
青年男性,慢性进行性双下肢麻木无力,双手震颤,步态不稳伴踩棉感。
四肢远端肌力减退,双手姿势性及意向性震颤;Romberg征(+),双下肢位置觉减退、振动觉消失,四肢腱反射未引出。
脑脊液蛋白明显升高。双上肢运动神经传导远端潜伏期明显延长,双下肢神经传导未测出。影像学示脊神经根明显增粗。腓肠神经活检示有髓纤维中度减少伴髓鞘严重脱失,未见炎细胞浸润及洋葱球样改变。脑脊液抗NF155抗体阳性,为IgG4亚型。
予以血浆置换,后相继给予"吗替麦考酚酯""利妥昔单抗"序贯治疗。
患者自觉症状略减轻。神经电生理检查示右侧正中神经远端波幅较前升高,右侧尺神经可引出感觉波形。
神经科
版权归中华医学会所有。本文为遵循CC-BY-NC-ND协议的开放获取文章。
慢性炎性脱髓鞘性多发性神经根神经病(chronic inflammatory demyelinating polyradiculoneuropathy,CIDP)是一类常见的免疫介导的周围神经病,因缺乏特异性标志物使诊断具有一定困难。近年来,有关CIDP生物标志物的研究取得了一定进展。其中抗神经束蛋白155(anti-neurofascin 155,NF155)是研究热点之一,且抗体阳性患者具有特殊临床表型和治疗特点。我们报道了1例抗NF155抗体阳性患者,对其临床特征进行分析,并结合文献综述进行讨论,以加强对本病的理解和认识,对早期识别和治疗选择提供帮助。
患者,男性,25岁。主因"进行性双下肢无力麻木1年"于2015年12月入北京大学第三医院神经内科就诊。患者入院前1年无明显诱因出现双下肢无力麻木,行走踩棉感,双上肢正常,日常活动不受限。症状进行性加重,近半年自觉小腿变细,平地行走缓慢,上下楼费力,不能足尖足跟行走。夜间症状更重,有穿拖鞋掉落及穿鞋上床现象,无明显疼痛及蚁走感。上肢力量正常,但持物等精细活动时自觉轻微震颤。上述症状无明显波动性,无晨轻暮重现象,无头晕复视,无言语不清、饮水呛咳或吞咽困难,无呼吸困难,无听力下降。起病以来二便正常,饮食睡眠正常,体重增加约5 kg。既往体健,长跑耐力差,体育可达标。否认家族遗传病史,家族中无类似病史者。内科体格检查:发育正常,营养良好,心肺腹查体未见异常。神经系统体格检查:神清语利;颅神经正常;双侧胫骨前肌、腓肠肌萎缩,四肢肌张力正常,四肢近端肌力Ⅴ级,双上肢远端肌力Ⅴ-级,双侧胫骨前肌肌力Ⅲ级,腓肠肌肌力Ⅳ级;双手可见轻微姿势性及意向性震颤;行走时略呈双侧跨阈步态,步基略宽,Romberg征(+),一字步征(+),蹲起尚可,足尖足跟行走不能;双侧踝关节以下针刺觉过敏,触觉正常,双下肢位置觉减退、振动觉消失;四肢肌腱反射均未引出,双侧腹壁反射存在,病理征(-)。
本患者慢性病程进行性加重,以四肢远端对称性无力麻木为主,伴明显深感觉障碍,查体可见震颤及四肢反射未引出,首先需考虑CIDP,但患者临床有特殊之处,包括震颤及明显深感觉异常,进一步完善腰椎穿刺、神经电生理及影像学等检查。
实验室检查:血尿便常规正常。血清抗可提取性核抗原抗体(ENA)及抗核抗体(ANA)均阴性,肌酸激酶(CK)340 U/L,类风湿因子(RF)25.8 IU/ml。余各项生化指标,血清重金属含量、甲状腺功能及抗体,血清叶酸、维生素B12、同型半胱氨酸水平,血糖及糖化血红蛋白水平等均正常。血清免疫蛋白固定电泳未见异常寡克隆区带。腰穿压力320 mmH2O(1 mmH2O=0.098 kPa),细胞总数2个/ul,白细胞数2个/ul,蛋白300 mg/dl,血及脑脊液寡克隆带(-),脑脊液抗神经节苷脂抗体(-)。
影像学检查:颈部、腰骶部神经根磁共振成像(MRM)可见神经根明显增粗水肿(图1);颅脑MR正常。


神经电生理检查:双侧腓总神经、双胫神经复合肌肉动作电位(compound muscle action potentials,CMAP)、双正中神经、双尺神经、双腓肠神经感觉神经动作电位(sensory nerve action potentials,SNAP)、双胫神经H反射均未测出;双侧正中神经、尺神经CMAP各段波幅下降,潜伏期延长,运动传导速度(motor conduction velocity,MCV)减慢;双侧正中神经、尺神经F波潜伏期延长(表1)。所测肢体肌肉肌电图(EMG)均呈神经源性损害。震颤分析:双上肢平举时可诱发震颤,频率分别为6.6 Hz和6.7 Hz。

