
患者男性,33岁,10年前出现刷牙出血,5年前出现全口牙齿松动伴冷热敏感,于2007年11月至美国牙科诊所就诊,医生建议其拔除口内所有牙齿后全口种植牙修复,患者表示不能接受此方案,遂来我院牙周病专科就诊。此前未曾接受过牙周系统治疗。
刷牙出血10年,全口牙齿松动伴冷热敏感5年。查体见患者口腔卫生欠佳,全口牙龈充血红肿,平均牙周探诊深度(PD)7.0 mm,平均附着丧失(CAL)9.3 mm,BOP(+)%:100%,多牙松动Ⅱ~Ⅲ度。
诊断标准为2018年牙周病新分类,通过临床牙周检查结合影像学检查进行诊断。
全口洁治加龈下刮治,定期随访行牙周维护治疗,针对局部松动牙行牙周固定。
随访13年来,除早期拔除的37、46外,绝大多数Ⅱ~Ⅲ度松动、牙槽骨吸收至近根尖、愈后无望的患牙得以长期保留,功能恢复良好。46对应位点牙槽骨部分修复再生,下前牙散在间隙关闭。
口腔科;牙周病专科
版权归中华医学会所有。本文为遵循CC-BY-NC-ND协议的开放获取文章。
牙周病在我国发病率很高,35岁以上人群牙周炎发病率达82.6%~89%,其中重症牙周病为5%~20%。重度牙周炎是我国成人失牙的首要原因。但即使是重度牙周炎,通过有效的基础治疗、定期牙周维护治疗、患者自我口腔维护,也能得到控制。本例重度牙周炎患者初诊时多数牙齿牙槽骨吸收至根尖,松动Ⅱ~Ⅲ度,仅通过牙周基础治疗与牙周维护治疗,随访13年仍有多数牙齿得以保存及使用。本病例为重度牙周炎患者的基础治疗长期疗效提供一定的经验,现介绍如下。
主诉:10年前出现刷牙出血,5年前出现全口牙齿松动伴冷热敏感
现病史:患者10年前出现刷牙出血,5年前出现全口牙齿松动伴冷热敏感,于2007年11月至美国牙科诊所就诊,医生建议其拔除口内所有牙齿后全口种植牙修复,患者表示不能接受此方案,遂来我院牙周病专科就诊。此前未曾接受过牙周系统治疗。
既往史:无特殊,无特殊用药史。
全身情况:否认全身系统性疾病,否认药物过敏史。
家族史:无特殊。
口腔卫生及生活习惯:日常刷牙2次/d,每次1~2 min,横刷法,不使用牙线和牙间隙刷。吸烟10余年,每天10根以上,未戒烟。
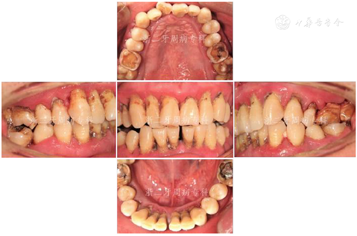
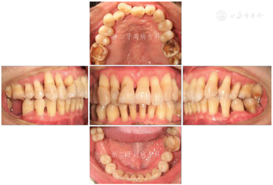
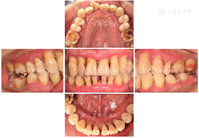
口腔卫生欠佳,软垢指数:2;牙石指数:3;全口牙龈充血红肿;平均牙周探诊深度(PD)7.0 mm,PD≥7 mm的位点占所有检查位点的63.3%(114/180),其中17颊侧远中、17舌侧远中、34舌侧远中、36颊侧近中、46舌侧近中PD深达12 mm;平均附着丧失(CAL)9.3 mm、CAL≥5 mm的位点数为98.3%(177/180);BOP(+)%:100%;37、46松动度Ⅲ度,11~17、21、22、24~27、32、34、41~43、45、47松动Ⅱ~Ⅲ度,余牙松动度Ⅰ度;36、46Ⅲ度根分叉病变。16、26、36、46牙釉质发育不Ⅲ全,11扭转,37缺失舌向倾斜,12、14~16、24、25、41、42咬合时出现异常动度,31、41可见1.5 mm左右牙间隙(图1,图2)。牙髓活力测定:17、34牙髓活力正常,36、37、46"40"无反应。




