
患者,女,53岁,绝经2年,因"腹痛1次,发现盆腔包块半个月"就诊。
患者下腹剧痛,难以忍受,伴肛门坠胀感,下腹部扪及直径约10 cm大小包块,较固定,活动度差,伴有腹水。
彩超显示盆腔左侧混合回声团块,腹腔积液。盆腔MRI显示盆腔囊实性巨大肿块,考虑恶性肿瘤可能性大。术中冰冻病理诊断、常规病理检查及免疫组化检查确诊为左卵巢小细胞神经内分泌癌合并黏液腺癌。
全子宫+双侧输卵管卵巢切除术、大网膜切除术、盆腔淋巴结清扫术、腹主动脉旁淋巴结清扫术及腹膜多点活检术,术后辅以化疗。
术后化疗6个疗程,目前随访6个月,影像学检查提示未见转移或复发。
妇产科;肿瘤科
版权归中华医学会所有。本文为遵循CC-BY-NC-ND协议的开放获取文章。
卵巢的黏液性肿瘤在卵巢上皮性肿瘤中仅次于浆液性肿瘤,占所有卵巢肿瘤的15%,多为良性,其次是交界性肿瘤,其余为恶性。黏液性癌可以以囊性结构为主,也可以以实性结构为主。卵巢小细胞癌神经内分泌癌较罕见,恶性程度高,预后差。2020版WHO将女性生殖道神经内分泌肿瘤单独列出呈一章节。我们在此报告一例绝经后女性罕见的小细胞神经内分泌癌合并黏液腺癌病例。
患者,女,绝经2年。因"腹痛一次,发现盆腔包块半月"就诊。半月前患者无明显诱因下出现持续性腹痛,难以忍受,伴肛门坠胀感,无阴道流血,于当地医院就诊,查彩超:盆腔左侧混合回声团块及腹腔积液。行盆腔核磁共振:盆腔囊实性巨大肿块,考虑恶性肿瘤可能性大。后腹痛自行好转。为进一步治疗,患者来我院就诊,复查彩超:前陷凹无回声122 mm×103 mm×73 mm,内回声紊乱区57 mm×36 mm×41 mm,彩色血流稀少。PET-CT示盆腔内囊实性肿块,考虑卵巢恶性肿瘤,相邻子宫受压且分界不清。诊断结论:子宫前方囊性为主混合块。血清肿瘤标记物CA125:51.07 U/ml。患者自然绝经后无激素替代史,生育情况:G5P2。入院后全麻下切除左侧卵巢肿块行快速冰冻病理检查,诊断为"腺癌"。
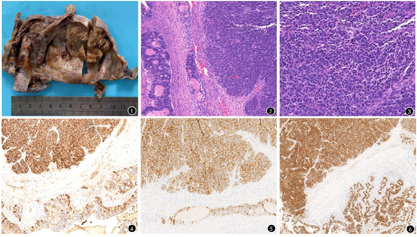
左侧卵巢呈一囊实性肿块,大小8 cm×7 cm×4 cm,表面光滑,切开肿块见实性区范围5 cm×4 cm×3 cm,切面灰白、灰黄色,质脆;囊性区直径6 cm,囊内壁弥漫灰褐色毛糙(图1)。


囊性区示局灶囊壁上皮为单层柱状黏液上皮,胞质含黏液,胞核形态一致位于基底部,染色质淡染,异型性不明显;部分上皮呈高柱状增生呈复层,极性紊乱,伴有轻-中度异型性,核分裂象可见,无间质浸润;部分腺体密集,形状不规则,腺体上皮明显增生,可见杯状细胞,上皮细胞显著异型性,核仁明显,可见病理性核分裂象。实性区伴有大片坏死,细胞呈弥漫性、小梁状或腺样生长方式,排列拥挤,细胞核圆形、卵圆形或略呈短梭形,染色质呈粉尘状,伴有大量的核分裂象,细胞质少(图2)。
黏液腺癌区域广谱细胞角蛋白(CKpan)、CK20、CgA、Syn阳性,SATB2、P16、CK7、PAX8、雌激素受体(ER)、孕激素受体(PR)阴性,P53呈弥漫强阳性突变型表达。小细胞神经内分泌癌区域Ki-67阳性指数90%,CgA、Syn、CD56均阳性,CKpan胞质点状阳性,PAX-8局灶阳性,P53呈弥漫强阳性突变型表达,P16阴性。(图3,图4,图5,图6)
阴性
患者诊断为左侧卵巢小细胞神经内分泌癌合并黏液腺癌ⅠC1期/T1CN0M0。
