
患者,社会性别男,41岁,已婚未育。因"检查发现右肾上腺占位4年余"入院。无阵发性头晕、头痛、心悸等不适,此后定期复查,发现占位较前增大,为进一步就诊来我院就诊。
中等体型,偏矮。主要表现为男性外貌,全身皮肤、黏膜色素沉着,尿道下裂。
染色体46,XX。基础血清17α-OHP、睾酮、ACTH升高,CT可见右侧肾上腺巨大占位,中剂量地塞米松抑制试验后17α-OHP、睾酮被明显抑制。CYP21A2基因靶向二代测序发现患者CYP21A2基因2个杂合变异M1:c.518T>A:p.I173N,M2:c.293-13C>G(上海韦翰斯生物医药科技有限公司)。诊断:(1)先天性肾上腺皮质增生症(21-羟化酶缺乏症,单纯男性化型);(2)右侧肾上腺"瘤样"增生可能性大。
考虑患者右侧肾上腺占位可能为皮质过度增生的结果,予醋酸氢化可的松治疗。
激素减量后虽然占位未进一步缩小,但随访9年也无恶变倾向,根据患者治疗后随访情况再次表明该患者原右侧肾上腺占位可能为皮质过度增生的结果。
内分泌科;遗传代谢科;泌尿外科
版权归中华医学会所有。本文为遵循CC-BY-NC-ND协议的开放获取文章。
先天性肾上腺皮质增生症(congenital adrenal hyperplasia,CAH)在临床上较少见,伴巨大肾上腺占位病变的更少,且国内外少有单纯男性化型伴肾上腺巨大占位的"男性"病例的诊治及长期随访报道,现将本院2012年收治的1例并随访至今的病例报道如下,同时复习相关文献,对此病的临床特点、发病机制及诊治进行探讨。
患者,社会性别男,41岁,因"检查发现右肾上腺占位4年余"于2012年4月26日入院。已婚未育。查体:血压:103/66 mmHg。身高145 cm,体重47kg,体重指数(BMI)22.35 kg/m2。患者足月顺产,父母非近亲结婚。约12岁时身高较同龄人高,15岁之后身高无明显变化。父母健在。家中有4个兄弟,1个姐姐,均体健。家族中无类似肾上腺占位病史。专科情况:男性外貌,声音低沉,喉结突出,全身皮肤、黏膜色素沉着,唇周可见胡须。双侧乳房对称,Tanner Ⅱ-Ⅲ期。生殖器:阴毛浓密,呈倒三角分布,阴囊未融合,内未触及睾丸,阴茎长约5 cm,短小,尿道下裂,开口于阴茎根部。
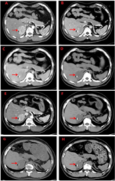
染色体46,XX(考虑体检外生殖器表现为女性男性化表现)。CYP21A2基因靶向二代测序发现患者CYP21A2基因2个杂合变异M1:c.518T>A:p.I173N,M2:c.293-13C>G(上海韦翰斯生物医药科技有限公司)。建议患者行盆腔B超积极寻找子宫及附件,但患者不同意。内分泌激素、中剂量地塞米松抑制试验(地塞米松0.75 mg每6 h一次×5 d)见图1。(地塞米松抑制试验结果这里描述一下)肾上腺CT平扫+增强(图2 A-D)示:右肾上腺一椭圆形稍高密度影(5.8 cm×4.2 cm ×5.6 cm),边缘清晰,内见斑点状钙化灶及斑片状低密度区,增强扫描见病灶有明显强化。


