
患者女性,52岁,主因:"发热伴下肢肌肉酸痛4天,气促2天"就诊。患者否认高血压、心脏病、糖尿病史,无吸烟、饮酒史。无家族遗传史。职业为农民。患者2020年09月29日出现发热,当时体温未测,无畏寒、寒战。伴双下肢肌肉酸痛、乏力,精神差,纳差。2020年10月03日患者自觉活动后气促,无畏寒寒战,无明显咳嗽、咳痰、咯血,无皮疹、四肢关节疼痛不适,于当地医院就诊,测血压70/40mmHg,血气示I型呼吸衰竭,去甲肾上腺素维持血压稳定情况下完善胸部CT提示双肺弥漫性病变,降钙素原(PCT):23ng/ml,考虑重症肺炎、感染性休克,予亚胺培南抗感染、地塞米松抗炎、补液等治疗,患者下肢肌肉酸痛较前稍好转,气促无明显改善,患者及家属为求进一步诊治2020年10月4日以重症肺炎转入我院呼吸科,完善钩端螺旋体IgM抗体、宏基因组学第二代测序(metagenomics next generation sequencing,英文简写mNGS)等相关检查后诊断钩端螺旋体病(肺出血型),经感染科会诊后转入感染科进一步治疗。该病例救治成功,治愈出院,特报道如下。
患者诉发热、双下肢肌肉酸痛、气促、乏力、纳差,体格检查双肺呼吸音低,双肺可闻及湿性啰音,双侧腓肠肌压痛。
根据患者临床症状、体征,结合mNGS、血清学抗体检测结果。
予以青霉素、甲泼尼龙等对症治疗。
治愈出院
感染科;呼吸科;重症医学科;
版权归中华医学会所有。本文为遵循CC-BY-NC-ND协议的开放获取文章。
钩端螺旋体病简称钩体病,为人畜共患的自然疫源性疾病。从接触到发病的潜伏期约为1~2周。在我国发病高峰主要为收割水稻及暴发洪水时,由疫水经破损的皮肤或黏膜侵入人体而发病。临床表现多样,轻者似流行性感冒,重者多脏器受损。该病例提示,在钩端螺旋体血清学抗体检测阴性时,及早完善宏基因组学第二代测序(mNGS)为钩端螺旋体病的诊断提供了一种很好的方法,为尽早、精准地治疗该病提供了病原学依据。
患者女性,52岁,职业为农民。主因"发热伴下肢肌肉酸痛4天,气促2天"就诊。患者2020年09月29日出现发热,当时体温未测,无畏寒、寒战。伴双下肢肌肉酸痛、乏力,精神差,纳差。无皮疹、关节疼痛,无咳嗽、咳痰、胸闷、气促等;未予以特殊处理。2020年10月03日患者自觉活动后气促,无畏寒寒战,无明显咳嗽、咳痰、咯血,无皮疹、四肢关节疼痛不适,于当地医院就诊,测血压70/40mmHg,血气示I型呼吸衰竭,去甲肾上腺素维持血压稳定情况下完善胸部CT提示双肺弥漫性病变,降钙素原(PCT):23ng/ml,予亚胺培南抗感染、地塞米松抗炎、补液等治疗,患者下肢肌肉酸痛较前稍好转,气促无明显改善,患者及家属为求进一步诊治2020年10月4日以重症肺炎转入我院呼吸科。入院查体:体温36.7℃,脉搏:87次/分,呼吸:29次/分,血压108/71mmHg,全身未见皮疹,意识清楚,自动体位,查体合作,急性病容,两侧瞳孔等大等圆,对光反射灵敏,浅表淋巴结未扪及肿大,口唇无发绀,声音无嘶哑,颈软,无抵抗,双肺呼吸音低,双肺闻及少量湿性啰音,心率87次/分,心律齐,心音正常,未闻及明显杂音,腹肌软,无压痛,肝脾无肿大,肠鸣音正常,双下肢无水肿。四肢肌力、肌张力正常,两侧巴宾斯基征阴性,双侧腓肠肌压痛。患者否认高血压、心脏病、糖尿病史。无手术史。无吸烟、饮酒史、冶游史。无家族遗传史。