
患者,女性,42岁,主诉"牙齿前突合并散隙十余年,影响美观"。否认外伤史及家族史,患者身体状况良好。
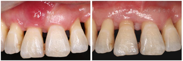
正面观面上1/3比例稍短,面下1/3高度正常;颏部右偏2 mm;上下颌牙齿中线与面中线不一致;上颌中线右偏3 mm;下颌中线右偏2 mm;侧貌突;双侧颞下颌关节区无压痛及弹响,开口度及开口型未见异常;11、21根尖区瘘管;右侧尖牙、磨牙关系远中关系,左侧尖牙、磨牙远中关系;覆盖Ⅲ°,覆合Ⅰ°;上前牙牙轴均向右侧倾斜,15、16联冠,上颌间隙6 mm,37牙列缺失,下颌拥挤度3.5 mm。
X线示37区于就诊前外院植入种植体(位置较差),15、16种植体联冠,全口牙牙槽骨吸收至根尖1/2~根尖1/3,尤以11、22、32牙槽骨吸收为甚。双侧颞下颌关节区骨皮质连续,形态不完全对称。安氏Ⅱ类+骨性Ⅱ类;低角水平生长型;牙周炎(重度);牙列拥挤合并牙列散隙及三角间隙;深覆盖Ⅲ°;
牙周治疗+牙体牙髓治疗+正畸治疗。
经过矫正前的牙周系统治疗以及22个月的矫正加稳定并联合矫治期间定期的牙周维护治疗,患者上下牙列牙齿排列整齐,建立了正常的覆牙合覆盖,维持了双侧磨牙、尖牙咬合关系,未有咬合干扰点,达到稳定的咬合关系。同时,牙周袋并未加深,11瘘管愈合,全口牙龈颜色正常,牙周组织无活动性炎症出现,患者口内治疗前多颗松动的牙齿,其松动度也有明显的改善。
口腔科;正畸科;种植科;牙周科
版权归中华医学会所有。本文为遵循CC-BY-NC-ND协议的开放获取文章。
重度牙周炎是严重影响患者身心健康及生活质量的一种疾病,若患者未得到及时有效治疗,炎症可进一步扩散,加重牙槽骨吸收,最终导致牙齿松动脱落,影响咀嚼功能,其发病机制较复杂,其中错颌畸形是促进牙周炎进展较为重要的一个因素[1]。牙周基础治疗虽可有效去除局部刺激因素,控制炎性反应,改善患者临床症状,但单独应用无法改善错颌畸形,常常效果不佳[2]。联合正畸治疗不仅可矫正牙齿错位畸形,调整咬合关系,还利于维护牙周组织的健康,提高咀嚼效能[3]。所以,临床上需要制订多学科联合治疗方案。但目前关于牙周联合正畸治疗应用于重度牙周炎患者的病例尚不多见,现报道1例重度牙周炎患者经正畸、牙体牙髓、种植修复治疗,疗效满意,以供参考。
患者,女性,42岁,主诉"牙齿前突合并散隙十余年,影响美观"。否认外伤史及家族史,患者身体状况良好。
(1)正面观面上1/3比例稍短,面下1/3高度正常;颏部右偏2 mm;上下颌牙齿中线与面中线不一致;上颌中线右偏3 mm;下颌中线右偏2 mm;侧貌突;双侧颞下颌关节区无压痛及弹响,开口度及开口型未见异常;11、21根尖区瘘管;右侧尖牙、磨牙关系远中关系,左侧尖牙、磨牙远中关系;覆盖Ⅲ°,覆合Ⅰ°;上前牙牙轴均向右侧倾斜,15、16联冠,上颌间隙6 mm,37牙列缺失,下颌拥挤度3.5 mm(图1,图2)。(2)牙周会诊检查:口腔卫生欠佳,菌斑指数PLI:2~3,牙石(++~+++),色素(+~++)。全口牙龈色暗红,牙龈厚钝,质地松软,牙龈无剥削。探诊深度PD>3 mm,附着丧失AL+,牙龈出血指数BI:2~4,BOP(+)。根分叉病变FI:Ⅱ,11、22松动Ⅲ°,23松动Ⅱ°,12、36~41松动Ⅰ°(图3)。