本例患者血浆置换前后神经电生理指标
本例患者血浆置换前后神经电生理指标
| 指标 | 治疗前 | 治疗后 | |
|---|---|---|---|
| 正中神经,右 | |||
| 远端潜伏期(ms) | 8.08 | 7.65 | |
| MCV(m/s) | 23.8 | 32.1 | |
| CMAP波幅(mV) | 2.1 | 7.5 | |
| F波潜伏期(ms) | 67.6 | 70.7 | |
| F波出现率(%) | 95 | 95 | |
| SCV(m/s) | 未测出 | 未测出 | |
| SNAP波幅(μV) | 未测出 | 未测出 | |
| 尺神经,右 | |||
| 远端潜伏期(ms) | 16.6 | 16.4 | |
| MCV(m/s) | 21.1 | 20.7 | |
| CMAP波幅(mV) | 3.9 | 2.1 | |
| F波潜伏期(ms) | 61.6 | 73.5 | |
| F波出现率(%) | 100 | 100 | |
| SCV(m/s) | 未测出 | 48.6 | |
| SNAP波幅(μV) | 未测出 | 1.44 | |
| 腓总神经,右 | |||
| 远端潜伏期(ms) | 未测出 | 未测出 | |
| MCV(m/s) | 未测出 | 未测出 | |
| CMAP波幅(mV) | 未测出 | 未测出 | |
| H反射 | 未测出 | 未测出 | |
| SCV(m/s) | 未测出 | 未测出 | |
| SNAP波幅(μV) | 未测出 | 未测出 | |
| 胫神经,右 | |||
| 远端潜伏期(ms) | 未测出 | 未测出 | |
| MCV(m/s) | 未测出 | 未测出 | |
| CMAP波幅(mV) | 未测出 | 未测出 | |
| H反射 | 未测出 | 未测出 | |
| SCV(m/s) | 未测出 | 未测出 | |
| SNAP波幅(μV) | 未测出 | 未测出 | |
神经病理结果:右侧腓肠神经活检显示有髓纤维中度减少伴髓鞘严重脱失,未见炎性细胞浸润及洋葱球样改变(图2)。


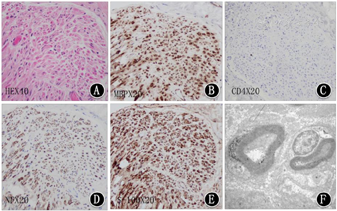
抗结旁抗体检测:考虑患者临床表现为非典型CIDP,进一步完善血清及脑脊液抗郎飞结结旁抗体检测。结果显示,患者血清及脑脊液抗NF155抗体较阴性对照明显升高,与阳性对照相当。故患者抗NF155抗体阳性(图3),其IgG亚型以IgG4为主(图4)。




髓鞘蛋白22(peripheral myelin protein 22)基因重复突变检测:无异常重复。
本例患者为慢性起病的获得性周围神经病,感觉运动神经均受累,存在脑脊液蛋白-细胞分离现象且蛋白含量显著增高,结合电生理学表现,符合CIDP的诊断标准[1]。并可除外POEMS等获得性或腓骨肌萎缩症(Charcot-Marie-Tooth disease,CMT)等先天性周围神经病。通过流式细胞技术及免疫组化方法[2],检测到患者血及脑脊液中抗NF155IgG抗体阳性,可确诊为抗NF155 IgG4抗体阳性CIDP。
入院后给予患者血浆置换(plasma exchange,PE)治疗,方案为1周期/月,共3个周期。每周期均隔日置换血浆2 000 ml,共3次。后相继给予吗替麦考酚酯、利妥昔单抗序贯治疗。
患者经PE治疗3个周期结束后自觉症状略减轻。体格检查:双下肢近端肌力Ⅴ级,远端Ⅳ级,震颤消失,感觉及腱反射同前。神经电生理检查:右侧正中神经远端波幅较前升高,右侧尺神经SCV可引出波形,余神经传导速度、F波、H反射同前(表1)。影像学脊神经根增粗情况未见明显变化。
CIDP是一类由免疫介导的慢性运动感觉性周围神经病,发病率约为1~9/10万[3],典型表现为对称的无力和感觉障碍,伴腱反射减弱或消失,病程为慢性进展或缓解复发并持续≥8周。近年来,随着不同亚型和特殊抗体的发现,CIDP的分类也有所改变。2019年中国慢性炎性脱髓鞘性多发性神经根神经病诊治指南将不典型CIDP分为远端获得性脱髓鞘性对称性神经病(distal acquired demyelinating symmetric,DADS)、纯运动型、纯感觉型、MADSAM或Lewis-summner综合征和局灶型[4],其中结旁抗体NF155相关CIDP多表现为DADS型。而2021年欧洲神经病学会CIDP诊治指南已不再将这一类型归为CIDP变异型,而单独称为免疫性郎飞结病[5]。近年来,郎飞结区域的相关结构、离子通道、细胞黏附分子及特异性抗体的发现,有助于揭示周围神经病发病机制、寻找生物标志物并制定个体化的治疗方案。2013年,Uncini等[6,7]从病理机制角度提出的郎飞结/结旁疾病(nodo-paranodopathy)的概念,为深入了解CIDP提供了更加广阔的视角,随着结旁抗体阳性病例的发现,也为CIDP的个体化治疗提供了重要帮助。