未见明显异常,颌面部未见明显肿块,颞下颌关节动度正常。
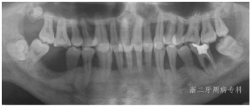
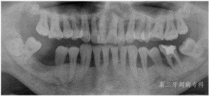
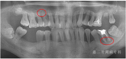
全口曲面体层X片示:全口牙槽骨广泛性水平吸收,46牙槽骨吸收超过根尖;36根尖周和根分叉区低密度影;13、22、23、33~35、43~45、47牙槽骨吸收达根长1/2~2/3,余牙牙槽骨吸收至近根尖(图3)。


(1)牙周炎,Ⅳ期(广泛型),C级[1];诊断依据:①Ⅳ期(广泛型),临床附着丧失≥5 mm;影像学上显示牙槽骨吸收达根长1/2至2/3,个别严重牙齿吸收至根尖;存在咀嚼功能障碍、继发性牙合创伤、重度骨嵴顶缺损、咬合紊乱、牙齿移位;探诊深度≥6 mm;根分叉病变Ⅲ度。②C级,骨吸收(百分比)/年龄(岁)>1.0。(2)(36、46)根分叉病变;(3)错颌畸形;(4)(18、48)阻生牙;(5)(16、26、36、46)釉质发育不全。
(1)牙周基础治疗:①口腔卫生宣教(oral hygiene instruction);②全口龈上洁治,牙周袋≥4 mm位点深部刮治和根面平整(scaling and root planning);③37、46预后无望,建议拔除后择期修复;④36牙周袋超过7 mm,且电活力测试无反应,建议行根管治疗试保留;⑤14、17及多数预后较差的牙齿试保留;⑥恢复16、26、36、46咬合面正常形态。(2)牙周基础治疗3个月后再评估;(3)酌情牙周手术治疗:纠正软硬组织缺陷;(4)正畸治疗:排齐整平牙列,调整咬合关系,改善美观,创建有利于牙周组织健康与稳定的咬合关系,正畸期间定期牙周维护;(5)修复治疗:修复缺失牙,重建功能;(6):牙周维护治疗(supportive periodontal therapy,SPT):每3~6个月定期牙周维护,保持长期牙周健康。
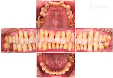
2008年9月:基础治疗完成后6个月牙周复诊,进行再评估,患者口腔卫生状况良好,牙龈炎症明显改善,PD≥7 mm的位点数从108个减少到4个,4~6 mm的位点数从61个减少到39个,平均探诊深度从7.0 mm降至3.0 mm,尤其是17远中2个位点,PD从12 mm分别降至3 mm(颊侧)与4 mm(舌侧);BOP(+)%从100%降到28.6%(图8)。各牙松动度较治疗前也明显改善,下前牙31、41仍有0.5 mm间隙。


针对深牙周袋、16、26、36、46釉质发育不全、牙列不齐、上前牙11扭转及46缺失,建议恢复16、26、36、46咬合面正常形态、牙周手术治疗、正畸及修复46,但患者暂时不考虑牙周手术、正畸和修复治疗。因此,仅进行牙周维护及11~13、21~23松动牙超级粘结剂牙周固定。
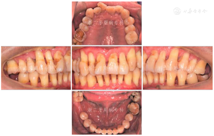
2009年4月:牙周基础治疗后1年复诊。患者口腔卫生可,牙龈色粉质韧,仅下前牙舌侧可见少量软垢,局部龈缘充血(图9),并惊喜地发现:下前牙31、41间隙已完全关闭。牙齿松动度、PD、BOP(+)%与半年前无明显变化(图10)。全口曲面体层X片示:牙槽嵴顶硬骨板较2007年12月清晰,14、17、24、34、36局部有牙槽骨修复、36根尖周骨密度增加,其余位点牙槽骨均未见进一步吸收;46缺牙区牙槽骨密度和高度增加(图11),提示牙周基础治疗后牙周状况得到了明显改善。因37、46缺失牙未及时修复,16略伸长,38近中倾斜,再次建议患者正畸治疗,直立38、压入16,排齐整平牙列,修复缺失牙37、46。患者拒绝正畸和修复治疗。予以16调磨、牙周维护治疗、35~44超级粘结剂牙周固定。