安氏Ⅱ类+骨性Ⅱ类;低角水平生长型;牙周炎(重度);牙列拥挤合并牙列散隙及三角间隙;深覆盖Ⅲ°;
安氏Ⅱ类Ⅰ分类;深覆盖;上前牙唇倾散在间隙,11、21根尖区瘘管,15、16种植联冠,下牙列唇倾,37缺失,就诊前已于外院植入种植体(位置较差);上牙列散在间隙6 mm,下颌拥挤度3.5 mm,上下牙列三角间隙明显。
矢状向:Ⅱ类;垂直向:低角;横向:上下颌骨宽度未有明显不调;
矢状向:凸面性;垂直向:低角;水平向:颏部右偏2 mm。
口腔卫生指导;口腔卫生指导;全口龈上洁治,龈下刮治,根面平整;菌斑显示;定期复诊;牙周病情稳定后可行正畸治疗,正畸期间需定期牙周复诊。
试保留11,11行根管治疗术,若预后较差后期建议拔除行修复治疗。
建议取出37种植体,后期待炎症消除后重新植入。
非拔牙矫治,直丝弓矫治技术,排齐整平上下牙列,关闭上牙列间隙,15、16不纳入正畸矫治,维持双侧磨牙关系,尽量调整左右侧尖牙至中性关系,后期精细调整,终身保持,行引导组织再生术(GTR)改善三角间隙。正畸期间需定期牙周复诊。
具体治疗过程如下:
1.牙周治疗:拍摄X线曲面断片,FloridaProbe牙周检查;全口超声龈上洁治,抛光,口腔卫生宣教;11根据牙周治疗恢复情况再进一步治疗;2周后,上颌及下颌前牙牙周内窥镜超声及Gracey刮治器龈下刮治,根面平整;2周后,评价上颌及下颌前牙牙周情况,下颌双侧后牙牙周内窥镜超声及Gracey刮治器龈下刮治,根面平整;1个月后,FloridaProbe牙周检查,全口超声及Gracey刮治器龈下刮治,根面平整;1个月之后,试保留32~42,32~42牙周翻瓣成形术,期间完成11根管治疗后进行根尖手术;1个月之后,再次评价下颌前牙牙周情况,全口龈上洁治,抛光;1个月复查,拍摄X线曲面断层片,FloridaProbe牙周检查,全口超声龈上洁治,抛光;3个月复查,拍摄X线曲面断层片,FloridaProbe牙周检查,全口龈上洁治,抛光;患者牙周状态稳定,牙龈颜色正常,无活动性炎症出现,可行正畸治疗。正畸期间,每3个月牙周复诊。
2.牙体牙髓治疗:11根管治疗术。
3.正畸治疗:黏接上下颌直丝弓矫治器,检查咬合早接触并调咬牙合;依次使用0.012、0.014、0.016、0.018英寸镍钛圆丝以及0.016×0.022、0.017×0.025、0.018×0.025、0.019×0.025英寸镍钛方丝排齐整平上下牙列(9个月);上颌0.019×0.025英寸镍钛方丝,下颌0.018×0.025英寸镍钛方丝,轻力关闭上下牙列间隙,9个月后,上牙列间隙完全关闭,固定保持上牙列(保持4个月),下牙列继续关闭剩余散在间隙,调整中线;1.5个月之后下牙列间隙完全关闭,固定保持下牙列(保持3个月);矫治总疗程22个月;拆除矫治装置;上颌(4-4),下颌(6-6)舌侧丝固定保持,全牙列透明压膜保持器双保持。矫治器矫治过程中每次复诊均监测菌斑控制情况,至少每3个月做牙周检查和牙周基础治疗。