入院诊断:重症肺炎;多器官功能障碍综合征;入院后予以高流量无创辅助通气、美罗培南+莫西沙星抗感染、更昔洛韦+奥司他韦抗病毒、甲泼尼龙抗炎、免疫球蛋白、化痰、解痉平喘等对症治疗。追问病史患者2020年9月19日下田打谷作业史,下肢皮肤黏膜损伤,考虑自然疫源性疾病可能。患者病情无明显好转,复查血气提示且需氧支持参数进行性升高,于2020年10月6日14点50分改为有创呼吸机,期间血压下降至80/58mmHg,予以去甲肾上腺素升压处理。2020年10月07日气道管理吸出血痰,完善支气管镜行肺泡灌洗液送检微生物二代测序宏基因检测。于2020年10月10日12点30分拔除气管插管。
入院前辅助检查:2020年10月04日当地县医院胸部CT平扫提示双肺广泛片状及腺泡样高密度灶,暂考虑肺部感染(病毒性感染?)。腹部CT平扫:未见明显异常。肝功能:ALT:69u/l;AST85u/l。血气分析:pH:7.44,pCO2:32mmHg,pO2:47mmHg,HCO3-:21.7mmol/L,BE:-5mmol/L,sO2:84%,FiO2:0.21,氧合指数:223.8。新冠肺炎核酸咽拭子阴性。入院后完善相关检查:血常规、降钙素原、BNP、肌酐、尿蛋白变化详见表一。血沉102mm/h。肾功能、电解质、心肌酶、凝血常规、感染性疾病筛查四项、粪沉渣、糖化血红蛋白、G试验、GM试验、免疫功能、抗链球菌溶血素O、类风湿因子、ANA抗体谱12项、血管炎5项、抗人球蛋白试验、结核感染T细胞检测、痰抗酸涂片、弓形虫抗体、血吸虫抗体、抗肾小球基底膜抗体、总IgE基本正常。床旁肝胆胰脾超声未见明显异常。床旁心脏超声:三尖瓣少-中量反流;二尖瓣少量反流。LVEF:59%。2020年10月07日气道管理吸出血痰,完善支气管镜行肺泡灌洗液送检微生物二代测序宏基因检测。住院期间多次完善肺部影像学,详见下图标记。2020年10月09日第一次送检钩端螺旋体IgM抗体回报:滴度1:50。隔天复测钩端螺旋体IgM抗体回报:滴度1:200。肺泡灌洗液宏基因:肾脏钩端螺旋体检出序列数2个、互隔链格孢菌检出序列数2112个(详见报告单)。

肺出血型钩端螺旋体病患者实验室检查结果
肺出血型钩端螺旋体病患者实验室检查结果
| 时间 | 白细胞10*9/L | 中性粒细胞百分数% | 中性粒细胞计数10*9/L | 血红蛋白g/L | 血小板10*9/L | CRPmg/L | PCTng/ml | BNPpg/ml | 肌酐umol/L | 尿蛋白 |
|---|---|---|---|---|---|---|---|---|---|---|
| 入院前1天 | 11.22 | 92.3 | 10.35 | 105 | 135 | 62.1 | 23 | 5187 | 130 | 阴性 |
| 入院第1天 | 13.9 | 92.5 | 12.86 | 87 | 116 | 191.74 | 27 | 5000 | 119 | 阴性 |
| 入院第2天 | 17. 23 | 92.3 | 15.86 | 89 | 145 | 126.92 | 14 | 10000 | - | - |
| 第2天复查 | 23.73 | 93.7 | 22.2 | 93 | 109 | 80.93 | - | 11000 | 78 | - |
| 入院第3天 | 23.92 | 90.4 | 21.64 | 95 | 124 | 78.63 | 5.8 | 7100 | - | - |