注:Cor为皮质醇,ACTH为促肾上腺皮质激素,E2为雌二醇,P为孕酮,T为睾酮,17α-OHP为17α-羟基孕酮


注:2012年4月20日肾上腺增强CT:动脉期(图A),门脉期(图B),平衡期(图C),平扫(图D);2012年12月26日肾上腺增强CT动脉期(图E),平扫期(图F);2015年8月19日肾上腺CT平扫(图G);2018年4月24日肾上腺CT平扫(图H)。右侧肾上腺占位(如箭头所示)
结合患者的临床表现、实验室检查与基因检测确诊先天性肾上腺皮质增生症(21-羟化酶缺乏症,单纯男性化型),右侧肾上腺"瘤样"增生可能性大。
予醋酸氢化可的松治疗,根据病情调整剂量。
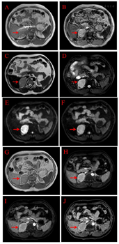
醋酸氢化可的松起始剂量60 mg/d,根据病情调整剂量。2012年12月26日复查肾上腺CT平扫+增强(图2 E-F)示右侧肾上腺占位性变(5.6 cm×4.0 cm×4.1 cm)体积较未治疗前缩小约33%。2012年12月26日盆腔CT示:盆腔内可见子宫及附件结构,子宫大小、形态及密度未见异常。左侧附件见一大小约1.8 cm×1.4 cm囊性肿块,增强时囊壁强化。2013年5月份自觉双侧乳房增大、胀痛,自行将醋酸氢化可的松减量至40 mg/d后自觉乳房无继续增大,且胀痛减轻。根据患者治疗后复查的结果表明该患者原右侧肾上腺占位可能为皮质过度增生的结果,且患者强烈要求保留其男性社会性别,遵从患者意愿,醋酸氢化可的松减量为40 mg/d。2015年1月患者自行将醋酸氢化可的松减量至20 mg/d,2015年8月19日复查肾上腺CT示右侧肾上腺占位性病变与前比较未见明显变化(图2 G),建议予醋酸氢化可的松15 mg/d,但其自行减量至10 mg/d。2018年4月20日复查肾上腺CT示:右侧肾上腺占位性病变与前比较仍无明显变化(图2 H)。2021年4月1日双侧肾上腺MRI平扫+增强示:右侧肾上腺去见一稍短T1长T2信号灶,信号欠均匀,DWI呈高信号,其内见斑片状短T1长T2脂肪信号灶,压脂序列呈低信号,增强扫描明显不均匀强化区,其内脂肪成分未见强化,周围见斑片状延迟强化区,大小约5.0 cm×3.9 cm×4.9 cm;左侧肾上腺较同侧膈肌厚,最厚处约0.9 cm。双侧肾上腺与周围结构分界清楚。双侧肾上腺水平腹膜后淋巴结未见重度。提示右侧肾上腺占位较2018年4月缩小约4%,较未治疗前缩小约30%(图3)。阴囊、睾丸、阴阜超声提示:会阴部探及可显示腹腔内未见正常睾丸及附睾组织回声。治疗前后各项指标变化(图1)。


注:2021年4月1日双侧肾上腺磁共振平扫+增强:A:T1WI同相位;B:T1WI反相位;C:T2WI;D:T2WI SPIR;E:DWI b=0;F:DWI b=800;G:T1WI;H:增强动脉期;I:增强静脉期;J:增强延迟期。右侧肾上腺占位(如箭头所示)
CAH合并肾上腺占位在临床上较少见,但近年来国内报道的数量逐渐增多。截至2020年,国内文献总共报道了73例CAH合并肾上腺占位,其中21-羟化酶缺乏症(21-hydroxylase deficiency,21-OHD)合并肾上腺占位最多见(63.0%)(表1)。有36例经手术或者针吸穿刺取得病理结果,其中肾上腺腺瘤20例(2例腺瘤合并出血,1例病理提示肾上腺皮质肿瘤,部分细胞异型[1]),肾上腺增生6例,髓样脂肪瘤9例,皮质癌仅1例[2],其余均无恶性占位报道(表2)。国外文献提示CAH患者发生肾上腺肿瘤的概率增加,大部分为髓样脂肪瘤[3,4],其次为无功能肾上腺腺瘤或者增生,仅有10例合并肾上腺皮质癌[5,6,7,8],这与国内情况稍有不同。

73例CAH类型、肾上腺占位大小及治疗方案总结
73例CAH类型、肾上腺占位大小及治疗方案总结
| 诊断 | 例数(%) | 占位大小范围(cm×cm~cm×cm) | 治疗方案 | |||
|---|---|---|---|---|---|---|
| 手术 | 激素 | 未提及 | ||||
| 21-OHD | 46(63.0 ) | 1.3 ×1.5 ~21.0 ×14.0 | 26 | 19 | 1 | |
| 17α-OHD | 20(27.4 ) | 1.3 ×1.3~20.0 ×15.0 | 9 | 8 | 3 | |
| 11β-OHD | 7 (9.6 ) | 1.5 ×1.5 ~5.2 ×5.0 | 1 | 4 | 2 | |
| 总计 | 73(100 ) | 1.3×1.3~21.0 ×14.0 | 36 | 31 | 6 | |
注:21-OHD为21-羟化酶缺乏症;17α-OHD为17α-羟化酶缺乏症;11β-OHD为11β-羟化酶缺乏症

