
青年男性,因"反复晕厥3年,再发2天"来诊。既往甲状旁腺功能减退症、白癜风以及"皮肤真菌感染病史"。
脉搏102次/分,血压94/64mmHg。体型正常,牙齿发育欠佳,伴色素沉着;全身皮肤散在白斑,多个关节处可见皮肤色素沉着,左侧臀部可见一斑片状暗红色丘疹,中央消退。
住院检查提示患者诊断甲状旁腺功能减退症、Addsion病、皮肤真菌性感染和白癜风,考虑患者为APS-1诊断明确。
给予活性维生素D(骨化三醇0.25ug bid)、钙剂(碳酸钙600mg bid)、糖皮质激素(起始氢化可的松20mg 8AM)、皮肤抗真菌治疗等治疗。
经上述方案治疗1个月后复查,患者乏力症状基本缓解,复查血钠恢复正常;无反复发作抽搦,复查血钙为1.95mmol/L;皮疹较前改善。
内分泌科,儿科,神经内科,皮肤科
版权归中华医学会所有。本文为遵循CC-BY-NC-ND协议的开放获取文章。
自身免疫性多内分泌腺综合征(Autoimmune polyendocrine syndromes,APS)是一组因免疫耐受丧失而出现两个或两个以上的内分泌腺体功能损害的临床综合征[1]。临床上根据不同的表型将APS分为两种亚型:APS-1和APS-2。其中APS-1是一种单基因常染色隐性遗传疾病,由于该疾病罕见,往往容易被忽略或者漏诊[2]。本文借助一例APS-1典型病例,分析APS的临床特征、分型诊断和鉴别诊断,总结APS-1发病机制和治疗策略,从而提高临床医生对该疾病的认识。
患者,22岁男性,主因"反复晕厥3年,再发2天"到我院住院诊治。患者3年前无明显诱因出现晕厥,发作时伴意识障碍,约1小时后自行苏醒,苏醒后无头晕、头痛等不适,发作频率约1-2次/年。2天前患者无明显诱因再发晕厥,苏醒后伴四肢乏力、黑蒙、谵妄,无双眼凝视,无口吐白沫,无抽搐,为进一步诊治到我院就诊。患者起病以来精神状态、食欲、睡眠可。既往史:18年前当地医院诊断"甲状旁腺功能减退症",予"骨化三醇、碳酸钙"治疗,欠规律服用;12年前外院诊断"白癜风",无规律治疗;5年前因腰部、臀部反复出现皮疹,当地医院诊断为"皮肤真菌感染",无规律治疗。家族史:否认家族中类似疾病患者,父母为近亲结婚(表兄妹)。
体格检查:脉搏102次/分,血压94/64mmHg。体型正常,牙齿发育欠佳,伴色素沉着;全身皮肤散在大小、形状不一的白斑,膝关节、腋窝、肘关节等多处可见皮肤色素沉着,左侧臀部可见斑片状暗红色丘疹,少许脱屑,无渗液。双侧甲状腺区无肿大,无结节,无压痛。双肺呼吸音清,心律齐。四肢肌力V级。
血常规、肾功能、血钾正常,血钠133.1mmol/L,血氯99.5mmol/L。24h小时尿电解质(总尿量2.00L,钾66.00mmol,钙3.08mmol,无机磷24.60mmol,镁2.18mmol,钠276.4mmol,氯244.6mmol)。
甲状腺功能正常,TPOAb、TGAb以及TRAb阴性,甲状腺彩超提示甲状腺双侧叶多发囊性病灶(结节性甲状腺肿、胶质潴留),结节大小0.2 cm×0.2 cm(左)、0.3 cm×0.2 cm(右)。
PTH 6.26pg/ml(参考范围15-65pg/ml),血钙1.79mmol/L(参考范围2.11-2.52mmol/L),血磷2.86mmol/L(参考范围0.85-1.51mmol/L),钙磷乘积63.48mg2/dl2。
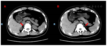
其中血尿皮质醇及ACTH结果如表1。肾上腺CT结果提示:双侧肾上腺体积缩小,几乎呈线状改变,密度未见明确异常,增强扫描均匀强化。周围脂肪间隙清晰(图1)。

垂体-肾上腺轴功能评估
垂体-肾上腺轴功能评估
