
患者55岁女性,主因"左足趾疼痛十余年"就诊于北京大学人民医院疼痛医学科。
患者10余年前无明显诱因出现左侧第三足趾疼痛,重度疼痛,呈间歇性发作,性质为针刺样,阴天、劳累、受冷、情绪激动可加重疼痛,多次就诊外院予口服镇痛药物、理疗、针刺治疗等效果不佳。3个月前行针刺治疗后疼痛范围增大,重度疼痛,程度较前加重。体格检查:左侧第3足趾隆起变形,内侧缘不规则;触摸甲板根部诱发剧烈疼痛,NRS评分9分。双下肢皮肤颜色、温度无明显异常。肌骨超声:左足第三趾甲深方低回声包块。
结合症状体征及相关检查,考虑血管球瘤。术后病理证实为血管球瘤,大小1.2 cm×0.6 cm×0.3 cm。
患者行外科手术切除。
术后一月随访,患者疼痛基本缓解。
疼痛科;风湿免疫科;手足外科;骨科
版权归中华医学会所有。本文为遵循CC-BY-NC-ND协议的开放获取文章。
血管球瘤(Glomus tumor,GT)是一种少见的起源于正常血管球结构的血管性错构瘤[1]。GT可发生于身体的任何部位,但最常见于肢体远端,尤其是甲下,75%的报告病例发生于手部,其中90%位于甲床下[2]。其他文献中报道的病变部位包括肺、胃、结肠、肾、气管、乳房等[2,3,4]。血管球瘤很少呈现为多发性或恶性病变[5]。GT典型的三联症状为:间歇性自发痛,精确且剧烈的触痛,冷敏感。它的最佳治疗是外科手术完整切除。GT因病变部位不同而表现各异,医生认识不足或临床表现不典型可耽误诊治,肌骨超声可能有助于表浅部位GT的检出,本病例旨在加深临床医师对该疾病的认识。
患者为55岁女性,10余年前无明显诱因出现左侧第3足趾疼痛,重度疼痛,呈间歇性发作,性质为针刺样。阴天、劳累、受冷、情绪激动等可加重疼痛,患者述甲床根部可见局部变黑,外院予口服镇痛药物、理疗等效果不佳。3个月前行针刺治疗后变黑部位消失,但患者疼痛逐渐加重,且疼痛范围增大为左侧第1~5足趾及足背前1/2,触摸第3足趾甲板根部可诱发疼痛,重度疼痛,程度较前加重,多次外院行针刺、理疗等治疗疼痛无明显改善,故进一步诊治。既往史、家族史无特殊。体格检查:左侧第3足趾隆起变形,内侧缘不规则;甲板根部痛觉超敏。双下肢皮肤颜色、温度无明显异常。双下肢肌力、肌张力无明显异常。
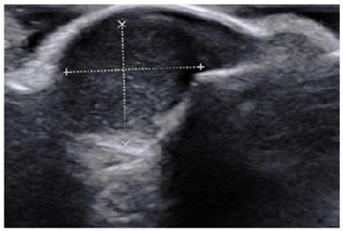
左足X线检查:未见明显异常;腰椎CT:腰椎退行性改变,L4椎体前滑脱,L4/5椎间盘膨出并后突;左足肌骨超声:左足第3趾甲深方低回声包块,考虑血管球瘤可能大(图1)。


患者慢性病史,具有典型的三联表现:间歇性自发疼痛,精确且剧烈的触痛,冷敏感,肌骨超声提示甲床下肿瘤,考虑血管球瘤可能大,确诊需病理证实。
甲下血管球瘤需与以下疾病鉴别:
1.甲下外生骨疣:它是起源于骨软骨的良性肿瘤,常见于拇趾,可引起疼痛及甲畸形,需考虑该疾病,但患者发病年龄、精确的触痛及冷敏感,足X线未见明显异常等情况与该疾病不符合。
2.黑色素瘤:甲附属结构的黑色素瘤较少见,主要表现为甲下棕褐色或黑色斑点,患者曾述甲床根部变黑,需考虑该疾病,但疼痛特点及冷敏感等情况与该疾病不符合。
3.复杂区域疼痛综合征(Complex regional pain syndrome,CRPS):患者于针刺治疗后疼痛明显加重,疼痛范围增大,查体可见足趾隆起变形、内缘不规则,痛觉超敏,符合CRPS诊断标准,需考虑,但该疾病是排他性诊断,而甲下血管球瘤则可更好地解释本病例绝大部分特点。
患者于腰麻下行甲板下肿物切除术,术中拔除第3足趾甲板,探查可见肿物位于甲床下方,局部与甲床组织粘连。切开甲床,发现肿物位于远节趾骨表面,将肿物与部分粘连甲床组织切除。
