
患者,男,17岁,因右大腿反复流脓10年入院。10年前无明显原因出现高热伴右大腿肿痛,当地医院诊断为:"右股骨血源性骨髓炎",行股骨开窗灌洗术及抗生素治疗后病情好转。10年间右大腿反复流脓,多次住院疗效不佳(具体方案不详,共10次手术),逐渐出现髋膝关节僵直。2019年4月因再次出现右大腿流脓收住我院,行股骨病灶清创,碘仿纱条填塞治疗,骨感染得到控制,窦道闭合,2020年10月再次复发入院,病程期间大小便正常,体重无明显变化。
行走跛行,右侧髋膝关节僵直,活动障碍,有股骨上段外侧可见陈旧性手术瘢痕,愈合良好,局部无红肿及压痛,无叩击痛,右股骨中下段外侧可见约4cm*0.8cm窦道,深达股骨骨髓腔,窦道内有流脓,周围稍红肿,压痛及叩击痛明显。
①病史:高热后出现肿痛,10年来反复发作、窦道、流脓,抗生素治疗有效。②X线检查提示:右股骨中下段骨髓炎;CT检查提示:右侧股骨可见死骨形成;磁共振检查提示:右股骨中下段高水肿信号改变;全身骨显像(核素扫描)提示:右侧股骨中下段代谢性活跃,符合骨髓炎表现(见图2)。血常规检查:血沉57mm/h,C反应蛋白62.8mg/L。
全身麻醉下进行右侧股骨病损骨段En-bloc切除,Ilizarov骨搬移及锁定钢板固定(Bone transport combined with locking plates,BTLP技术),术后给予抗炎、对症及支持治疗。
治疗后患者感染控制,无窦道及流脓等,搬移骨段新生骨质形成,逐渐矿化,会师端骨痂形成,随访观察中。
骨科;感染科;重症医学科;儿科
版权归中华医学会所有。本文为遵循CC-BY-NC-ND协议的开放获取文章。
骨髓炎是骨科领域的重大难题,发病率高、危害大,青少年的Cierny-Mader Ⅳ型骨髓炎因伴有广泛骨质和软组织受累,治疗更具挑战[1,2]。传统治疗多采用大剂量、长疗程抗生素、开窗、灌洗及反复多次清创往往疗效不理想。有学者报道采用治疗骨肿瘤的En-bloc彻底切除病灶,取得了满意的效果[3]。吴宏日等[4]也报道了采用En-bloc切除结合膜诱导技术治疗此型骨髓炎效果可靠。然而清创后造成的大段骨缺损甚至软组织缺损成为新的治疗难点。
Ilizarov技术和Masquelet技术是目前治疗骨缺损、骨不连及骨髓炎的有效手段[5,6,7]。然而,Masquele技术需要大量自体骨,同时增加了供区疼痛及感染的风险。Ilizarov技术患者带架时间长、依从性差、针道感染等,一直是亟待解决的瓶颈问题。本病例采用骨搬移(bone transport,BT)与锁定钢板(locking plate,LP)膜诱导技术(简称:BTLP技术)相结合取得了满意的效果,报道如下。
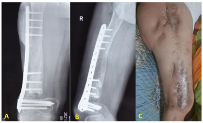
患者男性,17岁,因"右侧股骨反复流脓10年"入院。患者诉10年前无明显原因出现高热,继而出现右大腿疼痛、肿胀。当时到当地医院就诊,诊断为:"右股骨血源性骨髓炎",行股骨开窗减压、冲洗引流治疗,病情好转后出院,十年间患者反复多次出现发作,经过输抗生素治疗后有所缓解,病情时好时坏,期间多次到当地医院及省会某医科大学附属医院进行骨髓炎手术治疗(具体手术方案不详,共10次手术),一直无法根治,且逐渐出现髋膝关节僵直,活动障碍,2019年再次复发来我院就诊(见图1A),予病灶清创,碘纺纱条填塞治疗,治疗后感染得到控制(见图1B)。术后1年半大腿远端再次复发入院(见图1C)。入院查体:一般情况及全身情况良好,生命体征平稳,行走跛行,右侧髋膝关节僵直,活动障碍,右股骨上段外侧可见陈旧性手术瘢痕,愈合良好,局部无红肿及压痛,无叩击痛,右股骨中下段外侧可见约4cm*0.8cm窦道,深达股骨髓腔,窦道内有流脓,周围稍红肿,压痛及叩击痛明显,无高血压、糖尿病等病史,无过敏史,无冶游史,家族中无遗传病病史。


X线检查提示:右股骨中下段骨髓炎;CT检查提示:右侧股骨可见死骨形成;磁共振检查提示:右股骨中下段高水肿信号改变,结合病史考虑感染;全身骨显像(核素扫描)提示:右侧股骨中下段代谢性活跃,符合骨髓炎表现(见图2)。血常规检查:白细胞6.28*109/L,中性粒细胞61.44%,血沉57mm/h,C反应蛋白62.8mg/L,降钙素原0.093ng/ml。