| 检验项目 | 数值 | 参考范围 |
|---|---|---|
| 血皮质醇8AM (nmol/L) | 66.8 | 185.2-624.7 |
| 血皮质醇4PM (nmol/L) | 68.4 | / |
| 血皮质醇12MN (nmol/L) | 106.6 | / |
| ACTH 8AM (pmol/L) | 126.30 | 1.6-13.9 |
| ACTH 4PM (pmol/L) | 97.91 | / |
| 24小时尿游离皮质醇(nmol/24h) | 311.4 | 160.3-1113.9 |


FSH 1.22mIU/mL, LH 3.86mIU/mL,雌二醇20.00pg/mL, PRL 29.94ng/mL,睾酮2.49ng/mL。
OGTT试验结果(表2),糖化血红蛋白5.5%,总胆固醇3.08mmol/L,甘油三酯1.4mmol/L,高密度脂蛋白0.88mmol/L,低密度脂蛋白2.00mmol/L。

OGTT试验血糖、胰岛素、C肽结果展示
OGTT试验血糖、胰岛素、C肽结果展示
| 检查项目 | 空腹 | 餐后2小时 |
|---|---|---|
| 血糖(mmol/L) | 4.56 | 5.91 |
| 胰岛素(pmol/L) | 26.9 | 161.1 |
| C肽(nmol/L) | 0.688 | 1.94 |
皮肤组织镜检可见真菌菌丝,皮肤组织培养可见红色毛癣菌。
双侧基底节区斑片状、条状致密影,影像学诊断为颅内广泛钙化。
根据患者既往有抽搐症状,血钙降低,血磷升高,PTH降低,头颅广泛异位钙化,补充维生素D和钙剂后抽搐症状缓解,考虑甲状旁腺功能减退症诊断明确。
患者反复发作乏力,全身多处可见色素沉着,血钠降低,血皮质醇降低且节律消失,24小时尿游离皮质醇降低,血ACTH升高,肾上腺CT提示双侧肾上腺缩小;结合上述特征,考虑患者Addsion病诊断明确。
患者既往反复出现腰背、臀部斑片状暗红色丘疹;我院皮肤活检提示:皮肤组织镜下检查可见菌丝,皮肤组织培养可见红色毛癣菌。考虑皮肤真菌性感染诊断明确。
患者12年前外院曾诊断白癜风,此次入院可见全身皮肤散在大小、形状不一的白斑,经皮肤科会诊考虑白癜风诊断明确。
患者父母为近亲结婚,患者儿童时期起病,目前临床诊断甲状旁腺功能减退症、Addsion病、皮肤真菌性感染和白癜风,符合典型的APS-1;我们建议患者及直系家属送检AIRE基因突变检测,但遗憾的是我们尚未得到基因突变检测的结果。
给予维生素D(骨化三醇0.25ug bid)、钙剂(碳酸钙600mg bid)、糖皮质激素(起始氢化可的松20mg 8AM)、皮肤抗真菌治疗等治疗。
经上述方案治疗1个月后复查,患者乏力症状基本缓解,复查血钠恢复正常;无反复发作抽搦,复查血钙为1.95mmol/L;皮肤丘疹较前改善。
APS是由于免疫耐受缺陷引起多个内分泌腺体功能损害的综合征,分为APS-1和APS-2两种临床亚型。本病例中的患者考虑为APS-1亚型,APS-1又名自身免疫性多内分泌病-念珠菌病-外胚层营养不良(autoimmune polyendocrinopathy-candidiasis-ectodermal dystrophy,APECED),是由自身免疫调节基因(autoimmune regulator, AIRE)突变引起[2,3]。AIRE基因表达于胸腺髓质上皮细胞,介导上千种组织特异性蛋白质在胸腺中表达并提呈给发育中的T细胞。这种独特的抗原提呈有助于清除自身反应性T细胞,促进自体反应性胸腺细胞的阴性选择以及自我耐受。