宫颈小细胞神经内分泌癌合并黏液腺癌通常与高危人乳头状瘤病毒感染有关,高危人乳头状瘤病毒RNA原位杂交显示核的点状阳性,P16弥漫强阳性表达。转移至卵巢的成分常为单一的小细胞神经内分泌癌,呈双侧性,病灶多结节性,位于卵巢表面及皮质区。本例发生于单侧卵巢,大体检查呈囊实性,免疫组化P16、高危人乳头状瘤病毒RNA原位杂交检测均阴性,提示与高危人乳头状瘤病毒感染不相关。检查全子宫标本及广泛取样未发现宫颈病变。故排除宫颈小细胞神经内分泌癌转移至卵巢可能。
畸胎瘤通常含有胃肠道腺体,正常消化道是黏液腺癌和神经内分泌肿瘤的来源之一,类似的细胞也可能存在于畸胎瘤中,并形成黏液腺癌和神经内分泌癌成分。本例左侧卵巢肿瘤经大体检查及充分取样未发现畸胎瘤成分,黏液性肿瘤成分可见良性、交界性及恶性成分,符合原发黏液性肿瘤形态学特征。SATB2是下消化道癌的特异性标记,在畸胎瘤伴肠型黏液上皮分化时也会表达,本例SATB2阴性,结合PET-CT及胃肠镜检查,本例不考虑畸胎瘤来源或下消化道癌转移至卵巢。
患者行全子宫+双侧输卵管卵巢切除术、大网膜切除术、盆腔淋巴结清扫术、腹主动脉旁淋巴结清扫术及腹膜多点活检术,术后采取依托泊苷-顺铂(EP)化疗方案,化疗6个疗程。
术后即进行随访,目前随访6个月,影像学及妇科检查均提示未见转移或复发。
卵巢神经内分泌肿瘤包括类癌、大细胞神经内分泌癌和小细胞神经内分泌癌[1],卵巢神经内分泌肿瘤很少见,几乎总是与成熟囊性畸胎瘤相关的类癌[2],属于低级别神经内分泌肿瘤。卵巢小细胞神经内分泌癌和大细胞神经内分泌癌属于高级别神经内分泌肿瘤,具有高度侵袭性,即使在早期诊断的病例中,预后也很差。当小细胞神经内分泌癌为原发性肿瘤时,通常与其他组织学类型的癌合并发生,如浆液性癌、子宫内膜样癌、畸胎瘤等[3,4]。小细胞神经内分泌癌合并黏液腺癌仅在少数病例中被发现[3,5,6,7]。
卵巢神经内分泌肿瘤的组织发生尚未明确,目前有三种观点,第一种观点认为成熟的神经内分泌细胞成分可以转化为卵巢神经内分泌肿瘤;第二种观点认为,卵巢神经内分泌肿瘤可能是非神经内分泌细胞发生肿瘤性神经内分泌转化,伴随着基因序列的激活[7,8,9]。第三种观点认为卵巢神经内分泌肿瘤来自于畸胎瘤。本病例支持第二种观点,因为黏液上皮肿瘤和小细胞神经内分泌癌共存于卵巢,两者均表达CgA和Syn,P53具有相同的突变表达模式。
在我们的病例中,发现卵巢黏液腺癌和其他部位的很多癌一样,例如肺癌,可以表达神经内分泌标记物CgA和Syn,但缺乏任何神经内分泌分化的形态学特征[10,11]。此外,靶向治疗后的肺腺癌可以向小细胞神经内分泌癌转化,认为是一种耐药机制[12],肺腺癌的这种进展及转化过程也可以用来解释卵巢神经内分泌癌,因此在解读免疫染色结果时应谨慎,神经内分泌标记物的表达并不一定表明肿瘤起源于神经内分泌细胞,它可能代表肿瘤的进展[1]。
本病例结合形态学及免疫组化诊断明确,其难点在于确定原发还是转移性癌。神经内分泌癌在卵巢很罕见,应排除转移性癌,尤其是当肿瘤缺乏非神经内分泌肿瘤成分时,除了完整的临床和放射学检查外,组织学和免疫组化特征可能会有所帮助。卵巢转移癌的经典组织学形态是多结节实性生长,广泛的淋巴血管侵犯、双侧性或输卵管腔受累。本例可排除宫颈癌转移至卵巢,宫颈小细胞神经内分泌癌合并黏液腺癌通常伴有高危人乳头状瘤病毒感染,本例排除了高危人乳头状瘤病毒感染及宫颈癌。全面的影像学检查和胃肠镜检查也除外消化道来源可能。此外,本病例也经充分取材排除畸胎瘤来源。
卵巢小细胞神经内分泌癌的治疗原则仍然是手术为主,术后放疗及化疗。本例患者术后采取EP方案化疗6个疗程,未经放射治疗,目前无瘤生存,随访时间6个月,但是随访时间较短,其预后情况需更长时间的随访。
所有作者均声明本研究无利益冲突





