经过矫正前的牙周系统治疗以及22个月的矫正加稳定并联合矫治期间定期的牙周维护治疗,矫治结束后患者上下牙列牙齿排列整齐,建立了正常的覆牙合覆盖,维持了双侧磨牙、尖牙咬合关系,未有咬合干扰点,达到稳定的咬合关系。同时,牙周袋并未加深,11瘘管愈合(图2),全口牙龈颜色正常,牙周组织无活动性炎症出现,另外,患者口内治疗前多颗松动的牙齿,其松动度也有明显的改善,例如治疗前11、22松动Ⅲ°,23松动Ⅱ°,12、36~41松动Ⅰ°。治疗后11、22松动Ⅰ°,其余牙齿稳定无松动现象。X线表现(图9)治疗后牙槽骨吸收停止且23~26近远中,36远中以及27近中等部位均有少量牙槽骨再生,骨白线连续性亦有增加,下前牙区牙槽骨高度有少量增加。关节矢状面、冠状面保持稳定,FloridaProbe牙周检查最终探诊深度普遍降至1~3 mm。X线头影测量前后对比以及重叠图可见上前牙内收较明显,下切牙压低有效,侧貌突度明显改善(图10,图11,图12,图13,图14)。












本病例是1个典型的重度慢性牙周炎病例,患者曾于外院行15、16种植联冠修复,以及植入37种植体,由于未经系统的牙周治疗,导致37种植体周围炎。患者初诊时牙周病变范围广、牙槽骨吸收严重、口内有多颗松动牙,同时由于前牙唇向散开移位,严重影响美观。另一方面,这种不良的咬合关系也造成牙合创伤,进一步加重牙周组织的破坏,最终可能导致牙齿的移位加重甚至脱落。所以患者期望值较高,要求改善前牙美学问题。
面对这种较复杂和棘手的病例,应按照牙周病系统治疗的基本思路和步骤,即牙周基础治疗、手术治疗、正畸和修复治疗、维护治疗4个阶段,将每个阶段都做到尽可能完善,才能最大程度地达到最终的治疗目的,满足患者功能与美观的需求[4,5]。该病例最终达到了口腔多专科联合治疗牙周病的目的,从此病例中可得出如下提示:
1.研究表明牙周炎患者经牙周治疗2~6个月后,若达到菌斑控制良好、软硬组织无炎症且软硬组织厚度充足等条件,且经评估无正畸禁忌症时可行正畸治疗[6]。本病例经过规范的牙周基础治疗,并进行了下前牙的翻瓣手术,最终探诊深度普遍小于3 mm。从X片可见,牙槽骨吸收停止且23~26近远中、36远中以及27近中等部位均有少量牙槽骨再生,骨白线连续性亦有增加,下前牙区牙槽骨高度有少量增加,达到正畸治疗的准入标准。
2.在正畸矫治过程中,矫治力的把控是至关重要的。轻力少幅度矫治利于维护牙周组织健康,并在矫治过程中选择性调牙合,消除早接触,对牙周组织稳定的维护也是不容忽视的。本病例在牙周治疗基础上采用的固定松动牙、微小牙齿移动等是目前牙周炎辅助治疗的有效手段[7],通过正畸治疗,本病例达到了非常满意的效果,矫治后间隙关闭,上下前牙突度改善,患者矫正前U1-SN减小了8.2°,U1-NPo距减小了近3°,上下唇的位置关系最终达到位于E线上,明显改善了患者的侧貌突度。牙齿移动结束后,本病例采用上下颌舌侧丝固定保持及负压压膜活动保持正畸效果。
3.单纯正畸治疗不会引起牙龈组织再生及牙龈炎症,但正畸托槽固定导致的菌斑堆积是发生牙龈炎症的主要因素,而且菌斑的存在可使牙龈炎症在短期内对牙周硬组织重建造成影响,因此正畸牙周联合治疗能够使患者有更多的获益[8]。正畸与常规牙周基础治疗、GTR、GSF等方式联合应用于牙周炎患者,可显著降低牙周组织损伤,提高牙根周围牙槽骨的附着力,进一步提高疗效。但正畸治疗与何种牙周治疗方式联合应用的效果更佳尚无定论,针对不同程度牙周炎患者治疗方式的选择尚未统一,仍需进一步研究[9,10,11,12,13]。
所有作者均声明不存在利益冲突
























