
患者老年女性,因发现右肺占位就诊介入科,行CT引导下右肺穿刺活检术。
术后出现咳嗽、咯血,随即出现头晕、意识不清、肢体抽搐,体格检查左侧肢体肌力下降,双侧病理征可疑阳性。
行头MRI示左侧额颞顶枕叶、右侧额顶叶及其皮层下、左侧小脑半球多处新发脑梗死灶。胸部CT提示左心室腔可见气体影。颈动脉超声:双侧颈动脉内膜增厚。排除其他常见脑梗病因,如房颤、粥样硬化斑块脱落等,考虑诊断空气栓塞。
予高压氧+机械通气支持治疗,联合抗癫痫、改善脑循环、镇静治疗。
患者意识转清,左侧肢体肌力有所恢复。
重症医学科;神经科
版权归中华医学会所有。本文为遵循CC-BY-NC-ND协议的开放获取文章。
空气栓塞是指因空气在短时间内进入血液循环,形成气泡阻塞血管所致,因气泡最终滞留位置的不同,可分为静脉或动脉气体栓塞。肺穿刺活检引发空气栓塞的诱因包括:活检空洞性病变、血管炎性病变(如毛玻璃影)、咳嗽及正压通气等。本文介绍了1例CT引导下肺穿刺活检发生空气栓塞导致脑梗死患者的诊疗过程,由此引发了我们对空气栓塞患者病因、临床表现、影像学、诊断及治疗等方面的思考。希望本文能增进临床医师对空气栓塞的早期识别及诊疗方面的认识。
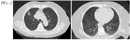
患者女性,76岁,2020年4月外院检查时发现右肺占位,胸部CT提示:右肺上叶前段,混杂磨玻璃密度,边缘毛糙,见多发毛刺,邻近胸膜受轻度牵拉,病灶范围约2.7×1.6 cm(图1),否认发热、胸闷、憋气、咯血等症状。患者2021年6月为行肺穿刺活检就诊我院。既往有高血压病史5年,口服药物治疗,血压控制尚可。个人史、家族史、月经婚育史无殊。完善术前检查除外禁忌后,于2021年6月22日在局部浸润麻醉下行CT引导下右肺穿刺活检术,过程顺利,术后复查CT,无气胸征象,可见局部少量出血。患者起身时出现咳嗽伴咯血,约3~5 ml,随即出现头晕,意识不清,给予吸氧、补液等对症处理后返回病房,回病房后患者意识转清,但反应迟钝,言语不清,伴间断四肢抽搐。体格检查:双侧瞳孔等大等圆,对光反应灵敏,伸舌居中,左上肢近端及远端肌力0级,右上肢近端及远端肌力4级,双下肢肌力4级,四肢肌张力正常,双侧病理征可疑阳性。2小时后患者再次出现意识不清,仍有间断四肢抽搐。


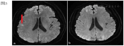
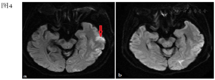
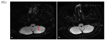
行心电图:窦性心律,T波改变;急查血常规、凝血功能、降钙素原、心肌损伤标记物、BNP未见明显异常。血气分析:酸碱度7.345,二氧化碳分压45.7 mmHg,氧分压74.4 mmHg,乳酸2.1 mmol/L;胸部CT提示:左心室腔可疑气体影(图2)。颅脑CT未见异常,急诊颅脑MRI示:左侧额颞顶枕叶、右侧额顶叶及其皮层下、左侧小脑半球多处新发脑梗死灶(图3a、图4a、图5a)。颈动脉超声:双侧颈动脉内膜增厚。患者同日转入ICU进一步治疗,入室体格检查:T 37.8℃,P 87次/分,R 15次/分,BP 190/109 mmHg,鼻导管吸氧,血氧饱和度98%。浅昏迷状态,GCS评分:E2V2M4,双侧瞳孔等大等圆,直径约2 mm,光反射迟钝。双肺听诊呼吸音清,心脏听诊律齐,未闻及杂音及额外心音。四肢肌张力增高,双侧巴氏征阳性。






本例患者,老年女性,体检发现右肺结节,为明确诊断行CT引导下肺穿刺活检术,术后出现意识改变、肌力下降、肢体抽搐等症状,胸部CT示左心室腔可疑气体影;颅脑MRI示多发新鲜脑梗。双侧颈动脉超声未见狭窄或斑块,既往无房颤病史,暂不支持脑栓塞及脑血栓形成。结合患者穿刺后出现症状、体征及影像学检查,科室内共同讨论后,考虑空气栓塞导致脑梗死不除外。