患者长期流脓病史,进行过多次开窗手术治疗,术后伤口未完全愈合,形成窦道,患肢出现功能障碍,CT检查可见死骨形成,全身核素扫描提示右侧股骨中下段代谢性活跃,符合骨髓炎表现,根据以上资料患者明确诊断为:1.右股骨骨髓炎(Cierny-Mader Ⅳ型BL型),2.右髋膝关节僵硬。
入院后完善术前检查并进行查体,了解全身情况及局部软组织情况(包括局部红肿范围、压痛及叩击痛、皮肤软组织条件),影像学评估包括X线片、CT、MRI及全身骨显像,由此初步判定骨及软组织的清创范围、术前检验包括常规血常规、红细胞沉降率( ESR) 、C-反应蛋白( CRP)及降钙素原(PCT)。
第一阶段,术前分泌物培养,术中按先软组织后骨组织顺序,切除窦道及周围炎性组织,En-bloc切除股骨下段感染骨质,标本送病理检查和微生物培养+药敏,清创后双氧水、淡碘伏水及生理盐水反复冲洗,在确保肢体力线,长度及旋转恢复状态下,采用肱骨近端锁定钢板倒置固定(见图3),用万古霉素骨水泥涂抹覆盖钢板的表面,钢板近远端穿过骨皮质锁定固定,骨缺损部位钢板上也安装2枚锁定螺丝钉固定(钢筋混凝土),所有螺帽用医用骨蜡涂抹(以便二期取出螺钉),髓腔中插入万古霉素骨水泥棒占位(方便二期取出),骨缺损用抗生素PMMA骨水泥填充(每40 g庆大霉素骨水泥添加4g万古霉素)。同时在断端缝隙及钢板外填塞万古霉素骨水泥,将钢板完全包裹,切口采用皮下游离后直接缝合,伤口上下各留置1根引流管,术后给予第三代头孢菌素,每12 h给药一次,连续给药2周。负压引流10天,待连续3d引流量少于20ml后将引流管拔出,期间不换药,以防污染,拔出引流管后观察3天,引流管口愈合,伤口无渗出后出院,允许患者部分负重及关节活动。


第2阶段在第1次手术8周后进行。根据以下标准评估感染是否控制:(1)全身无发热表现,患者精神状况及感觉良好。(2)手术部位及周围无感染体征:伤口愈合良好、无疼痛、发红、渗出或脓液等。(3)实验室指标正常:包括红细胞沉降率(ESR)、C反应蛋白(CRP)、降钙素原(PCT)和白细胞(WBC)计数正常。如果同时达到上述指标,则认为感染控制,予二期手术重建。在原切口处切开,纵向切开诱导膜(图4A)。然后在抗生素水泥涂层的锁定钢板上剥离覆盖的骨水泥,去除骨蜡暴露螺钉并将钢板螺丝钉及骨水泥完全取出(图4B);彻底冲洗,更换长股骨远端外侧钢板,远近端各打入螺丝钉固定,并辅助可延长单边外固定架固定,在股骨中上段用微型截骨器截骨(图4C,图4D),截骨后通过单边外固定架搬移骨块(每天1mm,分3-4次进行),待断端会师后,再次切开伤口会师部分,在原钢板上通过电钻钻孔,植入2枚锁定螺丝钉固定搬移骨块,会师端取自体髂骨植入,等待骨质矿化及愈合(图4E,图4F,图4G,图4H)。


通过治疗,患者感染得到控制,搬移骨端新生骨质形成,逐渐矿化,远端会师端逐渐愈合,新生骨痂形成。随访时间半年,患者感染得到控制,骨搬移端成骨良好,会师端有骨痂形成,临床治愈(图5)。