NF155是位于结旁区髓鞘端的神经束蛋白,参与隔离结区与近结旁区的离子通道,维持结旁区的正常结构和神经冲动的正常传递。2012年Ng等[8]通过ELISA和细胞学方法在CIDP患者血清中检测出抗NF155抗体,且抗体亚型为IgG4型。Meta分析显示,抗NF155IgG4抗体阳性患者占CIDP患者的7%[9]。
目前认为,抗NF155 IgG4抗体阳性患者临床具有高度的一致性及特异性。患者起病年龄早,平均25岁,明显低于抗体阴性的CIDP患者(平均48岁)[10]。患者中71%为男性,以下肢远端无力及感觉障碍起病,足下垂(69.2%)及步态异常(100%)多见,74%的患者伴有感觉性共济失调,低频、高波幅位置性或意向性震颤见于42%的患者[11]。部分患者会出现小脑性共济失调、眼震、视觉异常、面部感觉异常和面瘫等表现[2]。此外,部分NF155IgG4阳性CIDP患者中同时伴有中枢神经系统脱髓鞘改变。中枢-周围脱髓鞘疾病(combined central and peripheral demyelination,CCPD)是一种同时累及中枢及周围神经系统的疾病,临床较为少见。Kawamura首次报道抗NF155抗体阳性CCPD患者以来,NF155抗体阳性患者出现中枢神经系统受累比例及机制尚不完全清楚,总体以亚临床受累多见、视神经受累多见[10,12]。
辅助检查方面,患者脑脊液蛋白含量明显升高[(317.0±141.1)mg/dl][11],脊神经根成像可见明显的神经根增粗,且病程越长,神经根增粗越明显[10]。神经电生理表现为远端潜伏期、F波潜伏期显著延长,MCV减慢,提示远端及近端神经根节段受累显著[2],伴有早期轴索损害者提示预后不良。神经活检可见束膜下水肿及髓鞘缺失,无炎性细胞浸润、血管炎或洋葱球样改变[2]。综上,本例患者临床表现及辅助检查完全符合抗NF155 IgG4抗体阳性CIDP的临床特征。
治疗方面,关于NF155抗体阳性患者的治疗效果以小样本研究为主。不同于其他亚型,因IgG4抗体不参与补体激活途径,且较少与免疫球蛋白的Fc受体(Fc receptor,Fc-R)区域结合,故该抗体阳性患者对通过封闭Fc-R机制起治疗作用的静脉丙种球蛋白(intravenous immunoglobulin,IVIg)反应较差[13]。小样本研究显示,该类型患者对血浆置换(plasma exchange,PE)治疗效果较好。针对日本及西班牙患者的研究显示PE治疗的有效率分别达66.7%(4/6)和100%(3/3)[2,13]。激素治疗在不同人群中效果不一。在日本患者有效率为52%[11],而在4例西班牙患者中仅1例患者经激素治疗部分有效。在免疫抑制治疗方面,利妥昔单抗主要针对B细胞的CD20抗原决定簇,联合PE序贯治疗效果较好[14]。故目前对NF155抗体阳性患者的治疗可选择血浆置换、激素联合免疫抑制剂治疗,长时程小剂量激素和免疫抑制剂可能会有效,同时需监测抗体水平[10]。NF155抗体阳性患者整体预后欠佳,部分与病程缓慢进展、诊疗延误有关。本例患者经血浆置换及免疫抑制剂治疗,症状有部分改善,但因就诊治疗时已发病1年余,故神经电生理及影像学无明显改善,与文献报道的治疗效果一致。
综上所述,抗NF155 IgG4抗体是近年来发现的CIDP特征性生物标志物之一,该类型患者在CIDP中占有一定比例,特别是在对IVIg治疗效果差的患者中所占比例较高。鉴于该类型患者临床表现及辅助检查具有特异性,故在临床中应注意识别、选择有针对性的治疗方案,对改善患者预后具有一定的意义。随着病例的不断积累和研究的不断深入,将有助于加深对该疾病的认识和理解,并对NF155抗体阳性患者的治疗决策具有重要意义。
所有作者均声明本研究不存在利益冲突





