1985~2020年国内报告的CAH合并肾上腺占位的发病情况
1985~2020年国内报告的CAH合并肾上腺占位的发病情况
| 年份 | 例数 | 左侧 | 右侧 | 双侧 | 病理 | ||||
|---|---|---|---|---|---|---|---|---|---|
| 增生 | 腺瘤 | 髓样脂肪瘤 | 皮质癌 | 总计 | |||||
| 1985年-2000年 | 5 | 2 | 3 | 0 | 3 | 2 | 0 | 0 | 5 |
| 2001年-2010年 | 8 | 2 | 2 | 4 | 0 | 1a | 0 | 1 | 2 |
| 2011年-2020年 | 60 | 22 | 10 | 28 | 3 | 17b | 9c | 0 | 29 |
| 总计 | 73 | 26 | 15 | 32 | 6 | 20 | 9 | 1 | 36 |
注:a 1例腺瘤并出血;b 1例部分细胞异型,另1例腺瘤并出血;C2例腺瘤合并脂肪瘤
CAH合并肾上腺占位的发病机制目前研究尚少,1986年Falke等[9]发现在未治疗CAH的成年患者中,过度促肾上腺皮质激素(ACTH)产生的慢性肾上腺皮质刺激可能引起肾上腺皮质肿瘤的发展。随后Jaresch等[4]发现CAH患者中82%的CYP21纯合子突变和45%的CYP21杂合子基因突变均存在无症状的大结节性肾上腺皮质增生或肾上腺皮质腺瘤,其机制可能与长期高ACTH刺激肾上腺皮质增生有关。
对于CAH合并肾上腺占位的诊治没有明确的指南,目前国内外学者尚无统一的治疗方案,本研究统计了国内文献报道的CAH合并肾上腺占位的病例及治疗方案,发现建议手术或因误诊而手术[10]的有36例(49.3%)。主张激素治疗的有31例,其中有随访占位转归的有14例:缩小8例(57.1%)、消失2例(14.3%)、不变4例(28.6%)[11,12];提示在CAH中充分利用糖皮质激素替代治疗来抑制ACTH过度分泌对于治疗和预防肾上腺增生或降低转化为肿瘤有重要作用。有少部分文献未提及占位如何治疗[13,14]。Bhatia等[15]报道了CAH合并肾上腺占位予激素治疗6个月后,占位仍增大0.5 cm,后行手术切除治疗,病理提示为腺瘤。2016年欧洲对肾上腺偶发瘤的诊治指南[16]提出,对于无症状、无功能的单侧肾上腺肿块和成像研究中明显的良性特征的患者,通常不需进行手术。对于影像学不能确定肾上腺肿块是否为良性的患者在初次评估后不进行肾上腺肿瘤切除术,但是建议在6-12个月后复查肾上腺平扫CT或MRI以排除明显的生长。在此期间,如果病灶扩大超过20%(并且最大直径至少增加5 mm),建议手术切除。如果病灶生长小于上述标准,建议6~12个月后再次进行影像学检查。
本患者表现为女性男性化、染色体为46XX,基础血清17α-OHP大于10 000 ng/dl,睾酮、ACTH升高,CT可见右侧肾上腺巨大占位,中剂量地塞米松抑制实验后17α-OHP、睾酮被明显抑制,CYP21A2基因检测到2个杂合变异M1:c.518T>A:p.I173N,M2:c.293-13C>G,临床符合经典型21-羟化酶缺陷症诊断[17,18]。因未及时得到诊断及治疗,肾上腺CT表现为右侧肾上腺巨大占位,实验室检查不能确定占位病变的良恶性,根据查阅文献及结合患者具体病情,考虑占位为肾上腺"瘤样"增生,故采取糖皮质激素替代治疗并动态观察。经过7个多月的糖皮质激素(醋酸氢化可的松)替代治疗后,肾上腺占位体积较前缩小33%,血ACTH及睾酮较前下降。国内CAH诊治共识[17]指出CAH患者激素治疗后主要监测早晨空腹,未服氢化可的松前测定的17α-OHP和雄激素的水平,两者测值需综合判断,两参数均宜控制在稍高于按年龄或青春期相应参照值范围正常上限为度。但由于本病例的特殊性,患者睾酮被抑制后出现乳房增大、胀痛,遂自行减量,且患者以"男性"社会性别生活了40多年,并以"男性"组建了一个家庭,患者有强烈的保留男性社会性别的意愿,后续治疗中患者依从性欠佳。考虑到用药安全及遵从患者的意愿,故睾酮、17α-OHP未能抑制到正常值上限。但本研究已动态观察右侧肾上腺占位9年,激素减量后虽有增大趋势,但其大小与治疗前相比仍缩小约30%,也未见有恶变倾向。关于性腺方面的随访,患者首次住院期间,本课题组即建议其完善性腺相关检查,但患者不同意。2012年12月26日患者盆腔CT示:盆腔内可见子宫及附件结构。2021年3月29日随访,完善性腺超声未探及阴囊及附睾,提示目前无性腺恶变依据。现患者无不适主诉,完善肾上腺MRI平扫+增强提示"瘤样"增生可能性大,且大小较未治疗前相比缩小约30%。建议患者继续以低剂量醋酸氢化可的松10 mg/d替代治疗,后续本课题组将继续跟踪随访。
综上,在未经诊治或激素有效替代治疗的CAH患者中,肾上腺往往呈"瘤样"增生,故此类患者常可伴发肾上腺增生或良性肾上腺肿瘤,如腺瘤或髓样脂肪瘤。因此大部分患者经糖皮质激素替代治疗后肾上腺占位可明显缩小或消失,少数无明显变化的可能为无功能腺瘤。经过多年随访,本研究得出CAH合并肾上腺占位即使没有进行有效的药物干预,占位也没有太大的变化,对患者身体也无明显影响。通过这个病例报道及文献复习,CAH合并肾上腺恶性肿瘤发生率极低,提示CAH合并肾上腺占位若无明显恶性倾向往往不需要手术处理,治疗只需补充其缺乏的激素。
所有作者均声明本研究不存在利益冲突





