术后病理:结节状肿瘤,肿瘤细胞呈圆形、卵圆形,围绕小血管呈巢状分布,间质可见黏液样变,符合血管球瘤,大小1.2 cm×0.6 cm×0.3 cm。术后1个月随访,患者疼痛基本缓解,术后1年随访,未见患者复发。
血管球是人体正常具有收缩性的神经肌动脉球结构,它是一种特殊的动静脉吻合复合体,由入球小动脉、吻合血管(Suquet-Hoyer)、出球小静脉组成[5]。血管球可以通过动静脉短路机制调节外周血流,从而调控血压和体温[6]。血管球瘤归属于血管周细胞肿瘤类[7],它占手部所有软组织肿瘤的1%~5%[8]。血管球分布遍及全身真皮网状层,但高度集中在肢体末端,尤其是甲下,这正是血管球瘤多位于甲下的解剖学基础。
血管球瘤的临床表现差异明显,发生于四肢末端等表浅部位时可出现皮肤下(比如指、趾甲)下红蓝色结节,经典三联症状包括间歇性自发痛,精确触痛及冷敏感。位置深在及内脏器官的血管球瘤可无症状,在影像学检查时意外发现;或出现受累器官相关的症状,比如肺和支气管处血管球瘤可表现为呼吸困难、咳嗽、咯血[9],肾血管球瘤可出现腰痛、尿路症状及镜下血尿[10]。本病例患者即出现了典型的三联症表现,但其疼痛范围明显超出病变所覆盖的区域。甲下血管球瘤患者体格检查时可出现大头针按压试验、Hildreth试验及冷敏感试验阳性,大头针按压试验敏感性高,Hildreth试验特异性强,冷敏感试验的敏感性及特异性均很好[11]。血管球瘤确诊需依赖病理学检查,其病理表现主要为血管球细胞包绕血管构成瘤巢,内含球细胞、血管及平滑肌,根据三者比例不同而分为实性、血管性和黏液性三种病理类型[12]。
对熟识此病的临床医师,典型的临床表现及体征有助于血管球瘤的检出。但本疾病典型表现缺乏特异性,对于不熟悉此病的医师而言,或当病变位于深部组织时,诊断往往存在一定困难。恰当有效的影像学手段能清晰地呈现疼痛区域的局部结构是否存在异常。甲下血管球瘤在X线检查时可出现远端指骨、趾骨的侵蚀等间接征象;血管球瘤在超声下的表现为局限的实性低回声肿块,彩色多普勒可显示肿块内部大量血流信号,超声能检出直径2 mm以上的肿瘤;核磁的软组织分辨性好,亦能检出2 mm以上的血管球瘤,其在T1序列呈现中等信号,在T2序列则表现为高信号[11,13]。肌骨超声可对肌骨系统大部分组织成像,包括肌肉、肌腱、韧带、关节、神经和软骨等,可清晰地显示甲下的结构,或许有助于甲下血管球瘤的早期检出。血管球瘤患者因症状各异可能就诊于包括骨科、疼痛科、风湿免疫科、呼吸科、肾内科等多个不同学科,加强对该病认识,合理运用影像学检查有助于疾病的正确诊断,提高病人就诊效力、缩短病人就诊时间,减轻病人精神及经济负担。
手术切除是治疗本病的唯一有效方法,甲下血管球瘤的手术方式包括经甲板途径和外侧经骨膜下途径,后者能更好地保护甲板的功能。早期经甲板途径术式需拔除整个甲板或切除部分甲板,切开甲床,暴露及切除肿瘤。随后出现甲板局部开窗切除肿瘤的方法,该术式在术前行精确肿瘤定位,术中距肿瘤远端3 mm,两侧缘2 mm于甲板做切口,向近端掀起甲板,完整暴露甲床,显微镜下行肿瘤切除,既减少了对甲床损伤,也避免拔甲后的疼痛[14]。外侧骨膜下途径,根据肿瘤位置偏向选择尺侧或桡侧切口,切口偏背侧,翻开背侧皮瓣,暴露并切除骨膜下肿瘤[15],该术式最大限度地保留了甲板,避免对其功能的破坏。血管球瘤的完整切除有助于疼痛缓解,减少术后复发。
所有作者均声明本文不存在利益冲突





















