫性磨玻璃影,存在淋巴瘤本身或化疗所指肺间质改变可能;但患者确诊淋巴瘤后及目前两次化疗过程中复查胸部CT均未提示双肺弥漫性病变,且此次起病后感染指标均有升高,暂不考虑此诊断。
患者2020年8月30日11时收入我科呼吸ICU后,气促明显,血气分析氧合指数<200,立即予无创呼吸机辅助通气,同时予复方磺胺甲噁唑(1.44g口服每6小时1次),联合卡泊芬净(首剂70mg静滴每日1次,此后50mg静滴每日1次)抗肺孢子菌治疗,美罗培南(1g静滴每8小时1次)联合莫西沙星(0.4g静滴每日1次)广谱抗细菌、非典型病原体感染、更昔洛韦(0.25g静滴每12小时1次)抗病毒治疗,余辅以营养液、白蛋白营养支持,免疫球蛋白增强抵抗力,PiCCO血流动力学监测,容量控制、保护胃黏膜、抗凝、护肝、护肾等脏器保护、并发症预防等对症支持治疗。此后患者仍发热、气促,氧合指数下降至68,于2020年8月31日10时改气管插管接有创呼吸机辅助联合俯卧位通气(图2A)后,10小时氧合指数上升至150左右,完善支气管镜检查留取BALF送检常规培养及宏基因组下一代测序(metagenomics next generation sequencing,mNGS),结果回报示:耶氏肺孢子菌特异性序列数89条,支持耶氏肺孢子菌肺炎诊断,继续原方案抗肺孢子菌治疗;无巨病毒感染证据,停用更昔洛韦。2020年9月2日,患者体温恢复正常,氧合指数升至270左右。2020年9月4日复查胸部CT示:双上肺、右中肺感染较前吸收,双下肺感染较前稍微增多(图1D),G试验182.56pg/mL,降钙素原2.37ng/mL,继续当前方案治疗,同时予踩单车、带管坐立、拍背排痰等康复训练(图2B,图2C,图2D,图2E)。2020年9月6日复查血气分析示氧合指数297,充分评估后予撤离呼吸机、拔除气管插管,序贯经鼻高流量湿化氧疗(high-flow nasal cannula oxygen therapy, HFNC)(图2F),同时抗菌药物降阶梯为哌拉西林他唑巴坦4.5g静滴每日1次,余方案同前,此后氧合指数维持在400左右。2020年9月8日复查胸部CT示:双肺感染较前吸收(图1E),G试验正常(39.43 pg/mL),降钙素原基本正常(0.279 ng/mL),综合评估前期治疗有效,病变吸收明显,于2020年9月10日停用卡泊芬净,9月14日出院。


患者于出院后,继续口服复方磺胺甲噁唑(1.44g每6小时1次)至总疗程达3周,规律门诊随访,肺部CT示病灶较前明显吸收,未见新发感染(图1F)。
PJP在免疫功能受损患者中往往进展迅速,极易发展为重症肺炎,呼吸衰竭及死亡风险极高[5],临床决策包含早识别、早诊断、早治疗、呼吸支持(含早期康复)、营养支持及器官保护。
对于具有PJP高危因素、临床特点及影像学特征的患者,均应高度警惕PJP的发生。研究显示[6],免疫抑制者,尤其是艾滋病患者、长期使用免疫抑制或先天免疫缺陷者、恶性肿瘤患者及早产儿,极易合并耶氏肺孢子菌感染,监测淋巴细胞计数可有效评估患者免疫状态。PJP患者通常表现为进行性呼吸困难、发热、咳嗽等呼吸道症状,部分患者肺部可闻及湿啰音,症状重而体征轻是本病的重要特征,HIV阴性患者通常比HIV阳性患者症状更严重,进展更迅速[7]。