| 入院第4天 | 25.47 | 86.7 | 22.08 | 113 | 166 | 107.79 | 0.91 | 880 | 65 | - |
| 入院第5天 | 19.71 | 86.7 | 17.07 | 98 | 194 | 73.11 | 0.5 | 570 | 67 | - |
| 入院第6天 | 21.41 | 80.7 | 17.26 | 97 | 287 | 34.97 | 0.36 | 440 | 59 | - |
| 入院第7天 | 19.54 | 79.1 | 15.45 | 94 | 312 | 15.79 | 1 | 1900 | 60 | 阴性 |
| 入院第8天 | 25. 07 | 91.4 | 22.94 | 94 | 391 | 10. 06 | 0.29 | 260 | 57 | - |
| 入院第11天 | 14. 09 | 63.4 | 8.93 | 87 | 384 | 3.72 | - | - | 62 | - |
| 入院第17天 | 6.63 | 55.4 | 3.67 | 89 | 269 | 4.02 | 0.12 | - | 58 | - |
注:"-"无相关数据


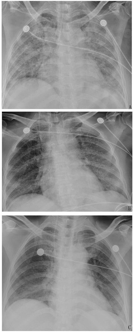
注:A.入院前约6小时,双肺沿支气管分布大片实变影,腺泡结节,小叶融合,伴毛玻璃影;B.入院第7天,双肺病灶较前明显吸收减少;C.入院第17天,双肺病灶已完全吸收


注:A.入院第2天,双肺弥漫性毛玻璃影;B.入院第4天,双肺野透亮度增加,毛玻璃影吸收减少;C.入院第6天,双肺毛玻璃影较前明显吸收。






诊断:(1)钩端螺旋体病(肺出血型);(2)I型呼吸衰竭急性呼吸窘迫综合征;(3)感染性休克;(4)多器官功能障碍综合征(肺、肝、肾、心脏)。
鉴别诊断:(1)肾综合征出血热;(2)肺结核并咯血;(3)系统性血管炎;(4)SLE引起的弥漫性肺泡出血。
入院使用莫西沙星+美罗培南抗感染,更昔洛韦抗病毒等对症治疗。诊断钩体病后改为甲泼尼龙:40mg Q8h;青霉素钠40万U Q8h(2020年10月10日-10月15日);期间血压下降使用重酒石酸去甲肾上腺素升压(视血压调整);后改为头孢哌酮舒巴坦钠抗感染兼抗钩体治疗(2020年10月15日-10月22日)。
患者病情好转痊愈出院。
钩端螺旋体病是丘陵地区常见的感染性疾病之一,若不及时明确诊断及对症治疗,可能进展为脓毒症,造成患者多器官功能衰竭,甚至死亡。《传染病学》第九版[1]推荐目前钩端螺旋体病的诊断可结合流行病学史及临床症状,确诊可依据病原体及血清学抗体检测结果。2014年临床报道mNGS被首次用于脑脊液检测钩端螺旋体感染的病例后[2],国内外关于mNGS相关研究和文献报道越来越多,并逐渐在临床实践中运用。国内有报道送检外周血[3]、痰标本[4]行mNGS发现钩端螺旋体从而明确诊断。