因患者口腔卫生维护有懈怠倾向,给予强化卫生宣教、复发危险评估为高复发危险度(图12),结合患者牙周深袋≥5 mm位点情况以及BOP(+)%等,嘱患者3个月定期牙周维护。


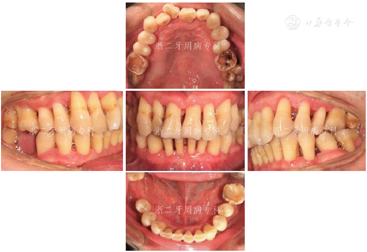
2011年4月:牙周基础治疗后3年复诊。患者口腔卫生维护佳,牙周状况良好,牙龈色粉,无明显红肿,口内未见明显结石与软垢(图13),牙齿松动度牙周袋进一步变浅,PD≥7 mm位点消失,4~6 mm的位点数进一步减少,仅有6个位点,BOP(+)%仅为6.5%(图14)。全口曲面体层X片示:牙槽骨硬骨板较明显,牙槽骨无进一步吸收迹象;37、46缺牙区牙槽骨高度无明显降低(图15)。检查结果显示,患者牙周状况已经稳定。予以牙周维护治疗、复发危险评估,评估结果为中度(图16),嘱患者继续保持口腔卫生,随访时间可延长至9~12个月。








2013年2月:牙周基础治疗后5年复诊。患者口腔卫生维护佳,牙周状况良好,牙龈色粉,无明显红肿,口内未见明显结石与软垢,牙周探诊深度、探诊出血情况基本无明显变化(图17)。予以牙周维护治疗,嘱患者继续保持口腔卫生,定期牙周维护。因46缺失牙仍未修复,建议患者尽早修复缺失牙。


2018年12月、2019年1月:牙周基础治疗后10年复诊。患者口腔卫生维护一般,口内可见少量龈上结石形成,部分牙龈充血肿胀,牙周探诊出血位点明显增多,牙周袋较2013年情况严重。牙周维护后,牙龈肿胀减轻,部分位点龈缘仍充血红肿(图18)。全口曲面体层X片示:与2011年4月比较,24近中牙槽骨再次出现角形吸收,36近中根牙槽骨进一步吸收;而全口其余位点牙槽骨没有明显出现进一步吸收现象,基本维持原有高度,37、46缺牙区牙槽骨高度无明显降低(图19)。PD 4~6 mm的位点数为85个,≥7 mm位点有7个,其中36舌侧远中牙周袋更是深达12 mm,全口BOP(+)%:26.8%(图20)。






本次随访再行复发危险评估,患者为高复发风险(图21),嘱患者保持口腔卫生,3个月定期维护治疗。另因患者口内多牙楔状缺损,提醒患者注意刷牙方式,尽早充填治疗口内多颗楔状缺损牙齿;患者14近中颈部、27颊侧龋坏,建议尽早充填治疗。


2020年11月:牙周基础治疗后12年复诊,行牙周检查和疗效评定。患者牙周状况较上一次复诊好转,牙周袋进一步变浅,全口BOP(+)%降低到18.5%,但36近中颊侧与舌侧两个位点均探及10 mm深的牙周袋(表6)。予牙周维护治疗,强化口腔卫生指导,嘱定期牙周复诊。因患者口内多牙楔状缺损,14近中颈部、27颊侧龋坏,患者仍未充填治疗,再次提醒患者尽早充填治疗。


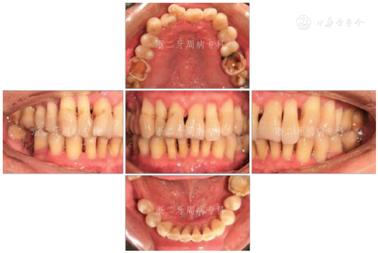
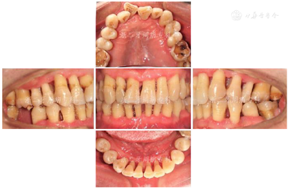
2021年8月:牙周基础治疗后13年复诊,患者口腔卫生维护佳,牙周状况较上一次复诊牙龈色粉,无明显红肿,口内下前牙区可见少量龈上结石(图23),松动度进一步改善,全口BOP(+)%进一步下降至15.4%,但36仍可探及较深牙周袋,近中探诊能触及根尖(图24)。X线片示:与2018年12月比较,36近中根牙槽骨进一步吸收,吸收已达根尖,而全口其余位点牙槽骨没有明显出现进一步吸收现象;14根尖可见低密度影(图25)。口腔锥形束CT(CBCT)示:36近中根牙槽骨吸收至根尖,牙齿与骨面基本分离,舌侧骨壁缺失,颊侧骨壁较低(图26)。本次行复发危险评估结果示高复发危险度,但与上次评估相比,由3个高度危险因素转变成2个高度与1个中度,情况有所好转(图27)。