影像学特征通常包括磨玻璃型、斑片型、间质型、囊变型在内的4种类型,尤以磨玻璃型最具特征性,表现为双肺弥漫的磨玻璃样改变,其间可见地图状分布的支气管血管束[8]。一旦具有高危因素的患者出现上述临床表现及影像学改变,均应高度怀疑PJP。氧合指数的降低,血清乳酸脱氢酶及G试验的升高往往提示疾病严重程度[9]。其中,高水平血浆(1, 3) β-D-葡聚糖浓度(G试验)往往提示高菌量负荷,且更易从复方磺胺甲噁唑联合卡泊芬净治疗中获益[10]。本例患者为老年男性,存在淋巴瘤化疗后的免疫抑制,此次起病以发热和进行性加重的呼吸困难为主要症状,氧合指数<200,乳酸脱氢酶及G试验均升高,胸部CT表现为双肺弥漫性磨玻璃影,临床高度疑诊为重症PJP。同时,G试验的变化预示着菌量负荷的动态变化,为后续疗效评估提供指向。
一旦疑诊为PJP,均应尽早完善病原学诊断。迄今为止,耶氏肺孢子菌尚未实现体外培养,其诊断金标准仍是在痰液、BALF或者肺组织中找到耶氏肺孢子菌包囊或滋养体[6],其中BALF检测阳性率较高,常作为临床诊断的首选[11]。对于重症患者往往采用包括六胺银染色、聚合酶链式反应(polymerase chain reaction, PCR)及mNGS[7]在内的多技术联合检测,以便尽早明确病原体。其中,mNGS技术已被证明在重症PJP诊断中具有良好应用价值[12],我们团队研究显示[13],HIV阴性的PJP患者中,mNGS的检测敏感度达100%,特异度达96.3%,显著优于传统六胺银染色。本例患者留取BALF送检mNGS结果回报提示耶氏肺孢子菌阳性,支持PJP诊断,为后续精准治疗提供依据。对于部分不能留取BALF或痰的患者,血清mNGS亦达到与BALF mNGS 100%的一致性[13],同时也需要更大样本的研究进一步验证。
据《非HIV感染血液病患者的耶氏肺孢子菌肺炎ECIL治疗指南》[14],高度怀疑或确诊PJP的患者,应尽早启动抗肺孢子菌治疗。目前,复方磺胺甲噁唑仍为PJP的一线治疗药物,此外,多项研究表明[10,15],在重症PJP患者中,复方磺胺甲噁唑联合卡泊芬净可抑制肺孢子菌整个生命周期,进而起到抗肺孢子菌的协同作用,显著降低死亡率。推荐疗程至少持续3周,通过评估患者症状、血气、影像学变化及时调整治疗方案[14]。本例患者疑诊PJP即启动复方磺胺甲噁唑联合卡泊芬净抗肺孢子菌治疗,待氧合好转、肺部病灶较前吸收后,调整为复方磺胺甲噁唑单药治疗,总疗程共6周(影像学稳定)。
重症PJP患者除出现呼吸衰竭,易合并循环衰竭等多器官脏器功能损害[16]。因此,除早期精准抗感染治疗外,呼吸支持、营养支持、循环监测及器官保护、早期康复治疗的综合诊疗策略尤为重要。本例患者入院血气分析提示I型呼吸衰竭,立即启动无创呼吸机辅助通气,观察24小时患者呼吸频率快、气促无改善,氧合指数持续降低,及时更改呼吸支持方式为气管插管接有创呼吸机辅助通气联合每日俯卧位通气(15小时/天)、间断行肺复张,改善通气血流失调,患者氧合迅速改善后及时撤机拔管改HFNC氧疗,这种"早插早拔"的呼吸支持策略旨在迅速改善缺氧、预防呼吸机相关性肺炎发生。同时积极予以超声为导向的循环监测和容量控制、营养支持、器官保护,早期启动被动呼吸锻炼及下肢肌肉康复训练,是决定患者转归的重要基石。
所有作者均声明本研究不存在利益冲突





