APS-1的发病通常在幼儿时期,但脏器受累是遗传因素和环境因素共同作用的结果,因此不同脏器的损伤可以出现在不同时间。APS-1主要的临床特征是在儿童期出现以下三种组分中的两个或以上:①慢性皮肤黏膜念珠菌病:常常是首先出现的临床症状,反复发生在皮肤、口腔、食管以及女性生殖道等部位的念珠菌病[4]。②甲状旁腺功能减退:伴有低血钙、正常或降低的PTH,常伴有低镁血症。③原发性肾上腺皮质功能不全(Addsion病):伴有低钠血症、低血皮质醇水平和高ACTH水平。APS-1患者还可以出现1型糖尿病、甲状腺功能减退症伴甲状腺过氧化物酶抗体和甲状腺球蛋白抗体滴度升高等内分泌疾病。其他典型的非内分泌器官相关的组分还包括白癜风、牙釉质发育不全、恶性贫血、小肠吸收不良综合征、角膜炎、自身免疫性肝炎、肾小管间质性肾炎和外分泌性胰腺炎等[5,6]。新近研究还显示APS-1患者易患严重疱疹病毒感染[7]。
典型的临床是诊断APS-1的重要依据。本例患者幼儿时期诊断了甲状旁腺功能减退症,青年时期发生反复的皮肤真菌感染,近期诊断了原发性皮质功能减退症,而且合并白癜风和牙釉质发育不良,结合上述典型特征,考虑符合APS-1的诊断。除此之外,AIRE基因突变的检测有助于准确诊断APS-1;而且检测抗干扰素抗体等自身抗体有助于快速诊断APS-1和监测APS-1病情的发展。研究显示筛查21-羟化酶抗体和NALP5自身抗体可以预测无症状的携带者发展为肾上腺皮质功能减退和甲状旁腺功能减退的风险[8,9]。
激素替代疗法和并发症的处理是APS-1主要的治疗方法。甲状旁腺功能减退症患者可予补充1,25-二羟维生素D3、钙剂和镁剂,防治低血钙抽搐痉挛;对于顽固性的低钙血症,已有文献报道注射甲状旁腺素1-84可以改善血钙[10,11],但需要注意的是中国已上市的甲状旁腺素主要用于治疗骨质疏松,甲状旁腺功能减退症替代治疗在中国尚未获得适应症。Addsion应给予补充糖皮质激素,必要时予补充盐皮质激素。黏膜念珠菌病必须积极治疗并监测复发,口腔和食管的念珠菌病如果不及时治疗可能会发生鳞状细胞癌。对于其他症状,比如角膜炎、自身免疫性肝炎或者肠炎等可以需要使用免疫抑制剂治疗[12]。APS-1患者应接受每年至少两次的随访;而患者的兄弟姐妹即使无任何症状也都应该接受全面的筛查,无症状的携带者应接受每年至少1次的随访。
APS-2又称为Schmidt综合征,是最常见的APS亚型。APS-2的诊断是艾迪生病合并自身免疫性甲状腺疾病或1型糖尿病。女性的发病率通常高于男性。APS-2也可以伴随出现原发性卵巢功能不全、白癜风、恶性贫血、重症肌无力、僵人综合征和脱发等疾病。APS-2具有比APS-1更复杂的遗传背景[13]。
另一种容易与APS混淆的疾病是极为罕见的X连锁内分泌腺病(immune dysfunction, polyendocrinopathy, X-linked,IPEX)。IPEX是极易与APS混淆的疾病,IPEX以早发1型糖尿病、自身免疫性肠病伴顽固性腹泻和吸收不良、皮炎(湿疹样、鱼鳞病样或银屑病样)为特征的极罕见遗传综合征。部分患者可合并肾脏疾病,最常是膜性肾小球肾炎或间质性肾炎。IPEX后期表现可能包括自身免疫性甲状腺疾病、脱发、自身免疫性细胞减少症、自身免疫性肝炎肝炎和外分泌性胰腺炎等。FoxP3基因突变导致T细胞功能紊乱可能是该疾病的病因[14]。IPEX在起病的最初几年往往是致命的,除非及时给予免疫抑制药物治疗或给予骨髓移植。
综上所述,APS是因免疫耐受缺陷而引起多个内分泌腺体功能损害的综合征,APS-1是单基因遗传病,而APS-2则具有更为复杂的遗传背景。激素替代治疗和并发症的处理是治疗APS的根本原则。
所有作者均声明本研究不存在利益冲突





