患者意识不清,气道保护能力差,入室予气管插管接呼吸机辅助通气,予哌拉西林他唑巴坦抗感染,咪达唑仑镇静,丙戊酸钠控制癫痫,依达拉奉、丁苯酞改善大脑微循环,5小时后到达高压氧室紧急行高压氧治疗。
CT引导下肺穿刺活检术因其创伤小、灵敏度高、并发症少等优点,在肺部肿瘤的诊断和治疗中发挥了重要作用。但作为一种有创检查手段,常见的并发症包括气胸、肺内出血、血胸、胸膜反应等,空气栓塞是罕见却危及重要器官乃至生命的并发症。气体进入体循环静脉系统并随血液循环到达右心室及肺循环时为静脉空气栓塞,可导致右房、右室及右室出道的栓塞,产生急性循环衰竭,最终导致死亡。气体进入左心房及左心室随血液循环进入体循环时则发生动脉空气栓塞。动脉空气栓塞是肺穿刺活检最严重的并发症[1,2],可导致重要脏器(脑、脊髓、心脏)缺血,引起意识改变、抽搐、偏瘫、心律失常、心肌缺血,甚至心搏骤停等。发生空气栓塞必须具备两个条件:1.空气来源与脉管系统之间存在直接交通;2.存在推动气体进入血管的压力梯度,而不是导致血管出血的压力梯度。本例患者胸部CT提示磨玻璃密度,邻近胸壁有牵拉,且患者穿刺结束后出现咳嗽导致胸腔内压力骤增,促使气体向血管内移动,考虑存在空气栓塞的诱因。以往的一些研究表明,空气气泡可导致血管内皮受损,破坏血脑屏障[3],导致颅内压增高,损伤脑组织。此外,空气气泡不仅通过机械性阻塞血管,血管痉挛和微血栓形成减少器官灌注,还能通过激活白细胞,使白细胞边缘化,导致器官水肿和继发性缺血[4]。本例患者穿刺2小时后再次出现意识不清,可能与空气栓塞导致的继发性脑水肿和缺血有关。
空气栓塞的确诊需要CT或MRI证明栓塞器官的血管内存在空气气泡[5,6],CT发现空气栓子最常见的位置是左心室[7],但因空气气泡可能在血液循环中被快速吸收,难以得到确诊。就临床实际情况而言,空气栓塞往往是一种排除性诊断,要求有高度怀疑的临床背景并排除其他诊断后才考虑。本例患者肺穿刺活检后出现典型的临床症状,且胸部CT证实了左心室内有空气气泡存在,考虑大脑空气栓塞诊断相对明确。
空气栓塞的治疗包括严密监测生命体征、头低脚高位[8]、机械通气、容量复苏等对症支持治疗和高压氧治疗。高压氧治疗空气栓塞的原理是波义耳-马略特定律,即一定质量的气体在温度不变时其体积和压强成反比。高压氧治疗的特点:①可以缩小气泡尺寸,置换出空气中的氮气,解除梗阻,恢复正常血流,②提高动脉氧分压,增加动脉氧含量,从而改善组织缺氧[9];③Cheng[10]研究发现,高压氧可以通过抑制环氧合酶信号通路来减轻脑缺血-再灌注后的炎症反应,在空气栓塞的治疗中占有重要地位。空气栓塞合并心肺损害或神经功能障时应尽早接受高压氧疗,文献报道,6小时内接受高压氧治疗的患者疗效明显优于延迟治疗的患者[11]。国内外文献报道高压氧治疗空气栓塞的压力不一,多为2.0~3.0 ATA[9,12]。高压氧治疗疗程目前尚无统一标准,治疗施治1周可对疗效和预后作出初步评判。本例患者发病后5小时内紧急行高压氧治疗,压力为2.2 ATA治疗7天,评估有效,继续治疗3天,最终患者意识转清,肌力较前恢复。
作为ICU医师,我们应充分了解各种操作及手术的并发症,当术后患者出现不适时,除考虑常见并发症外,不能遗漏少见并发症。外科术后、创伤、中心静脉导管置入、正压通气在ICU比较常见,这些因素均可导致空气栓塞,更应该提高对空气栓塞的认识与警惕性。当患者发生空气栓塞时应善于通过病史、查体、影像学检查寻找证据,早诊断、早治疗。通过诊治这样一位患者,让我们体会到重症医学医师应在临床实践中不断学习,增加对疾病的认识,通过病史、查体、辅助检查,提高早期识别疾病的能力。
所有作者均声明本研究不存在利益冲突





