从症状学方面看,患者外院胸部CT提示双肺广泛片状及腺泡样高密度灶,患者无血痰,有胸闷气促,病程中多次完善血气监测,病程中氧合指数逐渐指数下降,因病情进展,改为有创呼吸机支持。行气管插管过程中可见喉咽有少许出血,后经气管插管导管吸出血痰,行床旁支气管镜,镜下见气管导管内较多血性黏痰附着,左右两侧支气管开口可见血痰附着,右侧各级支气管可见少许血性分泌物,左侧各级支气管可见少许淡薄血性分泌物,考虑存在肺内出血。王秋东[5]等研究亦提示对于肺弥漫性出血型钩端螺旋体病并发急性呼吸窘迫综合征患者的救治,应及时应用人工气道机械通气进行辅助治疗,可显著降低病死率,值得临床推广。该患者无创辅助通气情况下胸闷气促逐渐加重,及时调整为有创呼吸机治疗为患者平稳度过危险期提供非常重要的支持。患者有呼吸衰竭、血痰、发热、下肢肌肉酸痛、乏力及多器官功能障碍,在钩端螺旋体病流行季节,提示临床医师,遇见可疑肺弥漫性出血型患者需仔细询问患者有无可能疫水接触史,及时完善钩体抗体或者mNGS为积极对症救治争取时间。
从影像学方面看,《实用内科学》第十五版[6]指出钩端螺旋体病肺弥漫性出血型表现为双肺广泛弥漫性点片状阴影,但肺部影像学无特异性。在及时对症治疗后,钩端螺旋体病(肺出血型)肺部病灶多在2-4日内可完全消散。但该病例在病原体明确诊断后,及时调整方案,虽复查胸部CT双肺弥漫性病灶消失,病灶吸收后无机化、牵拉等异常结构残留,但该患者肺部病灶完全吸收耗时较长。提示在肺出血合并感染时,肺部病灶吸收较慢。
从检测来看,mNGS在新发突发传染病以及常规检验阴性的感染性疾病诊断中发挥了重要作用。中国宏基因组学第二代测序技术检测感染病原体的临床应用专家共识[7]提示对于呼吸道感染,二代测序在病毒及少见病原体的检测中体现出较好的检测效能;以及在疑难感染性疾病诊治中,二代测序可作为一线检测手段,能显著提高病原体的检出率。该病例第一次钩端螺旋体IgM抗体检测阴性,但支气管灌洗液mNGS发现钩端螺旋体为明确诊断提供治疗方向。《实用内科学》第十五版[6]指出间隔两周测双份血清钩端螺旋体抗体,效价增高4倍以上为阳性,虽该案例mNGS检测结果示钩端螺旋体序列数不高,但隔天复测钩端螺旋体抗体效价呈4倍增高。提示临床医师在钩体病流行季节,患者出现比较典型的三症状(发热、酸痛、一身软),三体征(眼红、腿痛、淋巴大)时,第一次钩端螺旋体IgM抗体为阴性,在无条件送检外周血、痰标本或肺泡灌洗液等行mNGS检测时,可短期复查钩端螺旋体抗体协助诊治。该患者急性起病,有多系统受累特征,PCT显著升高时,需考虑革兰氏阴性细菌感染,或感染病原体有内毒素样物质(如钩端螺旋体)可能,提示临床医师在遇见PCT升高时,临床思维需发散。
从治疗来看,《实用内科学》第十五版[6]第三代头孢及喹诺酮药物也有治疗钩端螺旋体作用。国外文献研究提示钩端螺旋体病肺部受累患者对美罗培南和莫西沙星具有较好的临床反应[8]。国内梁梦圆[3]等诊断钩端螺旋体病的患者予以美罗培南+莫西沙星对症治疗后病情明显好转出院。虽国内外有文献提示美罗培南+莫西沙星对钩端螺旋体病有较好疗效,该案例在未明确钩端螺旋体感染之前予以美罗培南+莫西沙星治疗后,短期复查床旁胸片提示病灶逐渐吸收减少,亦提示予以美罗培南+莫西沙星亦有疗效,但明确诊断的钩端螺旋体病重症病例建议首选青霉素+激素对症治疗,这亦符合选择窄谱抗生素原则。
综上所述,钩端螺旋体病临床上肺出血型常被误诊为肺炎休克型,故对重症肺炎明确病原体及及早呼吸支持治疗是成功救治的关键。该病例系农民,外出务工10余年,近2年回当地务农。该案例提示临床医师对于老农民长期不务农,随着时间改变,自身抗体水平降低,当再次接触含钩体的疫水后是否会成为新的好发人群。
所有作者均声明本研究不存在利益冲突





