目前为患者制定的进一步治疗方案:(1)建议14根管治疗后冠修复,防止牙齿折裂;(2)尽早充填治疗28龋坏牙、拔除27残根;(3)建议11、13、15、16、21、22、23牙齿楔状缺损充填治疗;(4)建议择期种植修复27、46缺失牙,酌情植骨;(5)建议拔除36后同期植骨,酌情应用帐篷钉技术行骨增量,择期种植修复36;(6)建议14~21、24、34、42、43、47等位点行牙周手术,酌情牙周软组织增量术;(7)定期随访,牙周维护治疗。
牙周基础治疗是治疗牙周炎最基本也是最有效的手段,是任何牙周病患者治疗成功的关键[2]。本例患者发生重度牙周炎的主要原因为口腔卫生差,菌斑控制不佳,早期出现刷牙出血等牙周炎早期症状时未予重视。初诊时患者全口牙齿松动,牙龈炎症严重,仅经过彻底的牙周基础治疗,包括口腔卫生指导、龈上洁治、龈下刮治与根面平整等,去除菌斑和牙石等局部刺激因素,配合牙周固定,使牙齿松动度改善,牙周袋深度明显降低,有效控制了牙龈组织炎症,同时出现牙槽骨修复。随访13年来,除早期拔除的37、46外,绝大多数Ⅱ~Ⅲ度松动、牙槽骨吸收至近根尖、愈后无望的患牙得以长期保留,功能恢复良好。46对应位点牙槽骨部分修复再生(图28)。患者13年来探诊深度水平随着基础治疗及维护治疗的进行不断改善,目前基本维持稳定(图29)。




牙周基础治疗可使病理性移位的患牙得到一定程度的恢复,使牙周病引起的牙间隙变小。据报道,<1 mm的间隙在进行牙周基础治疗后有77.8%可得到完全关闭[3]。本病例中的患者初诊时下前牙区存在的扇形移位在经过牙周基础治疗后得以改善,31与41移位出现的1.5 mm牙间隙随着牙周基础治疗的进行而逐渐消失,并在长期维护治疗后得以保持。
牙周病治疗周期长,在此过程中需要医患护互相密切配合。牙周维护治疗在此过程中具有重要意义[4],而无法做到定期牙周维护的患者,其牙齿脱落风险会更高[5]。此外,患者口腔卫生维护意识以及自我菌斑控制对控制牙周病的发展起着至关重要的作用[6]。本病例随访13年来,始终秉持着菌斑控制理念、完善彻底的牙周基础治疗和医患护之间的相互良好配合。在诊疗前期阶段患者积极配合,在随访第3~5年,患者口腔卫生控制佳,牙周状况良好,牙周袋无明显加深。但自2013年以后,患者口腔卫生维护意识开始下降,未定期牙周复诊和维护,于2018年时隔五年再次复诊时又出现大量牙周探诊深度≥4 mm的位点,最严重的位点探诊深度为12 mm,从2011—2018年患者因随访不积极、自我维护意识下降,牙周探诊深度和全口BOP阳性位点百分比有所反弹(图30)。再经过医护与患者反复强化口腔卫生维护、定期牙周维护,牙周状况维持稳定,治疗效果显著。


系统完善的牙周基础治疗可有效控制炎症,阻遏牙周病变进展,提高患者满意度,为建立良好的医患关系打下坚实的基础。患者初诊时不愿接受任何手术治疗,仅接受牙周基础治疗,经过长期不断地口腔卫生宣教,以及患者对这十几年来治疗效果满意,逐渐愿意接受进一步的牙体、牙周手术和种植治疗。本病例仍在继续追踪,期待患者积极配合,继续完善正畸、修复等多学科合作治疗,以期获得更好更稳定的疗效。
所有作者均声明本研究不存在利益冲突

