Cierny-Mader IV型骨感染具有广泛弥漫的骨质及软组织受累,常规开窗及灌洗不能彻底清除病灶,一旦当机体抵抗力降低的时候,极易成为复发,静脉注射抗生素很难在骨感染部位达到有效抑菌或杀菌浓度[8],彻底清创是防止复发的基本条件[9]。1994年Eckardt[10]报道运用骨巨细胞瘤的En-bloc切除方法治愈13例慢性骨感染无一例复发;Simpson等[11]的一项临床随机对照研究也证明切除超过正常骨组织5 mm及正常软组织2 mm的清创范围能明显降低复发率。目前越来越多的学者认为,运用En-bloc切除才能够达到彻底病灶清除的目的。但该方法通过扩大清除部分正常组织和骨组织虽然能彻底清除病灶,但增加后期骨重建的困难。传统的带血管的排骨移植及开放植骨存在治疗时间长、并发症多、技术要求高及患者耐受性差、失败率高等缺点。
Ilizarov技术因能激活人体骨及软组织再生修复潜能,在一定程度上能避免植骨,近年来已成为治疗骨缺损、骨不连、感染等的主要治疗手段[12,13],但其固有的血管神经损伤、钉道切割、慢性疼痛、关节挛缩、再骨折、搬移骨段轴向偏移以及长期佩戴外固定架的高钉道感染发生率及对患者的心理造成影响,对依从性差的患者,往往造成失败[14]
1986年,法国医生Masquelet应用聚甲基丙烯酸甲酯(PMMA)骨水泥spacer充填创伤后骨缺损,外固定架稳定骨骼,去除spacer植入自体骨修复骨缺损时候惊奇地发现骨缺损快速愈合;2000年Masquelet再次报道了这种方法治疗35例创伤后各种类型的骨缺损,取得了非常良好的疗效,目前研究也证实了这层骨水泥诱导形成的膜,具有大量成骨细胞及血管活化细胞和内皮生长因子,可以激发成骨潜能、防止移植骨吸收、为植骨发育、填充和骨缺损愈合提供良好的生长环境[15],此技术其主要采取两阶段手术治疗骨缺损,第一阶段是清创和PMMA骨水泥诱导成膜,第二阶段在诱导膜形成后植骨重建骨缺损。这种两阶段治疗的方法技术被称为膜诱导技术,它相对传统的骨重建技术,具有以下优势:( 1 )手术操作简单直接,患者耐受性好;(2)局部抗生素骨水泥能有效消灭死腔,提供额外稳定及有效局部抗生素治疗;(3) II期诱导形成的高血管化生物膜提供良好的成骨环境,使其能够独立于骨缺损长度横向成骨,缩短扩大清创后骨愈合时间,目前在临床和基础研究中已被广泛报道和应用[16]。
原始的Masquelet技术采用外固定架稳定骨骼,聚甲基丙烯酸甲酯(PMMA)骨水泥间隔体作为第1阶段诱导成膜,第2阶段在诱导膜内植入松质骨修复骨缺损[17],但针对外固定存在固有的属性,如:针道感染、二期更换内固定存在感染风险,尤其是更换髓内钉固定感染风险较大,患者佩戴不舒适,针道护理困难等;谢肇教授在原始技术上做了改进,采用锁定钢板被覆抗生素骨水泥[18]作为内固定一期临时稳定骨骼、诱导成膜及消除感染,在骨水泥中添加了万古霉素和庆大霉素,对革兰氏阳性和阴性细菌均能覆盖,且万古霉素在无全身毒性的情况下可以达到很高的抗菌效果。二期更换内固定,同时植骨治疗骨缺损,发现抗生素水泥涂层锁定钢板是一种可行的固定方法,其相比外固定架固定骨骼,不但没有增加感染几率,相反这种稳定的固定能更好地成膜,患者更加舒适,术后可进行更早、更有力的物理治疗和康复,进而改善后期功能,Jia等[19]也证实了抗生素骨水泥包裹的钢板巧妙地解决了该难题,鉴于此,我们手术中采用一期用表面涂有抗生素骨水泥的锁定钢板固定,钢板外覆盖抗生素骨水泥诱导成膜和控制感染。
感染控制后,骨髓炎变为一个无菌性骨缺损,如何重建大段骨缺损又是一个巨大的挑战,常用的骨重建方法有自体松质骨植骨、带血管蒂的腓骨移植,Ilizarov技术和诱导膜技术等。自体松质骨移植仅适合4cm以内骨缺损,本病例中通过清创后股骨缺损约8cm,单纯膜诱导技术,自体骨量不能满足植骨需求,使用异体骨会造成骨吸收,最终导致重建失败。带血管蒂腓骨移植具有较高的手术难度,需要显微外科功底,骨骼粗细匹配度差,后期骨折风险大;Ilizarov技术和masquelet技术是20世纪里程碑技术,都有着不可替代的作用。单纯Ilizarov技术治疗骨缺损时限包括搬移期和固定期;搬移期,大多数学者主张每天1mm速度搬移,搬移到位后需要继续佩戴外固定架,等待新生骨矿化,如何能减少带架时间、减少外固定相关并发症是需要思考的问题。因此如何在使用ILizarov骨搬移技术减少带架时间来减少并发症和使用maquelet技术减少植骨量是当今需要解决的问题。我们在本病例中采用两种理念的融合,外固定架只发挥搬移作用,搬移骨块与股骨远端会师后在原固定钢板上用锁定螺丝钉固定搬移骨段,等待矿化,减少了带架时间及提供骨质矿化愈合环境,巧妙地解决了青少年骨源问题和长期带外架的并发症,同时治疗了Cierny-Mader Ⅳ型股骨弥漫性骨髓炎。
BTLP技术是Ilizarov技术和Masquelet技术、理念的融合,相互补充,解决了现阶段的骨源问题和骨生长环境的问题,极大地减少患者带外固定架的时间,是现阶段治疗骨髓炎、重建骨缺损的重要选择。
所有作者均声明本研究不存在利益冲突





















